
结节病是一种病因不明的具有非干酪样肉芽肿特征的慢性疾病。结节病的心脏受累可导致多种严重后果,如高度心脏传导阻滞、心律失常、心肌病,甚至死亡。心脏结节病可发生在已确诊结节病的患者中,也可能是疾病的唯一表现。传统的诊断技术(包括超声心动图)诊断心脏结节病的灵敏度较低。越来越多的证据表明,先进心脏影像学技术(如MRI、PET)在心脏结节病的诊断、危险分层以及患者管理中具有重要价值。本综述重点强调了心脏影像学技术在评估疑似或确诊心脏结节病患者中的相关重要理论知识和实践意义。
版权归中华医学会所有。
未经授权,不得转载、摘编本刊文章,不得使用本刊的版式设计。
除非特别声明,本刊刊出的所有文章不代表中华医学会和本刊编委会的观点。
结节病是一种可累及心脏和其他器官的多系统性疾病[1]。心脏结节病(cardiac sarcoidosis, CS)的患病率尚无精确统计,但与尸检结果相比,实际患病率可能被低估[2]。虽然只有少数系统性结节病患者出现心脏受累的临床症状,但(潜在可预防的)异常心脏电活动和心源性猝死发生率高,因此CS的诊断非常重要[3]。
结节病可出现孤立的心脏受累而不影响其他器官。虽然这种表现很少见,但最近的尸检报告表明,因CS猝死的患者中,有高达40%的患者没有明显的心外受累表现[4]。因此,在高危患者中应进行心脏评估,特别是年轻患者以及患有心脏病、不明原因室性心动过速或高度房室传导阻滞的中年患者。由于缺乏可靠的生物标志物或诊断性检查,CS的诊断有一定困难;心电图、超声心动图、心肌灌注显像、心内膜活组织检查(简称活检)等常用心脏检查方法(非侵入性和侵入性)都存在灵敏度和特异性较低的缺点[5]。大多数针对CS的研究使用的诊断"金标准"都有明显的局限性。日本厚生省的诊断标准最初发表于1993年,后于2006年更新,尚未得到广泛验证[6]。这些标准需要心内膜活检来证实心脏受累,或需要通过结合主要及次要标准进行临床证实[7,8]。最近,美国心律学会发表的专家共识提出了新的CS诊断标准,其中包括心脏影像学技术的使用,然而这些标准对心脏外结节病的诊断仍然推荐活检[9]。
心脏MR(cardiac MR, CMR)和PET是先进影像学检查方法,其检测心脏受累的患病率与尸检报告结果相似,且预后价值优于传统的临床诊断标准[10,11,12,13]。许多报告强调了先进影像学方法在提高识别和治疗CS患者方面的潜在价值。在现代临床实践中,这些影像学工具在疾病的早期诊断、活动度评估、预后和疗效监测等方面发挥着重要作用。
掌握CS的组织病理学特征十分重要,不同特征涉及不同的影像学方法。CS最常累及心肌组织,而心包和心内膜较少受累,其受累主要是由于心肌疾病直接蔓延所致。结节病的病理包括3个组织学阶段:水肿、肉芽组织浸润和纤维化。早期可见单核细胞为主的淋巴细胞浸润和间质性水肿。CS特征性的征象是伴有片状纤维化的散在、致密、非坏死性的上皮样肉芽肿[14]。在晚期阶段,由单核吞噬细胞和CD4+ T细胞从辅助型T细胞1型应答转变为辅助型T细胞2型应答,激活抗炎反应并导致组织瘢痕形成及纤维化[15]。局灶性心肌受累区域破坏正常心肌电生理特性,易诱发室性心律失常,包括恶性心律失常和心源性猝死。从影像学角度看,单核炎性细胞对18F-脱氧葡萄糖(fluorodeoxyglucose, FDG)的亲和力以及CMR T2加权成像显示的组织水肿,可以诊断炎性反应期CS。在延迟CMR成像上,钆剂延迟增强(late gadolinium enhancement, LGE)可诊断心肌纤维化区域。CS疾病的进展过程尚未得到确切研究,但可以确定的是局灶性心肌病变的自然病程多样化,既可完全缓解也可发展为致密的透壁纤维化。
