
观察胃镜下凝血酶喷洒治疗儿童过敏性紫癜(HSP)合并急性或反复上消化道出血的疗效。
选择2011年10月至2014年3月收治的26例HSP合并急性或反复上消化道出血患儿,将其分为治疗组(12例)和对照组(14例),均给予常规治疗,治疗组另加胃镜下凝血酶喷洒治疗。比较2组患儿治疗效果。
治疗组患儿腹痛、呕血及黑便等消化道症状改善显著优于对照组,大便隐血转阴较对照组快,激素用量较对照组减少,住院时间也短于对照组,差异均有统计学意义(t=-3.56、-4.29、-2.80、-3.32,P均<0.05)。
胃镜下凝血酶喷洒治疗儿童HSP合并急性或反复性上消化道出血疗效确切。
版权归中华医学会所有。
未经授权,不得转载、摘编本刊文章,不得使用本刊的版式设计。
除非特别声明,本刊刊出的所有文章不代表中华医学会和本刊编委会的观点。
过敏性紫癜(HSP)是儿童常见的全身小血管炎性变态反应性疾病[1,2]。目前临床上根据病变主要累及的部位将HSP分为2型:单纯型、混合型,其中以消化道为主要临床表现的称为腹型HSP,主要表现为腹痛、呕血、便血、黑便等症状,此型可占HSP的2/3。HSP临床上常规治疗有抗凝、抗感染、抗过敏、保护胃肠黏膜等,少数特殊治疗亦有血液滤过、灌注及丙种球蛋白支持治疗等,但部分HSP合并上消化道出血患者病情较急,且易反复,病程长,予常规治疗往往控制不佳,另外,首发上消化道症状的患儿不易明确诊断。因此早期行胃镜检查有利于早期确诊,早期干预,避免病情危急时行剖腹探查术,为患儿减少痛苦。有临床研究支持胃镜治疗是治疗上消化道溃疡和急性出血的重要手段[3]。本研究观察胃镜下凝血酶喷洒治疗HSP合并急性或反复上消化道出血的效果,为早期诊治提供参考。
选择2011年10月至2014年3月苏州大学附属儿童医院收治的HSP[4]患儿。急性或反复上消化道出血目前尚无明确的统一定义,一般可理解为急性发病、出血量较多而可能致有效循环不足等重症并发症或持续出血,内科常规止血效果差,无法手术或手术难度大、疗效差的病例[5]。入选标准:(1)确诊为HSP;(2)反复剧烈腹痛,常不能自行缓解,频率>1次/d,至少持续3 d;(3)反复呕血,鲜红色或咖啡色样液体,每次约10 mL,次数≥3次;(4)反复恶心、呕吐,同时伴黑便持续存在,或次数增多、质转为暗红色伴肠鸣音亢进;(5)多次粪常规示隐血阳性;(6)经常规激素、抗组胺等治疗1周后症状无明显好转或病情反复。
共入选26例HSP合并急性或反复上消化道出血患儿,其中女11例,男15例;年龄3~16岁;入院前病程2~60 d。其中反复腹痛伴呕吐9例,单纯呕血7例,单纯黑便5例,呕血伴黑便5例。26例中有17例患儿胃肠道症状首发于皮疹,间隔时间为0~60 d;其中5例是通过胃镜检查才确诊为HSP。依照伦理学相关要求,事先征求患者和家属意见,同意做胃镜下凝血酶喷洒治疗者签署知情同意书,且通过苏州大学附属儿童医院伦理委员会批准。根据病情轻重将患者分为治疗组(12例)和对照组(14例),2组患儿性别、年龄、病程、临床表现及HP感染情况比较差异均无统计学意义(P均>0.05),见表1。

