
探讨促红细胞生成素(EPO)对输尿管梗阻-解除梗阻后(BUO-R)幼鼠肾脏水通道蛋白2(AQP2)表达及功能的影响。
幼年SD大鼠32只,按随机数字表法随机均分为BUO组、BUO-R组、BUO-R+EPO组和假手术(Sham)组,每组8只。实验组大鼠均行双侧输尿管结扎,BUO组梗阻24 h后处死;BUO-R组和BUO-R+EPO组梗阻24 h后解除梗阻,BUO-R+EPO组分别于解除梗阻后2 h、6 h、12 h、24 h和36 h腹腔注射EPO(每次剂量500 U/kg),48 h后处死;BUO-R组在相同时间点腹腔注射等量9 g/L盐水,48 h后处死;Sham组只分离输尿管,不结扎,72 h后处死。幼鼠处死前,代谢笼内收集尿液进行渗透压检测。留取双侧肾脏标本,采用Real-time PCR、免疫组织化学及Western blot检测各组肾脏组织中AQP2 mRNA及蛋白表达水平。
Sham组尿液渗透压最高,BUO-R+EPO组次之,BUO-R组最低(P<0.05)。免疫组织化学结果显示BUO组、BUO-R组和BUO-R+EPO组集合管管壁变薄、管腔增大,经Image-Pro Plus图像分析软件统计分析,BUO组内髓集合管AQP2阳性染色弱于其他3组,Sham组表达最强,BUO-R+EPO组和BUO-R组次之(P<0.05)。经Western blot进一步验证,BUO组AQP2蛋白表达水平低于BUO-R+EPO组、BUO-R组和Sham组(P<0.05)。经Real-time PCR检测,4组幼鼠肾脏组织中AQP2 mRNA表达水平差异有统计学意义(P<0.05),Sham组表达最多,是BUO组的(24.30±1.03)倍、BUO-R组的(10.60±1.05)倍、BUO-R+EPO组的(5.70±1.01)倍。
EPO可促进BUO-R幼鼠肾脏AQP2 mRNA、蛋白表达及功能恢复。
版权归中华医学会所有。
未经授权,不得转载、摘编本刊文章,不得使用本刊的版式设计。
除非特别声明,本刊刊出的所有文章不代表中华医学会和本刊编委会的观点。
先天性肾积水是胎儿期最常见的泌尿系统畸形[1],其中部分患儿肾功能进行性损害而需手术治疗。研究发现此类患儿的肾脏水通道蛋白2(AQP2)表达下降[2]。AQP2是肾脏集合管发挥尿液浓缩稀释作用的主要功能蛋白。文献[3]报道即使手术解除梗阻,术后一段时间内患儿仍有大量稀释尿液。推测梗阻解除后短期内肾脏AQP2未能恢复表达是术后患儿产生大量稀释尿液的原因。研究表明促红细胞生成素(EPO)除了促进红细胞生成的生理功能外,还对多种器官组织发挥保护作用[4]。本课题组前期研究发现EPO可以防止输尿管部分梗阻幼鼠肾脏AQP2表达下调[5]。但是,EPO能否促进输尿管梗阻-解除梗阻后(BUO-R)AQP2表达恢复,尚不清楚。本课题组在前期研究的基础上通过EPO干预BUO-R幼鼠,探讨其促进输尿管梗阻解除后肾脏AQP2表达恢复的作用。现报道如下。
6~7周龄幼年雄性SD大鼠32只(河南省实验动物中心,批号:20141022),体质量(165±7) g,按随机数字表法均分为BUO组、BUO-R组、BUO-R+EPO组和假手术(Sham)组(各8只)。
幼鼠经100 g/L水合氯醛水溶液(3~5 mL/kg,腹腔注射)麻醉后,经腹部正中切口暴露双侧输尿管,10倍显微镜下钝性游离,用长约5 mm的polyethylene(PE-50)管包裹游离段输尿管,5-0丝线结扎PE-50管,形成BUO幼鼠模型。BUO组幼鼠梗阻24 h后处死。BUO-R组和BUO-R+EPO组梗阻24 h后拆除PE-50管,使输尿管恢复畅通。BUO-R+EPO组于解除梗阻后2 h、6 h、12 h、24 h和36 h腹腔注射EPO(500 U/kg,上海凯茂生物医药有限公司,生产批号:S19991025,4 000 IU/瓶),48 h后处死;BUO-R组在相同时间点腹腔注射等量9 g/L盐水,48 h后处死。Sham组幼鼠仅钝性游离但不结扎,饲养72 h后处死。幼鼠处死前,代谢笼内收集尿液进行渗透压检测。收集双侧肾脏标本:左侧肾脏冰上分离出内髓后置低温冰箱保存,用于Western blot检测;右侧肾脏于冰上迅速分离:上极置于40 g/L多聚甲醛溶液中固定,供免疫组织化学检测;下极分离出内髓后置低温冰箱用于Real-time PCR检测。
尿液标本采用渗透压测定仪(意大利Astori,型号:Cryobasic 1)进行渗透压测定。标准液校准仪器后吸取30 μL尿液标本进行检测,每个尿液标本重复测量3次,取其平均值作为结果。