经病理证实的CS最常累及室间隔和左心室下壁,左心室前壁和右室较少受累[16]。室间隔受累易导致房室传导阻滞,超声心动图上可发现晚期结节病患者室间隔基底部变薄。
CS病灶多位于心外膜下和心肌中层,呈片状分布[7,8],这与心内膜下受累的冠状动脉疾病相反。由于冠状动脉病变心内膜下心肌受累后左心室局部室壁运动不协调,可用超声心动图或CMR的电影成像序列(Cine)室壁运动分析明确心肌受累情况;而CS所致的心外膜下和心肌中层的心肌病变可使左心室室壁运动和排空功能得以保留。心力衰竭不是CS常见的首发表现,其出现则提示疾病已发展到晚期,因此依靠室壁运动分析诊断CS的灵敏度较差。由于CS病灶多呈片状分布于心外膜下及心肌中层,心内膜心肌盲检诊断CS的灵敏度明显降低(<25%)。电解剖标测或影像引导下的心内膜心肌活检可能会提高诊断的灵敏度,但仍需进一步验证[17]。综上,先进心脏影像学检查已成为CS诊断及疾病管理的临床标准之一。
1.超声心动图。经胸超声心动图是疑诊CS患者初筛的首选影像学方法。该法可评估左心室整体收缩功能、左心室几何形状、心肌增厚或变薄部位、舒张期参数及右心室功能。常见的超声心动图异常表现包括局部室壁运动异常、动脉瘤、间隔基底变薄、左心室扩张、左或右心室收缩或舒张功能障碍[18]。然而超声心动图检出CS的灵敏度低,正常结果并不能排除CS。在有心脏症状或心电图异常的结节病患者中,超声心动图的特异性高,若超声心动图表现异常则高度提示CS,其阳性预测值高达92%[19]。
室间隔基底部变薄是CS的特征性表现(图1)。研究发现室间隔变薄(室间隔基底部厚度≤4 mm或室间隔基底部与室间隔比≤0.6)与不良的远期临床转归相关[20]。


由于合并肺部疾病,结节病患者右心压力可能升高,但结节病相关肺动脉高压作为合并症并不常见。最近一组大样本队列研究表明,经活检确诊的结节病患者的肺动脉高压患病率约为12%[21],且与发病率和死亡率增高有关[22]。
斑点追踪超声心动图是评估左心室局部及整体应变的一种新的超声心动技术,用于早期诊断CS有广阔前景。该项技术有助于在左心室收缩功能出现明显障碍之前检测到心肌力学的变化。Joyce等[23]研究了100例没有确诊CS或其他心脏疾病的全身系统性结节病患者,与对照组相比,结节病患者心肌整体的纵向应变受损,且与主要心血管不良事件相关。目前的研究结果提示,需要进行更多更大规模的前瞻性研究来评估该技术在CS早期诊断中的准确性。
2.SPECT。基于201Tl和99Tcm的SPECT心肌灌注显像可在静息状态下识别出局灶性灌注缺损,表现为固定性缺损或血管舒张作用下的反向再分布[24,25,26,27]。静息心肌灌注缺损区与微血管受压或正常心肌被纤维肉芽肿替代有关。尽管这些缺损不是典型的冠状动脉疾病的表现,但将异常结果归因于CS之前,应排除其他诊断,特别是冠状动脉疾病。患者行负荷显像时,灌注缺损区在负荷显像上可能有所改善(与冠状动脉疾病相反),这种现象被称为反向再分布,其继发于肉芽肿周围冠状动脉局灶可逆性的微血管收缩,但这不是CS的特异性表现[28,29]。在衰减校正适当的前提下,基于201Tl和99Tcm的SPECT心肌灌注显像与18F-FDG PET显像联合使用可以评估心肌的灌注及炎性反应情况。大多数医学中心更倾向于使用PET,因为由相同设备获得的2组图像更容易解读,且PET的衰减校正能力及空间分辨率明显优于SPECT。镓闪烁显像可用于检测活动性炎性疾病,但由于其灵敏度及空间分辨率低,美国大多数医学中心已不再使用该项技术。
