
版权归中华医学会所有。
未经授权,不得转载、摘编本刊文章,不得使用本刊的版式设计。
除非特别声明,本刊刊出的所有文章不代表中华医学会和本刊编委会的观点。
患者女,55岁,主诉胸闷、气短、下肢水肿6个月余。外院超声心动图提示左右肺动脉狭窄,左肺动脉最窄处约3.0 mm,压差为62 mmHg(1 mmHg=0.133 kPa),右肺动脉最窄处约4.1 mm,压差为61 mmHg,伴右心增大、三尖瓣返流、心包积液。胸部CT提示纵隔肿物,包绕主动脉弓、降主动脉及肺动脉等纵隔多根大血管,受累血管管腔狭窄。当地医院行心包积液穿刺,引流物为黄色液体,具体不详。外院遂行后纵隔肿物穿刺,病理为纤维组织增生伴胶原化及淋巴样细胞浸润,可见神经纤维及神经节细胞。患者为求进一步诊治入住本院,入院后实验室检查提示血、尿、便常规大致正常,超敏C反应蛋白增高,为53.65(括号内为正常参考值范围,下同:<3.0) mg/L,糖类抗原(carbohydrate antigen, CA)125及神经元特异性烯醇化酶(neuron specific enolase, NSE)升高,分别为97.5(0~35.0) kU/L与18.2(0~16.3) μg/L,其余肿瘤标志物正常;血管炎相关自身抗体及抗核抗体均为阴性。复查胸部增强CT可见中、后纵隔软组织影,平扫密度均匀,增强扫描动脉期呈轻中度强化,其包绕升主动脉、主动脉弓、降主动脉、肺动脉干及双侧肺动脉,受累范围向上达主动脉弓分支近端血管,向下沿椎旁延伸至膈肌脚水平,致双侧肺动脉主干局部重度狭窄(图1)。临床考虑为恶性病变可能,之后再次行后纵隔肿物穿刺,病理可见玻璃样变增生的梭形细胞,结合免疫组织化学考虑为增生的肌纤维母细胞。临床为评估纵隔占位的良恶性、探查病灶范围,行18F-脱氧葡萄糖(fluorodeoxyglucose, FDG)PET/CT显像。18F-FDG PET/CT显像可见增强CT所示纵隔不规则软组织密度影代谢不均匀增高,以双侧肺动脉周围及后纵隔胸椎两侧为著,最大标准摄取值(maximum standardized uptake value, SUVmax)为7.4(图2)。


本例影像学的主要特点:(1)病灶分布上,主要位于中、后纵隔,前纵隔未见受累;(2)形态方面,病变位于血管周围,与血管分界不清,受累血管明显狭窄,沿血管走形呈条片状表现,而未见明显的结节、肿物;(3)病灶密度较均匀,未见明显囊变、出血及钙化影,增强扫描呈轻中度强化;(4)病变FDG代谢增高但不均匀,肺动脉干周围病灶代谢程度明显增高,而其余部位代谢程度则相对略低。不同的FDG代谢活性与肿瘤细胞的分化程度、不同程度的纤维组织增生、炎性细胞的比例和活跃程度等有关,这可能说明病变内部性质不一。
按照纵隔组织的来源来分析,常见的包括血管来源、淋巴结来源、神经源性或者间质来源的病变。由于病变的形态是包绕大血管和在脊柱两侧的条片状影,未形成明确的占位性肿物,所以暂不考虑实体性肿瘤;而病变在大血管周围和脊柱两侧的分布特点,首先考虑到主动脉周围炎、纵隔纤维化这类病变,因为大血管周围、脊柱两侧是这类病变典型的受累部位。主动脉周围炎和纵隔纤维化可以是免疫球蛋白(immunoglobulin, Ig)G4相关性疾病的表现之一[1],也可以独立存在,其表现与腹膜后纤维化相似,只是累及范围有不同,有时腹膜后纤维化可与纵隔纤维化的病变相延续。纵隔纤维化是增生的纤维组织包裹、浸润和压迫邻近的纵隔结构,可导致肺血管、上腔静脉等纵隔内大血管和支气管狭窄,可分为局灶性病变和弥漫型病变。局灶型纵隔纤维化多表现为局限性软组织肿块,常位于气管旁、隆突下或肺门区域,引起邻近血管或气道狭窄、梗阻,病灶内多伴钙化,需与相应部位的实体肿瘤相鉴别;而弥漫型病变多包绕或侵犯纵隔内多个结构,后纵隔脊柱两侧是常见的受累区域。如图3所示1例弥漫型纵隔纤维化患者,主要表现为后纵隔胸椎旁代谢增高的软组织密度影,并可见肺动脉干局部周围炎,病变累及范围尤其是后纵隔病变与本例患者相似。


纵隔纤维化在病理上可分为3期[2],Ⅰ期见水肿样的纤维黏液组织含有众多的梭形细胞、嗜酸性粒细胞、肥大细胞、淋巴细胞、浆细胞和薄壁血管;Ⅱ期可显示杂乱排列的胶原伴有局灶性间质性梭形细胞、淋巴细胞和浆细胞;Ⅲ期为致密的无细胞胶原蛋白,伴散在的淋巴滤泡,偶见营养不良性钙化。根据病理上不同的阶段,炎性细胞活跃程度不同,纵隔纤维化病灶内FDG代谢程度差异较大。当处于炎性反应活动期时,病灶内浸润较多的炎性反应细胞,葡萄糖利用增多,导致FDG代谢增高;而处于炎性反应非活动期时,病灶内纤维组织增加,代谢程度较低;由于病灶内可以同时出现处于不同炎性反应时期的病变,所以PET可表现为均匀或不均匀摄取增高或不高的表现。本例患者FDG代谢最高区域为双侧肺动脉主干,也是阻塞最严重的部位,这可能与该部位处于病变活动期有关。
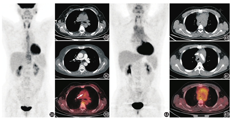
除纵隔纤维化外,血液系统来源病变也容易累及中纵隔,并且有时也可能呈弥漫浸润性生长,受累组织可出现明显狭窄,甚至闭塞[3],但不形成明显的、边界清晰的肿块。如图4所示1例粒细胞肉瘤患者,表现为中后纵隔代谢增高的软组织密度影,病变包绕了主动脉弓和气管,致气管明显狭窄。与本例表现不同的是,这例粒细胞肉瘤患者的前纵隔胸腺区受累明显,而后纵隔脊柱两侧未见病变,提示可能为血液系统来源病变;另外病变对周围组织的浸润、压迫也更明显。除以上鉴别诊断外,患者有肺动脉狭窄、纵隔大血管周围包绕的软组织影,还要考虑到大动脉炎的可能,不过本例有脊柱两侧的病变,并不只是局限于大血管壁的病变,可暂时予以排除。
由于患者曾2次行纵隔软组织肿物穿刺活组织检查均无明确恶性肿瘤证据,患者出院后服用利尿剂等对症治疗并定期随访,2年后随访病情未见进展,临床上也支持纵隔纤维化的诊断。影像诊断虽然并不算是诊断的金标准,但仔细归纳总结影像学表现,寻求更多的诊断依据,有时对临床诊断能起到决定性的作用。
所有作者均声明不存在利益冲突





















