
探讨自噬相关基因在博来霉素诱导的小鼠皮肤纤维化中的表达及作用。
(1)取72只6周龄雄性BALB/c小鼠,采用随机数字表法分为空白对照组、单纯磷酸盐缓冲液(PBS)组和博来霉素组,每组24只。空白对照组小鼠不予任何处理;单纯PBS组和博来霉素组小鼠背部皮肤分别皮下注射100 μL PBS、博来霉素(1 mg/mL),每天1次,连续注射28 d。注射7、14、21、28 d,每组分别取6只小鼠,肉眼观察小鼠背部皮肤变化,观察结束后处死小鼠,取背部皮肤组织。取注射28 d皮肤组织,行常规苏木精-伊红染色,测量皮肤组织厚度;Masson染色行皮肤组织形态学观察。取注射7、14、21、28 d皮肤组织,酶联免疫吸附测定法检测羟脯氨酸含量,实时荧光定量反转录PCR法和蛋白质印迹法分别检测p62、微管相关蛋白1轻链3 Ⅱ(LC3 Ⅱ)和Beclin-1的mRNA和蛋白表达。(2)取实验(1)中空白对照组小鼠皮肤组织,收集第3~6代成纤维细胞(Fb),采用随机数字表法分为空白对照组、单纯PBS组、博来霉素组,每组6孔。空白对照组细胞不予任何刺激,单纯PBS组、博来霉素组细胞分别加入20 μL PBS、博来霉素(1 mg/mL)刺激72 h,细胞免疫荧光染色观察LC3 Ⅱ的表达。对数据行析因设计方差分析、单因素方差分析、t检验及Bonferroni校正。
(1)空白对照组和单纯PBS组小鼠注射7、14、21、28 d背部皮肤菲薄、红润、静脉血管清晰,单纯PBS组从注射14 d起穿刺部位可见数个隆起的皮丘。博来霉素组小鼠注射7 d皮肤红润,穿刺点处可见数个隆起的皮丘;注射14 d,皮肤轻微变白;注射21 d,皮肤明显变白,周围血管不清晰;注射28 d,皮肤变白,周围血管无法辨认。(2)注射28 d,空白对照组与单纯PBS组小鼠皮肤组织厚度相近(t=0.79,P>0.05),博来霉素组小鼠皮肤组织厚度较空白对照组和单纯PBS组明显增加(t=0.50、0.50,P<0.01)。(3)注射28 d,空白对照组与单纯PBS组小鼠皮肤组织结构相似,均可见少量胶原,胶原排列整齐有序,毛囊分布均匀;博来霉素组小鼠皮肤胶原数目显著增多,但排列杂乱无序,毛囊数明显减少。(4)注射7、14、21、28 d,博来霉素组小鼠皮肤组织中羟脯氨酸含量明显高于空白对照组、单纯PBS组(t=0.99、0.98、0.50、0.51,0.50、0.50、0.52、0.51,P<0.05或P<0.01)。(5)注射7 d,博来霉素组小鼠皮肤组织p62的mRNA表达明显低于单纯PBS组(t=0.93,P<0.05)。注射14、21 d,博来霉素组小鼠皮肤组织p62、LC3 Ⅱ、Beclin-1的mRNA表达明显高于空白对照组(t=0.74、0.70、0.58,0.49、0.51、0.74,P<0.05)和单纯PBS组(t=0.94、0.65、0.65,0.77、0.49、0.51,P<0.05)。注射28 d,博来霉素组小鼠皮肤组织p62、Beclin-1的mRNA表达明显低于空白对照组(t=0.50、0.44,P<0.05)和单纯PBS组(t=0.97、0.55,P<0.05),而LC3 Ⅱ的mRNA表达仍显著高于空白对照组和单纯PBS组(t=0.51、0.98,P<0.01)。(6)注射7、14、21、28 d,空白对照组、单纯PBS组、博来霉素组小鼠皮肤组织LC3 Ⅱ的蛋白表达为0.167±0.042、0.122±0.016、0.553±0.078、0.118±0.035,0.120±0.023、0.117±0.061、0.581±0.039、0.159±0.065,0.233±0.027、0.304±0.031、1.020±0.010、0.089±0.045。