
版权归中华医学会所有。
未经授权,不得转载、摘编本刊文章,不得使用本刊的版式设计。
除非特别声明,本刊刊出的所有文章不代表中华医学会和本刊编委会的观点。
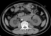
患者男性,50岁。因胫前水肿5个月,左肾盂积水2个月于2014年10月15日收入我院肾内科。2014年5月患者无明显诱因出现双侧胫前可凹陷性水肿,晨轻暮重,伴乏力、活动耐量减低、双下肢肌肉酸胀感,无眼睑、颜面部水肿,无肉眼血尿、泡沫尿,无头痛、咽痛、发热、皮疹、关节痛等不适。当地诊所查尿常规:比重1.010,尿蛋白阴性,潜血阴性;血肌酐(SCr) 104 μmol/L。2014年8月出现食欲减退、恶心等不适,复查SCr 150 μmol/L,当地诊所予健胃消食的中成药治疗。2014年10月就诊我院门诊,血压110/85 mmHg(1 mmHg=0.133 kPa);查血常规:WBC 5.05×109/L,中性粒细胞百分比58.5%,嗜酸性粒细胞0.03×109/L,Hb 102 g/L,PLT 244×109/L;尿常规:比重1.006,尿蛋白阴性,潜血5.3红细胞/μl,WBC 2.6细胞/μl;24 h尿蛋白0.627 g; SCr 345.9 μmol/L。超声提示左肾包膜下可疑积液,范围0.6 cm×4.4 cm;双肾集合系统分离,左侧宽约2.3 cm,右侧宽约2.6 cm。胸腹盆CT平扫(图1):腹膜后软组织密度影,包绕腹主动脉、下腔静脉及双侧髂总动静脉,考虑腹膜后纤维化(retroperitoneal fibrosis, RPF)可能,双侧肾盂肾盏扩张积水。核素肾血流图:左肾血流灌注显著减低,滤过功能严重受损;右肾血流灌注略减低,滤过功能中度受损。GFR 37.5 ml/min,右肾GFR为22.3 ml/min,左肾GFR为15.2 ml/min。


为进一步诊治收入我科。
既往史:2012年诊断中枢性尿崩症,予醋酸去氨加压素片0.1 mg,3次/d,多尿症状好转,尿量由3 500 ml/d减为2 000 ml/d。同年因双下颌肿物行双侧颌下腺摘除术,病理不详。否认高血压、糖尿病、慢性肾脏病等病史。个人、婚育、家族史无殊。入院体检:体温36.2℃,脉搏80次/min,呼吸19次/min,血压136/98 mmHg;皮肤黏膜无黄染;浅表淋巴结未触及肿大;甲状腺Ⅰ度肿大,无血管杂音;双肺呼吸音清,未闻及干湿啰音;心律齐,各瓣膜区未闻及杂音;腹平软,无压痛、反跳痛,移动性浊音阴性;双下肢无水肿。实验室检查:血常规:WBC 11.37×109/L,中性粒细胞百分比66.2%,嗜酸性粒细胞0.01×109/L,Hb 123 g/L,PLT 315×109/L。尿常规:比重1.009,尿蛋白阴性,潜血阴性。10月24日SCr 418.8 μmol/L,尿素氮13.90 mmol/L,IgA 1.71 g/L(参考值0.70~4.00 g/L),IgM 0.48 g/L(参考值0.40~2.30 g/L),IgG 19.75 g/L(参考值7.00~17.00 g/L)。
患者中年男性,慢性病程。以双下肢水肿、左肾盂积水起病,SCr升高,CT提示腹膜后软组织包绕。诊断首先考虑RPF。该病是一种较少见的胶原血管病,特征是腹膜后组织慢性非特异性炎症伴纤维组织增生,进而包绕压迫输尿管、大血管和腹膜后腔其他脏器。按病因是否明确分为特发性RPF和继发性RPF。
特发性RPF病因不明,目前有两种观点:(1)动脉粥样硬化的局部炎症反应;(2)自身免疫病全身表现的一部分,其中最常见于IgG4相关疾病。
引起继发性RPF的病因较多,包括:(1)药物:常见的有麦角新碱、麦角胺、多巴胺受体激动剂,肼苯哒嗪、β受体阻滞剂、非那西汀等。通过增加胶原纤维的生成和胶原基质沉积导致纤维化,纤维化不仅局限于腹膜后,还可累积心包、胸膜和肺。(2)恶性肿瘤:淋巴瘤、肉瘤、结肠癌、乳腺癌和前列腺癌等。(3)感染相关:常继发于邻近组织的感染,如脊柱或椎旁脓肿,最常见的病原体为结核。(4)腹盆腔放射线治疗。(5)创伤、腹部手术史、腹膜后出血。(6)其他:组织细胞增多症,淀粉样变等。
