
研究长时程热性惊厥(PFS)大鼠海马IL-1β表达及神经细胞凋亡情况,为探讨PFS脑损伤机制及寻求有效的防治措施提供理论依据。
将96只14日龄SD大鼠按随机数字法分为3组:正常对照组(NC组)、高热对照组(HC组)及PFS组。采用脂多糖联合低剂量海人藻酸腹腔注射诱导建立PFS模型。HE染色观察大鼠海马神经元显微结构的改变,免疫组织化学法检测IL-1β在海马CA1区神经元细胞中的表达,原位末端标记法检测海马神经细胞凋亡情况,并分析二者之间的关系。
1.PFS组32只大鼠均出现惊厥,惊厥发作时肛温(39.3±0.4) ℃,其他2组大鼠未出现惊厥。2.PFS组在惊厥6 h时间点海马CA1区TUNEL阳性细胞数高于NC组和HC组,差异有统计学意义(P均<0.01),24 h达高峰。3.免疫组织化学检测显示PFS组大鼠在惊厥发作后6 h时间点以后海马IL-1β表达增强,明显高于NC组和HC组(P均<0.01);且海马神经元细胞凋亡程度与IL-1β的表达呈正相关(r=0.789,P<0.01)。
PFS后大鼠海马IL-1β表达明显增加,且与神经细胞的凋亡相关。
版权归中华医学会所有。
未经授权,不得转载、摘编本刊文章,不得使用本刊的版式设计。
除非特别声明,本刊刊出的所有文章不代表中华医学会和本刊编委会的观点。
热性惊厥(FS)是儿童时期最常见的惊厥形式,我国资料显示14岁以下小儿FS发病率为4.4%。FS分为单纯性FS和复杂性FS。长时程FS(PFS)指惊厥持续时间>15 min[1],属于复杂性FS中的一种情况。研究表明短时程FS不会造成脑损伤,但PFS或反复发作FS是否会造成脑损伤还有待进一步研究。目前国内已有文献报道反复发作FS可造成脑损伤[2,3]。一项回顾性分析表明癫
特别是颞叶癫
的患者,部分有PFS的病史[4]。PFS诱导脑损伤的机制尚不明确,近年研究表明免疫系统参与这一复杂的病理过程,细胞因子网络被激活可能是PFS的发病机制之一,其中IL-1是最主要的炎性反应和神经免疫介质[5],但其与惊厥性脑损伤关系如何仍有待探讨。本研究采用脂多糖(LPS)联合低剂量海人藻酸(KA)腹腔注射方法建立大鼠PFS脑损伤模型,免疫组织化学法检测大鼠海马IL-1β表达,原位末端标记(TUNEL)法检测海马神经细胞凋亡,探讨IL-1β在大鼠PFS脑损伤中的作用。
清洁级新生SD大鼠4窝,每窝24只,雌雄各半,购自上海吴氏实验动物中心[实验动物许可证号:SCXK(沪)2007-0005]。新生大鼠出生14 d内母乳喂养,自由摄食,与母鼠同笼,每日更换饮水、饮料,保持大鼠生活环境通风及清洁卫生。出生第14天,按随机数字法分为正常对照组(NC组,n=32只)、高热对照组(HC组,n=32只)和PFS组(n=32只)。PFS组的入选标准:SD大鼠注射药物诱发FS,且惊厥持续时间>15 min。
原位凋亡细胞试剂盒为美国Roche公司产品;LPS、KA购自美国Sigma公司;直径0.127 mm温度探针(temperature probe Omega450,AET),灵敏度为0.01 ℃;Olympus显微镜CX21FSl(日本Olympus公司);兔抗大鼠IL-1β一抗购自美国SantaCruz公司;超敏辣根过氧化物酶(™HRP)聚合物检测系统为美国BioGenex公司产品。
PFS组大鼠测定基础体温后,给予LPS腹腔注射,剂量为200 μg/kg,随后采用直径0.127 mm温度探针每10 min测定大鼠1次肛温并记录,LPS注射2 h后大鼠肛温逐渐上升,达到38.5~40.0 ℃时,再给予腹腔注射KA(1.75 mg/kg)。HC组大鼠给予腹腔注射LPS,2 h后给予等容量的9 g/L盐水腹腔注射。NC组大鼠2次均给予等容量的9 g/L盐水腹腔注射。分别记录各组大鼠发生惊厥潜伏期、惊厥时肛温、惊厥持续时间、级别。实验环境要求安静,保持相对湿度40%~70%,温度为25~30 ℃。大鼠惊厥程度分级参照文献[7]报道,采用盲法,由非实验者进行观察并记录评分。0级:无任何发作迹象;1级:凝视、咀嚼和须动;2级:点头、湿狗样抖动或搔抓;3级:前肢阵挛抽搐;4级:伴后肢站立的全面强直性发作;5级:伴有站立并摔倒的全面强直-阵挛性发作[7]。
