
版权归中华医学会所有。
未经授权,不得转载、摘编本刊文章,不得使用本刊的版式设计。
除非特别声明,本刊刊出的所有文章不代表中华医学会和本刊编委会的观点。
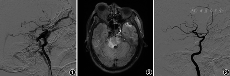
男性,51岁,因"颅脑外伤后1个月,右眼突出伴有颅内杂音1周"于2013年6月25日入院。患者1个月前因车祸致额窦及筛窦骨折,予以保守治疗,恢复良好出院。1周前出现右侧眼球突出及颅内杂音。体检:右眼视力0.5,右眼球向外突伴结膜充血;眼底检查见静脉充血水肿;右侧眼眶及颞部可闻及与心率一致的吹风样杂音。头部MRI检查FLAIR序列见脑桥右侧高信号水肿影。头部数字减影血管造影见海绵窦动脉期显影,经眼静脉引流,同时经岩下窦、斜坡静脉丛引流;脑干前方见扩张的静脉,通过基底静脉向Galen静脉引流至直窦;岩上窦闭塞未显影。压闭右侧颈动脉行左侧颈内动脉造影见侧支循环良好,右侧大脑中动脉显影无延迟(图1)。诊断为外伤性颈内动脉海绵窦瘘(traumatic carotid cavernous fistulae,TCCF),给予压颈试验以进一步促进建立侧支循环。5 d后患者出现左侧肢体瘫痪,肌力2级,并出现病理征。复查MRI示脑干水肿加重(图2)。急诊行TCCF球囊栓塞术,TCCF栓塞满意,颈内动脉通畅,海绵窦不显影(图3)。术后患者眼部症状逐渐缓解,杂音消失,左侧肢体瘫痪逐渐恢复。术后1周复查MRI显示脑干水肿减轻。随访1个月时临床症状消失,肢体瘫痪完全恢复,复查MRI显示脑干水肿基本消失。继续随访1年,患者无不适,生活正常。


TCCF后发生脑干水肿的病例比较少见,目前对其了解不多。发生TCCF后海绵窦内的血流通过周边的静脉以及静脉窦引流,加之静脉内的血流动脉化,可使脑干周边的静脉逐渐充血,最终导致进行性的脑干水肿,甚至出血。发生脑干水肿时应该给予积极治疗,否则容易发生不可逆的脑干受损[1,2]。本文报道的病例在脑血管造影检查时已经发现TCCF经岩下窦和斜坡静脉丛引流,且MRI已经提示脑干水肿,应即刻治疗。因为TCCF向后方的静脉引流被视为TCCF可能预后不良需积极处理的指征,但考虑到栓塞TCCF时可能闭塞颈内动脉,先行压颈试验进一步建立侧支循环,从而错过了最佳的治疗时机,使患者的后期恢复时间延长,但仍取得了满意的治疗效果。因此,TCCF发生脑干水肿时,应积极进行治疗,治疗TCCF后,脑干静脉的引流压力降低,可以有效地治疗TCCF导致的脑干水肿,从而有效的缓解并发的肢体瘫痪,可以取得较好的预后。





