本例患者无相应药物使用史,无发热、盗汗、体重减轻等症状;既往无结核感染,无肺结核、椎旁脓肿;无创伤及腹部手术史。入院后进一步完善相关检查:结核淋巴细胞培养+干扰素(A+B):0 SFC/106MC;血清肿瘤标记物(CA199、CEA、CA242、CA72–4、CA15–3)均阴性;血清免疫固定电泳阴性;CT影像除腹膜后肿物包绕外,未发现其他占位性病变;抗核抗体、抗中性粒细胞胞质抗体(ANCA)、抗可溶性核抗原(ENA)抗体、抗肾小球基膜(GBM)抗体均阴性。故暂不考虑继发性RPF。
血清IgG升高,影像学提示RPF,结合患者既往双侧颌下腺肿大和中枢性尿崩症的病史,需考虑IgG4相关疾病。根据2011年日本提出的IgG4相关疾病诊断标准[1],确诊需满足:1个或多个器官特征性的弥漫性或局限性肿大或肿块形成;血清IgG4升高(>1 350 mg/L);组织病理IgG4阳性浆细胞/浆细胞>40%,且每高倍镜视野下IgG4阳性浆细胞>10个。
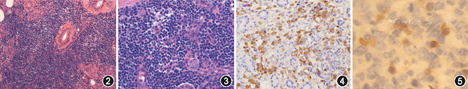
进一步检测血清IgG亚类:IgG1 8 730 mg/L(参考值4 900~11 400 mg/L),IgG2 4 370 mg/L(参考值1 500~6 400 mg/L),IgG3 543 mg/L(参考值200~1 100 mg/L),IgG4 19 800 mg/L(参考值80~1 400 mg/L)。追查2年前颌下腺术后病理,完善IgG4染色。颌下腺特染病理结果:硬化性颌下腺炎,淋巴结高度反应性增生;免疫组化:IgG+,IgG4+,IgG4阳性浆细胞数20个/高倍镜视野(图2,图3,图4,图5)。结合患者临床表现、实验室检查及病理IgG4染色,确诊IgG4相关疾病。


IgG4相关疾病可有多系统受累,且血IgG4水平升高,受累器官多提示预后较差。Zhang等[2]报道PET–CT较常规影像学检查能发现IgG4相关疾病患者更多的脏器受累,并能提示受累脏器与IgG4相关疾病的相关性。为进一步明确患者IgG4相关疾病的脏器受累情况,并了解中枢性尿崩是否与IgG4相关疾病相关,遂完善头颅+躯干PET–CT。结果提示:(1)双侧腮腺略肿胀且代谢轻度增高,腹膜后纤维化(腰椎3~5水平),累及相邻输尿管致肾盂及上段输尿管扩张积水,结合临床符合IgG4相关疾病。(2)垂体柄增粗,垂体代谢轻度增高,建议结合鞍区MRI除外腺瘤的可能。垂体增强MRI:垂体饱满,垂体柄增粗(左右径5.1 mm,前后径5.6 mm);垂体均匀强化,不符合腺瘤改变。结合患者临床表现和PET–CT结果,考虑受累器官包括:垂体、腮腺、颌下腺和腹膜后。
目前关于IgG4相关性垂体炎的文献报道共32例,其中11例有组织病理证实[3]。该病主要特点是浆细胞对垂体和/或垂体柄的浸润,导致垂体功能改变或占位效应。2011年Leporati等[4]建议IgG4相关垂体炎采用如下诊断标准:(1)垂体组织病理:垂体组织被富含淋巴和浆细胞的单核细胞浸润,每高倍视野超过10个IgG4阳性细胞;(2)垂体MRI:蝶鞍占位和/或垂体柄增粗;(3)其他器官活检证实IgG4相关性疾病;(4)血清IgG4升高;(5)糖皮质激素治疗后垂体占位迅速消退、症状好转。满足标准(1)或同时满足标准(2)、(3)即可诊断。为除外恶性病变,本例患者完善腰椎穿刺,脑脊液:细胞学、人绒毛膜促性腺激素(β–HCG)、癌胚抗原(CEA)、甲胎蛋白(AFP)均阴性。本例患者满足(2)、(3)标准,诊断IgG4相关垂体炎。患者无头痛、视力减退、视野缺陷、眼球运动障碍等占位表现,但有中枢性尿崩。