注射14 d,博来霉素组小鼠皮肤组织p62和Beclin-1的蛋白表达明显高于空白对照组(t=0.86、0.89,P<0.05)和单纯PBS组(t=0.42、0.89, P<0.05)。注射21 d,博来霉素组小鼠皮肤组织p62、LC3 Ⅱ和Beclin-1的蛋白表达明显高于空白对照组和单纯PBS组(t=0.82、0.45、0.50,0.79、0.51、0.50,P<0.01)。注射28 d,博来霉素组小鼠皮肤组织p62、LC3 Ⅱ和Beclin-1的蛋白表达明显低于空白对照组和单纯PBS组(t=0.77、0.54、0.52,0.50、0.51、0.50,P<0.05)。(7)培养72 h,博来霉素组Fb中LC3 Ⅱ的表达明显低于空白对照组、单纯PBS组。
博来霉素刺激皮肤纤维化过程中,自噬相关基因先升高后降低,自噬过程被激活,有望逆转皮肤纤维化进程。
版权归中华医学会所有。
未经授权,不得转载、摘编本刊文章,不得使用本刊的版式设计。
除非特别声明,本刊刊出的所有文章不代表中华医学会和本刊编委会的观点。
增生性瘢痕是由伤口愈合过程中真皮Fb的过度增殖,导致皮肤纤维化增加[1],促进胶原蛋白的过度生长和ECM成分的过度沉积所致[2,3],因此增生性瘢痕是一种严重的皮肤纤维化疾病[4,5]。然而,目前尚无有关增生性瘢痕治疗的"金标准"。研究表明,自噬失调涉及多种疾病,包括癌症、神经退行性疾病、病原体感染、代谢性疾病[6]以及脏器组织的纤维化疾病[7]。而有关自噬在纤维化疾病中的具体作用机制,目前仍存在争议。因此,本实验拟通过博来霉素刺激小鼠背部皮肤建立纤维化模型,检测自噬基因在皮肤纤维化模型中的表达,探讨皮肤纤维化机制,为增生性瘢痕的治疗提供理论基础。
本实验遵循空军军医大学动物实验伦理委员会和国家有关动物实验管理和使用的规定。
74只健康清洁级雄性6周龄BALB/c小鼠购自空军军医大学动物中心,体质量18~22 g,许可证号:SYXK(陕)2014-001。博来霉素购自美国Selleck生物科技有限公司,Masson染色试剂盒购自上海懋康生物科技有限公司,羟脯氨酸检测试剂盒购自南京建成生物工程研究所,反转录试剂盒、荧光染料试剂盒均购自日本Takara公司,十二烷基硫酸钠-聚丙烯酰胺凝胶试剂盒购自武汉博士德生物工程有限公司,兔源性Beclin-1、p62和微管相关蛋白1轻链3Ⅱ(LC3 Ⅱ)单克隆抗体均购自美国Cell Signaling Tech-nology公司,兔源性β微管蛋白、GAPDH多克隆抗体和辣根过氧化物酶标记的山羊抗兔IgG多克隆抗体及异硫氰酸荧光素(FITC)标记的山羊抗兔IgG多克隆抗体均购自武汉三鹰技术有限公司,4′,6-二脒基-2-苯基吲哚(DAPI)和抗荧光淬灭封片剂均购自上海碧云天生物技术有限公司。50D型佳能相机购自日本佳能公司,DU800型分光光度计购自德国贝克曼库尔特商贸有限公司,Mini型蛋白电泳系统、电转印系统购自美国Bio-Rad公司,M200型全波段酶标仪购自瑞士Tecan公司,FSX100型智能生物导航仪和CX2型光学显微镜购自日本Olympus公司,二氧化碳培养箱购自美国Thermo Fisher Scientific公司,生物安全柜购自美国Baker公司,AlphaImager HP型凝胶成像仪购自美国Alpha Innotech公司。
取72只小鼠,采用随机数字表法分为空白对照组、单纯PBS组和博来霉素组,每组24只,剃去所有小鼠背部中央区被毛。空白对照组小鼠不予任何处理;单纯PBS组小鼠背部皮肤皮下注射100 μL PBS,每天1次,连续注射28 d;博来霉素组小鼠参考文献[8],于背部皮肤皮下注射1 mg/mL的博来霉素100 μL,每天1次,连续注射28 d,建立小鼠背部皮肤纤维化模型。
