
版权归中华医学会所有。
未经授权,不得转载、摘编本刊文章,不得使用本刊的版式设计。
除非特别声明,本刊刊出的所有文章不代表中华医学会和本刊编委会的观点。
患者,女,19岁,因"反复发热3 d"于2017年9月29日入院。患者2017年9月26日淋雨后出现发热,伴畏寒、寒战,体温最高38.5 ℃。9月27日我院急诊查血常规示:WBC 6.41×109/L,中性粒细胞占80.6%,HGB 124 g/L,PLT 193×109/L,予头孢替安、维生素C治疗无明显好转。患者于2017年9月28日体温升至41.1 ℃。复查血常规示:WBC 3.43×109/L,中性粒细胞占81.8%,HGB 125 g/L,PLT 136×109/L;C反应蛋白(CRP)26.63 mg/L。查体:咽红肿,扁桃体Ⅰ度肿大,双肺未闻及干湿啰音。胸部CT示:脾大,余未见异常。2017年9月29日血常规示:WBC 2.82×109/L,中性粒细胞占86.5%,HGB 123 g/L,PLT 90 × 109/L;CRP 40.82 mg/L;降钙素原(PCT)6.37 µg/L;肝酶正常;总胆红素(TBIL)66.5 µmol/L,直接胆红素(DBIL)17.1 µmol/L,间接胆红素(IBIL)49.4 µmol/L。门诊以"上呼吸道感染、白细胞减少"收入院。患者自发病以来,精神、饮食、睡眠可,大小便正常,体重无明显减轻,既往史、个人史及家族史无特殊。
入院查体:体温40 ℃,急性病容,全身皮肤黏膜无黄染,无皮疹、瘀点及瘀斑。颈部双侧可及散在肿大淋巴结,最大者约1 cm×1 cm,质软,无压痛,活动度可,无粘连,余浅表淋巴结未及肿大。胸骨无压痛。双肺呼吸音清,右下肺呼吸音稍低,未闻及明显干湿啰音,无胸膜摩擦音。心率80次/min,律齐,未闻及杂音,无心包摩擦音。腹软,全腹无压痛、反跳痛及肌紧张,未触及包块。肝肋缘下未及,脾肋缘下1 cm,质软,无压痛。肠鸣音活跃,腹部未闻及血管性杂音。脊柱、四肢关节、神经系统检查未见异常。
血常规检查:WBC 1.91×109/L,中性粒细胞占80.0%,淋巴细胞占10.0%,单核细胞占7.0%,RBC 2.36×1012/L,HGB 97 g/L,PLT 30×109/L,异常细胞3%;PCT 6.39 µg/L,CRP 68.90 mg/L;生化常规检查:TBIL 70.10 µmol/L,DBIL 46.80 µmol/L,IBIL 23.30 µmol/L,乳酸脱氢酶(LDH)805.00 U/L,β2微球蛋白3.82 mg/L。血清铁蛋白>2 000.00 µg/L。凝血功能:血浆D-二聚体7.96 µg/L,活化部分凝血活酶时间51.8 s,凝血酶原时间16.1 s,纤维蛋白原(FIB)1.86 g/L,可溶性白细胞介素-2受体(sIL-2R)>7 500 U/ml;病毒特异性抗体:EB病毒(EBV)IgM阳性,IgG阳性。风湿免疫全项:阴性。2017年9月29日行胸部CT示:右肺炎症,双侧少量胸腔积液。
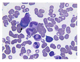
2017年9月29日行骨髓穿刺示:粒系、红系轻度病态,可见少数异常细胞(图1);染色体核型分析无异常;骨髓流式细胞术分析:骨髓内可见约6%异常表型T淋巴细胞(SSChighCD3+CD8+cCD3+CD2++ CD94+HLA-DR+TCRβ+CD4-CD5-CD7-CD16-CD25-CD30-CD56-CD57+TCRγδ-),以TCRVβ3亚型为主,约占该群异常表型T细胞的85%,提示CD8+T淋巴细胞增殖性疾病可能;于2017年9月30日行颈部淋巴结活检,送病理(图2)及流式细胞术分析,淋巴结制备细胞悬液后可见表型相同约9.6%异常T淋巴细胞,支持CD8+T淋巴细胞增殖性疾病。骨髓细胞TCR基因重排提示:TCR Vβ-Jβ(+),Dβ-Jβ(+++),Vγ1f、Vr10-Jγ阳性(T细胞受体单克隆)。


图中箭头所示为异常细胞,胞体偏大,胞核呈类圆形或不规则形,核染色质疏松,可见核仁,胞质量中等


A:HE染色(×100);B:HE染色(×200);C:CD56免疫组化(×200);D:CD163免疫组化(×200);E:CD3免疫组化(×200);F:CD8免疫组化(×200);G:Ki-67免疫组化(×200);H:EBV编码的小RNA原位杂交(×200)
初步诊断:上呼吸道感染、T细胞淋巴瘤?