3.18F-FDG PET。18F-FDG是一种葡萄糖类似物,可用于检测活动期的CS。由于巨噬细胞密集区18F-FDG摄取增高,因此其可用于结节病的炎性反应显像。葡萄糖和18F-FDG均在活跃的巨噬细胞中磷酸化,葡萄糖可被进一步代谢,而18F-FDG磷酸盐滞留在巨噬细胞中,因此可被显像。炎性反应显像通常与静息灌注评价方法相结合,后者包括PET心肌灌注显像(显像剂为13N-NH3·H2O或82Rb)或SPECT。由于微血管受压或纤维化导致灌注与18F-FDG代谢不匹配,炎性反应区域在PET或SPECT显像上可表现为灌注缺损。炎性反应显像与灌注显像相结合可以系统评估CS,提供有价值的诊断和预后信息。但局灶性18F-FDG摄取并不是CS的特异性表现,如无灌注异常的侧壁孤立性18F-FDG低摄取诊断CS的可能性较低。同样,冠状动脉疾病患者心肌慢性缺血,冬眠心肌可表现为18F-FDG高摄取;具有炎性反应成分的心肌病,如活动性心肌炎或伴有心脏受累的全身性风湿病,也可有心肌18F-FDG高摄取。检查前没有充分准备的患者可能出现心肌弥漫性18F-FDG摄取。另一方面,无明显炎性反应的CS患者也可能存在静息灌注缺损。因此,18F-FDG摄取缺损表明心肌没有炎性反应,但不能排除CS的存在[30]。现已提出炎性反应与灌注核素显像结合的CS分期体系,但这些分期缺乏组织学或临床结果的验证[31]。
PET诊断CS优势较少,主要为:心内装置植入者和晚期肾病患者可安全应用;全身显像可同时评估心外结节病。肺是结节病的最常见累及部位,胸部淋巴结也常受累,后者在PET上表现为双侧肺门及纵隔淋巴结肿大[1]。
有几项研究试图确定心脏PET对于诊断CS的准确性,但其诊断效能还有待验证。Youssef等[32]的一项纳入164例患者的荟萃分析结果显示,PET诊断CS的总灵敏度为89%,总特异性为78%。最近一项纳入17个研究的荟萃分析结果显示,PET诊断CS的总灵敏度为84%,总特异性为83%[33]。然而,由于"金标准"自身的局限性和小样本研究的局限性,上述结果应谨慎参考。
18F-FDG PET的诊断效能取决于能否合理抑制正常心肌细胞对葡萄糖的生理性摄取。以下几种方法(尚未进行CS标准化)可提高心肌病理性摄取的诊断特异性:延长禁食时间、高脂低碳水化合物饮食、静脉注射肝素及上述方法的联合应用[30]。但这些方法可能在多达25%的患者中无效,并导致假阳性或不确定的结果[34]。由于这些局限性,一些研究用其他示踪剂进行了评估。这些示踪剂对炎性反应或增殖细胞具有高特异性,且不需要复杂的饮食或禁食准备。Norikane等[35]的一项研究比较了3′-脱氧-3′-18F-氟胸腺嘧啶和18F-FDG诊断心脏或心脏外结节病的准确性,其结果表明,尽管2种示踪剂的诊断准确性和灵敏度(分别为92%和100%)没有明显差别,但结节病病灶对3′-脱氧-3′-18F-氟胸腺嘧啶的摄取明显低于18F-FDG。与结节肉芽肿中炎性反应细胞表面的生长抑素受体结合的示踪剂,如68Ga-1,4,7,10-四氮杂环十二烷-1,4,7,10-四乙酸-1-萘丙氨酸3-奥曲肽(1,4,7,10-tetraazacyclododecane-1,4,7,10-tetraacetic acid-1-Nal3-octreotide, DOTANOC),可能会降低不确定结论的比例[36]。Gormsen等[37]比较了68Ga-DOTANOC与18F-FDG PET的诊断准确性和观察者间的差异,结果显示,尽管研究样本量较小,68Ga-DOTANOC仍具有较高的诊断准确性(100%与79%)和较小的观察者间差异;3′-脱氧-3′-18F-氟胸腺嘧啶和68Ga-DOTANOC都不需要禁食或限制饮食。
