
外翻相关指标
探讨基于足负重位CT图像应用Mimics软件测量
外翻相关角度的准确性及可靠性。
前瞻性选择昆明医科大学第一附属医院2016年7月—2017年3月收治的30例(36足)
外翻患者,应用Mimics软件对患者足负重位CT图像行
外翻3D重建。应用Mimics软件拟合区域功能自动分析计算生成近节趾骨轴线和第一、二跖骨轴线,并重建第一跖骨远端实际关节面,通过近节趾骨与第一跖骨3D模型进行修正;采用以上解剖学参数实现对
外翻角(HVA)、跖骨间角(IMA)、跖骨远端关节面夹角(DMAA)的精确测量。由4名测量者分别使用上述计算机辅助CT建模测量法与常规X线测量法对30例
外翻患者进行测量,比较各组观察指标测量结果的统计学差异,并行Bland-Altman分析一致性。
4名测量者采用常规X线法和CT建模重建法测量结果的ICC值分别为0.89和0.91,可靠性优。传统X线测量法测量患者HVA、IMA分别为29.10°±10.04°、13.98°±4.38°,CT建模法测量患者HVA、IMA分别为30.02°±10.62°、13.83°±4.29°,差异均无统计学意义(P值均>0.05);传统X线测量法测量患者DMAA为12.57°±3.96°,CT建模法测量患者DMAA为16.21°±3.65°,差异有统计学意义(P<0.01);Bland-Altman结果显示对于HVA、IMA角的两种测量方法一致性较好,DMAA的测量结果一致性较差。
基于足部模拟负重CT图像应用Mimics软件测量
外翻HVA、IMA、DMAA可以精准生成上述3个角的边线,进而实现角度的精确测量;重建第一跖骨远端关节面,使DMAA测量的准确度和可靠性明显优于常规X线测量法。该方法是一种可行、可靠并且精准的测量方法,为
外翻精准化、个体化治疗提供了可靠的基础。
外翻相关指标
[J]
. 中华解剖与临床杂志, 2018, 23(1)
: 7-13.
DOI: 10.3760/cma.j.issn.2095-7041.2018.01.002.
版权归中华医学会所有。
未经授权,不得转载、摘编本刊文章,不得使用本刊的版式设计。
除非特别声明,本刊刊出的所有文章不代表中华医学会和本刊编委会的观点。
外翻角(hallux valgus angle, HVA),指第一近节趾骨中轴线与第一跖骨中轴线间夹角;跖骨间角(intermetatarsal angle, IMA),指第一跖骨中轴线与第二跖骨中轴线间的夹角;跖骨远端关节面夹角(distal metatarsal articular angle, DMAA),为第一跖骨远侧实际关节面连线与该骨纵轴垂线间的夹角。
外翻时可造成以上指标异常[1]。
治疗
外翻的术式较多,
外翻相关指标的精确测量,对于
外翻畸形的矫正及术式的选择至关重要[2]。目前,
外翻这一复杂的足部畸形主要依赖于X线的观察测量,而常规X线测量法对
外翻相关指标的测量易产生误差。近年来,随着数字化医学技术的发展,其在骨科的临床应用及研究日益广泛[3],其中CT 3D重建技术能够直观、精确地重建出足部3D立体解剖结构,并且可以多角度观察
外翻畸形解剖特点。本研究拟利用Mimics软件测量
外翻畸形相关指标,并与常规X线测量法比较,探讨基于足负重位CT图像应用Mimics软件测量
外翻相关指标HVA、IMA、DMAA的价值。
纳入标准:(1)符合
外翻骨科临床诊断标准;(2)告知患者本次研究所需的检查项目、目的及意义,患者表示理解并签署知情同意书。排除标准:(1)有神经肌肉系统疾病;(2)足部骨折病史或足远端手术史;(3)拒绝参加本次研究者。
前瞻性选取2016年7月—2017年3月昆明医科大学第一附属医院骨科收治的30例(36足)
外翻患者,男2例(2足),女28例(34足);年龄36~65岁,平均47.54岁;左足
外翻7例,右足
外翻17例,双足
外翻6例。本研究已通过昆明医科大学伦理委员会审批,所有入组患者均签署知情同意书。
X线检查:使用美国柯达DR7100 X线机(Carestream Health, Inc.)拍摄患足负重正位X线片。X线检查时患者面向球管,直立于X线片盒上,双足并拢,球管中心光束距片盒1 m,射线与身体轴线成15°夹角,单足以第二楔骨为中心,双足以两足第二楔骨距离中点为中心。摄片条件:电压50 kV,电流6 mA。
CT检查:使用美国GE 64排CT(Medical Systems /Light Speed 16)进行连续扫描,获取原始CT数据(dicom格式存储标准) 。CT扫描时将自行设计的负重装置放置于CT床上,患者仰卧位于装置上,双脚尽量并拢,根据患者体质量,于身体两侧动力加压装置上分别施加体质量一半的质量,对足底部进行加压,从而达到模拟负重的效果,扫描范围为足底至下胫腓联合处。扫描条件:层厚0.630 mm,电压120 kV,电流150 mA,矩阵为512×512,一次扫描时间为15~20 s。扫描时使患者位于CT扫描床正中,使CT扫描后的图像X、Y、Z轴各向同性,避免体位因素影响测量误差。
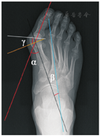
于患者X线片分别画出近节趾骨轴线、第一跖骨轴线、第二跖骨轴线、第一趾骨远端实际关节面连线,测量HVA、IMA和DMAA。见图1。先由1位足踝专科主任医师对每张X线片上的解剖标志予以标出,再由4名足踝专科住院医师使用测角仪对X线片完成测量,测量结果取平均值。