该年轻患者以反复发热、白细胞减少伴脾大、淋巴结肿大起病。入院后予头孢哌酮钠舒巴坦钠、利奈唑胺抗感染,更昔洛韦、磷酸奥司他韦抗病毒治疗,并予激素降温,体温控制仍不理想,波动于40 ℃上下,血培养结果阴性,有必要继续完善EBV DNA及巨细胞病毒DNA检测。该患者起病急,进展快,目前多项指标提示噬血细胞综合征(hemophagocytic lymphohistiocytosis,HLH)。
HLH是一类由原发或继发性免疫异常导致的过度炎症反应综合征,可分为原发性和继发性,原发性HLH与基因缺陷相关,继发性HLH则与各种潜在疾病相关,通常无家族史或明显的基因遗传缺陷。感染性诱发因素中,EBV是主要诱因之一。单纯EBV感染与HLH合并EBV感染有很多重叠症状,但症状的严重性及出现消退时间可协助鉴别。前者的发热会随时间消退,脾大也会逐渐改善,可出现血细胞减少但程度较轻并常于4周内缓解,肝酶升高幅度小且缓解速度快。HLH患者的发热、三系血细胞降低、肝功能恶化通常迅速且难以缓解。结合患者目前的病史及病情,如HLH诊断成立,EBV感染或淋巴瘤导致的继发性HLH可能性最大。
入院5 d后患者症状无明显改善,体温最高达39.5 ℃,将头孢哌酮钠舒巴坦钠更换为亚胺培南西司他汀钠。患者于2017年10月2日夜间突发胸闷、气促,查体:双肺湿啰音,心率达120次/min,呼吸急促,达39次/min,末端指氧饱和度85%,血压100/60 mmHg(1 mmHg=0.133 kPa),急查动脉血气分析示氧分压30.3 mmHg,复查床旁胸片示:两肺炎症,双侧胸腔积液,较前进展。患者影像学肺部感染进展与临床表现不符,未达重症肺部感染,立即予吸氧、心电监护、呋塞米利尿、甲泼尼龙抗炎等治疗,病情好转。
HLH-1994方案在早期治疗与维持治疗交界时容易导致病情复发,而HLH-2004方案在8周地塞米松联合依托泊苷的基础上可通过早期增加环孢素和强化诱导方案获得更好的疗效。鉴于患者病情发展迅速,我们决定参考HLH-2004方案采用依托泊苷、激素联合治疗,但考虑依托泊苷不良反应明显,临床上需密切关注患者的病情变化、定期复查实验室检查以警惕DIC的发生。
使用依托泊苷2 d后,患者症状明显缓解,血象逐步回升,复查胸部CT示:两肺渗出灶,两侧胸腔积液伴部分肺组织膨胀不全,较2017年10月1日好转。考虑治疗有效,同时也支持HLH的诊断。
患者入院后第12天继续予原方案抗细菌、病毒治疗,辅以血制品等支持治疗,肝素抗凝预防DIC,参照HLH-2004方案使用环孢素、糖皮质激素、依托泊苷(160 mg,第1、3、5天;240 mg,第8天)。外送患者全血标本至荻硕贝肯公司检测EBV-DNA示2.91×108拷贝/L,颈部淋巴结活检病理+免疫组织化学+分子病理:未见恶性肿瘤,符合HLH伴副皮质区毒性T淋巴细胞反应性不典型增生;TCR基因未发现明确单克隆基因重排;原位分子杂交检测:EBV小RNA(60%~70%阳性)。因此患者目前至少符合HLH诊断。
患者入院时病情进展快,许多症状可用HLH中淋巴细胞和组织细胞浸润组织器官及高细胞因子血症解释,目前需要明确的问题是该患者的病因。虽然噬血相关基因检测结果尚未回报,但原发性HLH多发生于3~5岁患者,该患者倾向继发性HLH,如病毒、肿瘤等所致。患者入院时EBV IgM抗体阳性,EBV-DNA 2.91×108拷贝/L,EBV极可能是引起患者疾病的主要原因。但患者入院时的淋巴结、骨髓穿刺和流式细胞术结果提示异常表型淋巴细胞,虽淋巴结活检病理未见异常,尚不能排除淋巴瘤,必要时可再行骨髓穿刺复查。为进一步明确诊断,将患者颈部淋巴结病理切片送至美国国立卫生院(NIH)会诊并考虑再次行骨髓穿刺术。
