
探讨黄芪在体内对胰岛β细胞的保护作用。
将56只健康雄性昆明小鼠随机分为对照组、糖尿病(DM)对照组及不同剂量黄芪干预组。不同剂量黄芪预处理小鼠,链脲佐菌素(STZ)腹腔注射诱导DM发生,观察DM发生情况;硝酸还原酶法检测各组小鼠血清中一氧化氮(NO)水平;化学比色法检测血清中诱导型一氧化氮合酶(iNOS)活性;ELISA法检测血清胰岛素水平;病理切片观察胰岛炎积分;末端脱氧核苷酰基转移酶介导dUTP切口末端标记法检测胰岛β细胞凋亡。
1.DM对照组小鼠于STZ注射1周后开始发病。黄芪大剂量[30 g/(kg·d)]组于STZ注射2周后开始发病,与DM对照组比较,DM发生延缓,DM发病率显著降低(P<0.01)。黄芪小剂量[15 g/(kg·d)]组于STZ注射1周后开始发病,与DM对照组比较,DM发病率有所降低,但差异无统计学意义(P>0.05)。2.与DM对照组比较,黄芪大剂量组显著降低iNOS活性和NO水平(P均<0.01),同时降低胰岛炎积分和胰岛β细胞凋亡率(P均<0.01)。黄芪小剂量组上述指标均有所降低,但差异无统计学意义(P均>0.05)。
在体内黄芪对胰岛β细胞具有保护作用,与降低iNOS活性、减少NO生成,抑制胰岛β细胞凋亡有关;并可改善机体清除自由基能力,有效预防和延缓DM的发生。
版权归中华医学会所有。
未经授权,不得转载、摘编本刊文章,不得使用本刊的版式设计。
除非特别声明,本刊刊出的所有文章不代表中华医学会和本刊编委会的观点。
1型糖尿病(T1DM)是由T淋巴细胞介导的自身免疫性疾病,以胰岛β细胞选择性破坏为特征。T1DM发生时出现Th1/Th2失衡,Th1型细胞因子分泌增多,进而活化巨噬细胞,产生TNF-α、IL-1β等细胞因子及氧自由基、一氧化氮(NO)等,导致胰岛β细胞损伤,最终导致T1DM的发生[1]。研究表明,自由基在T1DM胰岛β细胞的损伤中发挥重要作用[2],一方面通过直接损伤胰岛β细胞,也可诱导胰岛β细胞凋亡,也可以通过影响胰岛素的合成及分泌而降低胰岛β细胞的功能[3,4]。因此推断,改善机体自由基清除能力可以保护胰岛β细胞,防治T1DM的发生。黄芪是一种良好的高效自由基清除剂[5],本课题组前期研究已经证明黄芪在体外对胰岛β细胞具有保护作用[6],本研究设想应用黄芪改善机体自由基清除能力,观察能否在体内有效保护胰岛β细胞。
4~5周龄(相当于人类学龄期儿童,即6~12岁)健康雄性昆明小鼠(SPF级)56只,体质量18~22 g,购自青岛市药检所,合格证号:SCXK(鲁)20090007,饲养于青岛大学医学院附属医院动物实验中心(SPF级)。
黄芪注射液购自河北省石家庄神威药业有限公司,生产批号:Z13020999,每10 mL含有生药黄芪20 g;链脲佐菌素(STZ)购自美国Sigma公司;NO试剂盒、诱导型一氧化氮合酶(iNOS )法试剂盒购自南京建成生物研究所;胰岛素ELISA检测试剂盒购自美国R&D公司;末端脱氧核苷酰基转移酶介导dUTP切口末端标记(TUNEL)法试剂盒购自美国Promega公司。One Touch Ⅱ血糖仪和试纸购自美国强生公司。
将56只小鼠分为4组,即对照组、糖尿病(DM)对照组、小剂量黄芪+STZ组(黄芪小剂量组)和大剂量黄芪+STZ组(黄芪大剂量组)。所有小鼠适应性饲养1周后,黄芪小剂量组和黄芪大剂量组分别以黄芪生药15、30 g/(kg·d)连续腹腔注射10 d,对照组和DM对照组腹腔注射同体积的9 g/L盐水。之后DM对照组、黄芪小剂量组和黄芪大剂量组小鼠均给予STZ 40 mg/(kg·d)续腹腔注射5 d,诱导T1DM模型,对照组腹腔注射同体积柠檬酸盐缓冲液。观察3周后,摘取眼球取血1 mL,留取血清,置-20 ℃冰箱保存备用。脱颈处死小鼠,打开腹腔,分别分开胃窦与十二指肠之间及胃与脾之间的薄膜,暴露胰腺,分离胰腺组织,40 g/L甲醛固定,常规制作石蜡切片,留作HE染色及细胞凋亡检测。