外翻角(HVA)、跖间角(IMA)、跖骨远端关节面夹角(DMAA)的测量 红线为近节趾骨轴线;黑线为第一跖骨轴线;蓝线为第二跖骨轴线;白线为第一跖趾关节实际关节面连线;黄线为第一跖骨轴线的垂线;∠α为HVA;∠β为IMA;∠γ为DMAA
外翻角(HVA)、跖间角(IMA)、跖骨远端关节面夹角(DMAA)的测量 红线为近节趾骨轴线;黑线为第一跖骨轴线;蓝线为第二跖骨轴线;白线为第一跖趾关节实际关节面连线;黄线为第一跖骨轴线的垂线;∠α为HVA;∠β为IMA;∠γ为DMAA将扫描后获得的CT连续断层图像数据以DICOM 3.0数据格式导入Materialise Mimics 19. 01(Materialise,比利时)软件中。根据不同的灰度值进行分割,提取跖骨和趾骨边界的轮廓信息区,对带有不同阈值的背景、软组织和骨组织进行阈值分割(Thresholding),设定阈值最小为242、最大2 185,使用区域增长(regional growth),将离散的体素去除,把骨性结构分割出来(图2A)。对分割出来的第一跖骨、第二跖骨、近节趾骨所对应的每层蒙板进行多层编辑(添加、删除、填充等)操作后,进行3D重建(calculate 3D from mask),重建第一跖骨、第二跖骨、近节趾骨3D模型(图2B)。


轴线的确定:在3D模型上提取第一跖骨,利用软件拟合区域功能自动分析计算生成趾骨和趾骨中心线(即轴线)。根据第一跖骨体积、密度、形状将第一跖骨分割成无数截面,通过计算生成表面折线(calculate polylines from 3D),然后根据折线计算每个截面的中心点进而生成第一跖骨轴线(图3A)。使用相同方法分别生成近节趾骨、第二跖骨轴线(图3B、图3C)。
关节面连线的确定:通过3D模型和2D CT断层位置和图形比对,在CT 2D冠状面、矢状面和轴视图下利用Mimics软件多层编辑功能(multiple slice edit)和蒙版3D编辑(edit mask in 3D)功能重建第一跖骨远端实际关节面,并通过近节趾骨与第一跖骨3D模型进行修正,以5°为基准旋转模型,确定实际关节面最内侧与最外侧,连接两点生成第一跖骨实际关节面连线(图4)。
把STL文件导入3-matic软件中,根据X线投射原理以人体纵轴15°为投射角度,作为跖骨和趾骨的正投影区,在2D投影面中测量HVA、IMA、DMAA角度(图5A、图5B),由4名足踝专科住院医师完成所有患者的测量,测量结果取4名医生的测量均值。