按照SP法免疫组织化学步骤进行操作。一抗采用兔抗鼠AQP2多克隆抗体,稀释浓度为1∶300。二氨基联苯胺(DAB)显色试剂盒显色,苏木精复染,梯度脱水透明,树胶封片。阴性对照采用PBS代替一抗,其余步骤均相同。所有切片在相同条件下进行显微镜观察与拍片,使用Image-Pro Plus图像分析软件在相同条件下对所拍照片进行定量分析,选择阳性表达的平均吸光度值作为统计指标,进行组间比较。
肾脏内髓标本提取总RNA,测定浓度、纯度后,进行cDNA第一链合成。然后进行PCR反应,每个标本做4个复管,以增加结果可重复性,同时设置相同管数的β-actin作为内参。各引物序列见表1。反应条件:95 ℃,10 min预变性;95 ℃,15 s变性,60 ℃,1 min退火延伸,总共40个循环。结果经ABI 7500 Fast System软件分析,记录各组AQP2和相应内参Ct值的差值(ΔCt)以及组间AQP2 mRNA表达倍数。

相关引物序列
Primer sequences of AQP2 and β-actin
相关引物序列
Primer sequences of AQP2 and β-actin
| 引物名称 | 方向 | 序列 | 扩增产物(bp) |
|---|---|---|---|
| AQP2 | F1 | 5'-CTTCGAGCTGCCTTCTATGTG-3' | 266 |
| R1 | 5'-AGGGGAACAGCAGGTAGTTGT-3' | ||
| β-actin | F1 | 5'-TCACCATGGATGATGATATCGC-3' | 289 |
| R1 | 5'-CGTGCTCGATGGGGTACTTCA-3' |
注:AQP2:水通道蛋白2 AQP2:aquaporin-2
肾脏内髓标本提取总蛋白后,加入蛋白上样缓冲液,100 ℃煮沸5 min。制做十二烷基硫酸钠-聚丙烯酰胺凝胶,蛋白上样,恒压电泳,半干转膜,封闭液中常温封闭1 h后,一抗(1∶1 000)孵育,4 ℃过夜。洗膜后置于二抗(1∶2 000)中室温孵育60 min。暗室内滴加增强型化学发光(ECL)试剂,胶片曝光3~5 min,显影液显影后定影。胶片经凝胶灰度值分析软件分析,以各组AQP2条带灰度值除以相应内参条带灰度值,比较各组之间的相对值。
采用SPSS 10.0统计学软件进行数据处理分析,数据采用
±s表示。2组间比较采用t检验,多组间比较采用单因素方差分析,P<0.05为差异有统计学意义。
经测定,Sham组幼鼠尿液渗透压最高,BUO-R+EPO组次之,BUO-R组最低,见表2。

各组幼鼠尿液渗透压比较(mmol/L,
±s)
Urine osmotic pressure in young rats of each group(mmol/L,
±s)
各组幼鼠尿液渗透压比较(mmol/L,
±s)
Urine osmotic pressure in young rats of each group(mmol/L,
±s)
| 组别 | 只数 | 尿液渗透浓度 | F值 | P值 |
|---|---|---|---|---|
| Sham组 | 8 | 1 756±111 | ||
| BUO-R组 | 8 | 686±74a | 280.69 | <0.000 1 |
| BUO-R+EPO组 | 8 | 1 012±89ab |
注:Sham组:假手术组;BUO-R组:双侧输尿管梗阻-解除梗阻组;BUO-R+EPO组:双侧输尿管梗阻-解除梗阻+促红细胞生成素干预组;a与Sham组相比,差异有统计学意义(t=22.686,P<0.000 1;t=14.791,P<0.000 1);b与BUO-R组相比,差异有统计学意义(t=7.966,P<0.000 1) Sham group:sham group;BUO-R group:bilateral ureter obstruction-released group;BUO-R+EPO group:bilateral ureter obstruction-released+erythropoietin group;acomparing with Sham group,the differences were statistically significant (t=22.686,P<0.000 1;t=14.791,P<0.000 1);bcomparing with BUO-R group,the differences were statistically significant (t=7.966,P<0.000 1)
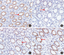
普通光镜下放大400倍观察,AQP2阳性细胞呈棕黄色,主要集中在内髓集合管,位于主细胞顶端膜和胞质中。经Image-Pro Plus图像分析软件统计分析,Sham组阳性表达的平均吸光度值最大,BUO-R+EPO组次之,BUO组最小。组织学上可见BUO组、BUO-R组和BUO-R+EPO组集合管管壁变薄、管腔增大,明显不同于Sham组,见图1,表3。

