
版权归中华医学会所有。
未经授权,不得转载、摘编本刊文章,不得使用本刊的版式设计。
除非特别声明,本刊刊出的所有文章不代表中华医学会和本刊编委会的观点。
原发渗出性淋巴瘤(primary effusion lymphoma,PEL)是一种罕见的侵袭性非霍奇金B细胞淋巴瘤,最常见于HIV感染的青中年同性恋或双性恋男性。其中三分之一的患者患有Kaposi肉瘤(KS),部分患者合并多中心Castleman病(MCD),在接受移植者和老年人中也有报道[1,2]。KS相关疱疹病毒/人类疱疹病毒8型(KSHV/HHV-8)是其病原体,70%~80%的患者合并EB病毒(EBV)感染[3]。临床表现为体腔恶性渗出且多数不伴肿块,最常见于胸膜腔、心包腔及腹腔,可表现为呼吸困难、腹水等。PEL的预后极差,目前无标准治疗方案,中位生存期不到6个月,1年生存率约30%[4]。我院于2019年收治了1例HIV阴性的老年男性PEL患者,现报告如下并结合文献进行讨论。
患者,男,89岁,2015年12月因反复发热就诊于我院呼吸科。入院血常规:WBC 3.36×109/L,RBC 2.34×1012/L,HGB 76 g/L,PLT 26×109/L。胸腹CT示纵隔及双侧腋窝多发淋巴结影,肝脾肿大,不除外淋巴瘤可能;双侧少量胸腔积液;心影增大。骨髓穿刺示增生性骨髓象,浆细胞增多占6.5%;骨髓免疫分型未见明显异常细胞;骨髓活检:造血组织轻度增生,约占40%,粒系及红系增生,粒红比大致正常,巨核系稍减少,浆细胞轻度增生,未见肿瘤。PET-CT示双侧颈动脉鞘周围、双侧腋窝、纵隔、腹主动脉旁、双侧髂血管旁、双侧腹股沟多发代谢活性增高的淋巴结,部分肿大,最大标准摄取值(SUVmax)1.7~7.4,考虑淋巴瘤可能;左侧腮腺内小结节,左颞部、双侧颈部皮下脂肪层内多发小结节,代谢活性增高,淋巴瘤累及可能;脾大,代谢活性稍增高,边缘代谢活性增高灶,考虑淋巴瘤累及;纵隔7区、双肺门10区代谢活性增高的淋巴结并钙化,淋巴瘤累及不除外。转入血液科,行腹股沟淋巴结活检,病理回报:Castleman病,浆细胞型(图1)。免疫组化:CD20(B区+),CD3(T区+),CD10(滤泡内+),BCL-6(滤泡内+),BCL-2(滤泡内-),CyclinD1(-),Ki-67(滤泡内90%+,滤泡间3%+),HHV-8(-),CD138(浆细胞++),λ(+),κ(+);原位杂交EBER(-)。结合患者临床表现(全身多发肿大淋巴结、贫血、血小板减少、低白蛋白血症、肝脾肿大、胸腔积液)及淋巴结病理结果诊断为MCD[5]。2016年3月行mini-COP方案(环磷酰胺,600 mg,第1天;长春地辛,2 mg,第1天;泼尼松,50 mg,第1~5天)化疗,2个疗程后患者体温恢复正常,血常规较前稍改善。胸部CT示纵隔及双侧腋窝多发淋巴结影,左侧腋窝淋巴结较前增多增大;肝脾肿大同前。根据MCD的国际循证共识治疗指南[6],评估疾病未缓解,加用利妥昔单抗,行R-miniCOP方案(利妥昔单抗,600 mg,第0天;余同上)化疗,2个疗程后复查胸部CT示纵隔及双侧腋窝多发淋巴结较前缩小,双侧胸腔积液基本吸收,脾脏较前缩小。复查超声:颈部及腹腔未见肿大淋巴结,腹股沟可见靶环状淋巴结。肿大淋巴结缩小或消失,胸腔积液基本吸收,脾脏缩小,提示部分缓解,随后患者未再入院评估诊治。2019年2月患者因纳差、乏力、发热再次就诊,入院血常规:WBC 2.97×109/L,HGB 90 g/L,PLT 87×109/L,ANC 0.23×109/L。胸部CT示纵隔及双侧腋窝内多发淋巴结影,大致同前。超声示脾大,腹膜后淋巴结,大者约1.5 cm×0.7 cm。行骨髓穿刺术,骨髓形态学示增生活跃,浆细胞占15%;巨核细胞可见,PLT轻度减少。骨髓免疫分型见多克隆B淋巴细胞增多,占15.86%,浆细胞1.58%。骨髓活检提示造血组织占30%,粒系、红系及巨核系大致正常,可见散在分布的成熟淋巴细胞及较多浆细胞浸润,未见肿瘤。Coombs试验阳性,考虑免疫相关血细胞破坏可能,抗感染基础上予泼尼松30 mg/d口服,未再发热,血象逐渐恢复,病情稳定后出院,后患者自行停药,疗程共14 d。