4.CMR。CMR作为筛查或评估CS患者的重要先进影像学方法,可用于检测心肌水肿、心肌灌注异常、心肌瘢痕以及详细评估左、右心室的结构和功能。有研究结果显示,CMR诊断CS的灵敏度(75%~100%)和特异性(76%~78%)较高[38,39];此外,CMR对准确定位心肌内膜活检部位及提高病理诊断灵敏度方面也有重要意义。
CMR也可以潜在地评估CS的炎性反应成分,CMR中T2加权成像和T2 mapping可检测水肿和炎性反应。有研究认为T2加权CMR可能会取代18F-FDG PET用于检测炎性反应和监测疗效,但由于该技术的信噪比相对较低,故仍需更多的临床研究进行验证[40,41]。
CMR延迟成像中的LGE可评估心肌瘢痕的情况(图2)。钆剂是一种细胞外显像剂,与正常心肌相比,其在纤维化或炎性反应心肌中的洗脱速率较慢。尽管LGE表现各异,结节病的病灶多位于室间隔、左心室基底部、侧壁及乳头肌,较少分布于心内膜下[39,42]。LGE的分布和整体表现有助于诊断CS,但其结果可能是非特异性的。LGE可以被定量,但目前定量诊断CS尚无共识。此外,CMR在安装心脏起搏器或植入式心律转复除颤器的患者中禁用,钆剂禁用于晚期肾病患者。


1.18F-FDG PET。近期研究肯定了18F-FDG PET在CS患者预后评估中的价值。存在18F-FDG摄取增高和局灶性灌注缺损的CS患者出现室性心律失常及死亡的风险高。一项研究对纳入的118例确诊或疑诊CS但没有冠状动脉疾病的患者行心脏PET检查,结果显示同时存在心肌灌注缺损和18F-FDG摄取异常的患者室性心动过速发病率和死亡率每年增加4倍[13]。虽然右心室炎性反应并不常见,但与心肌灌注及代谢正常组相比,存在局灶性右心室炎性反应患者的心脏事件发生率增加了5倍;另一方面,活动性心脏外结节病的有无与心脏不良事件无关[13]。Tuominen等[43]对137例疑诊CS患者行18F-FDG PET显像进行定量评估的回顾性分析中有类似发现,右心室18F-FDG的病理性摄取在有心血管事件的患者中较无心血管事件的患者更常见(46%与6%),心脏代谢总活性大于900 MBq[平均标准摄取值(standardized uptake value, SUV)乘以心肌代谢体积]预测心脏事件的可能性更高(27%与4%);右心室存在病理性摄取的患者心脏代谢总活性明显高于无病理性摄取的患者。因此,右心室病理性摄取与全心高代谢活动相结合是CS患者的重要危险因素[43,44]。
心脏PET是监测免疫抑制治疗效果的首选方法。有研究对心肌18F-FDG摄取进行视觉及定量分析上的比较,结果显示定量分析是评估治疗反应更精确的方法[45,46]。Osborne等[47]的研究纳入了23例患者,这些患者在CS免疫抑制治疗期间接受连续的PET检查,结果显示SUV强度[最大SUV(maximum SUV, SUVmax)]或程度(炎性反应活跃程度超过预先设定的SUV阈值)的减少与左心室射血分数(left ventricular ejection fraction, LVEF)的改善有关,而对治疗无应答者(由18F-FDG摄取的变化确定)的LVEF明显减低。18F-FDG摄取是否与相关心脏事件发生率的降低有关目前尚无定论,还需要进一步的研究去寻找适当且有临床意义的定量技术对其进行纵向比较,从而明确是否还有其他成像技术可应用于疗效的随访。