注射2组小鼠于注射7、14、21、28 d进行观察或检测,空白对照组小鼠于前述相应时间点进行观察或检测。
注射7、14、21、28 d,每组取6只小鼠,肉眼观察背部皮肤颜色、周围皮肤血管情况和体力变化及皮肤与皮下组织粘连情况,触摸皮肤质地,并用佳能相机拍照,记录小鼠背部皮肤颜色。
各时间点观察结束后,采用颈椎脱臼法处死每组6只小鼠,用无菌手术刀切取注射部位皮肤组织,分为4份,3份储存于-196 ℃液氮中用于后续实验;1份储存于40 g/L多聚甲醛中,固定组织标本24 h以上。空白对照组小鼠另留取1份注射7 d新鲜皮肤组织用于原代Fb的分离。取3组小鼠注射28 d多聚甲醛中皮肤组织,进行梯度乙醇脱水,二甲苯透明,石蜡包埋,切片(厚约5 μm)。行常规HE染色,于光学显微镜40倍视野下测量皮肤组织厚度。
取1.3.2中3组小鼠注射28 d皮肤组织包埋的石蜡块,制作切片(厚约5 μm),行常规Masson染色,于光学显微镜40倍和100倍视野下观察胶原变化情况,使用智能生物导航仪采集图片。
采用ELISA法检测。取液氮中冻存的3组小鼠注射7、14、21、28 d皮肤组织并称质量,加入9倍质量生理盐水低温匀浆,按照羟脯氨酸ELISA检测试剂盒说明书操作,酶标仪测量波长450 nm处吸光度值,代入标准曲线计算羟脯氨酸含量。
采用实时荧光定量RT-PCR法检测。取液氮中冻存的3组小鼠注射7、14、21、28 d皮肤组织,每个样本约100 mg,按照常规步骤进行裂解、离心、提取总RNA,使用分光光度计测量总RNA浓度。取1 μg总RNA,按照反转录试剂盒说明书合成互补DNA。按照如下反应条件进行荧光定量分析:95 ℃预变性30 s;95 ℃变性5 s,60 ℃退火30 s,72 ℃延伸15 s,共45个循环。引物由北京擎科生物科技有限公司设计并合成(表1)。以GAPDH为内参照,采用Δ循环阈值(Ct)法处理结果,计算p62、Beclin-1、LC3 Ⅱ目的基因的相对表达量,即2-ΔΔCt。

实时荧光定量反转录PCR检测小鼠皮肤组织中自噬相关基因mRNA表达的引物序列及产物大小
实时荧光定量反转录PCR检测小鼠皮肤组织中自噬相关基因mRNA表达的引物序列及产物大小
| 引物名称 | 引物序列(5′→3′) | 产物大小(bp) |
|---|---|---|
| p62 | 上游:TGAAGGCTATTACAGCCAGAGTCAA | 121 |
| 下游:CCTTCAGTGATGGCCTGGT | ||
| Beclin-1 | 上游:GAAACTGGACACGAGCTTCAAGA | 105 |
| 下游:ACCATCCTGGCGAGTTTCAATA | ||
| LC3 Ⅱ | 上游:CATCACAGTTGGCACAAACG | 136 |
| 下游:AGTGAGGACTTTGGGTGTGG | ||
| GAPDH | 上游:GTGTTCCTACCCCCAATGTG | 114 |
| 下游:CATCGAAGGTGGAAGAGTGG |
注:LC3 Ⅱ为微管相关蛋白1轻链3Ⅱ,GAPDH为3-磷酸甘油醛脱氢酶
