
版权归中华医学会所有。
未经授权,不得转载、摘编本刊文章,不得使用本刊的版式设计。
除非特别声明,本刊刊出的所有文章不代表中华医学会和本刊编委会的观点。
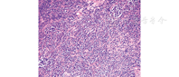
患者女,32岁,因"阴道不规则出血伴下腹痛1周"入院。患者1周前无明显诱因出现阴道出血伴间断性下腹痛,无发热、恶心、呕吐,无腹胀、腹泻等。有剖宫产史。体格检查:阴道内触及较大质硬包块,宫底脐下三横指,轮廓清楚,质中,余未见明显异常。实验室检查:鳞状细胞癌相关抗原0.8[0~1.5(括号内为正常参考值范围,下同)] μg/L;血常规:Hb 109(115~150) g/L;尿常规:RBC 322.4(0~17.6)×106/L,白细胞1 404.3(0~15.4)×106/L,上皮细胞62.9(0~8.7)×106/L,隐血3+(阴性),白细胞酯酶3+(阴性),尿蛋白1+(阴性);余指标未见明显异常。影像学检查:盆腔彩超示盆腔内大小约11.5 cm×11.6 cm低回声区,位于阴道中上段水平,与宫颈关系密切,内见少许血流信号。盆腔MRI示盆腔内占位,与子宫颈分解不清,考虑子宫颈癌;盆腔内多发肿大淋巴结,考虑淋巴结转移。18F-脱氧葡萄糖(fluorodeoxyglucose, FDG) PET/CT(上海联影医疗科技有限公司uMI510型)显像示:盆腔内骶前区巨大软组织肿块,与子宫颈及阴道中上段分界不清,糖代谢异常增高,最大标准摄取值(maximum standardized uptake value, SUVmax)为24.9(图1),延迟显像(注射后2 h)SUVmax为37.0,考虑恶性肿瘤性病变;盆腔内双侧髂血管旁多发肿大淋巴结,糖代谢异常增高,SUVmax为23.5(图1),延迟显像SUVmax为28.6,考虑淋巴结转移;全身其余部位未见异常高代谢灶。阴道镜检查:阴道内约9 cm×12 cm包块,质硬、色白、表面光滑,取少许占位性病变组织行活组织检查(简称活检),病理示:(子宫颈)光学显微镜下见红染无结构坏死物及炎性渗出物;(阴道)光学显微镜下见肿瘤细胞由上皮细胞构成,呈圆形、卵圆形,核深染,核仁少见,细胞质缺乏,核分裂象易见(图2),提示小圆细胞恶性肿瘤;免疫组织化学分析示突触素(synaptophysin, Syn;+)、嗜铬粒蛋白A(chromogranin A, CgA;+)、CD56(+)、波形蛋白(vimentin, Vim;+)、细胞增殖核抗原Ki-67(90%)、甲状腺转录因子-1(thyroid transcription factor-1, TTF-1;+)及细胞角蛋白18(cytokeratin 18, CK18;+)。诊断:阴道小细胞神经内分泌癌(small cell neuroendocrine carcinoma, SCNEC) ⅢC1期。患者阴道肿块较大,分期较晚,不适宜行手术,予"依托泊苷+顺铂"化疗。




SCNEC最常见于肺,仅有5%发生于肺外组织,约占女性生殖系统恶性肿瘤的1%~2%[1]。原发于阴道者罕见,自Scully等在1984年报道第1例起到目前为止仅有数十例被报道过[2,3]。女性生殖系统的SCNEC常见于子宫颈,其次是子宫内膜、卵巢、阴道及外阴[4,5]。阴道SCNEC具有高度侵袭性,死亡率较高,多见于绝经后妇女,常见的临床表现为阴道不规则出血、分泌物增多、白带异常、腹盆腔疼痛或远处转移症状[3,6]。妇科检查时多数患者有阴道壁增厚、管腔狭窄表现,少数有阴道多发结节[3]。