各组分别在惊厥发作后或最后1次注射后6 h、12 h、24 h及48 h时间点断头处死8只大鼠,快速剥离留取海马组织送检。采用Hulse建立的乙醚麻醉法[8]麻醉动物,经左心室-主动脉插管,肝素9 g/L盐水冲洗后,予PBS 0.1 mmol/L灌注,断头快速剥离海马,置40 g/L多聚甲醛中4 ℃固定24 h,脱水、石蜡包埋后,用振荡切片机从视交叉处开始作冠状连续切片,片厚5 μm。
留取大鼠海马组织,40 g/L多聚甲醛固定,石蜡包埋,取冠状切面,HE染色,采用双盲法在显微镜下观察海马CA1区神经元结构改变。
采用HRP聚合物检测系统进行免疫组织化学染色,常规二甲苯脱蜡,水化组织切片,抗原修复;过氧化氢(0.5 g/L)阻断剂室温孵育10 min,冲洗3次;室温10 min,滴加1︰50兔抗大鼠IL-1β抗体50 μL,孵育4 h;表面强化室温孵育20 min;滴加辣根过氧化物酶聚合物检测系统(Polymer-HRP),室温孵育至少30 min;以上各步骤之间用PBS充分漂洗,二氨基联苯胺(DAB)显色5~10 min,去离子水冲洗3次;苏木精复染1 min,漂洗,常规脱水,中性树胶封片,显微镜下观察。胞质中出现棕黄色颗粒细胞为IL-1β阳性细胞。每组不同时间点的每只大鼠海马各选3张切片,每张切片在海马CA1区随机观察5个连续的视野(×400),使用Olympus自动图像采集系统,用image-proplusl图像分析软件5.0测定阳性部位的累积积分光密度(IOD)用来代表阳性细胞表达水平。
标记凋亡细胞按检测凋亡细胞试剂盒设计程序进行,主要过程包括石蜡包埋的切片的预处理常规脱蜡脱水;蛋白酶K(20 mg/L溶于Tris/HCl中,pH 7.4~8.0)室温孵育15~30 min;50 μL的TUNEL反应混合溶液湿盒中37 ℃孵育60 min;50 μL转化剂-POD湿盒中37 ℃孵育30 min;50~100 μL DAB底物溶液室温孵育10 min。光镜下分析结果,以细胞核中见棕黄色颗粒者为阳性细胞。每组各选3张切片,每张切片各选阳性细胞最集中的5个高倍视野(×400),计算出每个高倍视野的阳性细胞数,取其平均值。
采用SPSS 13.0统计学软件进行分析,数据采用
±s表示,多组间比较采用单因素方差分析(One-Way ANOVA),均数两两比较采用LSD法,方差不齐者采用Tamhane's检验。两变量相关分析采用直线相关分析。α=0.05为显著性检验标准。
HC组大鼠在注射LPS 2 h后,肛温明显上升,但未发生惊厥。PFS组大鼠32只均发生惊厥,惊厥最早时间为KA注射后20 min,惊厥发作时肛温(39.3±0.4) ℃。惊厥潜伏期(45.06±14.10) min,惊厥持续时间:15~20 min 18只,20~30 min 9只,>30 min 5只。发作时间(20.1±12.8) min,发作分级:1级1只,2级11只,3级10只,4级8只,5级2只。NC组大鼠均未出现惊厥。
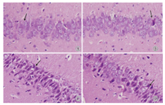
NC组、HC组海马神经元锥体细胞层次紧密,染色均匀,神经元轮廓清晰,胞核大而圆,位于细胞中央,异染色质少,呈淡蓝色,中央有清楚核仁,胞质多有突起;PFS组24 h及48 h幼鼠海马CA1区组织切片上出现不同程度的神经元变性,主要表现为细胞肿胀、核染色质肿胀、粗大,细胞排列紊乱,极向不清,部分细胞空泡变,细胞核大小不一致。结果见图1。


注:A:NC组(箭头示正常细胞);B:HC组(箭头示正常细胞);C:PFS 24 h组(箭头示细胞排列紊乱);D:PFS 48 h组(箭头示细胞空泡样变)