应用RS232C型紫外分光光度计,NO试剂盒硝酸还原酶法测血清中NO水平;iNOS测定试剂盒化学比色法测血清中iNOS活力;应用DENLEYDRAGON Wellscan MK 3型酶标仪,胰岛素ELISA检测试剂盒检测血清胰岛素水平。所有操作严格按照试剂盒说明进行。
STZ注射后,观察3周,脱颈处死小鼠,留取胰腺组织,制备石蜡切片,HE染色,光镜下观察胰岛炎,由2位实验者盲法阅片,每只小鼠胰腺病理切片观察5个胰岛。胰岛炎采用国内外常用的方法进行分级[9]:0分:胰岛周围及胰岛内无淋巴细胞浸润;1分:胰岛周围有淋巴细胞浸润但未侵入胰岛;2分:胰岛内有淋巴细胞浸润,受累面积<25%;3分:胰岛内有淋巴细胞浸润,受累面积在25%~75%;4分:胰岛内有淋巴细胞浸润,受累面积>75%。
采用TUNEL法检测,操作按照试剂盒说明进行。将胰腺组织切片置于光学显微镜下观察,胰岛细胞核呈棕褐色为阳性凋亡细胞。每张切片选取3个阳性细胞数较多的高倍视野,计算平均每100个胰岛细胞中阳性细胞所占的百分比,即胰岛细胞凋亡率。
应用SPSS 17.0软件进行统计。数据采用
±s表示,样本均数采用单因素方差分析。样本率的比较采用Fisher's确切概率法。胰岛炎积分采用Ridit分析。百分率资料进行非参数秩和检验。P<0.05为差异有统计学意义。
应用STZ后,DM对照组及黄芪小剂量组于STZ注射1周后开始出现DM,而黄芪大剂量组于2周后开始出现DM;3周时,与DM对照组DM发病率(92.85%)比较,黄芪大剂量组(21.43%)明显降低,黄芪小剂量组发病率(71.43%)较DM对照组低,但差异无统计学意义(P>0.05)。黄芪大剂量组DM发病率显著低于黄芪小剂量组(P<0.05)。见图1。


STZ注射3周后,与对照组比较,各组小鼠血糖水平均明显增高(P均<0.05);黄芪大剂量组小鼠血糖水平明显低于DM对照组(P<0.01),黄芪小剂量组小鼠血糖水平也低于DM对照组,但差异无统计学意义(P>0.05);黄芪大剂量组小鼠血糖明显低于黄芪小剂量组(P<0.01),见表1。STZ注射后,对照组及黄芪大剂量组小鼠体质量稳步增长,其余2组体质量增长缓慢;至STZ注射3周后,与对照组比较,黄芪大剂量组小鼠体质量无显著差异(P>0.05),其余2组体质量显著降低(P均<0.01);与DM对照组比较,黄芪大剂量组小鼠体质量显著增高(P<0.01),黄芪小剂量组小鼠体质量虽然也增高,但差异无统计学意义(P>0.05);黄芪大剂量组小鼠体质量显著高于黄芪小剂量组(P<0.05)。见表2。

对照组、DM对照组及黄芪大剂量组、黄芪小剂量组小鼠血糖变化(mmol/L,
±s)
对照组、DM对照组及黄芪大剂量组、黄芪小剂量组小鼠血糖变化(mmol/L,
±s)
| 组别 | 例数 | 注射STZ前血糖 | 注射STZ后血糖 | ||
|---|---|---|---|---|---|
| 1周 | 2周 | 3周 | |||
| 对照组 | 14 | 7.90±1.10 | 8.01±0.96 | 7.71±1.47 | 7.80±0.73 |
| DM对照组 | 14 | 7.84±1.20 | 17.12±7.10a | 25.86±7.70a | 27.73±6.66a |
| 黄芪小剂量组 | 14 | 7.53±1.16 | 11.81±5.00bc | 17.19±8.23ac | 23.58±8.63a |
| 黄芪大剂量组 | 14 | 7.88±1.20 | 9.21±1.73c | 12.54±6.24c | 13.66±8.21bcd |
| F值 | 0.317 | 11.565 | 19.885 | 24.795 | |
| P值 | 0.813 | 0.000 | 0.000 | 0.000 | |
注:与对照组比较,aP<0.01,bP<0.05;与DM对照组比较,cP<0.01;与黄芪小剂量组比较,dP<0.01

对照组、DM对照组及黄芪大剂量组、黄芪小剂量组小鼠体质量变化(g,
±s)
对照组、DM对照组及黄芪大剂量组、黄芪小剂量组小鼠体质量变化(g,
±s)
| 组别 | 例数 | 注射STZ前体质量 | 注射STZ后体质量 | ||
