
有效病例都有明确的确诊患者(转入上级医院后核酸检测确诊)接触史,距初次就诊均在7 d左右。
新型冠状病毒肺炎轻中度患者多表现为3 d以上的反复低热、胸闷、乏力、咳嗽、胸痛等症状。
因核酸检测投入基层医院时间较晚,故主要以患者症状体征及胸部CT影像结果为主要诊断依据。
在按照国家最新版的新型冠状病毒肺炎诊疗方案推荐的化学药物治疗方案的基础上,采用小柴胡汤为主方加上紫花地丁汤(去紫花地丁)加减方。
通过对新型冠状病毒肺炎疑似病例(胸部CT临床确诊病例)患者在轻中度症状阶段早期投入干预,通过观察2例有效患者临床症状体征变化,病程可见明显缩短,预后良好。
中医科;呼吸科
版权归中华医学会所有。
未经授权,不得转载、摘编本刊文章,不得使用本刊的版式设计。
除非特别声明,本刊刊出的所有文章不代表中华医学会和本刊编委会的观点。
湖北省武汉市进入2019年12月后,按往年规律再次出现季节性流感疫情,并出现少量病毒性肺炎病例,随着甲流、乙流流感疫情逐渐消退,12月下旬出现了部分原因不明的病毒肺炎病例,2020年1月份确定为新型冠状病毒。其传染性、致病性均强于季节性流感。我们通过观察分析其流行病学特征及症状体征变化,在2020年1月19日起开始尝试使用小柴胡汤合紫花地丁汤加减方,主要针对新型冠状病毒性肺炎(novel coronavirus pneumonia, NCP)临床确诊的疑似病例轻中度患者,通过患者服药后的症状及胸部CT等影像学变化,研究其临床疗效。
NCP暴发以来,除华南海鲜市场的较典型的小区域范围内集中暴发以外,其余疑似病例及确诊病例流行病学区域特点多呈散在性、家庭聚集性、有一定的区域关联性、发病患者关联性多样化等特点,符合季节性流感流行病学特征,但NCP较季节性流感有更强的传染性及致病性,潜伏期也长于季节性流感。按中医理论分析属于典型的疫病范畴。
除部分发病急剧或病情延误导致危重的患者外,轻中度患者临床症状多表现为烦躁不安、发热、胸闷、呼吸胸痛、咳嗽、全身酸楚乏力、呼吸困难等不适,其症状表现多类似普通感冒,但病程缠绵且较易出现咳嗽、胸痛、胸闷、呼吸困难等下呼吸道感染症状。根据国家卫生健康委发布的新型病毒性肺炎诊疗方案(试行第五版)[1],新型病毒性肺炎以侵犯外周及肺底肺泡为其主要特点,随着病情发展导致肺实变,进而诱发重症患者的急性呼吸窘迫综合征等。
结合该疾病的症状体征,且时值武汉冬季,但温度较往年偏温,易生寒疫,病邪易直入气营,缠绵肺卫,肺卫不宣,日久易伤肺津,化寒燥伤肺。病邪久居娇肺,寒燥久郁易化里热,舌象及脉象因个人体质不同表现多样,但舌苔多厚不腻、舌边无苔。辨病属寒疫,易入里化燥发为肺痈。辨证多为少阳不和,气营病,外寒内热、肺阴不足、半表半里证。大多数轻中度患者其病机特点多为本不虚标不实的虚实夹杂型、或外不够寒里不够热的外寒内热寒热不调型。
主要治疗原则为和解少阳(气分)、清营解毒、润肺利咽止咳、益气扶正祛邪、寒热并调,即增加患者抗病毒、抗感染的能力,在疾病早期提高机体免疫系统活性,平衡免疫系统功能,避免细胞因子风暴出现概率等。
以小柴胡汤和解少阳为主方,配合紫花地丁汤(去紫花地丁)清营解毒排痈,辅以黄芪、党参、枸杞扶正固本,配合罗汉果、胖大海润肺利咽,桔梗引药入肺。基础方:桔梗10 g,柴胡20 g,黄芩12 g,半夏8 g,党参10 g,甘草3 g,干姜8 g,金银花15 g,菊花15 g,蒲公英12 g,胖大海12 g,黄芪10 g,枸杞8 g。每7剂使用罗汉果4枚。用法:水煎服,每天2~3次。