NC组大鼠海马CA1区见极少量TUNEL阳性细胞;HC组大鼠海马CA1区可见少量TUNEL阳性细胞;PFS组于6 h海马CA1区TUNEL阳性细胞数显著增加,24 h达高峰。与NC组和HC组相应时间点相比,PFS组在6 h后各时间点海马CA1区TUNEL阳性细胞数均显著高于NC组及HC组(P均<0.01),NC组与HC组相比,海马CA1区神经元凋亡细胞数差异无统计学意义(P>0.05),结果见表1、图2。

NC组、HC组和PFS组大鼠不同时间点海马CA1区TUNEL阳性细胞数比较(凋亡细胞数/个,
±s)
NC组、HC组和PFS组大鼠不同时间点海马CA1区TUNEL阳性细胞数比较(凋亡细胞数/个,
±s)
| 组别 | 例数 | 6 h | 12 h | 24 h | 48 h |
|---|---|---|---|---|---|
| NC组 | 8 | 5.75±0.83 | 6.12±1.80 | 7.37±3.58 | 6.75±0.70 |
| HC组 | 8 | 5.87±0.83a | 7.50±2.07a | 8.00±3.74a | 7.12±1.35a |
| PFS组 | 8 | 10.05±3.89b | 16.12±6.08b | 27.37±5.06b | 23.12±11.72b |
| F值 | 8.89 | 15.83 | 59.06 | 15.70 | |
| P值 | 0.002 | 0.000 | 0.000 | 0.000 |
注:a与NC组比较,P>0.05;b与NC组、HC组比较,P<0.01


注:A:NC组(箭头示正常细胞);B:HC组(箭头示凋亡细胞);C:PFS 6 h组(箭头示TUNEL阳性细胞);D:PFS 12 h组(箭头示TUNEL阳性细胞);E:PFS 24 h组(箭头示TUNEL阳性细胞);F:PFS 48 h组(箭头示TUNEL阳性细胞)
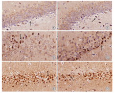
NC组大鼠海马CA1区见少量IL-1β阳性细胞,HC组各时间点大鼠海马CA1区IL-1β阳性细胞与NC组相比有一定增加,PFS组惊厥发作后6 h可见到海马IL-1β阳性细胞明显增多,24 h最为显著,48 h开始减少,与NC组和HC组相应时间点相比,IOD值差异有统计学意义(P<0.01),结果见表2、图3。

NC组、HC组和PFS组大鼠不同时间点海马IL-1β IOD值比较(
±s)
NC组、HC组和PFS组大鼠不同时间点海马IL-1β IOD值比较(
±s)
| 组别 | 例数 | 6 h | 12 h | 24 h | 48 h |
|---|---|---|---|---|---|
| NC组 | 8 | 19.62±7.44 | 24.37±10.05 | 22.36±12.07 | 25.86±10.08 |
| HC组 | 8 | 276.02±131.41a | 351.93±132.83a | 865.31±427.92a | 447.28±160.31a |
| PFS组 | 8 | 1641.67±765.98b | 3166.40±701.32b | 7584.32±2215.06b | 4952.91±1534.10b |
| F值 | 30.20 | 62.23 | 80.97 | 75.24 | |
| P值 | 0.000 | 0.000 | 0.000 | 0.000 |
注:a与NC组比较,P<0.01;b与NC组、HC组比较,P<0.01


注:A:NC组(箭头示正常细胞);B:HC组(箭头示IL-1β阳性细胞);C:PFS 6 h组(箭头示IL-1β阳性细胞);D:PFS 12 h组(箭头示IL-1β阳性细胞);E:PFS 24 h组(箭头示IL-1β阳性细胞);F:PFS 48 h组(箭头示IL-1β阳性细胞)