本例为32岁患者,因阴道不规则出血伴下腹痛就诊,妇科检查时阴道内触及较大质硬包块。阴道SCNEC组织学起源尚不明确,但其病理学特征与肺SCNEC相似[6];光学显微镜下癌细胞由圆形、卵圆形或细长形的上皮细胞构成,核深染,细胞质及核仁缺乏,呈弥漫性生长[7]。免疫组织化学染色对该肿瘤诊断作用较大,肿瘤细胞表达多种神经内分泌标志物,其中以Syn、CgA、CD56为主,Vim、神经元特异性烯醇化酶(neuron-specific enolase, NSE)、CK、TTF-1及Ki-67等也有一定诊断作用[5]。到目前为止仍没有针对阴道SCNEC的标准治疗方案。较常见的治疗方式为早期手术切除病灶及局部淋巴结清扫,加以放化疗辅助,晚期则采用放化疗综合疗法[3,4,7]。
阴道原发性SCNEC的影像学表现无明显特征性,CT多表现为阴道壁不均匀增厚,局部形成软组织肿块,边界不清,内部密度不均匀,增强后呈轻中度强化;MRI上病灶呈不均匀长T1、长T2信号,弥散加权成像(diffusion weighted imaging, DWI)呈高信号,增强后呈轻中度强化,常伴有盆腔及双侧腹股沟区多发肿大淋巴结;18F-FDG PET/CT显像表现为病灶18F-FDG摄取明显异常增高,转移灶亦呈明显异常高代谢[7]。该肿瘤侵袭性高,病变多呈浸润性生长,与周围组织分界不清,部分累及子宫颈或直肠,易发生周围淋巴结转移及远处转移。本例阴道肿块及盆腔肿大淋巴结18F-FDG摄取异常增高,提示恶性肿瘤性病变伴淋巴结转移;全身其余部位未见异常转移灶。
18F-FDG PET/CT显像虽然不能对阴道肿块进行明确诊断,但在病变良恶性的判断及显示淋巴结转移与远处转移上具有明显优势,对早期诊断及临床分期有重要价值,有助于治疗方案的选择。本例18F-FDG PET/CT显像盆腔内阴道中上段软组织肿块及周围肿大淋巴结糖代谢摄取异常增高,结合患者MRI及阴道镜检查可明确病灶为来源于阴道的恶性肿瘤,伴淋巴结转移。阴道肿块及盆腔淋巴结转移灶糖代谢均异常增高,SUVmax高达23.5~37.0,与Tamura等[7]报道的阴道SCNEC及其转移灶18F-FDG摄取增高相符。阴道SCNEC远处转移患者较少见,Yan等[5]曾报道了1例肺转移患者。本例暂未发现有远处转移。
本例阴道肿块较大,病灶主体位于盆腔内骶前区,需与盆腔其他恶性肿瘤相鉴别。(1)子宫颈癌。子宫颈癌常表现为子宫颈体积增大,CT上密度及MRI上信号不均匀,病灶广泛者可累及阴道;18F-FDG PET/CT显像常表现为病灶糖代谢异常增高,对淋巴结及远处转移具有较高的灵敏度及特异性[8];本例阴道肿块与子宫颈分界不清,MRI提示为子宫颈癌,但子宫颈活检未见明确肿瘤,且PET/CT显像子宫颈未见明显异常高代谢,故不考虑子宫颈来源的恶性肿瘤。(2)卵巢癌。卵巢癌常表现为单侧或双侧附件区肿块,边界不清,CT上密度及MRI上信号不均匀,多伴有腹盆腔种植性转移;18F-FDG PET/CT显像可见附件区肿块及腹盆腔腹膜、网膜、肠系膜多发异常浓聚灶。(3)直肠癌。直肠癌常表现为管壁不均匀增厚,管腔狭窄,部分患者可引起肠梗阻症状;病灶18F-FDG摄取增高。本例双侧附件区显影尚清,直肠呈受压改变,未见异常肿块及浓聚灶,故排除卵巢癌和直肠癌。
综上所述,阴道原发性SCNEC是一种非常罕见的高度恶性肿瘤,影像学表现多为阴道壁增厚伴软组织肿块,增强后呈轻中度强化,原发灶及其转移灶18F-FDG摄取均异常增高,肿块较大时需与盆腔内其他恶性肿瘤相鉴别,最终诊断仍需依靠病理学及免疫组织化学检查。
所有作者均声明不存在利益冲突





