各组幼鼠肾脏AQP2免疫组织化学平均吸光度值(
±s)
The mean density of immuno-histo-chemistry results of renal AQP2 expressions in young rats of each group(
±s)
各组幼鼠肾脏AQP2免疫组织化学平均吸光度值(
±s)
The mean density of immuno-histo-chemistry results of renal AQP2 expressions in young rats of each group(
±s)
| 组别 | 只数 | AQP2 |
|---|---|---|
| Sham组 | 8 | 0.737±0.051 |
| BUO组 | 8 | 0.244±0.033a |
| BUO-R组 | 8 | 0.382±0.042ab |
| BUO-R+EPO组 | 8 | 0.536±0.049abc |
注:Sham组:假手术组;BUO组:双侧输尿管梗阻组;BUO-R组:双侧输尿管梗阻-解除梗阻组;BUO-R+EPO组:双侧输尿管梗阻-解除梗阻+促红细胞生成素干预组;AQP2:水通道蛋白2;a与Sham组相比,差异有统计学意义(t=22.955,P<0.000 1;t=15.198,P<0.000 1;t=8.038,P<0.000 1);b与BUO组相比,差异有统计学意义(t=7.038,P<0.000 1;t=13.980,P<0.000 1);c与BUO-R组相比,差异有统计学意义(t=6.749,P<0.000 1) Sham group:sham group:BUO group:bilateral ureter obstruction group;BUO-R group:bilateral ureter obstruction-released group;BUO-R+EPO group:bilateral ureter obstruction-released+erythropoietin group;AQP2:aquaporin-2;acomparing with Sham group,the differences were statistically significant (t=22.955,P<0.000 1;t=15.198,P<0.0001;t=8.038,P<0.000 1);bcomparing with BUO group,the differences were statistically significant (t=7.038,P<0.000 1;t=13.980,P<0.000 1);ccomparing with BUO-R group,the differences were statistically significant (t=6.749,P<0.000 1)


注:A:假手术组;B:双侧输尿管梗阻组;C:双侧输尿管梗阻-解除梗阻组;D:双侧输尿管梗阻-解除梗阻+促红细胞生成素干预组;AQP2:水通道蛋白2 A:Sham group;B:bilateral ureter obstruction group;C:bilateral ureter obstruction-released group;D:bilateral ureter obstruction-released+erythropoietin group;AQP2:aquaporin-2
Sham组ΔCt值最小,AQP2 mRNA表达最高,BUO-R+EPO组次之,BUO-R组再次,BUO组ΔCt值最大,AQP2 mRNA表达最低(P<0.05)。经公式2-ΔΔCt计算组间AQP2 mRNA表达量的相对倍数,结果显示Sham组是BUO组的(24.30±1.03)倍,是BUO-R组的(10.6±1.05)倍、是BUO-R+EPO组的(5.70±1.01)倍,BUO-R+EPO组是BUO-R组的(1.90±1.04)倍,见表4。

AQP2 mRNA在各组幼鼠肾脏中的相对表达量(
±s)
The relative quantitive of renal AQP2 mRNA expressions in young rats of each group(
±s)
AQP2 mRNA在各组幼鼠肾脏中的相对表达量(
±s)
The relative quantitive of renal AQP2 mRNA expressions in young rats of each group(
±s)