采用蛋白质印迹法检测。取液氮中冻存的3组小鼠注射7、14、21、28 d皮肤组织,每个样本约100 mg,按照常规步骤进行裂解,提取总蛋白并进行蛋白定量。取50 μg蛋白样品,行十二烷基硫酸钠-聚丙烯酰胺凝胶电泳,电压100 V,湿法转膜,50 g/L脱脂奶粉溶液室温封闭2 h。加入兔源性Beclin-1、p62、LC3 Ⅱ单克隆一抗(稀释比均为1∶1 000),兔源性β微管蛋白、GAPDH多克隆一抗(稀释比均为1∶3 000),4 ℃摇床过夜。加入辣根过氧化物酶标记的山羊抗兔IgG多克隆二抗(稀释比为1∶3 000),37 ℃摇床孵育1 h。使用Image J 1.8.0软件(美国国立卫生研究院)统计各个条带灰度值,以GAPDH为内参照,计算p62、Beclin-1的相对蛋白表达量;以β微管蛋白为内参照,计算LC3 Ⅱ的相对蛋白表达量。
原代Fb分离。取1.3.2中空白对照组小鼠注射7 d皮肤组织,无菌PBS清洗3遍。用无菌剪刀剪成小于1 mm3的组织块,加入适量完全培养基(含体积分数10%胎牛血清、10 g/L青霉素、10 g/L链霉素的DMEM培养基),接种至培养瓶(底面积为75 cm2)中,倒置于37 ℃、体积分数5%二氧化碳培养箱中孵育12 h后,加入完全培养基没过组织块即可。待Fb爬出,生长融合至80%~90%时,用胰蛋白酶消化,传代培养。
Fb培养和传代。将收集的Fb以1×104个/mL密度接种至含10 mL完全培养基的培养瓶(底面积为75 cm2)中,于37 ℃、体积分数5%二氧化碳培养箱中培养3~5 d,隔天换液。待细胞生长至80%~90%融合时,加入2.5 g/L胰蛋白酶4 mL消化。待细胞从培养瓶底脱落时,加入与胰蛋白酶等体积的完全培养基,移液管移至10 mL离心管中,200×g离心5 min,弃去上清液,加入完全培养基重新悬浮,按1∶3传代比例进行传代,取第3~6代Fb用于实验。
将Fb以1×104个/mL密度接种至12孔板玻片上(每孔1 mL),贴壁后饥饿12 h,采用随机数字表法将细胞分为空白对照组、单纯PBS组、博来霉素组,每组6孔。空白对照组细胞不予任何刺激,单纯PBS组细胞培养液中加入PBS 20 μL刺激72 h,博来霉素组细胞培养液中加入1 mg/mL的博来霉素20 μL刺激72 h。PBS洗2次,40 g/L多聚甲醛室温固定15 min。PBS洗2次,玻片上滴加500 μL山羊血清,室温封闭1 h。弃去山羊血清,加入兔源性LC3 Ⅱ单克隆一抗(稀释比为1∶200)50 μL,放入湿盒中,4 ℃孵育过夜。PBS洗片3次,加入FITC标记的山羊抗兔IgG多克隆二抗(稀释比为1∶500),室温避光孵育1 h,PBS洗3次。滴加DAPI 50 μL,复染细胞核5 min,PBS洗3次。用抗荧光淬灭封片剂封片,于智能生物导航仪40倍视野下观察细胞LC3 Ⅱ的表达(绿色荧光)。
使用Excel、GraphPad Prim 8、SPSS 19.0软件进行数据统计分析。计量资料数据均符合正态分布,以
±s表示,组间总体比较行析因设计方差分析、单因素方差分析,组间两两比较行t检验并进行Bonferroni校正。P<0.05为差异有统计学意义。
注射7、14、21、28 d,空白对照组、单纯PBS组小鼠均正常存活。博来霉素组小鼠注射17、22 d各病死1只,用2只备用鼠补齐。空白对照组小鼠注射7、14、21、28 d小鼠背部皮肤菲薄,颜色红润,背部静脉血管清晰可见,质地柔软,与皮肤组织无粘连,小鼠反应灵敏、精力旺盛。单纯PBS组小鼠注射7 d皮肤红润;注射14 d,背部皮肤穿刺点处可见数个隆起的皮丘,周围皮肤外观与空白对照组相似;注射21、28 d,穿刺部位皮丘增多且变硬,周围皮肤颜色红润,血管清晰可见,小鼠精力旺盛、反应灵敏。博来霉素组小鼠注射7 d皮肤颜色红润,而穿刺部位出现皮丘;注射14 d,皮肤颜色轻微变白,质地无明显变化;注射21 d,皮肤明显变白,周围血管不清晰,质地变韧,与皮下组织粘连严重,且小鼠反应变迟钝,体力下降;注射28 d,皮肤变白、变硬,周围血管无法辨认,皮肤与皮下组织粘连严重,质硬、弹性变差,小鼠体力显著下降。见图1。