|---|---|---|---|---|---|
| 1周 | 2周 | 3周 | |||
| 对照组 | 14 | 35.41±2.96 | 40.96±2.74 | 43.85±3.30 | 44.91±3.34 |
| DM对照组 | 14 | 34.22±2.27 | 37.69±3.36a | 40.13±3.57a | 40.43±3.76a |
| 黄芪小剂量组 | 14 | 34.56±2.33 | 38.35±2.82b | 40.40±3.25a | 41.16±3.49a |
| 黄芪大剂量组 | 14 | 35.09±2.35 | 40.11±3.09c | 42.92±3.00ce | 43.98±3.08de |
| F值 | 0.640 | 3.551 | 4.413 | 5.572 | |
| P值 | 0.593 | 0.021 | 0.008 | 0.002 | |
注:与对照组比较,aP<0.01,bP<0.05;与DM对照组比较,cP<0.05,dP<0.01;与黄芪小剂量组比较,eP<0.05
与对照组比较,各实验组小鼠血清NO水平及iNOS活力明显增高(P均<0.05),胰岛素水平明显降低(P均<0.05);与DM对照组比较,黄芪大剂量组小鼠血清NO水平及iNOS活力均明显降低(P均<0.01),胰岛素水平明显增高(P<0.01);黄芪小剂量组小鼠血清NO水平及iNOS活力有所降低,胰岛素有所增高,但差异无统计学意义(P均>0.05);黄芪大剂量组小鼠血清NO水平及iNOS活力明显低于黄芪小剂量组(P<0.01),胰岛素水平显著高于黄芪小剂量组(P<0.01)。见表3。

对照组、DM对照组及黄芪大剂量组、黄芪小剂量组小鼠血清iNOS、NO及胰岛素水平比较(
±s)
对照组、DM对照组及黄芪大剂量组、黄芪小剂量组小鼠血清iNOS、NO及胰岛素水平比较(
±s)
| 组别 | 例数 | iNOS(KU/L) | NO(μmol/L) | 胰岛素(pmol/L) |
|---|---|---|---|---|
| 对照组 | 14 | 5.56±1.69 | 43.36±18.25 | 526.56±72.70 |
| DM对照组 | 14 | 10.28±2.13a | 83.82±20.77a | 272.57±77.60a |
| 黄芪小剂量组 | 14 | 9.44±2.29a | 79.27±20.44a | 325.46±119.11a |
| 黄芪大剂量组 | 14 | 7.16±2.01bcd | 58.58±18.38bcd | 432.59±98.68bcd |
| F值 | 15.572 | 13.028 | 20.355 | |
| P值 | 0.000 | 0.000 | 0.000 |
注:与对照组比较,aP<0.01,bP<0.05;与DM对照组比较,cP<0.01;与黄芪小剂量组比较,dP<0.01
胰腺病理学观察结果显示,黄芪预干预可以减轻胰岛炎程度。黄芪大剂量组胰岛炎积分以0、1分为主,黄芪小剂量组以1、2分为主,镜下胰岛数目较多,形态规则。DM对照组以2、3分为主,胰岛及胰岛周围炎症浸润明显,胰岛数量少,形态不规则。分级结果见表4。

对照组、DM对照组及黄芪大剂量组、黄芪小剂量组各等级胰腺炎症程度的胰岛个数
对照组、DM对照组及黄芪大剂量组、黄芪小剂量组各等级胰腺炎症程度的胰岛个数
| 组别 | 例数 | 0分 | 1分 | 2分 | 3分 | 4分 |
|---|---|---|---|---|---|---|
| 对照组 | 14 | 70 | 0 | 0 | 0 | 0 |
| DM对照组 | 14 | 0 | 15 | 30 | 19 | 6 |
| 黄芪小剂量组 | 14 | 4 | 18 | 28 | 16 | 4 |
| 黄芪大剂量组 | 14 | 32 | 23 | 12 | 3 | 0 |
注:H=146.991,P=0.000
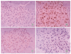
