
版权归中华医学会所有。
未经授权,不得转载、摘编本刊文章,不得使用本刊的版式设计。
除非特别声明,本刊刊出的所有文章不代表中华医学会和本刊编委会的观点。
先天性红细胞生成异常性贫血(congenital dyserythropoietic anemia,CDA)是一类罕见的遗传性疾病,主要特点是慢性难治性贫血,红细胞系无效造血及幼稚红细胞典型形态学改变。患者通常存在不同程度的贫血、黄疸、肝脾大及继发血色病。根据骨髓幼稚红细胞形态学改变及实验室检查特点,Heimpel和Wendt[1]将CDA分为3种经典类型(CDA-Ⅰ、Ⅱ、Ⅲ)。2005年Wickramasinghe和Wood[2]增加了另外4种类型(CDAⅣ-Ⅶ)。现报道1例CDA-Ⅰ型患者的临床及实验室特征,并进行相关文献复习,以提高对该类疾病的认识,减少漏诊及误诊。
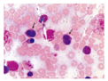
患儿,女,3岁7个月,因"面色苍黄2年11个月,脾大9个月"入院。患儿2年11个月前逐渐出现面色苍黄、活动减少,吃奶差,尿布黄染,血红蛋白(Hb)30~50 g/L,间断输注压积红细胞,100 mL/次,共20次,输血间隔为1~2个月。9个月前出现腹部膨隆,于紫云县人民医院查腹部B超示脾大。就诊于北京协和医院门诊,查血常规示红细胞(RBC)1.47×1012/L,Hb 45 g/L,网织红细胞百分比(Ret%)0.15%,白细胞(WBC)及血小板(PLT)正常。血型为O型Rh阳性。抗人球蛋白试验阴性。Hb电泳示HbA、HbA2、HbF比例均正常。铁蛋白2 252 mg/L。为明确诊断收入北京大学人民医院。父母体健,Hb水平正常。查体:发育差,体质量10.5 kg,身长80 cm。重度贫血貌,巩膜无黄染。心音有力,无杂音,双肺未见异常。肝肋下10 cm,质硬,脾Ⅰ线15 cm,Ⅱ线20 cm,Ⅲ线2 cm,质硬。血WBC 14.33×109/L,RBC 0.99×1012/L,Hb 28 g/L,PLT 148×109/L,红细胞平均体积(MCV) 78.8 fL,平均红细胞血红蛋白(MCH)水平28.3 pg,平均血红蛋白(MCHC)水平359 g/L,Ret 0.008 2×1012/L,Ret% 0.83%。血涂片:晚幼红细胞。生化检查:总胆红素24.7 μmol/L,结合胆红素6.8 μmol/L,乳酸脱氢酶656 U/L,α-羟丁酸脱氢酶649 U/L,尿酸626 μmol/L,丙氨酸氨基转移酶21 U/L,天冬氨酸氨基转移酶37 U/L。结合珠蛋白51.4 mg/dL。骨髓涂片:粒/红0.42/1.00,红细胞系增生明显活跃,偶见双核幼稚红细胞(图1);骨髓铁染色:内铁-22%,+22%,++16%,+++32%,++++8%,未见环铁粒幼细胞。染色体核型分析:46,XX。骨髓活检:造血组织65%,红细胞系增生占优势。外周血红细胞电镜扫描可见多种异形原、幼红细胞(约90%),核分裂相多见,可见核膜溶解及内陷伴胞质细胞器侵入核浆,典型干酪样核(图2A)多见,可见细胞核染色质间桥(图2B)。结合病史及实验室检查,确诊为CDA-Ⅰ型。




注:A:干酪样核;B:染色质核间桥 A:swiss-cheese nucleolus;B:chromatin bridge
CDA不同患者临床表现差异很大,CDA-Ⅰ型患者多在婴幼儿阶段出现明显贫血表现,甚至引起新生儿期持续肺动脉高压[3],而CDA-Ⅲ型患者贫血多不明显。此外,部分CDA-Ⅰ型患者伴有先天性异常,包括皮肤色素沉着,蹼颈,并趾,多指,骨骼发育异常,身材矮小,鸡胸,眼睑下垂,马德隆畸形(Madelung deformity),耳聋,先天性青光眼及视网膜血管翳畸形等。CDA-Ⅱ型患者糖尿病及肝硬化的发生率较高[4]。CDA-Ⅲ型患者可出现视网膜血管纹样改变、单克隆丙种球蛋白病及骨髓瘤[5]。变异型CDA可合并中枢神经系统病变[6]。本例患儿婴儿期即出现严重贫血,影响其生长发育,但未合并先天畸形。
