
版权所有,未经授权,不得转载、摘编本刊文章,不得使用本刊的版式设计。
除非特别申明,本刊刊出的所有文章不代表中华医学会和本刊编辑委员会的观点。
本刊为电子杂志,以光盘形式出版。本册应读者需求按需印刷,随光盘免费赠阅,光盘如有质量问题,请向编辑部调换
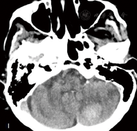
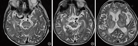
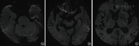
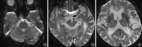
患者,女性,91岁,因"突发反应迟钝伴左侧上下肢无力1 d"入院。患者16 h前出现神智模糊,反应迟钝,活动减少,不愿进食,无呕吐,无二便失禁,无肢体抽搐;2 h前意识障碍加重,伴有头痛、呕吐,遂于安徽医科大学附属合肥医院急诊科就诊,急诊头颅CT提示左侧小脑出血(图1),收入神经内科。患者既往高血压病史多年,不规则服用降压药物,平时监测较少。查体:体温36.8 ℃,血压230/134 mmHg(1 mmHg=0.133 kPa),双肺呼吸音粗,未闻及干湿性啰音,心率100次/min,律齐,偶闻及期前收缩,未闻及杂音。神经系统检查:嗜睡状,问之无应答,额纹对称,双侧瞳孔直径2.5 mm,对光反射存在,双眼右向凝视,左侧上下肢肌张力低,肌力Ⅱ级,右侧上下肢肌力V-级,右侧上下肢肌张力正常,双侧巴氏征未引出。实验室检查:红细胞计数为3.99×1012/L,中性粒细胞计数为15.36×109/L,中性粒细胞百分数83.21%,白细胞计数为18.48×109/L,尿素氮25.50 mmol/L,肌酐382.0 mmol/L,血钾6.15 mmol/L。心电图提示窦性心动过速。头颅CT提示左侧小脑半球出血,双侧侧脑室旁、丘脑、脑桥大片状低密度灶。入院后即刻予以吸氧、心电监护、促醒、脑保护、抑酸护胃、补液支持、脱水降颅压、调节电解质紊乱等治疗,并静脉滴注硝酸甘油以0.25 mg/h调节血压。入院后约14 h患者出现高热达39.9 ℃、呼吸道分泌物明显,意识障碍进一步加重呈中-深度昏迷,考虑肺炎,予以抗炎、化痰、补液、促醒等处理,持续静脉使用硝酸甘油加量至1 mg/h,血压仍持续达(180~200)/(110~120)mmHg,降压治疗效果差,血尿素氮、肌酐进一步恶化。肺部CT提示慢性支气管炎、肺气肿、右肺炎;头颅MR提示双侧侧脑室旁、丘脑、双侧桥脑、中脑广泛T1WI低、等信号,T2WI及FLAIR像呈高信号,弥散加权成像呈低、等信号,表观扩散系数图无信号(图2、图3)。患者于入院后46 h神志转清,血压(120~130)/(80~90)mmHg,左侧肢体肌力恢复至Ⅳ级,要求下床小便,停用硝酸甘油,加用口服非洛地平缓释片5 mg,2次/d,联合厄贝沙坦氢氯噻嗪片1片,1次/d调节血压,余治疗继续予以原方案。半个月后复查头颅MR除小脑出血病灶存留,其余异常信号完全消失(图4)。入院25 d后患者病情稳定,血压120/70 mmHg,可自主进食、正常交流及下床自行活动,予以出院。随访1个月病情无反复。








可逆性后部白质脑病综合征(reversible posterior leukoencephalopathy syndrome,RPLS)是一组由多种病因引起的可逆性神经系统异常为主要表现的综合征,其大脑后循环区域具有典型影像学特点,病灶多累及顶枕和后额叶。仅累及基底节、脑干的RPLS被命名为中央变异型RPLS[1,2],临床较少见,合并小脑出血者鲜有报道。
RPLS的临床表现为迅速进展的高颅压症状、癫痫发作、视觉障碍、意识障碍、精神异常及特征性的影像学改变[3,4,5]。RPLS病因很多,常见于高血压脑病、子痫、肾功能不全、应用免疫抑制剂或细胞毒性药物、系统性红斑狼疮、系统性硬化病、疫苗接种史、脑血管造影术后以及输血后[6,7,8]。本例患者为小脑出血合并恶性高血压、急性肾功能不全,各种病因可能互为因果,因此导致入院前后病情进一步恶化。
RPLS病灶主要累及大脑半球后部,如顶叶、枕叶、额颞叶、小脑、基底节及脑干等。中央变异型RPLS可伴有丘脑或脑室旁白质受累[6,9]。本例患者是双侧对称的脑干、丘脑、脑室旁受累,该类型常与高血压密切相关,及时诊断及治疗后大多临床转归较好[1,2,10]。
RPLS的发病机制目前尚存在争议,目前比较广泛接受的假说有脑过度灌注理论[11,12]。Gao等[13]研究发现高血压在中央变异型RPLS中发挥重要作用,并推测合并肾功能不全或肾衰竭患者发生中央变异型RPLS的危险更大。宋旸等[14]报道了4例均合并有恶性高血压、2例肾功能不全的无症状中央变异型RPLS,结果与Gao等[13]类似。本例患者可能是小脑出血继发恶性高血压、肾功能不全,或高血压继发小脑出血又进一步加重高血压,导致钠水潴留、肾素血管紧张素活性增加,造成高血压、血管内皮损伤以及尿素氮的间接作用对血脑屏障产生破坏引起血管性水肿[15]。
中央变异型RPLS作为一种特殊类型,其临床预后及特点符合RPLS的特点[9],呈影像学表现重、临床表现轻的特点,及时诊断和治疗后临床症状一般可完全恢复[16]。但如果治疗不及时或不当,也可进一步恶化导致脑出血、梗死或其他不可逆的白质病变。
目前对RPLS的诊断仍无较规范的标准,多为个案及少量样本的报道[9,17],今后还需大样本、多中心的研究来制定较完善的诊断标准,以更好地指导临床工作。
























