
版权归中华医学会所有。
未经授权,不得转载、摘编本刊文章,不得使用本刊的版式设计。
除非特别声明,本刊刊出的所有文章不代表中华医学会和本刊编委会的观点。
急性间质性肺炎(AIP)是儿童特发性间质性肺疾病中的罕见类型,以起病快、进展迅速为特点,预后极差[1]。目前有关AIP的确切病因及发病机制尚不清楚。儿童AIP临床上相当罕见,尤其是婴儿,易漏诊或误诊。为进一步提高对婴儿AIP的认识和诊断水平,现将广东省人民医院PICU 2012年2月收治的1例婴儿AIP病例结合文献进行报道。
患儿,男,2个月,因反复咳嗽、气促1个月于2012年2月入住广东省人民医院PICU。患儿为第2胎第2产,孕40周顺产出生,出生体质量3.1 kg;母亲在孕早期患上呼吸道感染,未服药治疗;既往体健,无湿疹史及过敏史;否认哮喘及变应性疾病、风湿性疾病家族史;按时预防接种,无结核接触史。
1个月前无明显诱因出现咳嗽,症状进行性加重,咳嗽剧烈,呈连续性和刺激性干咳,伴唇周发绀、脸色苍白,曾在外院住院治疗,诊断:支气管肺炎。先后使用青霉素、红霉素、头孢孟多等抗感染药物及氨溴索、布地奈德雾化吸入等治疗,症状无好转,频繁出现阵发性连声咳嗽,难以缓解,咳嗽剧烈常导致呕奶、发绀,遂转入广东省人民医院。入院查体:体温37.8 ℃,呼吸64次/min,心率196次/min,血压11.07/6.40 kPa,体质量4.6 kg。神志清楚,精神疲倦,颜面及上胸部散在针尖样出血点,鼻翼煽动,轻度三凹征,口周轻度发绀,皮肤无黄染、瘀斑,全身浅表淋巴结不大,胸廓无畸形,双肺呼吸音粗,未闻及细湿啰音及哮鸣音,心律齐,心音有力,未闻及病理性心脏杂音。
血常规和尿、便常规及肝肾功能未见异常;CRP 1.3 mg/L, ESR 7 mm/(1 h),降钙素原150 μg/L,1,3-β-D试验检测10 μg/L。
入院时动脉血pH 7.41,动脉氧分压[pa(O2)]6.0 kPa,动脉二氧化碳分压[pa(CO2)]4.4 kPa,乳酸2.5 mmol/L。
呼吸道分泌物和外周血细菌、真菌培养阴性;EB病毒抗体,呼吸道合胞病毒、单纯疱疹病毒、巨细胞病毒、风疹病毒、弓形虫抗体,肺炎支原体抗体,结核抗体检测均为阴性。
类风湿因子正常,补体C3、C4及IgG、IgM、IgA均正常,抗磷脂综合征指标阴性;入院时抗双链DNA抗体159.9×103 IU/L,3 d后复查为122.4 ×103 IU/L。
轻度呼吸道黏膜炎症,呼吸道未见畸形;灌洗液未见含铁血黄素细胞。
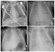
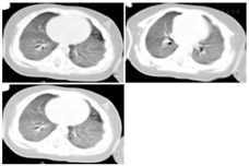
X线胸片提示双肺弥散渗出性病变,见图1。胸部螺旋CT平扫+增强提示双肺对称性斑片状毛玻璃样模糊影,见图2。