注:注射2组小鼠于注射7、14、21、28 d进行观察,空白对照组小鼠于前述相应时间点进行观察
注射28 d,空白对照组与单纯PBS组小鼠皮肤组织厚度相近(t=0.79,P>0.05);博来霉素组小鼠皮肤厚度是空白对照组的1.31倍,明显厚于空白对照组(t=0.50,P<0.01);博来霉素组小鼠皮肤厚度是单纯PBS组的1.28倍,明显厚于单纯PBS组(t=0.50,P<0.01)。见图2。

±s)
注:注射2组小鼠于注射7、14、21、28 d进行检测,空白对照组小鼠于前述相应时间点进行检测;1.空白对照组,2.单纯磷酸盐缓冲液(PBS)组,3.博来霉素组;与空白对照组比较,aP<0.01;与单纯PBS组比较,bP<0.01
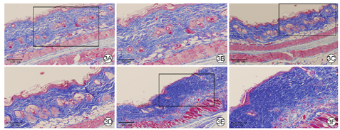
±s)注射28 d,空白对照组与单纯PBS组小鼠皮肤组织结构相似,均可见少量胶原,胶原排列整齐有序,毛囊分布均匀;博来霉素组小鼠皮肤胶原显著增多,但排列杂乱无序,毛囊明显减少。见图3。


注:注射2组小鼠于注射28 d进行观察,空白对照组小鼠于前述时间点进行观察
注射7、14、21、28 d,空白对照组与单纯PBS组小鼠皮肤组织中的羟脯氨酸含量比较,差异无统计学意义(P>0.05)。注射7、14、21、28 d,博来霉素组小鼠皮肤组织中的羟脯氨酸含量明显高于空白对照组和单纯PBS组(P<0.05或P<0.01)。见表2。

3组小鼠注射各时间点皮肤组织羟脯氨酸含量比较(μg/mg,
±s)
3组小鼠注射各时间点皮肤组织羟脯氨酸含量比较(μg/mg,
±s)
| 组别 | 鼠数(只) | 7 d | 14 d | 21 d | 28 d |
|---|---|---|---|---|---|
| 空白对照组 | 24 | 273±21 | 269±21 | 254±15 | 303±5 |
| 单纯PBS组 | 24 | 254±19 | 272±15 | 275±19 | 256±27 |
| 博来霉素组 | 24 | 312±9 | 420±10 | 585±7 | 585±21 |
| F值 | 38.29 | 75.22 | 176.16 | 188.52 | |
| P值 | >0.05 | <0.05 | <0.01 | <0.01 | |
| t1值 | 0.89 | 0.51 | 0.53 | 0.79 | |
| P1值 | 0.15 | 0.75 | 0.09 | 0.93 | |
| t2值 | 0.99 | 0.98 | 0.50 | 0.51 | |
| P2值 | 0.02 | 0.01 | <0.01 | <0.01 | |
| t3值 | 0.50 | 0.50 | 0.52 | 0.51 | |
| P3值 | 0.01 | 0.01 | <0.01 | <0.01 |
注:各组各时间点样本数均为6;注射2组小鼠于注射7、14、21、28 d行检测,空白对照组小鼠于前述相应时间点行检测;处理因素主效应,F=59.52,P<0.05;时间因素主效应,F=11.31,P<0.05;两者交互作用,F=28.75,P<0.05;F值、P值为组间总体比较所得,t1值、P1值,t2值、P2值分别为单纯磷酸盐缓冲液(PBS)组、博来霉素组与空白对照组比较所得;t3值、P3值为博来霉素组与单纯PBS组比较所得