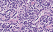
2019年10月患者无明显诱因出现发热、呼吸困难,伴咳嗽、咳痰,喘憋症状进行性加重,端坐前倾位可稍缓解,先后就诊于呼吸科和血液科,胸片提示右侧大量胸腔积液(图2)。外周血HIV(-),巨细胞病毒(-),EBV(-)。胸部CT示右侧胸腔积液伴右肺下叶部分肺组织膨胀不全,新出现;纵隔及两侧肺门多发淋巴结影,部分较前稍增大;心包少量积液为新出现;肝脏形态饱满,脾脏在最大横断面水平相当于第8肋。行胸腔穿刺置管引流术,胸水常规:单个核细胞81.2%,RBC 5 860/mm3,WBC 953/mm3,比重1.021,李凡他实验阳性;胸水生化:葡萄糖4.6 mmol/L,白蛋白17 g/L,LDH 1 373 U/L,腺苷脱氨酶128.9 U/L;胸水病理回报:符合原发渗出性淋巴瘤(图3),免疫组化:HHV-8(+),CD20(-),CD3(少量+),MUM1(+++),Ki-67(80%+),C-myc(70%),P53(20%+),CD138(-),CD30(+++),ALK(-),PAX5(-),CD79A(-),CD38(-);原位杂交EBER(+);胸水FISH:MYC、BCL-2、BCL-6、CCND1未见分裂象;TP53未见突变。结合患者临床表现(以胸腔恶性渗出为主且不伴明显肿块)及病理结果,诊断为PEL[7]。患者合并全血细胞进行性减少、Ⅰ型呼吸衰竭、DIC、肝功能衰竭、急性肾损伤,入院后予对症支持抗感染治疗及无创呼吸机辅助呼吸,病情仍进行性恶化,结合病理诊断,在强效抗感染的同时予地塞米松5~10 mg/d治疗,后因原发病进展迅速,患者出现阵发性房颤、低血压,2019年11月11日抢救无效死亡。




PEL的诊断通常依据积液的细胞学检查,典型的PEL细胞为大细胞,具有圆形或不规则的核、突出的核仁,胞质丰富,偶见深嗜碱性空泡。PEL细胞表达白细胞表面抗原CD45,缺乏B细胞标志物(CD19、CD20、CD79a、PAX-5),大部分表达浆细胞标志物(CD30、CD38、CD138)。肿瘤细胞中HHV-8编码的潜伏期相关核抗原-1呈阳性,可用于PEL的诊断[8]。程序性死亡受体-配体1通常会高表达,介导PEL细胞的免疫逃逸,可能是治疗效果不佳的潜在机制[9]。PEL患者血清中IL-6及IL-10水平升高,Lurain等[3]的研究表明,细胞因子失调是其独特的发病机制,因此,靶向细胞因子失调可能在未来的治疗中发挥作用。
本病例发生于胸腔,表现为右侧大量顽固性胸腔积液及呼吸困难,未检测到明显肿块。HHV-8(+),B细胞标志物表达均为阴性,浆细胞相关抗原:CD30(+),CD38(-),CD138(-),原位杂交EBER阳性。与大量文献报道中不同的是,该患者HIV阴性,是较少见的HIV阴性PEL,仅见于个案报道[2,10,11]。这些HIV阴性病例通常存在如下特征:高龄、地中海起源、EBV阴性及不完全是男性或男性同性恋患者[12]。但与同类报道不同的是,患者为MCD治疗后发生的HIV阴性PEL,是国内首例。既往MCD、多疗程化疗史、激素治疗史及高龄可能是其存在免疫缺陷进一步潜伏感染HHV-8导致PEL的原因。有研究报道了MCD与PEL的关联,可能提示MCD患者发生PEL的风险更高[13]。因此,在今后的临床工作中,对于既往存在MCD的患者,新出现胸腔、心包腔、腹腔恶性渗出,即使HIV阴性,除原发病进展外,我们还需考虑PEL可能,进一步完善积液的病理学检查以明确诊断。