注:A:1 d;B:4 d;C:10 d;D:17 d


注:A、B、C为不同冠位
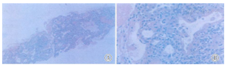
CT引导下行肺活检,肉眼所见:灰白组织,长0.3~0.8 cm,直径0.1 cm。肺组织病理表现为肺泡壁增宽,肺泡上皮增生,立方形,胞质中等,核仁不明显,部分细胞胞质空泡变,肺间质可见炎性细胞浸润,肺泡腔内可见纤维素渗出,未见透明膜、孢子及点状物,无病毒颗粒和病毒包涵体。特殊染色:PAS(-),六胺银(-),抗酸(-),见图3。
入院后予低流量吸氧,经皮氧饱和度(SpaO2)维持在93%~96%,先后经验性使用哌拉西林-他唑巴坦、口服阿奇霉素、头孢吡肟+万古霉素抗感染,静脉滴注氨溴索及布地奈德、可必特雾化等治疗。入院第4天纤维支气管镜检查提示呼吸道黏膜炎症。X线胸片示双肺弥散渗出性病变加重,见图1。入院第10天气促、呼吸困难加重,出现明显呼吸窘迫症状,SpaO2波动在87%~90%,咳嗽时伴口唇发绀,肺部听诊细湿啰音增多,复查床边胸片提示双肺弥散渗出进行性加重,见图1。改用气管插管机械通气,初始参数设置:吸入氧体积分数(FiO2)80%,呼吸道峰压(PIP)2.5 kPa,呼气末正压通气(PEEP)0.6 kPa,压力支持1.5 kPa, SpaO2维持在90%~95%。入院第10天在CT引导下经皮肺穿刺活检术,手术顺利。病理诊断:(肺)间质性炎症病变,见图3。应用甲泼尼龙2 mg/(kg·d)静脉滴注,1次/d,用药3 d后呼吸困难明显缓解,逐渐下调呼吸机FiO2、PIP、PEEP,复查胸片提示肺部渗出逐渐吸收好转,见图3。然后拔除气管插管改为鼻罩呼吸机辅助呼吸,3 d后脱离呼吸机改为鼻导管低流量吸氧,撤机后激素改为甲泼尼龙1 mg/(kg·d),静脉滴注,1次/d,3 d后改为泼尼松1 mg/(kg·d)口服,2次/d,7 d后停吸氧,激素总疗程14 d,住院25 d出院。出院时偶有干咳,无呼吸困难,一般情况好,出院后未继续口服激素。出院3个月门诊随访,患儿病情稳定,偶有咳嗽,无气促、呼吸困难,复查胸片示肺部阴影基本吸收;出院5个月电话随访一般情况好,无明显呼吸道症状,体质量增长良好。


AIP最早由Hamman和Rich[2]于1935年报道,此后学者称其为Hamman-Rich综合征[3,4]。1986年Katzenstein等[5]首次提出AIP概念用于描述以起病后迅速出现呼吸衰竭为特征的间质性肺疾病,以区别其他慢性间质性肺炎。国际对儿童间质性肺疾病的真正关注始于2004年,着手开展多中心的临床科学研究,以建立合乎儿童的分类并改善治疗[6]。目前国内外有关儿童AIP的报道甚少[7,8]。特别是婴儿AIP由于难以开展肺活检,至今尚未见报道。本病呈进行性发展,少数表现为呼吸困难急性发作,症状与急性呼吸窘迫综合征(ARDS)相似,并快速进展为重型呼吸衰竭。多数AIP呈慢性临床经过,表现为隐匿或亚急性发病。本病预后极差,多死于严重呼吸衰竭或右心衰竭,病死率高达70%[9]。存活者中部分痊愈,部分可复发[10],少数表现为持续性慢性间质性肺疾病(CILD)[11],但也有随访3~11年而未见复发或CILD[12]。
AIP强调临床-放射-病理学诊断(elinico-radiologic-patholo-gic diagnosis,CRP诊断)的综合分析[13],检查主要包括非侵入性(胸片、CT)和侵入性手段(支气管肺泡灌洗液检查、经支气管活检、外科活检)等[14],确诊及分类需肺组织病理学检查,并排除其他实质性肺疾病。临床上,AIP与ARDS相似,但AIP发病缺乏诱因,被认为是特发性的ARDS,无多器官受累,预后亦更差。Kang等[15]对26例ARDS患者行肺活检,结果3例确诊为AIP。因此,对不明原因的ARDS,应考虑为AIP[16],若有条件可行肺活检鉴别诊断。本例患儿治疗效果明显,推测与病理改变仍处于渗出阶段密切关系。而患儿此时病程已近6周,根据儿童AIP的病理改变分为渗出期(起病后1~2周)和增殖期(2~3周),提示婴儿AIP与儿童发病经过及肺组织病理演进过程有不同的年龄特点。经CT引导行肺活检获得特异性诊断的比例较其他技术低[17],但该技术在儿童并发症少,安全性较好[18],对确诊有困难的患儿更具现实意义。
目前对于AIP尚缺乏有效和规范的治疗方法,主要是早期氧疗和机械通气,改善低氧血症。当炎症发展至晚期,出现显著纤维化,药物很难逆转其自然病程。长时程应用激素虽可持久抑制炎性反应,但仍持续存在亚临床肺损伤[19]。关于激素的使用方法,目前尚无统一的标准,但均认为干预越早效果越好,且为改善预后的关键,具体剂量文献报道不一[20]。总之,40%~65%的AIP患儿有望经GC治疗获得良好的疗效[21]。激素治疗无效的难治性AIP,可考虑行肺移植手术[3,4,5,6,7,8,9,10,11,12,13,14,15,16,17,18,19,20,21]。
