| 组别 | 只数 | AQP2 Ct值 | β-actin Ct值 | ΔCt值 | ΔΔCt值 | 倍数(2-ΔΔCt) |
|---|---|---|---|---|---|---|
| Sham组 | 8 | 18.30±0.11 | 21.90±0.19 | -3.70±0.18 | ||
| BUO组 | 8 | 23.70±0.14 | 22.80±0.25 | 0.90±0.23a | -4.60±0.05 | 24.30±1.03 |
| BUO-R组 | 8 | 22.20±0.15 | 22.50±0.22 | -0.30±0.11ab | -3.40±0.07 | 10.60±1.05 |
| BUO-R+EPO组 | 8 | 21.90±0.13 | 23.10±0.24 | -1.20±0.17abc | -2.50±0.01 | 5.70±1.01 |
注:Sham组:假手术组;BUO组:双侧输尿管梗阻组;BUO-R组:双侧输尿管梗阻-解除梗阻组;BUO-R+EPO组:双侧输尿管梗阻-解除梗阻+促红细胞生成素干预组;AQP2:水通道蛋白2;a与Sham组相比,差异有统计学意义(t=44.548,P<0.000 1;t=45.587,P<0.000 1;t=28.560,P<0.000 1);b与BUO组相比,差异有统计学意义(t=13.313,P<0.000 1;t=20.768,P<0.000 1);c与BUO-R组相比,差异有统计学意义(t=12.572,P<0.000 1) Sham group:sham group:BUO group:bilateral ureter obstruction group;BUO-R group:bilateral ureter obstruction-released group;BUO-R+EPO group:bilateral ureter obstruction-released+erythropoietin group;AQP2:aquaporin-2;acomparing with Sham group,the differences were statistically significant (t=44.548,P<0.000 1;t=45.587,P<0.000 1;t=28.560,P<0.000 1);bcomparing with BUO group,the differences were statistically significant (t=13.313,P<0.000 1;t=20.768,P<0.000 1);ccomparing with BUO-R group,the differences were statistically significant (t=12.572,P<0.000 1)
曝光胶片经凝胶灰度值分析软件分析,4组之间AQP2蛋白条带相对于内参条带的灰度值比较差异有统计学意义。Sham组表达量最高,BUO-R+EPO组次之,BUO-R组再次,而BUO组表达量最低(P<0.05),见图2、表5。

AQP2蛋白在各组幼鼠肾脏中的相对表达量(
±s)
The relative quantitive of renal AQP2 expressions in young rats of each group(
±s)
AQP2蛋白在各组幼鼠肾脏中的相对表达量(
±s)
The relative quantitive of renal AQP2 expressions in young rats of each group(
±s)
| 分组 | 只数 | AQP2相对表达量(内髓) | F值 | P值 |
|---|---|---|---|---|
| Sham组 | 8 | 0.970±0.024 | 869.16 | <0.000 1 |
| BUO组 | 8 | 0.430±0.018a | ||
| BUO-R组 | 8 | 0.540±0.022ab | ||
| BUO-R+EPO组 | 8 | 0.680±0.025abc |