为检测垂体功能,测促黄体生成素6.53 IU/L(参考值1.24~8.62 IU/L),促卵泡激素10.79 IU/L(参考值1.27~19.26 IU/L),雌二醇19.23 pg/ml(参考值<47 pg/ml),泌乳素18.31 ng/ml(参考值2.64~13.13 ng/ml),孕酮0.19 ng/ml(参考值0.10~0.84 ng/ml),睾酮1.56 ng/ml(参考值1.75~7.81 ng/ml),胰岛素样生长因子1 124 ng/ml(参考值94~252 ng/ml),生长激素0.2 ng/ml(参考值<2.0 ng/ml),ACTH 64.15(参考值7.2~63.3 ng/ml)。患者内分泌激素水平处于正常范围,提示无垂体功能减低。
大部分IgG4相关疾病对糖皮质激素治疗反应良好。本例患者2014年10月27日开始甲泼尼龙40 mg/d治疗,血IgG4水平从19 800 mg/L(2014年11月4日)降至14 700 mg/L(2014年11月13日);肾盂积水从左肾2.3 cm、右肾2.6 cm(2014年10月23日)降至左肾1.3 cm、右肾0.6 cm(2014年11月13日);SCr变化见图6。2014年11月15日复查核素肾血流图,GFR 49.3 ml/min,右肾GFR为34.8 ml/min,左肾GFR为14.5 ml/min。双肾功能较2014年10月14日改善,但未完全恢复。


A为2014年5月23日;B为2014年10月24日;C为2014年11月6日;D为2014年11月13日;E为2014年11月21日
IgG4相关疾病导致的急性肾损伤通常对糖皮质激素治疗反应迅速,我院总结24例IgG4相关疾病泌尿系统损害的患者[5],其中急性肾损伤患者21例,经糖皮质激素联合或不联合免疫抑制剂治疗,1周后SCr显著下降,随着治疗的时间延长,1个月SCr下降更明显。IgG4相关疾病导致的急性肾损伤主要考虑三种类型[5,6]:(1)腹膜后纤维化或输尿管炎性假瘤导致的肾后性梗阻;(2)IgG4相关疾病导致的肾小管间质肾炎;(3)IgG4相关疾病导致的肾小球病变,常见类型为膜性肾病。本例患者既往无慢性肾脏病,针对IgG4相关疾病所致的RPF加用糖皮质激素治疗1个月后,肾盂积水较前缓解,SCr降至105 μmol/L达到平台期,肾血流图提示肾功能改善不明显,需考虑除了IgG4相关疾病造成的肾后性梗阻外,是否存在其他原因导致的急性肾损伤。遂进行肾穿刺活检,病理提示:免疫荧光4个肾小球,IgG4阴性;光镜下可见肾小管–间质损害轻,无明显IgG4阳性细胞浸润;诊断肾小球轻微病变。完善CT泌尿系成像:双侧肾盂、肾盏及输尿管近段略扩张积水,左侧为著;下腔静脉、腹主动脉及双侧髂总动脉周围软组织密度影,RPF可能;下腔静脉局部及左肾静脉狭窄。
至此,患者排除其他IgG4相关肾脏疾病导致的急性肾损伤,SCr未能降至正常仍考虑与RPF引起肾后性梗阻相关。患者加用糖皮质激素治疗1个月后肾盂积水未完全排出,SCr降至129 μmol/L水平后不再下降,GFR仍<60 ml/min,考虑采用外科手段缓解肾后性梗阻,以促进肾功能的更快恢复。2014年11月27日行双侧D–J管置入术,1周后复查SCr 90 μmol/L。排尿后双肾超声示:双肾盂轻度分离,右肾盂宽0.6 cm,左肾盂宽0.4 cm。
随访:本例患者继续甲泼尼龙40 mg/d治疗,6周后逐渐减量,至2016年3月18日,甲泼尼龙减至6 mg/d。2014年12月2日加用环磷酰胺0.4 g每周一次,至2015年7月累计剂量11 g后停用。2015年3月4日取出双侧D–J管。2015年6月复查垂体增强MRI:垂体柄体积恢复正常大小。醋酸去氨加压素片逐渐减至0.05 mg,2次/d,每日尿量2 000 ml。2015年8月复查胸腹盆CT,与既往比较,下腔静脉、腹主动脉及双侧髂总动脉周围软组织密度灶较前范围减小。2016年3月14日查SCr 89 μmol/L,IgG4 2 020 mg/L;双肾超声示:双肾盂及输尿管未见扩张。





