自2019年1月22日以来我院开始收治NCP疑似(临床确诊)及核酸确诊患者,均按照当时最新版的《新型冠状病毒性肺炎诊疗方案》(试行第三版)[2]对症治疗,期间共有5例患者服用该中药方案;另有1例(例6)患者按照该思路,服用成药方案。这些患者在3~5 d内临床症状均有明显缓解。但因各种原因,仅有2例患者的数据完全有效,且未使用糖皮质激素类药物;以下案例中6例患者因核酸试剂检测准确性以及2月初才投入我院使用等问题,均为疑似患者(临床确诊)。
例1 患者女,29岁,有确诊病例接触史。1月21日因呼吸胸痛、伴乏力,行胸部CT确诊为疑似病例,遂于我院门诊予以抗感染对症治疗,1月23日晚餐后开始服药,以基础方7剂(患者实际服用了10 d),用法:水煎服(我院代煎),每天2~3次,空腹服用。1月24日收治入院后,予以乳酸左氧氟沙星注射液静滴、利巴韦林注射液静滴、服用阿比多尔颗粒(1月30日起服用,服药3 d)抗病毒等药物对症及支持治疗,未使用糖皮质激素类药物。
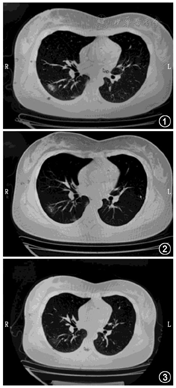
服药初期有乏力等临床症状,服药期间未出现发热等其他不适,服药5 d后临床症状明显缓解。服药7 d后稍有呼吸胸痛,后明显缓解,病情未见反复。2月4日因个人原因暂停继续服药,2月7日出院时在基础方的基础上调整部分药物剂量加入陈皮、枳壳各10 g,带药5剂出院,2月9日电话随访无特殊不适。1月21日确诊CT因个人原因,无法取得影像资料。复查CT见图1,图2,图3,服药后CT显示在第7天可见感染灶明显吸收,显效。


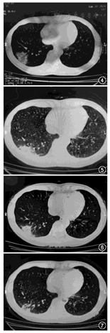
例2 患者女,42岁,有确诊病例接触史。1月15日起出现咳嗽,自行于家中服药,症状未见明显缓解且逐渐加重,咳嗽,久咳后可咳出黄绿黏液痰,咳时稍感胸痛、胸闷乏力等不适,1月22日行胸部CT确诊为疑似病例(图4),第3天出现发热、咳嗽、胸痛及呼吸胸痛,伴月经提前。1月24日收治入院,先后予以乳酸左氧氟沙星注射液、莫西沙星注射液静滴抗感染、予以利巴韦林注射液静滴、服用阿比多尔颗粒(1月30日起服用,服药3 d)。1月24日傍晚起开始服药,在基础方的基础上枸杞加量至15 g,蒲公英增至20 g,用法:水煎服(代煎),每天2~3次。


服药3 d后症状缓解,1月31日随访除感觉呼吸时稍有胸闷外无明显不适,2月2日随访稍感呼吸时"肺部深处有疼痛感",连续服药至2月2日。因个人原因2月4日暂停继续服药。2月7日病情好转出院,在基础方的基础上调整部分药物剂量加入陈皮、枳壳各10 g,带药5剂出院。2月8日电话随访,患者感全身乏力,但无其他不适,患者每日食用大枣5~6枚后,症状明显缓解,无其他不适。2月11日电话随访患者自觉良好。复诊CT显示感染灶吸收,部分肺组织纤维化,显效,见图5,图6,图7。
以上两例有效患者,2月1日、2月5日两次核酸检测均提示阴性。
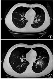
例3 患者男,37岁,有明确接触史。因反复发热,体温均低于38.5℃,伴胸闷、四肢乏力等不适,1月23日行胸部CT确诊为疑似病例(图8),1月25日晚开始服药,在基础方的基础上蒲公英增量至15 g,因药材原料缺乏问题,药材仅能使用3 d,1月29日药品服完,1月31日复诊,再次出现低烧。复诊CT见图9。因患者疗程不够,暂无法对疗效进行评估。


