
版权归中华医学会所有。
未经授权,不得转载、摘编本刊文章,不得使用本刊的版式设计。
除非特别声明,本刊刊出的所有文章不代表中华医学会和本刊编委会的观点。
患者女性,20岁,因"吞咽困难、皮疹40余天,记忆力及高级智力减退1个月,间断抽搐6 d"于2016年4月6日入院。患者40余天前出现吞咽困难及胸背部散在红色皮疹;1个月前出现记忆力明显减退,以近期记忆力为主,伴有间断定向力障碍及精神亢奋、舞蹈样动作。当地医院就诊检查发现血红蛋白94 g/L、K+ 2.8 mmol/L,中上腹部巨大占位。患者遂转至我院,期间出现间断癫痫发作,伴每天发热,最高体温38 ℃。体检:胸背部散在红色皮疹,腹部软,左上腹可及较大包块,最大径约15 cm,质韧,活动度差。实验室检查:血红蛋白63 g/L、甲胎蛋白2 333 μg/L,CA125 81.5 U/ml,胃泌素232.9 ng/L,促肾上腺皮质激素(adrenocorticotropic hormone,ACTH)82.0 ng/L,皮质醇>750 μg/L。经多学科会诊后考虑神经系统症状符合副肿瘤综合征所致边缘叶脑炎,予以人血丙种球蛋白对症治疗,辅以镇静、降颅压及纠正电解质紊乱等治疗。
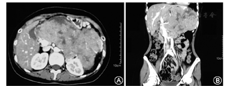
考虑肿瘤巨大(图1),且具有内分泌功能,为缓解神经系统症状及解除肿瘤占位压迫症状,于2016年4月11日行手术治疗。术中见肿物位于小网膜囊内,与胃后壁粘连致密,左侧与胰腺体尾部关系密切并侵犯脾血管,右侧累及肝十二指肠韧带,上达膈下,下方挤压左肾脏并侵犯左侧肾上腺。术中遵循"整块原则"、"无瘤原则",将肿物连同周围的胰腺体尾部、脾脏、左侧肾上腺、部位胃一并切除。术后病理回报:胰腺混合性腺泡-神经内分泌癌(mixed acinar-neuroendocrine carcinoma,MANEC),侵及胰周脂肪组织,侵及胃壁全层,紧邻脾脏及肾上腺被膜,体积16 cm×13 cm×10 cm,AACT(+),α-抗胰蛋白酶(+),AE1/AE3(+),CD56(部分+),CgA(部分+),Syn(+),ACTH(-),促肾上腺皮质激素释放激素(corticotropin releasing hormone,CRH)(+),Ki-67(index 80%)。患者术后出现胃排空延迟,予以胃管引流和肠外营养支持后好转,Clavien-Dindo分级Ⅱ级。余情况均恢复顺利,配合激素序贯减量治疗后,神经系统症状消失,ACTH和皮质醇分别降至10.2 ng/L和14.8 μg/L,甲胎蛋白、CA125、胃泌素均恢复正常,于2016年5月25日出院。患者及家属拒绝术后辅助化疗,于门诊每3个月复查影像学检查,至2018年8月发现左肾门转移病灶,并经穿刺活检证实,目前仍带瘤生存。


胰腺由外分泌和内分泌腺体共同组成,前者包含了导管和腺泡细胞,后者包含了各种内分泌细胞。导管腺癌占各类胰腺恶性肿瘤的85%以上,神经内分泌癌约占5%,腺泡细胞癌仅占1%左右[1]。若腺泡成分和神经内分泌成分同时存在,且所占比例均不低于30%,则该肿瘤被称为MANEC[2]。MANEC是一种极其罕见的疾病,目前仅有40余例报道,平均发病年龄为60.5岁,男女比例为1.75∶1,胰腺各部位的发病率无明显区别,肝脏是最常见的远处转移位置,中位生存期仅为17个月[3]。MANEC的诊断依赖于病理学分析和免疫组化染色。由于对不同成分的组成比例有严格的诊断要求,手术或穿刺活检时应尽量多取材。目前尚无标准的治疗模式,若肿瘤可切除,手术是首选的治疗方案[4]。由于MANEC除了腺泡成分外,还有神经内分泌成分,术后辅助放化疗的效果可能会优于单纯的腺泡细胞癌,但总体效果有限。
文献报道的MANEC病例主要以胃肠道症状起病,如腹痛、腹胀、消化道出血、黄疸等[5]。本病例以神经系统症状起病,在切除肿瘤后患者胸背部的皮疹自发消退、神经系统症状完全缓解,结合病理学检查结果中的ACTH(-)、促皮质激素释放激素(+),考虑患者为肿瘤异位分泌促皮质激素释放激素,继发ACTH、皮质醇增高,鲜有报道。本例患者肿瘤巨大,局部侵袭广泛,Ki-67高达80%,神经系统症状明显,但经过积极的多学科合作治疗,取得了超过预期的疗效。文献甚至有报道MANEC存活24年的个案[6]。对于此类少见疾病,多学科合作诊治,往往是为患者带来不同预后的唯一希望。
所有作者均声明不存在利益冲突





















