
版权归中华医学会所有。
未经授权,不得转载、摘编本刊文章,不得使用本刊的版式设计。
除非特别声明,本刊刊出的所有文章不代表中华医学会和本刊编委会的观点。
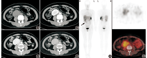
患者女,41岁,主诉腰部不适1个月,无发热、头痛、恶心、呕吐、腹痛、腹胀、腹泻、头晕、黑矇、大汗等症状。腹部CT发现右侧腹膜后软组织密度肿块;增强CT+三维重建图像示肿块大小约57 mm×40 mm,增强后明显强化,各期强化程度与血管相似,肿块局部与十二指肠分界欠清,下腔静脉呈受压性改变(图1)。实验室检查:24 h尿儿茶酚胺、血浆儿茶酚胺及其代谢产物(甲氧基肾上腺素、甲氧基去甲肾上腺素)、醛固酮(立位)、血管紧张素Ⅱ+肾素活性(立位)、神经元特异性烯醇化酶均正常。因临床拟鉴别副神经节瘤而行99Tcm-联肼尼克酰胺-酪氨酸3-奥曲肽(hydrazinonicotinamide-Tyr3-octreotide, HYNIC-TOC)生长抑素受体显像,平面显像可见右肾下方摄取轻度增高区,前位图像显示较清晰;SPECT/CT示病变位于下腔静脉前方,摄取轻度增高,与肝脏摄取程度接近(图2)。


本例为孤立性腹膜后肿块,病变来源包括神经源性、淋巴结来源、腹膜后间叶组织来源等。神经来源的肿瘤主要包括副神经节瘤、神经鞘瘤、神经纤维瘤、神经节细胞瘤等。副神经节瘤起源于交感或副交感神经,在腹部最常位于腹盆部的椎旁神经节。副神经节瘤为高度血管化的肿瘤,因此其影像学表现为富血供,增强后强化显著,可与邻近的血管强化程度相似,有时肿瘤内可见坏死、钙化。神经鞘瘤一般起源于脊神经根或腹膜后神经干,肿瘤边缘光滑,包膜完整,组织病理上由Antoni A区(主要为较密集的梭形细胞区)和Antoni B区(肿瘤细胞少,主要为脂肪变、黏液样基质、囊性退化区)构成,因此肿瘤一般密度不均,增强后Antoni A区有轻中度延迟强化,Antoni B区强化不明显。神经纤维瘤表现与神经鞘瘤较相似,但囊性退化较神经鞘瘤少见。神经节细胞瘤也为包膜完整的肿瘤,一般沿神经链方向生长,肿瘤常见黏液变区,增强后为轻度延迟强化。本例密度较均匀、强化程度与血管相近,因此神经来源的肿瘤主要需鉴别副神经节瘤。若考虑淋巴结来源的病变,由于病灶大并且孤立,则主要需鉴别Castleman病。根据病灶分布特点,Castleman病可分为单中心型和多中心型;根据病理类型可分为透明血管型、浆细胞型和混合型。绝大多数单中心型Castleman病为透明血管型,病灶孤立、血供丰富、强化明显,而多中心型Castleman病多为浆细胞型,多发、可累及全身多部位,呈轻中度强化,本例需鉴别的是单中心型透明血管型Castleman病。若为腹膜后间叶组织来源的肿瘤,结合其强化明显的特点则需考虑炎性肌纤维母细胞瘤。炎性肌纤维母细胞瘤的CT表现与Castleman病有相似之处,都为边界清晰、强化明显的肿块,炎性肌纤维母细胞瘤比Castleman病更容易出现坏死,而Castleman病更容易发生钙化。
综上所述,结合本例的CT表现,需主要鉴别副神经节瘤、Castleman病和炎性肌纤维母细胞瘤。就临床下一步诊治来说,手术切除是首选,但副神经节瘤术前需进行α-肾上腺素能阻滞剂准备(否则手术风险巨大),并且一般来说活组织检查为禁忌。所以本例鉴别诊断中最重要的问题是:是不是副神经节瘤?能不能除外副神经节瘤?副神经节瘤的典型症状是高血压伴阵发性头痛、大汗、心悸,本例主诉腰痛,为不支持点;副神经节瘤的实验室检查一般有24 h尿儿茶酚胺升高,本例为阴性,亦为不支持点;副神经节瘤在腹部一般位于腹膜后,强化明显,本例有相似特点;副神经节瘤属于神经内分泌肿瘤,表达生长抑素受体,生长抑素受体显像一般为阳性,本例在生长抑素受体显像中摄取轻度增高,可判定为弱阳性。
要回答本例是不是以及能否除外副神经节瘤的问题,需要思考以下问题:(1)副神经节瘤是否都有阵发性高血压的症状?什么情况下可以无症状?(2)24 h尿儿茶酚胺检查对于副神经节瘤的诊断灵敏度和特异性有多高?其结果阴性能否除外副神经节瘤?什么情况下可能出现假阴性?(3)生长抑素受体显像对副神经节瘤的诊断灵敏度和特异性有多高?有没有其他类型的病变生长抑素受体显像也呈阳性表现?下面对问题进行逐个分析。