TUNEL染色检测凋亡细胞,显微镜下观察可见:正常胰岛细胞胞核呈蓝色,核大小正常,凋亡胰岛细胞核呈棕褐色(图2),核固缩。与对照组[(5.00±1.83)%]比较,各实验组组胰岛β细胞凋亡率明显增高(P均<0.01);与DM对照组[(32.36±7.23)%]比较,黄芪大剂量组β细胞凋亡率[(13.93±5.20)%]显著降低(P<0.01),黄芪小剂量组β细胞凋亡率[(28.21±6.72)%]虽然也有降低,但差异无统计学意义(P>0.05);黄芪大剂量组胰岛β细胞凋亡率显著低于黄芪小剂量组(P<0.01)。


注:A:对照组;B:DM对照组;C:黄芪小剂量组;D:黄芪大剂量组
研究发现,T1DM早期患者机体免疫功能失调,抗氧化能力下降,而胰岛是对氧化应激敏感的组织,抗氧化酶表达的降低,使其更容易受到自由基的攻击[10],因此,自由基在DM发生、发展过程中起重要作用。
在体内,L-精氨酸在NOS的作用下与氧气反应产生NO。过量的NO作为一种高效自由基,一方面与含铁硫中心的酶反应,使之失活,损伤线粒体及DNA,在胰腺组织局部损伤胰岛β细胞功能;另一方面与超氧化物阴离子自由基反应生成毒性更强的自由基,诱导胰岛β细胞凋亡[11,12]。黄芪具有抗氧化、清除自由基的功能。研究报道,黄芪对DM大鼠胰岛β细胞具有保护作用。本研究参考这些研究[13,14,15],选择了15 g/kg作为小剂量,结合前期体外研究结果,与含有100 g/L黄芪培养液相比,200 g/L黄芪培养液预处理的胰岛β细胞显现出更好的自由基清除能力和胰岛β细胞保护作用[6],因此,本研究大胆选用黄芪30 g/kg作为大剂量,观察大剂量是否与小剂量在体内对胰岛β细胞具有相同或更好保护作用。结果显示30 g/kg黄芪对胰岛β细胞具有显著保护作用,而15 g/kg黄芪没有明显保护作用。
前期细胞水平研究已经证实,黄芪干预可以显著降低自由基NO的产生[6]。本研究也检测小鼠血清NO水平,同时检测iNOS活性,结果显示大剂量黄芪干预组iNOS活性较DM对照组显著降低,同时NO生成量也明显减少(P<0.01),胰岛炎程度减轻;与DM对照组比较,DM发病延缓,于STZ诱导2周时开始出现DM,并且DM发病率明显降低,即使发病的DM小鼠,血糖水平也较DM对照组明显降低。本研究再次证明NO与T1DM密切相关。同时提示,改善机体自由基清除能力可以延缓和预防DM的发生。黄芪通过预免疫改善机体自由基清除能力,提高机体的抗自由基功能,抑制体内iNOS活性,减少NO本身及其介导的自由基的产生;另外黄芪可能参与预防免疫,调节细胞因子失衡,纠正抑制性T淋巴细胞缺陷,恢复其功能,间接阻止细胞因子刺激引起iNOS活力增强导致的NO增多,阻断NO介导的自由基产生过程,进一步减少对胰岛β细胞损伤,保护胰岛β细胞结构完整性及功能,防治DM的发生[16,17]。
在T1DM发生和发展过程中,凋亡是胰岛β细胞死亡的主要方式[18,19]。前期细胞水平研究发现,NO可以诱导胰岛β细胞凋亡,降低β细胞存活率,而黄芪干预可以明显降低胰岛β细胞凋亡,显著提高β细胞存活率[6]。本研究检测胰岛β细胞凋亡,结果显示,STZ诱导的T1DM小鼠胰岛β细胞凋亡率增加。黄芪预干预后,血清中NO明显降低的同时,小鼠胰岛β细胞凋亡率明显下降,进一步证实NO参与胰岛β细胞凋亡过程,自由基与胰岛β细胞凋亡密切相关。黄芪通过提高机体自由基清除能力,可以显著降低胰岛β细胞凋亡,保护胰岛β细胞功能。
综上,黄芪在体内同样具有保护胰岛β细胞的作用。在国内,本研究首次发现应用黄芪预免疫可改善机体自由基清除能力,降低iNOS活性,阻断NO及其介导的自由基产生,减少胰岛β细胞凋亡,有效保护胰岛β细胞结构完整性及功能,进而延缓和防治T1DM的发生。同时应用30 g/kg剂量的黄芪,获得上述研究结果,实验中未发现此大剂量黄芪对胰岛β细胞的损害,再次证明黄芪的安全性。作为中国的传统中医药,黄芪因其天然性,制备方便等优点,有望成为T1DM的干预药物,临床更加关注的黄芪对DM的治疗作用正在进一步研究中。
























