
版权归中华医学会所有。
未经授权,不得转载、摘编本刊文章,不得使用本刊的版式设计。
除非特别声明,本刊刊出的所有文章不代表中华医学会和本刊编委会的观点。
重组组织型纤溶酶原激活物(recombinant tissue plasminogen activator,rt-PA)最初于1996年被美国食品药品管理局批准应用,目前仍然是唯一被证实能改善缺血性脑卒中转归的超早期治疗药物[1]。对于缺血性脑卒中发病4.5 h内的患者,应尽快给予静脉rt-PA溶栓治疗[2]。而中国急性缺血性脑卒中诊治指南2014中将2周内严重外伤列为溶栓的相对禁忌证[3]。关于脑梗死合并骨折是否能够溶栓治疗,国内外研究报道较少,其安全性与可行性目前尚不清楚。解放军第三一三医院神经内科收治1例脑梗死导致摔伤后骨折患者,溶栓后治疗效果较好,现将其临床资料报道如下,旨在探讨脑梗死合并骨折溶栓治疗的可行性。
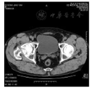
患者男性,57岁,既往体健,于2017年2月18日因"脑梗死"收入解放军第三一三医院神经内科。入院前2 h无明显诱因突然头晕后摔倒,右下肢疼痛不适,同时患者家属发现其出现言语不清、不识家人、右侧肢体活动障碍。入院体检:神清,定向力、理解力、计算力障碍,言语不清,额纹对称,右侧鼻唇沟变浅,伸舌不偏;右上肢肌力2级,肌张力正常,右侧肢体痛温觉减退,四肢腱反射对称存在,右侧巴氏征可疑;颈软,克氏征及布氏征阴性,余神经系统体检不合作;右下肢活动受限,外旋畸形,右髋关节压痛。入院后查头颅CT平扫未见异常(图1A),骨盆正位片提示右侧股骨颈骨折(图1B)。查血常规、肝肾功能、凝血功能、离子,均正常。美国国立卫生研究院卒中量表(National Institute of Health stroke scale,NIHSS)评分15分。患者家属强烈要求溶栓治疗,请我院骨科会诊评估后考虑骨折处大量出血可能性不大,遂向患者家属交待溶栓风险并征得其同意后,于发病3.5 h予rt-PA 0.9 mg/kg静脉溶栓,溶栓后患者右侧肢体活动好转(右上肢肌力4级),定向力、理解力基本正常,仍言语不清,NIHSS评分4分。溶栓全过程患者无头痛、出血,右侧髋关节处未见淤血。溶栓24 h复查颅脑CT未见出血、复查髋关节CT未见明显出血(图2)。发病1 d后查MRI证实左侧额颞叶多处新发梗死灶(图3)。溶栓2周后转至我院骨科行右髋关节置换术,手术效果满意。随访3个月,患者言语基本正常,右侧肢体活动可,跛行,改良Rankin量表评分2分。

Images of the patient in onset time

A:入院时颅脑CT未见明显异常;B:入院时骨盆正位X片提示患者右侧股骨颈骨折(箭头所示)
Images of the patient in onset time

CT image of hip joint after intravenous thrombolysis

CT image of hip joint after intravenous thrombolysis

MR imaging of brain after intravenous thrombolysis

A:DWI高信号;B:T1WI低信号;C:T2WI高信号
MR imaging of brain after intravenous thrombolysis
脑梗死组织周边存在缺血半暗带是缺血性脑卒中现代治疗的基础,而溶栓治疗则是目前恢复血流最重要的措施,rt-PA为目前发病4.5 h内溶栓的主要用药。尽管rt-PA的获益已得到确认,但只有少数急性缺血性脑卒中患者实际使用了这种药物,可能由于适合这种药物治疗的患者比例较低[4]。因为考虑到rt-PA相关的出血风险,有许多临床、影像学和实验室相关的排除标准被列入美国心脏协会/美国卒中协会(American Heart Association/American Stroke Association,AHA/ASA)急性卒中处理指南[5]。根据2015年AHA/ASA指南,近期(<14 d)有过重大外伤的急性缺血性脑卒中患者可考虑谨慎地进行静脉rt-PA治疗,但必须对外伤相关性损伤导致出血的风险与缺血性脑卒中的严重程度以及潜在致残性进行权衡,这些都极大地限制rt-PA的临床使用。国外有数例急性脑梗死合并骨折后溶栓获益的报道,但国内笔者未见相关报道[6]。本例患者选择静脉溶栓治疗的原因主要包括:(1)患者获益可能性大。该患者NIHSS评分15分,考虑为部分主要动脉血管闭塞,在4.5 h内使用静脉溶栓治疗能够明显改善患者的神经功能缺损;且患者发病年龄较轻,溶栓改善预后将增加该患者回归社会的可能性[7]。(2)相关科室评估共担风险。本例患者请骨科会诊后,专科认为股骨颈骨折后,在关节囊及周围组织压力作用下,局部大量出血可能性不大,对后续骨折治疗影响不大。该患者溶栓后局部确实未出现出血,择期行骨科手术后,骨折愈合可。(3)家属充分理解并积极配合。尽管溶栓可能有较大获益,且经过专科会诊,但只有该患者家属态度积极,愿意承担溶栓可能导致严重出血的后果,才可促成溶栓治疗。
综上所述,当急性脑梗死患者同时合并有骨折等溶栓禁忌时,在充分权衡风险与获益的基础上,以及得到相关科室支持并征得家属同意后,可尝试进行溶栓治疗,为改善预后创造条件。





















