
版权归中华医学会所有。
未经授权,不得转载、摘编本刊文章,不得使用本刊的版式设计。
除非特别声明,本刊刊出的所有文章不代表中华医学会和本刊编委会的观点。
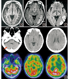
患者女,62岁,因言语不清伴右眼视物不清3 d就诊。血常规、肝肾功能及凝血全套检测均正常。体格检查:血压155/71 mmHg(1 mmHg=0.133 kPa),神清,格拉斯哥昏迷评分(Glasgow coma scale, GCS)15分,定向力正常,口齿不清;双侧瞳孔直径3.0 mm,光反应灵敏,两侧眼球活动无异常,粗测视野右侧同向偏盲;两侧额纹对称,两侧鼻唇沟基本对称,伸舌居中;右下肢可疑5级-,余肢体肌力5级,两侧肌张力无异常,两侧腱反射对称阳性,巴宾斯基征阴性。患者既往无高血压、冠状动脉硬化性心脏病及糖尿病史。头部CT检查示左枕叶低密度,诊断为脑梗死。MRI平扫示左颞叶、枕叶见片状异常信号;T1加权成像(weighted imaging, WI;图1A)呈低信号,局部脑表面见点状、线样高信号,T2液体衰减反转恢复(fluid attenuated inversion recovery, FLAIR)序列成像(图1B)示左颞叶、枕叶斑片状高信号,局部脑表面见点状、线样高信号,即"常春藤"征,并可见粗大流空血管信号,左额叶、颞叶、顶叶及枕叶皮质下轻度信号增高;弥散加权成像(diffusion weighted imaging, DWI;图1C) (b=1 000 s/mm2)示左颞叶、枕叶皮质片状高信号。99Tcm-双半胱乙酯(ethylcysteinate dimer, ECD)SPECT/CT脑血流灌注显像(图1D)示,左额叶、颞叶、顶叶及枕叶大范围脑血流灌注减低区,局部脑血流(regional cerebral blood flow, rCBF)为26.75~37.91 ml·100 g-1·min-1,右小脑半球局部脑血流灌注减低,提示交叉性小脑失联络。数字减影血管造影(digital subtraction angiography, DSA;图2)示左侧大脑半球弥漫性异常血管增生,病灶弥漫性分布,供血动脉累及左大脑前动脉、左大脑中动脉及左大脑后动脉,左颈外动脉造影额颞部可见多处硬膜血管向颅内代偿。最终诊断:增殖性脑血管病(cerebral proliferative angiopathy, CPA),左颞叶、枕叶脑梗死。予营养神经、改善微循环等保守治疗后,患者症状好转并出院。




CPA是一种罕见的脑血管畸形,约占脑血管畸形的3.4%,其特点为多支供血动脉及引流静脉增生扩张形成畸形毛细血管网,病灶中混杂正常脑实质[1]。CPA女性多见,发病年龄6~65岁,平均23.5岁。该病临床表现取决于病灶累及部位,患者常出现头痛、癫、缺血性脑卒中症状、短暂性脑缺血发作以及其他缺血型神经功能障碍[2],以脑出血为首发症状者少见,但再次出血率高达67%[3]。该病好发于幕上,发生于小脑半球及脑干者少见,常累及2个或2个以上脑叶,单脑叶受累少见;病理可见动脉内弹力层、肌纤维及静脉胶原增厚,Ⅳ型胶原蛋白在内膜下皮呈过表达[1]。
CPA的诊断主要依赖于DSA,其表现为累及整个脑叶甚至整个大脑半球的弥漫性增生的血管网,呈"泥浆样"改变,无优势供血动脉及引流静脉或与血流相关的动脉瘤,病灶边界不清,存在混合的正常脑实质[1]。99Tcm-ECD SPECT/CT脑血流灌注显像可计算出不同部位的rCBF,而同机CT能弥补SPECT图像组织分辨率低、解剖结构不清晰的不足,从而提高对缺血性脑血管病的诊断能效[4]。本例SPECT/CT脑血流灌注显像显示,患者左大脑半球弥漫rCBF减低,范围明显大于常规MRI异常信号区,与文献[5]报道一致,且负荷脑血流灌注显像提示脑血流储备功能降低,CPA受累区域为低灌注状态,血流动力学特点更接近烟雾病[5,6]。因此,对于疑似脑卒中的患者,当SPECT/CT脑血流灌注显像所示缺血范围明显大于CT和(或)MRI所示时,或显像呈现整个大脑半球、多个脑叶大范围的明显脑缺血改变时,需考虑CPA的可能,建议进一步行DSA检查明确诊断。本例SPECT/CT脑血流灌注显像还观察到交叉性小脑失联络现象,而CT及MRI均未显示,也体现了脑血流灌注功能显像的优势。
本例MRI受累脑表面FLAIR序列显示"常春藤"征,这是烟雾病较特征性的影像学征象,其意味着脑缺血更严重或脑血管反应性下降更明显,动态观察血运重建术后"常春藤"征的变化可有效评估手术疗效[7]。
CPA的治疗尚未达成共识,临床上主张个体化治疗。对于尚未出血、表现为癫症状的患者,以药物控制症状为主;对于缺血明显的患者,可考虑血运重建[2,5]。本例提示,99Tcm-ECD SPECT/CT显像联合多参数MRI评估CPA的血流动力学及其血运重建术后评价脑血流灌注变化有重要意义。
所有作者均声明不存在利益冲突





















