
分析1个以蛋白尿为主,伴镜下血尿家系的临床特征,并对可能的致病基因进行筛查。
调查1个以蛋白尿为主,伴镜下血尿的汉族家系,收集临床资料,绘制家系图谱,并对家系中所有成员进行尿液筛查,并留取其外周血,对尿液筛查异常的一对同胞及其父母进行NPHS1和NPHS2基因所有外显子、WT1基因外显子8和9,以及外显子和内含子交界区直接测序。
该家系共有3代,17名成员。同一代中发病的有2例,男、女各1例,平均发病年龄1.3岁。临床资料分析显示,该家系临床特点符合常染色体隐性遗传。先证者表现初发型激素耐药肾病综合征,肾脏病理光镜下表现局灶增生性肾小球肾炎,免疫荧光IgA、IgM、C1q和C3均阴性,Ⅳ型胶原蛋白α1、α3和α5链均阳性,电镜下基底膜正常,足突融合。2例患儿在NPHS2基因外显子3和4上均存在杂合p.R138Q(c.413G>A)和p.L156FfX11(c.467-468insT),其中p.R138Q错义突变来自母亲,p.L156FfX11为移码突变来自父亲,2个突变均为报道的致病性突变,前者为NPHS2基因最常见的突变,后者仅在我国人群中报道。
p.L156FfX11突变可能是我国肾病综合征儿童的一个特异性突变。NPHS2基因突变不仅可引起蛋白尿,也可伴镜下血尿。NPHS2基因突变引起的肾脏病理不仅可表现为局灶节段性肾小球硬化,还可以为局灶增生性肾小球肾炎,肾脏病理改变可能仅是疾病病程的反映。
版权归中华医学会所有。
未经授权,不得转载、摘编本刊文章,不得使用本刊的版式设计。
除非特别声明,本刊刊出的所有文章不代表中华医学会和本刊编委会的观点。
蛋白尿是肾脏疾病常见的症状之一,是肾小球或肾小管损伤的重要标志[1]。持续性蛋白尿本身可引起肾小球硬化、肾小管损伤,使肾脏疾病持续进展,也是使肾功能持续恶化的一个独立危险因素,且其病因诊断和治疗均比较困难[2,3,4]。遗传性蛋白尿是一组少见的肾脏疾病,以肾小球功能异常和蛋白尿为突出表现[5]。因为同一基因突变可以是大量蛋白尿为表现的先天性肾病综合征(NS),也可以是中度或少量蛋白尿为表现的局灶节段性肾小球硬化(FSGS),所以有学者将这组疾病统称为遗传性蛋白尿综合征[5,6]。近20多年的研究发现,NPHS1、NPHS2和WT1等多个足细胞分子编码基因突变与蛋白尿综合征发病有关[7,8,9,10,11]。本课题组在临床发现一个蛋白尿、伴镜下血尿的家系,排除Alport综合征后对该家系相关成员进行NPHS1、NPHS2和WT1基因突变分析研究。现报告如下。
女,汉族,4岁。因反复眼睑水肿2年、尿检蛋白尿1年余入院。患儿于2年前出现反复眼睑及面部水肿,当时不严重,家长未予重视。1年前患儿出现多饮、尿频、尿急,在当地医院查尿常规提示,尿蛋白(PRO)+,RBC+,尿培养阴性。予中药口服,具体不详,经治疗多饮和尿频好转,但眼睑水肿时有反复。2年前来上海某医院就诊,尿常规:PRO+++,WBC+,RBC++++,RBC镜下70~80个/HP。血WBC 8.2×109/L,RBC 4.52×1012/L,血红蛋白(Hb)125 g/L,血小板(PLT)364×109/L。血生化:清蛋白17.2 g/L,血肌酐19 μmol/L。考虑NS可能,予足量糖皮质激素(简称激素)、盐酸贝那普利、双嘧达莫口服。患儿经治疗眼睑水肿仍有反复,蛋白尿不能转阴,随后来复旦大学附属儿科医院就诊,尿常规PRO++,WBC 2.57个/HP,RBC 37.86个/HP,RBC形态为非均一性。门诊以"蛋白尿、血尿原因待查"收入院。
患儿既往体健,无食物、药物过敏史,无传染病史及传染病接触史。第2胎,第1产,出生时无产伤及窒息史。父亲和母亲身体健康,非近亲联姻。父母否认有遗传性疾病和肾脏病家族史。母亲曾人工流产1次。患儿有一弟弟,无疾病史。家族成员未曾做过尿液筛查。
入院时查体:神志清楚,精神可,呼吸平稳,两肺呼吸音清晰,无啰音,心率136次/min,节律齐,无杂音,腹软,稍膨隆,肋下肝、脾无肿大,移动性浊音阳性,全身及双下肢水肿,水肿为凹陷性。