患者于2017年10月24日复查骨髓穿刺,骨髓形态学提示:粒系增生减低,红系明显增生,单核细胞比例轻度增高,可见少数分化欠佳淋巴细胞;流式细胞术示:未见异常克隆,CD4/CD8比值稍低,淋巴瘤基因重排阴性。2017年10月27日复查胸部CT未见明显异常。2017年10月30日行噬血突变基因检测示:未检测到与HLH相关基因突变。复查EBV-DNA:6.6×106拷贝/L,复查血常规:WBC 4.87×109/L,HGB 74 g/L,PLT 293×109/L;生化检查:甘油三酯0.99 mmol/L,FIB 2.14 g/L,血清铁蛋白714 µg/L,sIL-2R 947 U/ml。2017年12月14日美国NIH的Elaine S. Jaffe教授会诊意见:颈部淋巴结EBV编码的小RNA(EBER)在淋巴结细胞中呈弥漫性阳性分布,表达成熟T淋巴细胞抗原,CD2、CD3、CD8阳性,大部分CD5阴性,具备细胞毒性表型GranB(+)、TIA1(+)、P53(-),大部分T细胞TCRγ(+),βF1(+),因此α、β、γ或δ的具体T细胞型难以区分,CD56(-),PD(-),诊断为儿童EBV阳性T细胞型淋巴瘤,故该患者最终诊断为儿童EBV阳性T细胞型淋巴瘤伴HLH。
EBV感染与众多淋巴瘤的发生相关,好发于免疫抑制人群,近年来研究发现部分EBV相关淋巴瘤也可发生于非免疫抑制人群,且这些淋巴瘤在临床、病理学和生物学上均具有独特性。2008年WHO淋巴造血系统肿瘤分类中单独列出了此类EBV相关淋巴瘤:老年性EBV阳性淋巴瘤、大B细胞淋巴瘤及儿童组的儿童系统性EBV阳性T淋巴细胞增殖性疾病、水疱性牛痘样淋巴瘤。2016年WHO分类中将儿童系统性EBV阳性T淋巴细胞增殖性疾病更名为儿童EBV阳性T细胞型淋巴瘤。
儿童EBV阳性T细胞型淋巴瘤是以EBV感染的具有活化细胞毒表型的T淋巴细胞克隆性增殖为特征的罕见恶性肿瘤,多急性起病,伴肝脾肿大、凝血障碍和HLH表现。该病发病率低,在亚洲流行,尤其是日本和中国台湾地区,西方国家罕见报道。可继发于原发性急性EBV感染或与慢性活动性EBV感染(chronic active EBV infection,CAEBV)同时发生,呈系统性受累,最常累及肝、脾,其次为淋巴结、骨髓、皮肤或肺。大多数病例的临床过程呈暴发性,常数周至数月内死亡,但部分病例可呈亚急性经过。患者的骨髓、脾脏和肝脏组织常表现为组织细胞增生及T细胞增多伴明显噬血现象。组织中浸润的T细胞通常小且缺乏异型性,但也有病例表现为多形性淋巴细胞浸润、不规则核和频繁的有丝分裂象。骨髓活检显示组织细胞增生伴噬血现象。浸润的细胞通常表现为CD8+、CD3+、CD2+、CD56+伴TIA1和GranB表达。在CAEBV背景下,CD4+或CD4+和CD8+混合出现的病例也有少数报道,该病的病因尚不明确,但与原发性EBV感染和种族易感性的相关性提示宿主免疫应答对EBV的遗传性缺陷。浸润性T细胞表现TCR基因单克隆重排。EBER的免疫组化结果显示大部分浸润的淋巴细胞EBV阳性。
该患者的淋巴结病理符合这一疾病的经典形态,由于瘤细胞常较小,异型性不明显,其病理形态常具有迷惑性,不易识别;淋巴结常保留大体正常结构,但不同程度吞噬红细胞的组织细胞明确可见,可提供一定的诊断线索。病理中EBER呈阳性分布、Ki-67指数高可能与疾病的暴发性进展相关。
既往国内外病例治疗经验提示该病进展快,预后差,多数患者尽管采取了积极的治疗措施仍难以避免死亡,由于疾病的罕见性,目前本病的治疗及预后尚无共识。已报道的病例大多采取基于HLH的治疗,如环孢素、依托泊甙或淋巴瘤化疗方案如环磷酰胺+多柔比星+长春新碱+泼尼松,本例患者主要依据HLH-2004方案治疗。治疗8周后患者复查骨髓穿刺、EBV-DNA定量、PET-CT,均大致正常,目前已出院并按照HLH-2004方案定期入院接受治疗,鉴于此疾病预后差,有必要长期密切随访,患者2018年10月30日于长海医院门诊末次随访,EBV-DNA定量低于检测值下限。
我们从本例的治疗中体会到,儿童EBV阳性T细胞淋巴瘤发病率低,预后的异质性大,临床中对于该病的认识和治疗经验相对欠缺,仍需国内外更多病例数据的积累为临床诊断及治疗提供确切依据。





