注射7、14、21、28 d,空白对照组小鼠皮肤组织p62、LC3 Ⅱ和Beclin-1的mRNA表达与单纯PBS组相近(t=0.71、0.49、1.36,0.53、0.50、0.99,1.22、1.20、1.41,0.32、0.97、0.99,P>0.05)。注射7 d,博来霉素组小鼠皮肤组织p62的mRNA表达明显低于单纯PBS组(t=0.93,P<0.05),LC3 Ⅱ和Beclin-1的mRNA表达与单纯PBS组相近(t=2.57、1.66,P>0.05);博来霉素组小鼠皮肤组织p62、LC3 Ⅱ和Beclin-1的mRNA表达与空白对照组相近(t=0.82、1.95、2.93,P>0.05)。注射14、21 d,博来霉素组小鼠皮肤组织p62、LC3 Ⅱ、Beclin-1的mRNA表达明显高于空白对照组(t=0.74、0.70、0.58,0.49、0.51、0.74,P<0.05)和单纯PBS组(t=0.94、0.65、0.65,0.77、0.49、0.51,P<0.05)。注射28 d,博来霉素组小鼠皮肤组织p62、Beclin-1的mRNA表达明显低于空白对照组(t=0.50、0.44,P<0.05)和单纯PBS组(t=0.97、0.55,P<0.05),而LC3 Ⅱ的mRNA表达仍显著高于空白对照组和单纯PBS组(t=0.51、0.98,P<0.05)。见图4。

±s)。4A.p62;4B.LC3 Ⅱ;4C.Beclin-1
注:注射2组小鼠于注射7、14、21、28 d进行检测,空白对照组小鼠于前述相应时间点进行检测;p62处理因素主效应,F=0.73,P<0.05;时间因素主效应,F=0.63,P<0.05;两者交互作用,F=0.34,P<0.05;微管相关蛋白1轻链3Ⅱ(LC3 Ⅱ)处理因素主效应,F=0.65,P<0.05;时间因素主效应,F=0.33,P<0.05;两者交互作用,F=0.25,P<0.05;Beclin-1处理因素主效应,F=0.31,P<0.05;时间因素主效应,F=0.12,P<0.05;两者交互作用,F=0.21,P<0.05;与空白对照组比较,aP<0.05;与单纯磷酸盐缓冲液(PBS)组比较,bP<0.05
±s)。4A.p62;4B.LC3 Ⅱ;4C.Beclin-1注射7、14、21、28 d,空白对照组小鼠皮肤组织p62、LC3 Ⅱ和Beclin-1蛋白表达与单纯PBS组相近(t=2.46、0.44、0.50,0.53、0.42、0.88,0.71、0.90、0.71,2.42、2.35、2.89,P>0.05)。注射7 d,博来霉素组小鼠皮肤组织p62、LC3 Ⅱ和Beclin-1的蛋白表达与空白对照组和单纯PBS组相近(t=0.55、0.51、0.89,0.55、0.42、0.99,P>0.05)。注射14 d,博来霉素组小鼠皮肤组织p62和Beclin-1的蛋白表达明显高于空白对照组(t=0.86、0.89,P<0.05)和单纯PBS组(t=0.42、0.89,P<0.05),LC3 Ⅱ的蛋白表达与空白对照组和单纯PBS组相近(t=3.37、1.20,P>0.05)。注射21 d,博来霉素组小鼠皮肤组织p62、LC3 Ⅱ和Beclin-1的蛋白表达明显高于空白对照组和单纯PBS组(t=0.82、0.45、0.50,0.79、0.51、0.50,P<0.01)。注射28 d,博来霉素组小鼠皮肤组织p62、LC3 Ⅱ和Beclin-1的蛋白表达明显低于空白对照组和单纯PBS组(t=0.77、0.54、0.52,0.50、0.51、0.50,P<0.05)。见图5,图6,图7,图8,图9,图10。


注:注射2组小鼠于注射7、14、21、28 d进行检测,空白对照组小鼠于前述相应时间点进行检测;GAPDH为3-磷酸甘油醛脱氢酶;1、2、3.分别为空白对照组、单纯磷酸盐缓冲液组、博来霉素组