入院后实验室检查:血Hb 132 g/L,RBC 4.41×1012/L,WBC 13.5×109/L,PLT 321×109/L。尿RBC 198.40个/HP,WBC 12.63个/HP,潜血+++,PRO+++。尿沉渣RBC畸形率75%。24 h尿蛋白定量3.23 g,PRO/肌酐6.27。血生化:丙氨酸氨基转移酶9 IU/L,天冬氨酸氨基转移酶24 IU/L,清蛋白19.6 g/L,总胆固醇5.96 mmol/L,三酰甘油2.8 mmol/L,尿素氮(BUN)3.4 mmol/L,肌酐20.0 μmol/L,尿酸395.0 μmol/L。病原血清学检查:巨细胞病毒抗体、单纯疱疹病毒抗体、风疹病毒抗体和弓形体抗体(IgG和IgM)均阴性,梅毒快速血浆反应素环状卡片试验(RPR)、梅毒螺旋体明胶凝集试验(TPPA)均阴性,人类免疫缺陷病毒(HIV)抗体阴性,尿培养阴性。抗双链DNA抗体、胞质型-抗中性粒细胞胞质抗体(C-ANCA)、核周型-ANCA(P-ANCA)、抗核抗体(ANA),以及髓过氧化物(MPO)、蛋白水解酶3(PR3)、基底膜(GBM)抗体均阴性。
影像学检查:胸部平片正常,泌尿系统B超无异常,心脏和大血管彩超无异常。
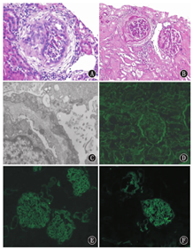
肾脏病理光镜下表现局灶增生性肾小球肾炎(图1A、图1B)。电镜下GBM正常,足突融合(图1C)。免疫荧光IgA、IgM、C1q和C3均阴性,Ⅳ型胶原蛋白α1、α3和α5链均阳性(图1D、图1E和图1F)。


注:A:HE染色,×400;B:PAS染色,×200;C:电镜,×11 500;D:免疫荧光Ⅳα1链,×200;E:免疫荧光Ⅳα3链,×200;F:免疫荧光Ⅳα5链,×200 A:HE staining,×400;B:PAS staining,×200;C:electron microscopy,×11 500;D:immunofluorescence microscope,positive of type Ⅳ collagen α1,×200; E:immunofluorescence microscope,positive of type Ⅳ collagen α3,×200;F:immunofluorescence microscope,positive of type Ⅳ collagen α5,×200
先证者家系共有3代,17名成员(图2)。对家系成员进行尿常规和肾功能筛查,检查发现先证者弟弟(Ⅲ 5,0.5岁)有蛋白尿。Ⅲ 5相关的实验室检查见表1。本研究均获家属知情同意,并得到医院伦理委员会审批。

蛋白质综合征先证者弟弟相关检查结果
Laboratory findings of the brother of proband with protei-nuria syndrome
蛋白质综合征先证者弟弟相关检查结果
Laboratory findings of the brother of proband with protei-nuria syndrome
| 项目 | 结果 |
|---|---|
| 血常规 | WBC 7.2×109/L,RBC 5.05×109/L,Hb 135.0 g/L,PLT 394×109/L,N 0.417,L 0.503 |
| 尿常规1 | RBC 41.87个/HP,WBC 2.05个/HP,蛋白++,pH 8.00 |
| 尿常规2 | RBC 24.96个/HP,WBC 1.10个/HP,蛋白+,pH 6.50 |
| 血生化 | 总蛋白56.9 g/L,清蛋白34.7 g/L,肌酐15 μmol/L,尿素氮5.20 mmol/L,总胆固醇5.60 mmol/L |
| 尿生化 | 24 h尿蛋白定量0.17 g |
注:WBC:白细胞;RBC:红细胞;Hb:血红蛋白;PLT:血小板;N:中性粒细胞;L:淋巴细胞 WBC:white blood cell;RBC:red blood cell;Hb:hemoglobin;PLT:platelet;N:neutrophils;L:lymphocyte