副神经节瘤分为交感神经起源和副交感神经起源肿瘤。副交感副神经节瘤大多数位于颅底和颈部,一般沿舌咽神经、迷走神经走行分布,最常起源于颈动脉体,其次可起源于颈静脉鼓室和迷走神经副神经节,在胸部一般位于主动脉弓周围或主肺动脉窗;副交感副神经节瘤一般无功能,不分泌儿茶酚胺,无高血压相关的临床症状。交感神经副神经节瘤大多为功能性,其中肾上腺内副神经节瘤(即嗜铬细胞瘤)以分泌肾上腺素为主,肾上腺外的交感神经副神经节瘤以分泌去甲肾上腺素为主。在很少见的情况下也有分泌多巴胺为主的副神经节瘤,这种类型的副神经节瘤一般临床上表现为正常血压。交感神经副神经节瘤一般位于胸、腹、盆部的交感神经椎旁神经节,也可在交感神经链分布的任何部位出现。因此,虽然有部分副神经节瘤可无功能,临床上也可没有高血压症状,但本例的病灶位于腹膜后区域,若为副神经节瘤则应为起源于交感神经的副神经节瘤,应具有分泌儿茶酚胺的功能。
如前所述,起源于副交感神经的无功能副神经节瘤患者的24 h尿儿茶酚胺可为阴性,因此24 h尿儿茶酚胺阴性不能除外副神经节瘤。另外,有功能的副神经节瘤患者的24 h尿儿茶酚胺也存在假阴性的可能。24 h尿儿茶酚胺检测的是去甲肾上腺素、肾上腺素和多巴胺,大多数功能性副神经节瘤患者无论何时接受检测,其尿儿茶酚胺均明显增高,但少数患者只有发作时的尿儿茶酚胺升高。有时可因发作时间短,尿儿茶酚胺排量短暂升高,24 h尿测定会因稀释导致儿茶酚胺测定值正常,造成假阴性。另一方面,儿茶酚胺可被多种酶水解为其代谢产物(如甲氧基肾上腺素、甲氧基去甲肾上腺素、香草扁桃酸)。如果肿瘤较大,有时一部分儿茶酚胺会在瘤体内被代谢,其代谢产物释放入血,因此这部分患者可能尿儿茶酚胺正常而其代谢产物水平升高。一般来说联合测定血、尿儿茶酚胺及其代谢产物能提高副神经节瘤的诊断灵敏度并降低假阴性率[1]。
生长抑素受体显像对位于肾上腺外的副神经节瘤的诊断灵敏度很高(图3),文献报道68Ga标记生长抑素类似物显像对肾上腺外副神经节瘤诊断灵敏度可达100%[2,3],对肾上腺内副神经节瘤(嗜铬细胞瘤)诊断灵敏度<90%[2]。就诊断特异性而言,生长抑素受体显像阳性不等于就是神经内分泌肿瘤,很多类型的病变也可表达生长抑素受体2型,如脑膜瘤、肾癌、乳腺癌、淋巴瘤、肺癌、前列腺癌、头颈部肿瘤、肉瘤、甲状腺癌、星形细胞瘤、感染及炎性反应等[4,5],病例举例见图4。而关于本例需鉴别的其他2种疾病,近期有Castleman病生长抑素受体显像假阳性的报道[6,7],摄取程度与本例相似;虽然鲜见文献报道炎性肌纤维母细胞瘤的生长抑素受体显像情况,但炎性肌纤维母细胞瘤在病理上伴大量浆细胞和淋巴细胞浸润,而活化的淋巴细胞可有生长抑素受体高表达,理论上讲该病也有生长抑素受体显像假阳性的可能。




综合来看,根据本例病变部位,若为副神经节瘤则应为功能性,而患者无相关症状,24 h尿儿茶酚胺、血浆儿茶酚胺及其代谢产物测定结果均正常,生长抑素受体显像虽为阳性但摄取程度不典型,副神经节瘤的可能性的确不大,更可能是Castleman病或炎性肌纤维母细胞瘤。若要进一步鉴别,炎性肌纤维母细胞瘤更容易发生坏死,而本例的密度、强化都较均质,更倾向于Castleman病;另外,18F-脱氧葡萄糖(fluorodeoxyglucose,FDG)PET/CT也有助于鉴别,炎性肌纤维母细胞瘤虽为低度恶性肿瘤,但由于大量炎性细胞浸润,FDG代谢活性往往很高,而Castleman病的代谢活性与之相比较低,尤其是透明血管型Castleman病。
本例患者之后行腹膜后肿块切除术,病理为透明血管型Castleman病。本例的病灶特点较明确,需鉴别的疾病也相对简单,但要下诊断还是要做大量的功课。做一名合格的核医学影像医师其实任重而道远。
所有作者均声明不存在利益冲突





















