
版权归中华医学会所有。
未经授权,不得转载、摘编本刊文章,不得使用本刊的版式设计。
除非特别声明,本刊刊出的所有文章不代表中华医学会和本刊编委会的观点。
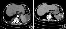
患者女,80岁。因发热3 d,腹泻1 d,收入我院感染和临床微生物科。入院体检:体温38.2℃,脉搏108次/min,呼吸20次/min,血压124/68 mmHg(1 mmHg=0.133 kPa)。咽部充血,双肺叩清音,双下肺可闻及散在细湿啰音。心率100次/min,心律不齐,各瓣膜区未闻及病理性杂音。上腹轻压痛(+)、右输尿管压痛点(+)。便常规:黄色软便,便红细胞(-)、白细胞(-)、潜血(-)。尿常规:尿红细胞(±),细菌计数85个/μl。血常规:白细胞19.82×109/L,中性0.94,血红蛋白117 g/L,血小板156×109/L,降钙素原(PCT)50.65 μg/L,C反应蛋白(CRP)138 mg/L。住院后经验给予阿莫西林-舒巴坦1.5 g,3次/d静脉点滴,抗感染治疗2 d后,最高体温仍达38.9 ℃,血常规:白细胞18.47×109/L,中性0.93,淋巴0.04;红细胞3.61×1012/L;血红蛋白103 g/L;血小板120×109/L;PCT 20.93 μg/L,考虑患者全身重度感染故将抗生素调整为哌拉西林-他唑巴坦4.5 g,每8小时1次。患者既往有心房颤动病史30年,高血压10年,最高血压180/130 mmHg,糖尿病病史10年。入院后胸部CT提示:双肺条索及磨玻璃密度影,考虑间质性改变合并轻度炎症,双侧胸膜局限性增厚、粘连,双侧胸膜腔积液;脾脏低密度灶,建议腹部进一步检查。入院后第4天全腹增强CT显示脾内囊性占位(图1A),考虑脾脓肿可能性大。行脾脓肿穿刺引流术,引流约100 ml褐色浑浊液体,引流液常规:李凡他试验++;细胞总数16 243 537个/μl,白细胞数963 537个/μl,分类单个核细胞5.00%;引流液生化:总蛋白13.20 g/L;氯98.7 mmol/L;糖14.88 mmol/L;乳酸脱氢酶5 314 U/L;腺苷脱氨酶509 U/L。查患者白细胞计数及PCT均呈下降趋势,继续哌拉西林-他唑巴坦抗感染治疗,入院后第7天患者体温恢复正常,引流管通畅,每日可有10 ml左右黄褐色脓液引出,患者病情好转。入院第11天,无发热,PCT 0.30 μg/L较前显著降低。入院14 d后,复查腹部CT脾内囊性占位明显缩小(图1B)。继续抗感染治疗6 d后,PCT 0.05 μg/L,患者病情稳定出院。


患者住院发热寒战时送检的血培养为阴性。经皮脾穿刺送检的脓液标本及引流的脓液标本分别进行需氧及厌氧培养也没有细菌生长,但在脓液标本直接涂片中看到革兰染色不定、形态不规则的杆菌(图2)。随后我们将穿刺所获得的冻存脓液标本以及后续引流的脓液标本直接处理提取细菌的DNA ,使用细菌通用引物进行16S rRNA基因扩增,扩增产物经测序比对分析,比对结果99%与栖牙普雷沃菌一致,其中960个碱基中954个一致(GenBank: AB547680.1,954/960,99%一致)。


化脓性脾脓肿并不常见,危险因素包括脾外伤、心内膜炎、静脉注射毒品、镰状细胞疾病、糖尿病、先天或获得性免疫缺陷等[1]。脾脓肿没有特异性的临床症状,因此容易出现漏诊。文献报道只有84%~95%的脾脓肿患者表现为发热,39%~50%左上腹痛,30%~67%脾肿大,19%~41%左侧胸腔积液[1],影像学检查可以帮助脾脓肿的诊断[2]。本例是一个糖尿病患者,因发热、腹泻、上腹痛入院,通过腹部CT检查明确了脾内囊性占位,提示脾脓肿的可能性大,在此基础上经皮穿刺脾引流后的病原学检查确认了化脓性脾脓肿的诊断。
脾脓肿通常是单一病原体的感染,主要的病原菌包括链球菌属、葡萄球菌属、沙门菌属、大肠埃希菌、肺炎克雷伯菌、奇异变形杆菌、假单胞菌属、分枝杆菌属以及厌氧菌属,还有念珠菌、隐球菌、曲霉菌、痤疮丙酸杆菌等引起感染的报道[3,4,5,6]。本病例为栖牙普雷沃菌感染。
普雷沃菌是革兰阴性、多形性的无芽孢杆菌,对营养要求、生长环境要求较高,是专性厌氧菌。以前属于拟杆菌属,1996年之后划归为普雷沃菌属。目前有50多个种[7]。普雷沃菌主要寄生在人和动物的口腔,也寄生于肠道和泌尿生殖道中,为条件致病菌,引起的感染主要是牙周炎及口腔疾病[8]。最近也有引起身体其他部位脓肿及软组织感染的报道[9]。与所有的厌氧菌一样,普雷沃菌属的分离鉴定比较困难,无论是标本的采集、运送及培养鉴定菌需要特殊的方法,厌氧菌的体外的敏感性试验在很多医院的临床实验室不是常规检查项目。另外,抗菌药物的使用也是很多细菌在体外不能培养出来的原因,因此治疗这类细菌引起的感染通常是采用经验性治疗。有文献报道普雷沃菌属对哌拉西林-他唑巴坦、氨苄西林-舒巴坦、头孢西丁、亚胺培南、美罗培南及甲硝唑敏感;但有83%普雷沃菌对青霉素耐药、65%对环丙沙星耐药、11%对克林霉素耐药。83%的普雷沃菌属产β-内酰胺酶[10]。值得注意的是,厌氧菌对于抗菌药物的耐药也在不断地增加,目前已有普雷沃菌属对甲硝唑耐药的报道[10]。本例诊治过程中,血培养以及脓液培养的结果均为阴性,最终是通过扩增细菌的16SrRNA鉴定出这个细菌。近年来,随着分子诊断技术广泛运用于临床,使得像厌氧菌这种传统培养法不易培养的病原体的诊断显著提高。大多数病例经验抗生素治疗首先选用的是阿莫西林-舒巴坦,随后调整为哌拉西林-他唑巴坦。目前,对于治疗脾脓肿还没有金标准。一直以来,脾切除被认为是主要治疗方法,引流也是重要的治疗手段,但是也有单用抗生素治疗的病例报道。对于没有脾切除的患者,引流也是重要的治疗手段。特别是年轻患者,经皮穿刺引流后加抗菌药物治疗是一种治疗选择[2],本例首先进行了经皮穿刺脾引流,同时应用抗生素抗感染治疗4周,患者得到及时的诊断及有效的治疗。





