2.CMR。CMR延迟成像中LGE的存在是预测CS患者发生心脏事件及死亡的强有力指标[39,42],可为临床决定是否植入心律转复除颤器提供参考[9]。
Kouranos等[19]对321例心脏外活检证实结节病的患者中位随访84个月以上,结果显示LGE是唯一可以独立预测全因死亡、持续性室性心动过速或心力衰竭住院主要联合终点的预测因子[风险比(hazard ratio, HR)=5.68, 95% CI: 1.74~18.49;P=0.004]。CMR可以独立预测有心脏事件或心电图异常的患者发生不良事件的概率(HR=12.71,95% CI: 1.48~109.35;P=0.021)。
Greulich等[12]对155例系统性结节病患者中位随访2.6年以上,其中39例(25.5%)存在LGE;LGE是最强的独立危险因素(强于LVEF和舒张末期容积),LGE与死亡、先兆心源性猝死或植入式心律转复除颤器放电的HR为31.6。
Tuominen等[43]的一项针对PET的研究中,部分患者接受了CMR成像,没有LGE的患者在后期随访中未发生不良事件,这一结果证实了CMR具有非常好的阴性预测价值。
Hulten等[48]的一项荟萃分析中纳入了694例接受CMR检查的患者,结果显示,LGE与较高的死亡率或室性心律失常发生率相关(相对风险比6.20; 95% CI: 2.47~15.6; P=0.001);无LGE则发生室性心律失常和心血管意外死亡的风险较低。
在预后方面,与PET显像的18F-FDG摄取相比,LGE可能更重要[49],因此CMR可用于相关设备植入的决策。
3.18F-FDG PET与CMR。相关研究比较了18F-FDG PET和CMR的诊断效能[38,50,51]。解读这些研究结果需要注意以下几点:首先,大多数研究不足以判断这些技术之间差异显著性;其次,诊断CS的"金标准"仍难以界定;最后,不同的检查方法可检测CS不同的病理特征(如18F-FDG PET提示炎性反应,理论上可早期诊断CS[52];CMR空间分辨率高,出现LGE在很大程度上代表瘢痕,可检测心肌微小纤维化)。18F-FDG PET与CMR诊断CS均具有较高的灵敏度,但CMR特异性更高[53]。对于接受类固醇激素治疗的患者,CMR和PET的诊断灵敏度可能会降低,但CMR可能诊断效能稍优[38]。与18F-FDG PET相比,CMR的一个重要优势是明显减少非诊断性扫描的次数,这可能与18F-FDG PET显像前患者准备过程中技术较复杂有关。CMR的其他优点包括没有电离辐射、不需要患者特殊准备及可识别其他心肌病或浸润性疾病。
Ju Lee等[51]在一项研究中对104例疑似CS的患者同时采用CMR和18F-FDG PET进行评估,其中79例(76%)出现LGE,而仅31例(30%)出现18F-FDG摄取;在该研究中,没有LGE仅有18F-FDG摄取的情况不常见。另外,一项小样本研究对比了18F-FDG PET与CMR的诊断效能,尽管差异无统计学意义,但PET的灵敏度比CMR略高(88%与77%)[38]。
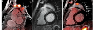
