
版权归中华医学会所有。
未经授权,不得转载、摘编本刊文章,不得使用本刊的版式设计。
除非特别声明,本刊刊出的所有文章不代表中华医学会和本刊编委会的观点。
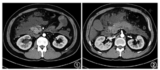
患者 男性,37岁,因"上腹部疼痛2 d"于2013年8月31日入院。患者就诊前2天突发上腹部胀痛,阵发性加重,伴有恶心、呕吐,呕吐物为胃内容物。当地医院腹部CT检查结果提示急性胰腺炎(acute pancreatitis,AP),给予抗炎、补液等对症支持治疗后疼痛无明显好转,且伴有全身肌肉酸痛乏力,遂转入我院胰腺中心治疗。病程中患者未饮食,大小便自解,自诉尿液为棕色,伴低热。入院体检:体温38.1 ℃,脉搏120次/min,呼吸频率24次/min,血压152/90 mmHg(1 mmHg=0.133 kPa),腹平软,全腹部明显压痛,反跳痛、肌紧张不明显,未及肿块,肝脾肋下未及,Murphy征阴性,移动性浊音阴性,肠鸣音正常。入院后辅助检查:动脉血气pH值为7.371,PaO2为162 mmHg(鼻导管吸氧5 L/min),PaCO2为162 mmHg,碱剩余为6 mmol/L;血清淀粉酶121 U/L(正常值:0~110 U/L),血清脂肪酶241.1 U/L(正常值:0~60 U/L);生化检查:尿素氮7.03 mmol/L,肌酐99.3 μmol/L,ALT 42.7 U/L,AST 63.6 U/L,肌酸激酶(creatine kinase,CK)7 337 U/L(正常值:25~190 U/L),乳酸脱氢酶2 150 U/L(正常值:313~618 U/L),甘油三酯9.65 mmol/L,血糖18.0 mmol/L,血钙2.07 mmol/L;肌红蛋白>1 000 μg/L(正常值:0~46 μg/L);血常规:白细胞计数7.78×109/L,中性粒细胞百分比86%,血红蛋白浓度156 g/L;尿常规:尿糖(+++),尿酮体(-),尿蛋白(-);糖化血红蛋白9.3%。腹部增强CT检查:胰腺肿胀,胰周大片渗出,符合AP表现(图1,图2)。


结合患者全身肌肉酸痛、尿液棕色、血清CK和肌红蛋白剧烈升高,考虑诊断为AP合并横纹肌溶解(rhabdomyolysis,RM)。给予大量补液、胰岛素和低分子肝素以控制血脂、血糖和抑制胰酶分泌等,患者的CK、肌红蛋白逐渐下降,1周后复查CK为363 U/L,肌红蛋白正常,尿色清,腹痛消失,恢复流质低脂饮食,予出院。
RM是由于横纹肌细胞受损后细胞膜的完整性改变,肌细胞内物质释放进入细胞外液和血液循环中所引起的一系列临床综合征。其原因极为复杂,常见的病因包括长期制动、肌肉直接损伤、剧烈运动、缺血缺氧、高温、代谢性疾病、遗传、自身免疫问题、药物、中毒、感染等[1]。AP是临床上常见的急腹症,可伴有局部甚至全身的并发症,造成包括肺、肾、肝、肠道、血管在内的多器官损伤[2]。目前关于AP对骨骼肌系统影响的报道较少,它可能是引起RM较为罕见的原因。Nankivell和Gillies[2]回顾性分析了548例AP患者的资料,其中合并RM者14例(2.6%),这其中大部分RM患者的临床表现并不典型。Pezzilli等[3]认为,由于部分RM患者的症状不明显,且住院期间不常规监测CK和肌红蛋白,可能会导致漏诊。AP引起RM的病例报道较少,目前AP患者发生RM的确切发病率仍不清楚。
AP合并典型RM不难诊断,患者可表现为全身症状,如发热、恶心、呕吐、心慌、尿液呈茶色等;肌肉症状明显,如肌痛、乏力,甚至发生急性肾损伤、肝损伤等并发症;实验室检查结果常显示血清CK和肌红蛋白升高,急性期可见电解质和酸碱平衡紊乱。本例AP患者全身肌肉酸痛无力,小便呈棕色,血清CK大于正常值5倍,且伴有血肌红蛋白、乳酸脱氢酶升高,RM诊断明确。该患者不存在上述RM的常见病因,考虑其为AP的并发症。AP引起RM的机制尚不清楚,可能与胰蛋白酶和炎性因子释放直接损伤骨骼肌有关。此外,AP导致的微循环局部缺血和严重电解质紊乱可能在RM的发生发展中扮演重要角色[1]。AP合并脓毒症患者可导致RM的风险增加,病原体可通过直接侵袭肌肉或释放毒素等损伤肌肉,导致肌肉组织缺血缺氧,引发RM[4]。
RM是否可以作为预测AP严重程度及预后的指标,目前仍有争议。早在1989年Hamilton等[5]就指出,RM和高肌红蛋白血症是AP患者发生急性肾损伤的重要原因。Nankivell和Gillies[2]发现,在重症急性胰腺炎引起的RM患者中,低钙血症的发生率为93%,作者发现RM不仅可加重低钙血症,且可引起长期的低钙血症,合并RM的患者往往病情变化迅速,容易合并多器官功能衰竭,死亡率高达79%,因此,作者认为RM的出现往往预示着AP预后不良。与上述报道不同的是,Pezzilli等[3]发现,轻症急性胰腺炎与重症急性胰腺炎患者的血清肌红蛋白浓度并无差异,且RM的发生与AP的严重程度及预后也无相关性。然而,由于AP合并RM的相关报道数据陈旧,缺乏近期的研究数据,且病例样本量少,RM对于AP严重程度及预后的影响目前仍然不清楚,需要进一步证实。早期大量补液是AP和RM治疗的基石[6,7],必要时需要行床旁肾脏替代治疗[8],本例患者未合并急性肾损伤,且未合并其他器官功能衰竭,未予肾脏替代治疗,经治疗好转后出院。





