外翻角(HVA)、跖间角(IMA)、跖骨远端关节面夹角(DMAA)进行测量 5A 将Mimics中生成的STL格式文件导入3-matic中 5B 将3D重建模型投影后进行相关角度测量
外翻角(HVA)、跖间角(IMA)、跖骨远端关节面夹角(DMAA)进行测量 5A 将Mimics中生成的STL格式文件导入3-matic中 5B 将3D重建模型投影后进行相关角度测量采用SPSS 20.0统计软件进行数据分析。服从或近似服从正态分布的计量资料采用
±s表示,不同方法比较采用配对t检验。应用组内相关系数(intraclass correlation coefficient, ICC)评价4名测量者间测量结果的一致性:ICC>0.80,可靠性优;ICC 0.40~0.80,可靠性一般;ICC<0.40,可靠性差。采用MedCalc 17.7.2软件行Bland-Altman分析并作图。以P<0.05为差异有统计学意义。
采用常规X线测量法时测量者间ICC值为0.89,采用CT建模测量法时ICC值为0.91,提示4名测量者的测量结果可靠性优。
对于HVA、IMA的测量,X线测量法和CT 3D重建测量法差异均无统计学意义(P值均>0.05);对于DMAA的测量,CT 3D重建测量法测量值明显高于X线测量法,差异有统计学意义(P<0.01)。见表1。

两种方法测量
外翻相关指标结果比较(°,
±s)
两种方法测量
外翻相关指标结果比较(°,
±s)
| 组别 | 足数 | HVA | IMA | DMAA |
|---|---|---|---|---|
| X线法 | 36 | 29.10±10.04 | 13.98±4.38 | 12.57±3.96 |
| CT法 | 36 | 30.02±10.62 | 13.83±4.29 | 16.21±3.65 |
| t值a | 1.257 | 0.491 | 9.007 | |
| P值 | >0.05 | >0.05 | <0.01 |
注:HVA为
外翻角;IMA为跖间角;DMAA为跖骨远端关节面夹角;a配对t检验
常规X线测量法和CT 3D重建测量法测量HVA时,5.56%(8/144)的点在95%一致性界限以外,两种方法平均值相差-0.90°,结果最大相差28.72°,两组方法测量结果平均为29.56°,可以认为两组方法测量的结果具有较好的一致性。见图6。

外翻角的Bland-Altman图
外翻角的Bland-Altman图常规X线测量法和CT 3D重建测量法测量IMA角时,4.86 %(7/144)的点在95 %一致性界限以外,两种方法平均值相差0.1°。结果最大相差9.98°,两组方法测量结果平均为13.90°,两组方法测量的结果具有较好的一致性。见图7。


常规X线测量法和CT 3D重建测量法测量DMAA时,2.08 %(3/144)的点在95 %一致性界限以外,两种方法平均值相差-3.6°,结果最大相差6.18°,两种方法测量结果平均为14.39°。常规X线测量法平均值12.57°,标准差3.96°,95%可信区间(10.89°~16.07°);CT 3D重建测量法平均值16.21°,标准差3.65°,95%可信区间(14.48°~18.97°),两组方法一致性较差。见图8。