对NPHS1和NPHS2基因所有外显子及与内含子交界区,以及WT1外显子8、9和与内含子交界区进行直接测序。考虑到既往研究对尿液筛查正常者进行基因检测的突变率极低,本研究选取尿常规异常的一个家庭(Ⅱ 7、Ⅱ 8、Ⅲ 4和Ⅲ 5)为基因检测对象,采用德国QIAGEN公司的血液基因组DNA抽提试剂盒提取4名家系成员基因组DNA。PCR扩增WT1基因外显子8、9,以及NPHS1和NPHS2基因所有外显子,扩增引物序列参考文献[12,13,14]。PCR反应条件:95 ℃预变性3 min,94 ℃ 30 s,55~60 ℃ 35 s,72 ℃ 40~50 s;35个循环,72 ℃再延伸5 min。使用ABI3730测序列分析仪(美国ABI公司)进行测序,使用Chroma软件读取序列,测序结果与GenBank中参考序列进行比对,查找突变位点。
先证者符合初发型激素耐药肾病综合征(SRNS),但肾病病理类型为局灶增生性肾小球肾炎。先证者同胞表现轻度蛋白尿,不符合NS诊断。两者均伴镜下血尿,发病年龄小,平均发病年龄1.3岁。家系分析显示,该家系中只有2例患者,男女各1例,为同胞,符合常染色体隐性遗传。
该家系Ⅲ 4和Ⅲ 5存在相同的NPHS2基因杂合突变,分别为p.R138Q(c.413G>A)和p.L156Ffx11(c.467-468insT)。p.R138Q和p.L156Ffx11突变分别来自母亲和父亲(表2,图3)。这2个突变在100例对照者中均未见。2例患者及其父母均未发现NPHS1和WT1基因致病性突变。

蛋白尿综合征家系NPHS2基因突变分析结果
Mutational analysis of NPHS2 gene in the family with proteinuria syndrome
蛋白尿综合征家系NPHS2基因突变分析结果
Mutational analysis of NPHS2 gene in the family with proteinuria syndrome
| 患者编号/突变信息 | NPHS2 E-3第35位G | NPHS2 E-4第16–17位之间插入T |
|---|---|---|
| SRNS-2013-19 | G/A | T/– |
| SRNS-2013-19-B | G/A | T/– |
| SRNS-2013-19-F | G/G | T/– |
| SRNS-2013-19-M | G/A | –/– |
| cds序列 | c.413G>A | c.467-468insT |
| 比对参考序列 | NM_014625.2 | |
| 氨基酸序列 | p.R138Q | p.L156Ffx11 |
| rs号 | rs74315342 | * |
注:–:无插入,*:尚无rs号 –:no insertion,*:no rs symbol


注:P:患者;B:弟弟;F:父亲;M:母亲 P:proband;B:brother;F:father;M:mother
本家系2例患者的主要临床特征为蛋白尿伴镜下血尿,1例为肾病水平蛋白尿,另1例为轻度蛋白尿。父母均无蛋白尿。由于是以蛋白尿为突出表现,先证者肾脏免疫荧光病理显示,Ⅳ胶原蛋白α1、α3和α5链均阳性,电镜下无GBM厚薄不均等改变,可以排除Alport综合征。先证者符合NS诊断,实验室检查排除相关继发因素,如乙肝病毒相关性肾病、系统性红斑狼疮等疾病。先证者对激素治疗无反应,表现为初发型SRNS,其同胞有类似疾病史,且两者发病年龄均小,平均发病年龄1.3岁,完全符合遗传性NS或蛋白尿综合征三大临床特征,即发病年龄小、对激素治疗无效、有蛋白尿家族史[8,11,15]。故应该考虑本家系由遗传因素致病的可能性大。