注:Sham组:假手术组;BUO组:双侧输尿管梗阻组;BUO-R组:双侧输尿管梗阻-解除梗阻组;BUO-R+EPO组:双侧输尿管梗阻-解除梗阻+EPO干预组;AQP2:水通道蛋白2;EPO:促红细胞生成素;a与Sham组相比,差异有统计学意义(t=50.912,P<0.000 1;t=37.356,P<0.000 1;t=23.669,P<0.000 1);b与BUO组相比,差异有统计学意义(t=10.945,P<0.000 1;t=22.954,P<0.000 1);c与BUO-R组相比,差异有统计学意义(t=11.891,P<0.000 1) Sham group:sham group:BUO group:bilateral ureter obstruction group;BUO-R group:bilateral ureter obstruction-released group;BUO-R+EPO group:bilateral ureter obstruction-released+EPO group;AQP2:aquaporin-2;EPO:erythropoietin;acomparing with Sham group,the differences were statistically significant (t=50.912,P<0.000 1;t=37.356,P<0.000 1;t=23.669,P<0.000 1);bcomparing with BUO group,the differences were statistically significant (t=10.945,P<0.000 1;t=22.954,P<0.000 1);ccomparing with BUO-R group,the differences were statistically significant (t=11.891,P<0.000 1)


注:Sham组:假手术组;BUO组:双侧输尿管梗阻组;BUO-R组:双侧输尿管梗阻-解除梗阻组;BUO-R+EPO组:双侧输尿管梗阻-解除梗阻+EPO干预组;AQP2:水通道蛋白2;EPO:促红细胞生成素 Sham group:sham group:BUO group:bilateral ureter obstruction group;BUO-R group:bilateral ureter obstruction-released group;BUO-R+EPO group:bilateral ureter obstruction-released+EPO group;AQP2:aquaporin-2;EPO:erythropoietin
先天性肾积水临床常见,输尿管的机械性或功能性梗阻可导致肾小球滤过和肾小管处理水盐功能障碍[6]。临床发现即使解除梗阻,术后一定时间内患儿仍有大量稀释尿液[2]。动物实验表明,BUO-R大鼠解除输尿管梗阻30 d后,肾脏AQP2表达才恢复至正常水平[7]。AQP2是集合管控制水通透性的功能蛋白,在尿液浓缩和稀释过程中起重要作用。解除梗阻后短期内肾脏AQP2仍不能恢复原有水平,是术后患儿仍有大量稀释尿液的原因之一。如何促进输尿管梗阻解除后肾脏AQP2表达恢复正常、防止大量稀释尿液产生仍不清楚。
EPO是调节红系祖细胞增殖与分化的细胞因子,但是近来体内外实验表明EPO可以缓解肾脏细胞损伤[8,9]。Gong等[10]报道,EPO可以预防缺血再灌注损伤所致肾脏AQP2表达下调。本课题组前期采用幼鼠输尿管部分梗阻模型来研究EPO对输尿管梗阻肾脏AQP2表达的影响,结果显示EPO可防止输尿管部分梗阻所致AQP2下调[5]。但是EPO能否促进输尿管梗阻解除后肾脏AQP2表达的恢复,仍不清楚。文献报道BUO 24 h可导致大鼠肾脏集合管AQP2表达显著下降,常用于输尿管梗阻导致AQP2下降的相关研究[11]。本研究采用PE-50管包裹输尿管结扎法建立BUO-R幼鼠模型,来模拟临床手术解除梗阻后的患儿,并予中等剂量[12]EPO干预,结果发现BUO 24 h后,肾脏AQP2 mRNA和蛋白表达显著下调;BUO-R 48 h后,AQP2 mRNA表达有明显增加,而蛋白水平增加不明显;BUO-R+EPO组AQP2 mRNA和蛋白水平有显著增加,差异有统计学意义,这与本课题组前期研究结果[5]及Gong等[10]报道的结果类似。本研究同时对Sham、BUO-R和BUO-R+EPO 3组幼鼠尿液渗透压进行测定,结果显示BUO-R+EPO组尿液渗透压显著高于BUO-R组。说明BUO-R+EPO组幼鼠肾脏AQP2不仅表达增加,而且其功能也有所恢复,促进水的重吸收而使尿液渗透压升高。因此,EPO不仅可以从mRNA和蛋白水平促进BUO-R幼鼠肾脏AQP2表达的恢复,还可促进AQP2功能的恢复。
文献[12]报道EPO可通过磷脂酰肌醇2-激酶/蛋白激酶B(PI3K/AKT)、Wnt/β-catenin等信号通路发挥器官保护作用,可抑制一氧化氮的合成防止肾脏AQP2表达下调。本研究推测给予外源性EPO可能通过缓解肾脏细胞负担、防止集合管细胞凋亡等方式促进BUO-R幼鼠肾脏AQP2表达的恢复。本研究结果进一步表明,EPO不仅可以从基因和蛋白水平促进梗阻解除肾脏AQP2表达的恢复,还可以促进AQP2功能的恢复。但是EPO可能通过哪些信号通路促进AQP2基因的转录和翻译,增加AQP2的表达,仍有待进一步研究。





