IL-1β在海马CA1区的表达特点与TUNEL标记的海马细胞凋亡程度相一致,呈正相关关系(r=0.789,P<0.01)。
FS为最常见的惊厥性疾病,也是儿童常见的中枢神经系统急重症,FS复发率为30%~40%,2%~5%的FS患儿日后可能发展成为癫
。PFS属于复杂性FS中的一种情况,PFS是否会导致发育中脑损伤及其与颞叶癫
的关系等是目前研究学者共同关注的热点问题。Reid等[9]一项研究表明PFS可能导致发育中脑损害,特别是引起婴儿神经传导通路改变。Hesdorffer等[10]认为复杂性FS或PFS可能会导致患儿发育延迟或增加颞叶癫
的易感性。Tanabe等[11]研究发现约1.7 %持续0.5 h以上的FS患儿MRI检查有海马损伤。国内已有建立的动物模型主要是利用热水浴或热蒸气法升高大鼠体温来诱导惊厥,然而由于高温和发热有较大不同的生理过程,且热水浴法诱导的惊厥时间短,因此本研究参照国外文献采用LPS联合低剂量KA腹腔注射诱导建立大鼠PFS模型。此模型具有发热、惊厥2个因素,与儿童FS的发病机制更为接近,其表现及显微镜下病理变化反映了临床FS患儿的特征。本研究结果发现100%的大鼠出现惊厥,惊厥时间均>15 min,发作时间为(20.1±12.8) min,惊厥时肛温为(39.3±0.4) ℃,符合PFS模型特征。HE染色结果显示PFS组大鼠海马CA1区神经元出现变性改变,即细胞早期损害的表现,而其他组无明显改变,TUNEL染色结果表明PFS组海马神经元凋亡细胞数于惊厥后6 h明显升高,24 h达高峰,之后缓慢下降,说明PFS可导致海马神经元细胞发生病理损害。
PFS造成脑损伤的机制尚不明确,目前认为免疫系统参与惊厥及惊厥性脑损伤复杂的病理过程,其中IL-1的作用最引起学者的关注。IL-1是参与宿主防御的一种细胞因子,可有力地启动、加强、延长CNS疾病的炎性反应。体内主要以3种形式存在:IL-1α、IL-1β及内源性IL-1受体拮抗剂(IL-1rα),其中IL-1β是主要分泌形式,也是在中枢神经系统中存在的主要形式,海马的分布密度最高,正常情况下表达水平低,在中枢受损伤、感染、EP、脑缺血等时脑内IL-1β显著增加。活性IL-1β作为致炎细胞因子,广泛参与脑组织破坏、水肿形成等多种病理损伤过程[12]。癫
大鼠动物模型研究发现IL-1系统参与多种形式的脑损伤,其中IL-1β可引起神经胶质细胞神经元网络结构和功能的损伤,导致内侧颞叶癫
[13]。另外,研究发现小鼠单侧海马注射3 pmol/L IL-1β可加重惊厥,明显缩短惊厥潜伏期,增加强直-阵挛持续的时间[14]。而IL-1rα是IL-1β的天然拮抗剂,与IL-1受体有高亲和力但无激活作用,通过竞争性与IL-1β受体结合起抑制IL-1β活性的作用,因此IL-1ra对脑损伤具有保护作用[15]。上述研究表明IL-1β在脑损伤的发病机制中起重要作用,但有关IL-1β在PFS方面的研究,目前国内外尚少见报道。本研究结果发现HC组大鼠海马IL-1β表达较NC组升高,说明IL-1β作为炎性介质在高热后亦可少量增加;而PFS组大鼠在6 h后可见到海马IL-1β蛋白表达进一步增多,24 h达高峰后渐下降,说明IL-1β参与PFS发病的病理过程,并且随着IL-1β表达进一步增多,其相应海马凋亡细胞增加,大鼠海马神经元损伤时程与IL-1β产生基本一致。证实PFS后IL-1β分泌增加促进惊厥的发作,并与惊厥脑损伤相关,提示IL-1β作为神经兴奋性损伤的重要介导者,可能在PFS脑损伤过程中发挥重要作用。
综上,本研究表明IL-1β在PFS发生及惊厥性脑损伤过程中发挥着重要的作用,海马神经元细胞凋亡程度与IL-1β的表达呈正相关。本研究对早期寻找FS脑损伤的证据,正确认识PFS与癫
关系及采取有效而安全的防治措施和开发治疗药物提供理论依据。
