外翻相关角度测量的意义
外翻指
趾在第一跖趾关节处向外侧偏斜移位。HVA、IMA是评价
外翻严重程度、指导
外翻治疗及评估拇外翻术后疗效的重要指标[4,5]。DMAA可评估第一跖骨头关节面横向偏移的程度,该角度的改变是一部分患者
外翻畸形的主要原因;不同的DMAA决定不同的手术方案设计,不矫正该角度常引起
外翻术后复发、跖趾关节活动度减少以及疼痛[6,7]。
随着现代社会的发展,患者对
外翻的治疗要求不断提高,医生对
外翻解剖畸形的认识也不断全面。为了解其复杂的病理改变,需要对足部解剖指标进行全面的测量。
外翻相关指标术前及术后的精确测量,对
外翻的术前诊治及术后疗效评估具有重要意义,通过选择正确的治疗方式,可以在很大程度上降低术后并发症的发生率。
外翻相关角度测量结果的比较本文4名测量者分别使用常规X线测量法和CT 3D重建测量HVA、IMA、DMAA角,测量者间一致性检验结果显示可靠性优(ICC值>0.80),说明两种测量方法都可容易掌握,不同测量者不会影响两种方法的测量结果。
使用常规X线测量法和CT 3D重建法测量HVA、IMA,测量结果之间差异均无统计学意义(P值均>0.05)。Bland-Altman分析两种方法具有较好的一致性,而X线测量法对HVA、IMA的测量被视为术前测量的"金标准",因此负重位下CT 3D重建测量法对HVA、IMA角的测量临床可行。
使用常规X线测量法和CT 3D重建法测量DMAA,测量结果之间差异有统计学意义(P<0.05),Bland-Altman分析显示两种方法一致性较差。对于DMAA角度的术前测量,目前临床中仍主要依赖于常规X线方法测量法,但国内外的学者及临床医生已经提出,在使用常规X线方法测量DMAA的准确度有限[8,9]。
外翻患者常伴有第一跖骨的旋转,在X线上由于无法正确判断第一趾跖关节实际关节面的最内侧和最外侧,造成常规X线测量法对DMMA实际测量值的误差。国内学者吕振木等[10]发现,相对于术前DMAA的测量结果,术中发现该角度明显增大。Robinson等[11]研究发现,第一跖骨30°的旋转会引起DMAA 10 °的改变。Cruz等[12]分别使用X线测量与CT数据测量DMAA,发现由于第一跖骨的旋转,两种测量结果有明显的差异。Jastifer等[13]研究发现在尸体实验中,尸体样本使用常规X线测量法测量结果比标本实测值小。而计算机辅助下负重位CT 3D重建测量可以完全避免旋转等足部畸形的影响,通过模拟重建第一跖趾关节实际关节面,对DMAA角进行精确测量,因此负重位下CT 3D重建测量法对DMAA的测量优于常规X线测量法。
因此,笔者认为,由于
外翻患者常伴有第一跖骨旋转等解剖畸形,在X线上无法精准确定第一跖趾实际关节面最内侧与最外侧,从而造成了常规X线测量法测量DMAA的误差;而CT重建测量法通过对
外翻的3D模型重建,可完全避免旋转造成的误差,模拟出第一跖趾实际关节面的最内侧与最外侧。对于HVA、IMA的测量,两种测量方法的结果并无明显差异,分析主要原因是为:HVA、IMA测量主要依据的解剖标志为近节趾骨轴线、第一跖骨轴线、第二跖骨轴线,而趾骨与跖骨的旋转等解剖畸形对于这些轴线的确定影响并不大。
临床实践中
外翻的测量主要基于负重位下X线正位片的手工测量[14]。术前X线测量法对HVA、IMA的测量被视为
外翻测量的"金标准"[15]。X线的拍摄要求操作者具有丰富经验,国外许多学者评估了因摄片距离、摄片角度的不同对
外翻指标的测量带来的误差[16]。
外翻足部解剖标志的识别和参考点的确定,对医生临床经验依赖较强,X线片反复多次画线易造成画线不准,普通测量工具易产生测量误差。轴线的确定有多种方法,研究发现:不同的医生可能会选择不同的测量方法;使用X线测量法对HVA和IMA进行测量,不同时间、不同观测者使用同一种方法测量出的角度具有明显差异,经验丰富的医生较年轻医生测量更准确[17]。第一跖骨的屈曲或背屈也可影响X线测量法结果的准确性[18]。对于DMAA的测量,不同测量者在确定跖骨远端关节面的关节表面时已经出现差异,在使用常规方法临床测量中,DMAA的测量准确度有限。
应用计算机及图像分析软件来测量,可以提高测量指标的精确度,减少误差,但对于这些解剖标志的确定主观依赖性仍较强,不可避免由摄片时畸形骨的重叠及摄片位置角度不准等因素带来的误差。
目前,
外翻的诊断及术前规划都离不开相关指标的精确测量。本研究基于足负重位CT图像应用Mimics软件测量
外翻相关角度,从以下几个方面控制误差:(1)利用计算机拟合成轴线技术对跖骨及趾骨的轴线进行确定,降低了常规X线测量法人为确定轴线产生的误差;(2)通过CT 3D重建可多角度呈现跖骨旋转及跖趾关节畸形,为确定第一跖骨远端实际关节面最内侧与最外侧、精确测量DMAA角提供重要依据;(3)通过对3D重建模型的准确投影,降低了X线摄片过程中投射距离及投射角度不同产生的误差;(4)使用计算机对角度自动测量,降低了常规测角仪等手动测量带来的误差。
本研究目前的不足是相对于传统X线测量方法测量方法,计算机测量方法的掌握需要前期短暂的学习周期。
综上所述,本研究基于模拟足负重位CT图像应用Mimics软件测量
外翻相关角度,建立了一种新的临床测量方法。该法可对
外翻相关指标精确测量,可靠性、重复性好,对于DMAA的测量优于常规X线测量法,具有一定临床价值。本研究下一步将扩大样本量,并进行尸体实验,拟通过运用MRI来取代CT扫描减少患者的辐射量,并且根据MRI数据进行足部软组织的重建,为
外翻的治疗提供更加精准、全面的解剖学依据,同时利用计算机辅助这一技术,完成对
外翻手术的术前规划及术中辅助,实现个体化精准医疗。


外翻
外翻角



