4.CMR/PET联合成像。尽管CMR与PET检测到的CS组织病理学特征不同,这2种技术间的互补作用尚未明确。CMR/PET联合成像的优点是通过CMR识别纤维化和18F-FDG PET评估炎性反应,以对心脏功能进行准确评估。基于联合成像效果有4种模式:第一种是CMR阳性、PET阳性,其中LGE与18F-FDG局灶性摄取增加一致的病灶可能代表活动性CS(图3);第二种是CMR阳性、PET阴性,CMR上可见LGE但无18F-FDG摄取的病灶可能继发于伴心肌瘢痕的非活动性CS(图4);第三种是CMR阴性、PET阴性,LGE和18F-FDG摄取均未见的部位可能代表正常心肌;第四种是CMR阴性、PET阳性,即未见LGE但可见18F-FDG摄取增加(局灶性、弥漫摄取伴局灶性增高、弥漫性),可能是心肌糖代谢抑制失败或心肌正常的生理性摄取造成的假阳性结果,但在某些情况下,LGE阴性的早期CS也可出现这种模式。




Vita等[54]的一项研究对107例疑诊为CS的患者同时使用CMR和PET进行评估,91例(85%)LGE为阳性的患者中,60例(66%)18F-FDG摄取异常,提示存在活动性炎性反应;LGE和18F-FDG摄取均为阳性的患者患CS的概率更高,这些患者行免疫抑制治疗的比例也更高。
Dweck等[55]的一项研究采用CMR/PET联合成像监测了25例患有活动性结节病的患者,该研究的特点是同时采集,采用靶-正常心肌最大比值来定量评估18F-FDG摄取;活动性CS(CMR阳性,PET阳性)的靶-正常心肌最大比值较非活动性CS或假阳性(CMR阴性,PET阳性)的比值高50%[分别为1.6(1.3,1.9)和1.1(1.0,1.1);P<0.001]。这项研究结果还显示,使用联合成像方法检测活动性CS具有较高的灵敏度和特异性,T2 mapping结果与靶-正常心肌比值呈正相关,但并无统计学意义;通过约登指数计算出的最大靶-正常心肌比值的最佳阈值为1.2,诊断灵敏度为100%,特异性为94%。此外,其比需用灌注显像剂来评估心肌瘢痕的18F-FDG PET辐照剂量低(8.2±1.5) mSv。
在许多疑诊CS的患者中,CMR和PET的联合使用为诊断提供了互补价值,可以评估心肌功能、损伤类型、疾病活动度以及对CS患者进行管理[56]。2种影像方法联合可以提高诊断效能,减少患者的受照剂量,进而为CS患者的诊疗提供一体化管理。尽管CMR/PET同步采集是很有前景,但能进行此类联合成像的扫描仪非常有限。
基于大部分为单中心研究的多项最新数据,先进影像学检查方法已融入到疑诊或确诊CS患者的临床诊疗中。这些研究很大程度上反映了不同机构的临床经验,在临床诊断与显像方法上存在明显差异;部分研究成果试图基于可用的证据发布临床推荐建议,但同时也承认存在局限和挑战[9,30,31]。先进心脏影像学方法在如下某些临床情况中仍可起到重要的决策辅助作用(表1)。

在疑诊或确诊的心脏结节病(CS)患者中先进心脏影像技术应用面临的临床问题
在疑诊或确诊的心脏结节病(CS)患者中先进心脏影像技术应用面临的临床问题
| 临床问题 | 临床证据 |
|---|---|
| 已确诊心脏外结节病的CS患者的诊断 | 初筛阳性:病史、心电图、超声心动图或24 h动态心电图监测 |
| 未确诊心脏外结节病的CS患者的诊断 | 高度怀疑:如不明原因的心电异常和不明原因的心肌病 |
| 免疫抑制剂治疗的启动与监测 | 识别与量化炎性反应,包括纵向随访 |