例4,例5患者中1例临床症状缓解,因药材短缺仅能服药3 d,服药第2天后复查CT(1月27日)较1月22日肺部感染灶有进展,缺乏评价资料无法评价;另一例患者因反复发热5 d以上确诊疑似病例,在基础方的基础上柴胡调为25 g,金银花20 g,蒲公英20 g,服药第3天后症状缓解,但因个人原因暂未继续服药。
例6 患者女,37岁,一线医务人员,有明显密切接触史。1月21日出现低热、乏力、胸闷等不适,遂立即服用奥司他韦胶囊和连花清瘟胶囊,连续服用5 d后症状一直未见缓解,遂1月28日起居家隔离;1月28日开始服用小柴胡颗粒,暂停服用连花清瘟胶囊,并自行间断性服用虫草粉,连续服用3 d后退热,但因个人原因,暂停服用小柴胡颗粒,改为继续服用连花清瘟胶囊后,再次出现低热、烦躁、胸闷等不适,后又继续服用小柴胡颗粒,胸闷、乏力等临床症状较前明显缓解;2月1日,电话随访时结合其病情演变,嘱患者以小柴胡颗粒及连花清瘟胶囊配合服用,2月3日电话随访症状明显缓解,自觉尚可。2月8日电话随访患者诉夜间入睡时感潮热盗汗,无其他不适。建议患者在家食用银耳莲子汤,并配合食用大枣后,症状缓解。2月11日复查胸部CT提示感染灶吸收,2月11日核酸检测提示阴性。
成药方案建议:小柴胡颗粒+连花清瘟胶囊(颗粒);如有明显咳嗽等症状,小柴胡颗粒+宣肺止嗽合剂;排除药物原因的腹泻等症状,小柴胡颗粒+藿香正气水;后期患者如出现夜间燥热、自汗,建议(辨证)配合服用肾气丸或知柏地黄丸等。
参照以上观察病例临床症状变化及疗效评估、《中医药有效方剂筛选研究取得阶段性进展》[3]、《关于推荐在中西医结合救治新型冠状病毒感染的肺炎中使用"清肺排毒汤"的通知》[4],以及相关研究成果,基础方进一步调整,但因我院相关耗材缺乏无法进一步观察及评估。
桔梗10 g,柴胡25 g,黄芩12 g,半夏8 g,党参10 g,甘草3 g,干姜8 g,金银花20 g,菊花15 g,蒲公英15 g,胖大海12 g,黄芪10 g,枸杞10 g,连翘12 g。每7剂使用罗汉果4枚。有明显胸痛、胸闷者加陈皮10 g,枳壳10 g;发热重者可加入麻黄6 g;有明显胸闷、心慌乏力及下肢浮肿者加茯苓10 g、猪苓10 g、泽泻10 g;后期患者较易出现夜间自汗(水样汗)/盗汗,可加入地骨皮10~15 g,黄芪加量至20~25 g。用法:水煎服,每天2~3次。
金银花3 g,菊花3 g,胖大海3枚,黄芪3 g,枸杞3 g,蒲公英1 g,罗汉果果仁10~16枚,反复多次煎煮取药液1200~1500 ml,每日服用200 ml/次,1次/d。
此次疫情暴发以来,在极其有限的资源下,通过使用小柴胡汤合紫花地丁汤加减方后,全部患者在按照诊疗方案更新西药对症及支持治疗方案的基础上,临床症状均在3~7 d得以明显缓解。但本文中仅2例患者数据是完全有效的,且此2例患者均在病程为7 d左右时进入了恢复期,但结合其各项辅检结果及影像图像,部分药物的剂量还需要调整,需要投入临床完善方案,以便进一步评估疗效。以上初步临床资料显示,早期使用该方案可有效缩短NCP病程。
通过观察大量病案报道以及观察我院实际收治患者的症状体征表现,该疾病症状有一特点,即轻症早期症状虽表现多样,但在无合适药物对症处理的条件下,绝大多数患者均会在1~2周内先后不同地表现出以上全部症状。但目前因各种对症治疗方案均已开展,故已很难观察到表现全部症状的患者。但我们必须认识到,经过1个多月以来的各种病案观察分析,发现该病在病程演变中个体差异极大,也许与各种治疗方案未完全统一有关,因此需待治疗规范进一步完善观察后,方能进一步该疾病的病程特点评估。





