对照组及治疗组过敏性紫癜并急性或反复上消化道出血患儿相关临床资料比较
Comparison of relevant clinical data of children with Henoch-Schönlein purpura and upper gastrointestinal hemorrhage between the treatment group and control group
对照组及治疗组过敏性紫癜并急性或反复上消化道出血患儿相关临床资料比较
Comparison of relevant clinical data of children with Henoch-Schönlein purpura and upper gastrointestinal hemorrhage between the treatment group and control group
| 组别 | 例数 | 性别(例,男/女) | 年龄(岁, ±s) | 入院前病程(d, ±s) | 腹痛为首发表现(例) | 关节肿痛(例) | 紫癜性肾炎(例) | 幽门螺杆菌感染(例) |
|---|---|---|---|---|---|---|---|---|
| 对照组 | 14 | 9/5 | 7.14±2.29 | 5.71±3.67 | 7 | 2 | 4 | 3 |
| 治疗组 | 12 | 6/6 | 7.67±3.80 | 10.00±16.17 | 10 | 1 | 2 | 1 |
| t值 | - | 0.43 | 0.97 | - | - | - | - | |
| P值(双侧) | 0.24 | 0.67 | 0.34 | 0.07 | 0.42 | 0.29 | 0.29 |
注:-:采用Fisher确切概率法直接求出的P值 -:the Fisher's exact probability test is used to directly calculate the P value
26例患儿均采用以下常规治疗:禁食,卧床休息;静脉滴注甲泼尼龙2~4 mg/(kg·d),病情稳定后,每3~5 d减去原用量1/3,改为口服醋酸泼尼松龙后,每2周减去原用量1/3,疗程1~2个月;口服氯雷他定分散片5~10 mg,每晚1次;口服双嘧达莫3~5 mg/(kg·d),3次/d;营养支持;同时静脉滴注法莫替丁0.8~0.9 mg/(kg·d),最大量不超过20 mg/d;有感染时抗感染。
治疗组患儿在常规治疗的基础上同时予胃镜检查及凝血酶(湖南一格制药,粉剂,500 U/支)喷洒治疗,采用Olympus GLP-XQ260型电子胃镜,之前要行输血前4项检查,以免交叉感染,禁食6 h后,一般用咽部麻醉药,患儿在清醒条件下经口腔插镜沿咽后壁滑入食管入贲门-进幽门-入球部,依次观察胃体、十二指肠球部、降部及胃底、贲门、食管(退镜时),同时多点采集式钳取病变黏膜送病理检查。术中胃镜自十二指肠逐渐退回,有较多积血或胆汁时要吸引出,再用1 000~2 000 U凝血酶溶于50 mL 9 g/L盐水配制成治疗药液,经胃镜活检道插入导管,在胃肠道,尤其糜烂、溃疡处加压喷洒止血治疗,立即可见白色膜状物形成,血止。
应用SPSS 17.0软件进行分析。计量资料以
±s表示,组间比较采用t检验;计数资料以百分比或率表示,组间比较采用Fisher确切概率法。P<0.05为差异有统计学意义。
治疗组12例患儿中,5例各段黏膜血管网基本清晰,十二指肠球部黏膜可见充血,十二指肠降部黏膜充血明显,可见明显沿皱襞分布点片状出血斑,病理活检示黏膜慢性活动性浅表炎改变;4例各段黏膜血管网纹理模糊,触之易出血,十二指肠球部黏膜可见较明显片状出血斑,伴散在霜降样溃疡或点片状糜烂,十二指肠降部黏膜较多充血斑,伴散在小溃疡,病理活检示十二指肠黏膜中度活动性炎症;3例胃窦黏膜充血明显,伴或不伴散在片状糜烂,十二指肠球部可见较多片状糜烂,降部黏膜充血明显,糜烂、溃疡较重,活检示黏膜中度慢性活动性炎症。12例患儿均顺利完成胃镜下凝血酶加压喷洒止血治疗,术后无不良反应。治疗前后胃镜检查结果见图1、图2。


注:A:HSP患儿治疗前十二指肠降部黏膜弥散充血水肿、斑片状出血点及点片状糜烂、溃疡;B:胃镜下凝血酶喷洒治疗;C:该患儿治疗后1周,黏膜充血水肿明显消失,出血点明显消退,但仍可见少许溃疡 A: a child of HSP represented diffuse hyperaemia edema,Patchy bleeders and mess spots of erosion and ulcer in the descending of duodenum mucosa before treatment;B:the imagine from thrombin spraying under gastroscopy;C:1 week after treatment,diffuse hyperaemia edema,Patchy bleeders were disappeared obviously,besides a small ulcers


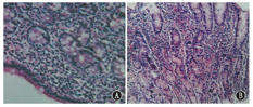
注:A:十二指肠降部黏膜轻至中度慢性活动性浅表炎性反应,镜下黏膜固有层组织内有散在或灶性淋巴细胞浸润,局部见散在粒细胞浸润;B:胃窦黏膜中度慢性浅表性炎性反应,镜下见黏膜层内多量淋巴细胞、浆细胞及少量嗜酸性粒细胞浸润 A:the descending of duodenum mucosa mild to moderate chronic superficial inflammation,activity,the microscopic mucosa lamina propria had scattered or focal lymphocytic infiltration,local found scattered granulocyte infiltration;B:gastric antrum mucosa moderate chronic superficial inflammation,microscopically,the mucous membrane layer of lymphocytes,plasma cells and a small amount of eosinophilic cells infiltration
治疗组患儿腹痛、呕血及黑便等消化道症状改善时间、大便隐血转阴时间、平均激素用量、住院时间均低于对照组,差异均有统计学意义(P均<0.05),见表2。