PEL需与其他HHV-8相关淋巴增殖性疾病相鉴别。HHV-8相关的MCD(HHV8-MCD)为侵袭性炎症性系统疾病,约90%发生于HIV阳性的患者中,特征为全身淋巴结病,伴发热、脾大、浆膜腔积液、血细胞减少、低白蛋白血症、多克隆高丙种球蛋白血症、血清C反应蛋白和IL-6高水平[14]。最近的一项研究表明,PEL患者和HHV8-MCD患者在实验室参数(低白蛋白血症、PLT减低)和炎性细胞因子(IL-6、IL-10)水平两方面的差异均无统计学意义[3]。浆母细胞中IgM、CD19、CD38、MUM-1/IRF4和λ轻链通常为阳性,而CD20、CD79a、PAX-5、CD30、CD138和EBER呈阴性。HHV-8阳性的弥漫大B细胞淋巴瘤(HHV8-DLBCL)通常与MCD和HIV感染有关,疾病通常累及淋巴结。与该病相比,PEL通常伴显著的低白蛋白血症及PLT减低[3]。浆母细胞IgM和λ轻链阳性,CD20可阳性,而CD38、CD138和EBER通常为阴性[15]。HHV8-MCD及HHV8-DLBCL的浆母细胞是具有未突变免疫球蛋白的幼稚B细胞,而PEL的成浆细胞是具有高度体细胞突变的终末分化B细胞(IgM阴性)[16]。本例患者全身淋巴结较前未见明显肿大,疾病主要累及胸腔,存在低白蛋白血症及PLT重度减低,CD19(-),CD20(-),CD38(-),CD30(+++),EBER(+),结合病理结果诊断为PEL。
PEL的预后极差,常规应用的CHOP方案(环磷酰胺+阿霉素+长春新碱+泼尼松)或EPOCH方案(依托泊苷+泼尼松+长春新碱+环磷酰胺+阿霉素)远未达到完全及持续缓解。对于HIV阳性PEL,抗逆转录病毒治疗(ART)是必不可少的。有报道表明患者接受ART后获得完全缓解(CR)[17,18],因此,无论在诊断PEL前是否开始ART,诊断后均应继续或开始ART。尽管化疗联合ART无法提高生存率,但这一组合耐受性良好,可使患者免疫系统恢复加快[19]。已有报道证实西多福韦、更昔洛韦或缬更昔洛韦治疗成功的PEL患者可获得CR[20,21,22]。
既往的个案报道中应用抗CD20单抗的经验少见,因该病通常不表达CD20,利妥昔单抗缺乏疗效。但在治疗HHV8-MCD时,利妥昔单抗可使IL-6及IL-10迅速下降,这可能是其用于治疗PEL的基础[3]。Daratumumab是靶向CD38的单克隆抗体,其特异性使其可能成为治疗PEL的有效方法[23]。Brentuximab Vedotin(BV)是一种靶向CD30的抗体-药物偶联物,PEL患者通常表达CD30,Victoria等[24]首次报道了BV用于治疗PEL的临床证据,该药耐受性良好且疗效令人满意。BV与细胞毒性化学疗法联合有望提高反应的深度和持久性,因此,在PEL前期及挽救疗法中均应考虑联合BV。
目前针对PEL激活途径的分子靶向治疗正在研究中,包括NF-κB、JAK/STAT和PI3K/AKT通路。硼替佐米是影响NF-κB通路的蛋白酶体抑制剂,联合传统化疗治疗PEL具有良好的疗效[25]。有研究将硼替佐米、脂质体阿霉素及利妥昔单抗联合用于治疗PEL实现了CR[26]。Caro-Vegas等[27]表明靶向雷帕霉素可能是治疗化疗耐药的新途径。免疫调节剂来那度胺正在临床试验中研究[7],已有报道证实一例HIV阴性的老年PEL男性患者接受单药来那度胺后实现了持续缓解[2]。
PEL是一种罕见的侵袭性淋巴瘤,最常发生于HIV感染的患者中。鉴于其罕见性,对于疾病的认识多来源于个案报道。PEL的预后仍不尽理想,尚无标准治疗方法,正尝试应用硼替佐米、来那度胺等药物改善生存结果,但仍缺乏相关前瞻性研究。新药的联合治疗可能是未来的治疗方向,随着ART使宿主免疫防御恢复,使用免疫疗法及开发联合靶向疗法以抑制肿瘤的增殖和存活信号对于将来改善PEL的临床预后至关重要。





















