
版权归中华医学会所有。
未经授权,不得转载、摘编本刊文章,不得使用本刊的版式设计。
除非特别声明,本刊刊出的所有文章不代表中华医学会和本刊编委会的观点。
患者女,28岁。因发热伴头痛、恶心、呕吐20 d,并左侧肢体无力11 d入院。患者因皮肤色素沉着,多发浅表淋巴结肿大于2012年5月行淋巴结活检确诊外周T细胞性非霍奇金淋巴瘤,行GDPML方案(健择、顺铂、地塞米松、甲氨蝶呤和培门冬酶)化疗,第2疗程化疗中出现皮肤脱屑、渗液、红斑,无明显恶心、呕吐等胃肠道症状。第2疗程化疗后接受伏立诺他、地塞米松治疗。合并粒细胞缺乏性发热,最高体温39℃,伴头痛、恶心、呕吐,伏立诺他减量后呕吐好转,仍低热37.5℃。2012年9月1日起出现左侧肢体无力,行走困难,无抽搐、意识障碍等。近期食欲可,无腹痛、腹泻等,无明确不洁饮食史。
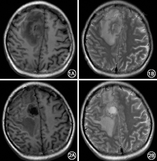
入院时体格检查发现左侧腱反射稍亢进,左侧肢体肌力0级。外周血白细胞9.93×109/L,中性0.87,淋巴0.10,血红蛋白73 g/L。头颅MRI提示右侧额叶大脑镰旁团块样异常信号约3.0 cm×4.1 cm,灶周大片水肿信号,花环样增强。灶周及右侧颞叶皮层下见数个环形增强小病灶(图1),考虑脑脓肿可能。PET-CT检查和化疗前相比,颅内为新出现病灶。


入院后于2012年9月13日全麻下行颅内占位探查活检术,术中可见灰白色脓性物质,内含大量黄色脓液,术中冰冻及术后病理提示颅内变性、坏死物及脓细胞,符合脑脓肿。术后给予静脉使用万古霉素、美罗培南及口服复方新诺明治疗,体温可降至正常,肌力无好转。7 d后脓肿脓液培养回报为单核细胞增生李斯特菌,药敏显示对青霉素G、复方新诺明及氨苄西林均敏感,故将万古霉素调整为静脉青霉素4 MU,每4小时1次,余治疗同前。患者左侧肌力逐渐恢复至3级,复查头颅MRI显示病灶缩小,周围水肿消退(图2)。但患者高热不退,腰穿脑脊液压力、常规及生化均正常,血培养阴性。2周后因肺部感染及反复菌血症,出现感染性休克、导管相关性血流感染,血培养示铜绿假单胞菌及热带念珠菌感染,于2012年11月11日病情加重,抢救无效死亡。
单核细胞增生李斯特菌为常见的食源性致病菌之一[1],因可于4℃中生长,常由于食用未经高温烹煮的食物,如生肉、奶酪、熏肉等感染,导致伴发热的胃肠炎、败血症、脑膜炎,孕产妇感染导致流产、死产、新生儿败血症等[2]。细胞免疫功能受损人群、老年人、孕妇是感染高危人群[3]。
由于单核细胞增生李斯特菌为胞内菌,从肠道感染后可以进入血流、透过血脑屏障,侵犯中枢系统,导致细菌性脑膜炎、脑膜脑炎、脑干脑炎等,病死率高[4,5]。但表现为脑脓肿罕见,国内报道仅1例[6],1968年至2011年国外文献共有56例散发病例报道,多数为患有血液系统恶性肿瘤(23%)、接受大剂量糖皮质激素治疗的自身免疫病(19%)、糖尿病(12%)及接受器官移植者(10%)[7]。病死率接近40%[7,8]。本例患者存在导致严重细胞免疫受损多种因素,包括T细胞淋巴瘤、接受过2个疗程化疗、化疗后合并粒细胞缺乏、长期服用中等剂量糖皮质激素及使用伏立诺他等。虽目前尚未有使用伏立诺他后出现脑脓肿的病例报道,但伏立诺他为蛋白脱乙酰酶抑制剂,抑制肿瘤生长同时也抑制免疫系统。由于其病程较长,发病之前是否食用生冷食物难以追溯,其主要表现为头痛、恶心、发热、左侧肢体无力,头颅MRI检查发现新出现颅内病灶,周围合并水肿带等典型提示脑脓肿的改变,综合考虑为感染。多种病原体均可导致免疫功能严重受损患者颅内感染而出现脑脓肿,其中除常见的病原体外,机会性感染发生率高,需考虑特殊病原体感染。经验性抗菌治疗需选择覆盖面更广的广谱抗菌药物,并积极明确病原体,对于指导选择有效抗菌药物至关重要。
从本例的临床表现看,单核细胞增生李斯特菌脑脓肿的表现缺乏特异性,其症状主要为发热、颅压增高导致的头痛及颅内相应功能区受影响所致症状。影像学表现与其他细菌造成的脑脓肿类似,CT表现为较厚壁占位伴周围低密度水肿带,MRI为长T1、长T2及明显的周围水肿带,与既往文献报道情况类似[9,10]。关于单核细胞增生李斯特菌所造成的脑脓肿的治疗方式,亦与脑脓肿的治疗原则类似,及时去除病灶,并以敏感抗菌药物治疗。在对以往文献进行总结后,发现51%接受手术的患者的生存率要比未接受手术的患者生存率稍高(74%比63%)[7]。对于无法进行手术的深部脑脓肿,有研究者认为联合高压氧治疗可提高治疗效果[11]。在抗菌药物选择上,治疗首选青霉素,因其对青霉素耐药罕见[12],若对青霉素过敏,可首选复方新诺明,次选亚胺培南、美罗培南[13]。单核细胞增生李斯特菌对头孢类抗菌素天然耐药。此例手术脓液培养确诊为单核细胞增生李斯特菌脑脓肿时,其血培养和脑脊液培养均阴性,考虑和经验性使用抗菌药物有效有关。
此例经过积极手术清除脓肿,脓液培养明确了单核细胞增生李斯特菌脑脓肿的诊断,并及时改用敏感且可透血脑屏障的青霉素治疗,从病程上看,患者术后左侧肢体无力明显好转,头痛症状明显减轻,考虑治疗有效。但患者为T细胞淋巴瘤晚期,化疗效果差,原发病病情进展,开颅手术恢复期合并肺部多重感染,最终因感染性休克而死亡。
总之,对于免疫功能受损患者的脑脓肿鉴别诊断应考虑特殊病原体,包括单核细胞增生李斯特菌,经验性抗菌药物选择包含能够有效覆盖单核细胞增生李斯特菌的青霉素类药物。同时尽早进行外科手术去除病灶、针对性调整抗菌药物治疗方案及支持性治疗是本病治疗的关键。





