CDA患者血涂片可见各种异形红细胞,嗜碱性点彩细胞、卡波环及幼稚红细胞。骨髓涂片在光镜下主要表现为红细胞系增生活跃,粒红比降低。CDA-Ⅰ可见少量双核幼稚红细胞(0~10%)及核间桥。CDA-Ⅱ可见大量双核幼稚红细胞(10%~35%)及部分多核幼稚红细胞。CDA-Ⅲ易见巨大多核幼稚红细胞。电镜下红细胞超微结构的改变是目前国内诊断CDA的金标准。CDA-Ⅰ的特征性表现是大量幼稚红细胞异染色质海绵状改变(瑞士干酪样核),CDA-Ⅱ表现为细胞膜外周池的存在,形成典型"双层膜"结构,CDA-Ⅲ表现为非特异核裂隙,核破裂,核膜异常及自体吞噬泡。该患儿红细胞电镜扫描可见典型核间桥及大量瑞士干酪样核表现,支持CDA-Ⅰ诊断。此外,CDA-Ⅱ红细胞表面存在HEMPAS抗原,酸溶血试验(Ham试验)可阳性;十二烷基硫酸钠-聚丙烯酰胺凝胶电泳中可表现出带3蛋白(阴离子交换蛋白1)及带4.5蛋白(葡萄糖转运蛋白1)条带缩窄,移动加快;这对CDA-Ⅱ的诊断相对特异。
CDA-Ⅰ为常染色体隐性遗传病,致病基因位于15q15.1-15.3,包含28个外显子,长15 kb,编码codanin-1蛋白。有文献报道codanin-1基因敲除小鼠胚胎在宫内6.5 d即死亡也证实了codanin-1缺失是一种致死性改变这一假设[7]。Codanin-1广泛表达于各种细胞,主要分布在异染色质。2010年Tamary等[8]发现codanin-1可结合Asf1a(抗寂静因子,一种组蛋白伴侣),通过参与核小体装配及拆卸来参与染色质结构动力学。2012年Ask等[9]提出codanin-1抑制组蛋白从Asf1a解离,因此不能沉积到DNA上,在S期进程中有负性调控作用。CDAN1基因突变导致codanin-1水平降低,对Asf1a的调节作用缺失,进而出现红细胞超微结构改变。
虽然CDA-Ⅰ突变多位于CDAN1基因,但仍有约20%患者未检测到该基因突变。Babbs等[10]对CDAN1基因突变阴性的CDA-Ⅰ患者进行全基因组测序发现1个新的基因突变:C15ORF41基因的c.533T>A纯合突变(导致p.L17Q错义突变)及c.281A>G纯合突变(导致p.Y94C突变)。C15ORF41编码一个限制性内切酶,曾有学者提出该酶与Asf1a相互作用,可能与DNA复制及核小体组装有关。
CDA-Ⅱ的致病基因是染色体20q11.2上5-cM区带中的SEC23B基因。目前已有超过60种突变被报道[11],在南意大利,R14W及E109K突变约占50%[12]。SEC23B蛋白是衣壳蛋白复合物Ⅱ(COPⅡ)的重要结构域。COPⅡ介导分泌蛋白的积聚、膜泡形成及从内质网转运至高尔基体的全过程。SEC23B基因突变会影响COPⅡ功能,导致细胞分泌途径受损[13]。Tao等[14]发现SEC23B基因敲除小鼠存在分泌组织退化(腮腺、胰腺),这也是CDA-Ⅱ患者易发生胰腺炎的原因。但患者的临床表现不单由SEC23B残余功能决定。Russo等[15]发现SEC23A代偿性高表达可弥补SEC23B表达降低产生的影响。
Liljeholm等[5]提出KIF23基因为CDA-Ⅲ的靶基因。KIF23编码的有丝分裂驱动蛋白样蛋白-1(MKLP1)参与中心纺锤体、中间小体的形成和胞质分裂过程。缺乏MKLP1胞质分裂将难以完成,导致双核或多核细胞的产生。此外,红细胞系转录因子基因KLF1和GATA-1、甲羟戊酸激酶基因、COX4I2及Lpin2等突变也可出现红细胞生成异常表现。
CDA的治疗主要包括输血支持以及并发症的处理。患者应定期监测铁蛋白,高于1 000 mg/L时应进行祛铁治疗。继发胆石症的患者应考虑胆囊切除。脾切除并不属于指南推荐的治疗手段,仅少数有输血依赖伴脾大的患者才考虑。Heimpel等[16]曾报道22例CDA-Ⅱ型患者脾切除后Hb均有所提高但不能预防远期铁过载,7例CDA-Ⅰ型患者行脾切除后Hb无明显提高。对于严重CDA患者,造血干细胞移植是一种根治手段。有1例CDA-Ⅱ患儿因胎儿水肿持续宫内输血,出生后也存在输血依赖,最终成功行造血干细胞移植[17]。
当患者出现不明原因贫血,以及存在红细胞系无效造血证据时,应高度怀疑CDA,可行骨髓形态学及红细胞电镜检查以明确。目前已发现CDA-Ⅰ、CDA-Ⅱ、CDA-Ⅲ及变异型CDA的部分靶基因,这种分子生物学诊断方式应尽快应用于临床以提高正确诊断率,减少漏诊及误诊。





