对照组与治疗组过敏性紫癜并急性或反复上消化道出血患儿临床疗效比较(
±s)
Comparison of clinical curative effect of children with Henoch-Schönlein purpura and upper gastrointestinal hemorrhage between control group and treatment group(
±s)
对照组与治疗组过敏性紫癜并急性或反复上消化道出血患儿临床疗效比较(
±s)
Comparison of clinical curative effect of children with Henoch-Schönlein purpura and upper gastrointestinal hemorrhage between control group and treatment group(
±s)
| 组别 | 腹痛、呕血及黑便消失时间(d) | 大便隐血消退时间(d) | 住院时间(d) | 激素总用量(mg/kg) |
|---|---|---|---|---|
| 对照组 | 16.93±8.38 | 22.07±8.65 | 23.07±8.15 | 52.84±28.07 |
| 治疗组 | 8.17±3.54 | 10.92±4.12 | 15.00±3.76 | 28.32±15.58 |
| t值 | -3.56 | -4.29 | -3.32 | -2.80 |
| P值(双侧) | 0.002 | 0.000 | 0.004 | 0.011 |
HSP是儿童常见的以累及全身小血管炎症为主要病变的疾病,发病率呈逐年增加趋势,好发于学龄期儿童,多发于春、秋及冬季。目前病因尚不清楚,其常见诱因为感染,其次为食物、药物及疫苗接种。HSP发病机制可能是机体对某些致敏物质发生变态反应,激发B淋巴细胞活化产生大量以IgA介导为主的免疫复合物,引起广泛的毛细血管炎,造成血管通透性及脆性增高,致皮下组织、黏膜及内脏器官出血、水肿[6]。目前尚无明确的辅助检查金标准,仍需结合临床典型症状来诊断HSP。有文献报道,约25.3%的HSP患者的消化道症状的出现早于皮疹[7],本研究26例中有17例HSP患儿的胃肠道受累情况先于皮肤,症状表现多样,研究显示HSP患儿胃肠道存在弥散性黏膜水肿、瘀点瘀斑、出血、糜烂及溃疡等不同形态的改变[8]。
腹型HSP临床上的并发症较常见,消化道出血一般比较隐匿,主要表现为黑便。严重者可发生呕血及便血,甚至导致出血性休克。少数患儿可并发肠套叠、肠梗阻、肠穿孔等。出血性的胃肠道使菌群转移、内毒素血症、中毒性休克发生的概率增加[9]。本研究26例患儿均合并急性上消化道症状,多表现为剑突下及中上腹疼痛,少数为全腹痛,腹痛特点为阵发性、易反复,部位多变而不固定,腹部体征较轻微,临床的主要症状为频繁呕吐,反复呕血及黑便,其中有17例消化道症状首发,2例仅表现为消化道症状,5例经胃镜下观察黏膜出血点确诊为HSP,本研究结果示临床表现与镜下病变严重程度呈正相关,且主要损害十二指肠部位的黏膜。另外,长期使用大量激素及免疫抑制剂治疗HSP合并顽固性消化道出血对患儿的不良反应较大,尤其是不利于腹型HSP患儿消化道黏膜溃疡愈合,增加感染概率,胃镜下凝血酶喷洒治疗可及时有效控制腹痛及消化道出血症状,预防肠套叠等并发症的发生,减少激素及免疫抑制剂用量,缩短禁食时间,有利于疾病的恢复及好转。随着胃镜技术在儿科疾病诊治中发展,早期行胃镜检查能减少误诊概率,尽早治疗,避免患儿剖腹探查的痛苦。因此,早期诊断、及时有效的治疗对于腹型HSP合并急性或反复性消化道出血的患儿非常重要。
临床资料提示HSP患儿胃肠道症状与肾损害、关节受累及HP感染无明显相关性,与其他相关性研究一致[9],可亦有异样之说:HSP不仅与幽门螺杆菌感染存在一定的相关性,而且其消化道黏膜受损程度亦与HP感染有关,同时需长期监测肾脏及关节症状的出现[10]。本研究结果治疗组经胃镜行凝血酶喷洒治疗后上消化道症状消失时间及大便隐血消退时间明显短于对照组,同时治疗组的住院时间的缩短及激素总用量的减少均提示HSP合并急性上消化道症状在常规抗感染、抗过敏基础上合并早期胃镜下凝血酶喷洒治疗起效迅速,疗效确切,有利于患儿急性症状的及时控制,病情的好转,减少用药不良反应。
凝血酶又名巴曲亭,主要成分为含有巴西矛头蝮蛇的蛇毒分离和纯化的血凝酶,稀释喷洒1 U血凝酶会在很短时间内将健康成人的出血时间缩短至1/2或1/3,且只具有凝血功能而不改变血液的凝血酶原量。国际上有报道不建议单独注射肾上腺素、凝血酶等药物,而推荐联合治疗的内镜止血方法治疗急性上消化道出血症状[11]。这从侧面提示内镜下应用凝血酶喷洒治疗急性消化道出血效果佳。因为腹型HSP患儿累及胃肠道部位不仅限于上消化道,下消化道更易常见,所以胃镜联合肠镜早期检查更有利于反复、顽固性消化道出血患儿的早期诊断及治疗,其总体远期疗效尚需多中心、大样本的临床双盲随机对照研究进一步验证,此为本研究不足之处。免疫球蛋白、血浆置换、血液灌流疗法对治疗腹痛及胃肠道症状的改善均有疗效,但胃镜下应用凝血酶喷洒治疗更为直接、有效,而且胃镜下诊疗更便于推广开展,尤其适合基层医院。

±s)
±s)



