1991年,有研究发现WT1基因突变的患者有蛋白尿[16]。1998年,先天性NS致病基因NPHS1的发现开启了遗传性NS致病基因研究新时代[12]。从那以后,陆续有多个足细胞分子编码基因被发现与蛋白尿综合征发病有关,如NPHS2、ACTN4、PLCE1、TRPC6和INF2等基因[6,11,17,18]。其中NPHS1、NPHS2、WT1和PLCE1等基因突变引起的蛋白尿患者在儿童时期起病,而ACTN4、TRPC6和INF2等基因突变引起的患者则在青少年或成人期起病[8,18,19,20]。尽管越来越多的基因被发现与蛋白尿综合征发病有关,但NPHS1、NPHS2和WT1基因仍然是儿童蛋白尿综合征的主要致病基因[21,22]。本家系2例患者,经NPHS1、NPHS2和WT1基因突变分析发现,2例患者均存在相同NPHS2基因突变,分别为p.R138Q和p.L156Ffx11杂合突变。家系NPHS2基因突变分析显示,p.R138Q和p.L156Ffx11突变分别来自患者的母亲和父亲。2个突变均曾经被报道过,均为致病性突变。前者是欧洲白种人最常见的NPHS2突变位点,纯合突变的儿童表现为SRNS,而后者仅在汉族人群中报道过,复合杂合突变的儿童也表现为SRNS[13,23]。因此,本研究认为本家系起病是由NPHS2基因突变引起,p.L156Ffx11突变可能是我国SRNS儿童一个特异性突变。在欧美地区NPHS2基因是家族性SRNS的主要致病基因,突变率高达45%,在散发性病例中也有28%[14,24]。国内学者在散发性SRNS病例中发现有NPHS2基因突变,但其突变率仅为4.3%,部分突变位点在患者父母得到验证[25]。但到目前为止,在国内家族性FSGS或SRNS病例中,尚未发现NPHS2基因突变致病报道[26,27,28,29]。本研究是国内首次在一个蛋白尿综合征家系中证实存在NPHS2基因突变致病。国内学者未能在家族中发现多个病例存在NPHS2基因突变的原因可能与我国多数家庭只有一个孩子有关。迄今为止,国内研究未发现NPHS2基因纯合突变,多数为复合杂合突变,与国外以纯合NPHS2突变为主不同,可能与我国人口众多、流动性大有关。
NPHS2基因编码蛋白为podocin,其是肾小球滤过屏障裂隙膜(SD)重要构成分子之一[13]。NPHS2基因突变可致SD功能受损,患者多数在6个月~6岁起病,表现为蛋白尿综合征,对激素耐药,一般不会出现血尿[13,24]。但也有少数蛋白尿综合征伴镜下血尿的报道[30]。本家系2例患者除蛋白尿外均伴镜下血尿,由于先证者肾脏病理电镜下GBM形态正常,可排除引起血尿常见原因的Alport综合征和薄基底膜病。本家系2例患者血尿尚不能用NPHS2基因突变以外的原因解释。SD主要对蛋白滤过起主要作用,而蛋白尿综合征伴镜下血尿报道中NPHS2突变位点也并非相同,因此,NPHS2基因突变患者为何伴镜下血尿的机制仍然不清楚。
从目前的报道来分析,NPHS2等基因突变所致遗传性蛋白尿综合征患者的肾脏病理主要为FSGS[24,31],但FSGS并非是遗传性蛋白尿综合征患者的唯一肾脏病理改变。本研究先证者肾脏病理光镜下显示为局灶增生性肾小球肾炎,也有NPHS2基因突变致微小病变(MCD)的报道[32]。PLCE1基因突变引起蛋白尿综合征患者的肾脏病理既可以为FSGS,也可以是弥散性系膜硬化(DMS)[33]。WT1突变也同样如此[34]。肾脏病理表现FSGS、DMS的蛋白尿综合征患者肾功能一般均异常,而表现MCD或局灶增生性肾小球肾炎的患者肾功能一般均正常[32,35](本家系先证者肾功能也正常)。遗传性蛋白尿综合征患者的肾脏病理类型并不能反映何种基因突变,而仅仅是疾病病程的反映,早期可表现为MCD或局灶增生性肾小球肾炎或其他不严重的改变,晚期可以表现FSGS、DMS或其他严重的改变。因此,根据病理类型来选择基因进行遗传性蛋白尿综合征筛查策略(目前主要筛查策略)值得商榷。先证者确诊后,渐停激素治疗,2例患者均予盐酸贝那普利降蛋白,及支持对症治疗,目前仍在随访,肾功能正常。
综上所述,NPHS2基因是我国常染色体隐性遗传蛋白尿综合征的一个致病基因;p.L156Ffx11突变可能是我国SRNS儿童的一个特异性NPHS2基因突变位点;NPHS2基因突变的蛋白尿综合征患者可以伴有镜下血尿;NPHS2基因突变所致肾脏病理可以不是FSGS,肾脏病理改变可能是NPHS2基因突变疾病病程的反映。





















