
版权归中华医学会所有。
未经授权,不得转载、摘编本刊文章,不得使用本刊的版式设计。
除非特别声明,本刊刊出的所有文章不代表中华医学会和本刊编委会的观点。
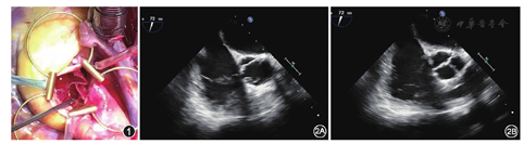
患者 男性,37岁,因"体检发现心脏杂音"于2016年7月1日入住吉林大学第一医院心脏外科。无高血压、糖尿病及传染病史。入院后体检:体温36.6 ℃,脉搏66次/min,呼吸16次/min,血压126/75 mmHg(1 mmHg=0.133 kPa);平卧位,双肺未闻及干湿啰音,心前区无隆起,心尖搏动位于第5肋间左锁骨中线外约1 cm,于心尖部可触及震颤,心界略向左扩大,听诊心率66次/min,心律齐,主动脉瓣听诊区可闻及4/6级收缩期喷射样杂音;肝脾未触及,双下肢无水肿。入院后实验室检查未见异常,胸部X线片未见异常;心电图提示窦性心动过缓。超声心动图提示:主动脉瓣重度狭窄合并轻度关闭不全;主动脉瓣瓣上峰值流速509 cm/s,肺动脉压103 mmHg,平均跨瓣压差67 mmHg;左心室舒张末期内径56 mm,射血分数61%。术前诊断:心脏瓣膜病,主动脉瓣重度狭窄合并轻度关闭不全,心功能(纽约心脏病协会分级)Ⅱ级。于2016年7月7日在全身麻醉下行主动脉瓣置换术。患者取平卧位,行胸骨正中劈开,分离心包外多余组织,纵行裁剪出8 cm×9 cm大小的心包,将心包放入0.6%戊二醛溶液中固定10 min,后于0.9%氯化钠溶液中洗涤3次,每次6 min。常规建立心肺转流后,当鼻咽温降至35 ℃时,阻断升主动脉,主动脉根部灌注停跳液,于主动脉根部上左右横行切开主动脉。切除主动脉三个瓣叶,用手术专用瓣叶测量器测量新瓣叶大小,右冠状动脉窦、左冠状动脉窦、无冠状动脉窦分别为27、23、25 mm。用专用模板在心包上标记各新瓣叶边缘线,分别裁剪出各瓣膜。首先行右冠状动脉窦瓣膜重建,应用一根5-0不可吸收缝线于心包片中点向左冠状动脉窦与无冠状动脉窦交联处缝合,另一半由心包中点向左冠状动脉窦与右冠状动脉窦交联处缝合,缝至交联处时垂直穿出主动脉壁,其余瓣叶缝法同前,然后应用2根4-0不可吸收缝线双头针呈倒梯形垂直穿出主动脉,将心包的瓣角组织固定在主动脉壁上,主动脉壁外行毛毡片打结固定,缝至交联处的5-0不可吸收缝线也在另外一个毛垫片上打结固定。瓣叶重建完成后(图1)注水实验示瓣叶对合良好。心脏复跳后,术中经食管超声心动图示瓣叶开放关闭良好(图2),主动脉瓣微量反流。手术主动脉阻断时间与心肺转流时间分别为165 min和218 min。患者术后7 d痊愈出院,术后第3个月复查超声心动图示主动脉瓣开放关闭良好,微量反流,主动脉瓣跨瓣压差14 mmHg。


主动脉瓣置换术是外科治疗主动脉瓣疾病的"金标准" ,但无论是机械瓣还是生物瓣,都存在相应问题。自体心包主动脉瓣重建术是将患者自身心包进行修剪后替换病变的主动脉瓣。该术式最早见于徐志云等[1]1997年报告的包括7例患者的病例系列研究,2008年葛楠和徐平[2]通过动物实验证实了自体心包作为主动脉瓣替代材料的可行性。该术式一般适用于年纪较轻而没有合适人工瓣的患者、有生育计划的妇女、不愿接受抗凝治疗的患者及高出血风险的患者。该患者为单纯主动脉瓣病变,我们选择该术式主要基于以下两点:(1)患者年纪较轻,不愿意接受终生抗凝;(2)自体心包主动脉瓣重建术后其主动脉窦及瓣环结构并未改变,近似于原有的主动脉瓣。由于该术式保留了主动脉窦及瓣环,相对于瓣膜置换术在术后住院时间、术后血流动力学、病死率及二次手术率等方面有一定优势。一项术后16年的随访研究结果显示,主动脉重建术具有良好的血流动力学、低病死率及血栓栓塞率[3]。Ozaki等[4]对416例自体心包主动脉瓣重建患者进行平均73个月的随访,患者5年生存率及二次手术率分别为83.3%和3.3%。
该项技术在国内开展较少,结合我们及相关文献报道的经验,现将该技术中的一些关键点总结如下。(1)瓣叶大小:瓣叶的大小对于手术至关重要。主动脉瓣叶的大小是指相邻交联处之间的距离,裁剪瓣叶前要分别测量3个瓣叶的大小;文献报道,13%的患者3个距离相同,57%有2个距离相同,其余的3个距离都不同[5];精确的测量可以使3个新的瓣叶具备共同的对合点,以避免术后瓣膜关闭不全;较小的瓣叶从靠近主动脉侧裁剪,较大的瓣叶从靠近膈肌侧裁剪,因为膈肌侧瓣叶较厚,能承受更大的压力,可避免心脏舒张时瓣叶撕裂。(2)对合高度:该技术产生了新的瓣叶对合点,对合高度较本身的瓣叶对合高度也相应增加(图3),这样既增加瓣叶之间的对合面积,也避免随着主动脉的扩张,瓣叶对合面积减小造成的关闭不全;对合高度不宜过高,以免舒张期瓣叶堵塞冠状动脉口。(3)缝合针距:瓣环基底部的针距与靠近交联处及心包片上的针距之比为1∶3[6](图4),瓣环基底部的心包片承受的压力较大,缩小针距可避免其撕裂。(4)戊二醛处理:目前,国内外学者多采用0.5%或0.625%的戊二醛溶液处理心包片10 min;这种处理可减缓瘢痕与钙化的形成,提高自体心包塑形性和抗拉伸能力,后者可达无钙化正常瓣叶的4倍[7];但戊二醛削弱了心包的扩张特性,对于未成年患者而言,主动脉会随年龄不断增粗,势必导致瓣膜对合面积减少,有发生瓣膜关闭不全的风险,因此,自体心包应用戊二醛处理仍有很多值得探索的问题。