±s)。6A、6B、6C、6D.分别为注射7、14、21、28 d
注:1、2、3.分别为空白对照组、单纯磷酸盐缓冲液(PBS)组、博来霉素组;p62处理因素主效应,F=43.13,P<0.01;时间因素主效应,F=2.94,P<0.05;两者交互作用,F=23.04,P<0.01;与空白对照组比较,aP<0.05,cP<0.01;与单纯PBS组比较,bP<0.05,dP<0.01
±s)。6A、6B、6C、6D.分别为注射7、14、21、28 d

注:注射2组小鼠于注射7、14、21、28 d进行检测,空白对照组小鼠于前述相应时间点进行检测;LC3 Ⅱ为微管相关蛋白1轻链3Ⅱ;1、2、3.分别为空白对照组、单纯磷酸盐缓冲液组、博来霉素组

±s)。8A、8B、8C、8D.分别为注射7、14、21、28 d
注:注射2组小鼠于注射7、14、21、28 d进行检测,空白对照组小鼠于前述相应时间点进行检测;1、2、3.分别为空白对照组、单纯磷酸盐缓冲液(PBS)组、博来霉素组;微管相关蛋白1轻链3Ⅱ(LC3 Ⅱ)处理因素主效应,F=56.46,P<0.05;时间因素主效应,F=21.26,P<0.05;两者交互作用,F=38.862,P<0.05;与空白对照组比较,aP<0.01,cP<0.05;与单纯PBS组比较,bP<0.01,dP<0.05
±s)。8A、8B、8C、8D.分别为注射7、14、21、28 d

注:注射2组小鼠于注射7、14、21、28 d进行检测,空白对照组小鼠于前述相应时间点进行检测;GAPDH为3-磷酸甘油醛脱氢酶;1、2、3.分别为空白对照组、单纯磷酸盐缓冲液组、博来霉素组

±s)。10A、10B、10C、10D.分别为注射7、14、21、28 d
注:注射2组小鼠于注射7、14、21、28 d进行检测,空白对照组小鼠于前述相应时间点进行检测;1、2、3.分别为空白对照组、单纯磷酸盐缓冲液(PBS)组、博来霉素组;Beclin-1处理因素主效应,F=49.47,P<0.05;时间因素主效应,F=8.89,P<0.05;两者交互作用,F=29.18,P<0.05;与空白对照组比较,aP<0.05,cP<0.01;与单纯PBS组比较,bP<0.05,dP<0.01
±s)。10A、10B、10C、10D.分别为注射7、14、21、28 d培养72 h,空白对照组和单纯PBS组Fb中LC3 Ⅱ表达相近,博来霉素组Fb中LC3 Ⅱ的表达明显低于空白对照组、单纯PBS组。见图11。


烧伤后约70%的患者会发生增生性瘢痕,并且伴有广泛的瘢痕挛缩、瘙痒和疼痛,给患者带来巨大的心理和经济负担[9,10]。其主要病理学改变是大量Fb的激活[11],当创面愈合后活化的Fb持续存在时,则会导致纤维化加重,促进增生性瘢痕形成[12,13]。因此,研究Fb导致的皮肤纤维化机制可能有利于增生性瘢痕的治疗[14,15]。
自噬是一种溶酶体降解途径,能够清除体内功能失调的细胞内成分,使细胞成分有序降解和再循环,对细胞和器官的适应性至关重要[16,17]。自噬的发生受30多种自噬相关基因调控[18],其中,Beclin-1、LC3和p62是自噬过程中最常用的标志物[19]。Beclin-1是第1个被发现的哺乳动物自噬蛋白[20],其表达水平在一定程度上代表了自噬活性,被广泛用作监测自噬触发的标志物[21]。LC3是酵母Atg8的哺乳动物同源物,具有2个亚型——LC3Ⅰ和LC3 Ⅱ,后者是LC3的脂质形式[22,23]。LC3Ⅰ向LC3 Ⅱ的转化是自噬小体形成的关键步骤[24]。p62是LC3的选择性底物之一,当发生自噬时,p62首先与泛素化蛋白结合,然后与位于自噬泡内膜上的LC3 Ⅱ结合形成复合物,最后在自噬溶酶体中降解[25]。近年来,关于自噬与脏器纤维化的研究日益增多[26],但仍缺乏有关自噬在皮肤纤维化中作用的研究。
