
版权归中华医学会所有。
未经授权,不得转载、摘编本刊文章,不得使用本刊的版式设计。
除非特别声明,本刊刊出的所有文章不代表中华医学会和本刊编委会的观点。
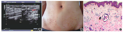
患者男,36岁,因脂溢性脱发间断口服非那雄胺片2年,胸腹部出现丘疹,略痒,伴两侧乳房肿块,有触痛1年余于2016年10月12日来沈阳第七人民医院皮肤科就诊。2年前患者因脂溢性脱发在外院就诊,给予非那雄胺片1 mg,每天1次口服。间断不规律服用1年后,患者发现双侧乳房有肿胀硬结,有触痛,活动度尚可,我院超声检查显示为乳腺组织增生,直径15 mm(图1)。相关专科诊断:乳腺增生。同时腹部出现散在棕褐色小丘疹,略痒,皮损逐渐增多蔓延至胸部,部分皮疹融合成片,在当地医院按扁平疣治疗(药物名称、剂量不详),疗效欠佳,仍有新起皮疹。患者既往无慢性疾病及传染病史,否认家族有类似患者。体检:一般状况尚可,双侧乳房可触及圆形质韧囊性包块,触痛(+),边界欠清,活动度可,各系统检查无异常。皮肤检查:胸腹部可见较密集的棕褐色实质性扁平丘疹,小米至黄豆大小,圆形、质硬、表面光滑,略高于皮肤,胸部部分皮疹融合,对称分布(图2)。


实验室及辅助检查:血尿粪常规及生化全套检查均无异常。X线胸片示心、肺无异常;乳腺彩色超声检查显示为乳腺组织增生,直径15 mm。皮损组织病理:表面轻度角化,棘层略厚,真皮浅层可见多个大小不等囊腔和实体性上皮细胞索,囊壁由双层扁平上皮细胞组成,腔内可见粉红色无定形物质(图3)。结合临床诊断:发疹型汗管瘤。患者因故拒绝进一步治疗。因考虑该患者发疹性汗管瘤、乳腺增生的出现可能与服非那雄胺片有关,遂嘱其停服此药。停药1个月电话随访,述皮疹未见新发,腹部少许皮疹消退,双侧乳房硬结变软,触痛明显缓解。现失访。
非那雄胺属于合成甾体类化合物,能特异性抑制细胞内酶Ⅱ型5α-还原酶,使睾酮转变为二氢睾酮减少,从而抑制雄激素睾酮代谢成为双氢睾酮,使得雌激素(雌二酮和雌醇)相对增多,造成体内雌雄激素比例失调,从而引起男性乳腺增生[1]。王美琴等[2]2012年报道1例口服非那雄胺片致85岁老年男性乳房触痛、乳腺增生的病例。Wallace等[3]检测了9例(女7例,男2例)汗管瘤雌激素受体、孕激素受体的表达情况,发现1例(女性)雌激素受体阳性,8例(男2例,女6例)孕激素受体阳性。Lee等[4]对韩国的61例汗管瘤患者进行免疫组化分析,发现存在孕激素受体和雌激素受体阳性结果。这些都表明汗管瘤患者体内雌、孕激素水平变化可能与汗管瘤的发生有关。我们推测,男性发疹性汗管瘤、乳腺增生的致病因素均可能与激素分泌水平有关,而非那雄胺可引起雌激素水平升高,三者是否有关,需深入研究。





