| 装置植入式电复律除颤器 | 传统标志物(左心室射血分数)以外的心源性猝死高危患者的识别 |
1.已确诊心脏外结节病患者。活检证实有心脏外结节病的患者应常规筛查CS[10]。初筛的检查方法包括详细的病史采集、心电图、经胸超声心动图,条件允许的情况下进行24 h动态心电图监测[9]。初筛中发现任何异样的患者均应行先进心脏成像进行随访,CMR是首选检查方法;对于有CMR检查禁忌证的患者,18F-FDG PET结合心肌灌注显像是成熟的诊断方法[30,31]。在某些情况下,强烈怀疑患有CS但CMR为阴性的患者可行18F-FDG PET显像进一步检查。对于能开展CMR/PET联合成像的单位,推荐使用联合成像。
2.未确诊心脏外结节病患者。诊断不足的孤立性CS是临床诊断的巨大挑战。在临床上,对未确诊心外结节病的患者,怀疑CS以及采用何种诊断方法尚无共识。一项研究结果建议对不明原因的严重房室传导阻滞的年轻患者(<60岁)应进行CS评估[9] 。其他疑诊为CS的情况包括不明原因的单形性室性心动过速或不明原因心肌病的年轻患者,特别是无冠状动脉疾病但在超声心动图上有不连续的局部室壁运动异常的患者。疑似CS的评估方法包括胸部CT检查寻找心外结节病的证据、先进心脏影像学检查(如CMR或18F-FDG PET)。胸部成像上可疑的心脏外病灶可以作为活检目标;然而,未确诊心外膜结节病患者的心脏影像结果可能是非特异性的,在这些患者中,应考虑使用电解剖标测或影像引导下的心肌内膜活检[17]。
3.炎性反应CS患者的疗效监测。患有CS,尤其是伴有心室功能障碍和电活动异常的患者,通常使用免疫抑制剂治疗。超声心动图和CMR可以对心室功能进行全面评估,但不能可靠地评估炎性反应的严重程度。CMR的T2加权成像虽然在理论上可行,但并未用于临床疗效监测;另一方面,已有的一些观察性研究结果支持18F-FDG PET在早期治疗及疗效监测方面的临床效能。然而,关于最佳监测方法(描述性或定性指标)、基于治疗的特异性影像学变化、最佳监测间隔的证据有限[30,31]。
4.确诊CS患者考虑行装置植入治疗的预后价值。先进心脏影像学方法在已确诊CS、为预防心源性猝死安装植入式电复律除颤器的患者的预后判断中起着重要作用。对于LVEF降低(<35%)的患者,应积极寻找并治疗炎性反应;如果药物治疗和免疫抑制剂都不能改善炎性反应患者的收缩功能,则强烈推荐植入电复律除颤器。另一方面,轻中度左心室收缩功能障碍(LVEF为35%~49%)或右心室功能障碍(射血分数<40%)并存在LGE的患者也可能需要植入电复律除颤器[9]。
上述总结了常见的临床方法,同时也强调了诊断的不确定性和知识空缺。未来的多中心协作研究须采用系统的、统一的方法将先进心脏影像检查技术整合到CS患者的临床决策中。
先进心脏影像检查技术提高了诊断CS、识别心血管疾病高危患者以及评估免疫抑制疗效的能力。每种方法能够鉴别CS的某种特定组织病理学特征:延迟CMR的LGE主要用于评估纤维化,而PET最适合用于观察和量化活动性炎性反应。CMR是很好的初筛检查方法,LGE是评价CS患者预后的最强有力指标。如果有临床高度怀疑CS但CMR结果为阴性或存在CMR检查禁忌证时,可选择心脏PET。心脏PET最适用于接受免疫抑制治疗的CS患者的疗效评估。CMR/PET联合成像作为新兴影像学检查技术,单次扫描即融合了2种成像技术的优点,从而更加准确地诊断CS。未来需要通过更多研究来比较不同影像技术的表现,以评估疾病活动及进行疗效监测。





