本研究显示,注射博来霉素7~14 d,博来霉素组小鼠皮肤颜色逐渐由粉红色变白;注射21 d时皮肤质地明显变硬,且小鼠体力显著降低;注射28 d时小鼠皮肤呈近乎瓷白色,导致肉眼无法辨认周围血管。皮肤外观形态学改变与皮肤组织中羟脯氨酸含量变化情况基本一致,因羟脯氨酸是胶原的主要成分之一,故可以间接反映皮肤组织中胶原含量。与空白对照组、单纯PBS组相比,博来霉素组小鼠皮肤组织中羟脯氨酸含量自注射7 d起显著增加,注射21、28 d其含量均持续增加,提示皮肤纤维化程度不断加重。同时,病理学检查结果提示,与同期其他2组相比,注射28 d博来霉素组小鼠皮肤组织中胶原纤维显著增加,且胶原变得粗大、排列紊乱,证实了博来霉素诱导小鼠皮肤纤维化模型构建成功。
本研究继续检测注射7、14、21、28 d时Beclin-1、LC3 Ⅱ和p62的mRNA和蛋白表达水平。与空白对照组、单纯PBS组相比,博来霉素组3个基因mRNA、蛋白表达量均呈先升高后降低的趋势,其中表达量开始升高的时间不是完全一致。关于百草枯致肺纤维化的研究表明,巨噬细胞自噬受损可能会促进炎性细胞因子[27],如TGF、连接组织生长因子和纤连蛋白的分泌[28,29],这些炎性细胞因子通过刺激Fb的增殖、迁移和胶原生成促进肺纤维化[30]。笔者推测,和炎性细胞因子相似,用博来霉素刺激小鼠皮肤后,自噬基因的表达升高,这是机体对外界刺激的一种自我保护机制,可能与内质网应激有关,但当有毒性刺激持续存在或残留时,将导致细胞死亡[31]。注射28 d,博来霉素组小鼠自噬相关基因的mRNA和蛋白表达量显著下降,可能与持续存在的博来霉素刺激导致的巨噬细胞受损有关。Li等[32]在小鼠肾脏纤维化模型中观察到,自噬的发生先于Ⅰ型胶原蛋白的产生,间接反映出在纤维化形成的早期,自噬已经出现。
然而,目前有关自噬在纤维化疾病中的作用机制仍存在争议。自噬在肺纤维化中的作用已成为重要的研究领域[33]。一些研究者观察到,自噬功能受损会加速上皮细胞衰老,进而诱发特发性肺纤维化,同时在体外研究中证明抑制自噬可以促进Fb向肌Fb分化,加重纤维化[34]。Wan等[35]观察到,与LC3相关的自噬可以在啮齿类动物慢性肝损伤期间预防肝脏和全身炎症,同时具有抗纤维化作用。而另有研究者观察到,红景天苷可通过抑制小鼠肝脏中的自噬来减轻肝纤维化[36]。
Ren等[37]也证明,在小鼠梗阻性肾病中,通过抑制雷帕霉素靶蛋白进而激活自噬通路,可以减轻肾脏纤维化。与此相反,一些研究表明,激活的自噬促进了肺纤维化的发展。一项体外研究表明,二氧化硅可激活巨噬细胞中单核细胞趋化蛋白-1诱导蛋白1介导的自噬,而活化的自噬可促进Fb分泌胶原蛋白并诱导纤维化[38]。无独有偶,一项关于矽肺的体外研究也得出激活自噬会加重肺纤维化的结论[39]。自噬可能会因细胞类型和诱导刺激的种类不同,而发挥不同的作用[40],导致出现了看似矛盾的结论。自噬是一个复杂、多环节且动态平衡的过程,单个或少量自噬相关标志物的水平可能无法准确反映自噬状态,因此有关自噬与纤维化疾病的关系仍需进一步深入探讨。
综上所述,在博来霉素诱导的小鼠皮肤纤维化模型中,随着皮肤纤维程度的加重,自噬基因的表达受到显著抑制,激活皮肤纤维化过程中的自噬过程,有望逆转皮肤纤维化进程,为增生性瘢痕的治疗提供新思路。
所有作者均声明不存在利益冲突





















