
人类正常细胞核中有22对常染色体与1对性染色体,但一些人细胞核内另有多余的常染色体片段,被称为编外标记染色体(small supernumerary marker chromosome,sSMC)。sSMC属于染色体结构异常,因其片段太小,并缺少明显的显带模式,无法通过传统的细胞遗传学显带技术进行识别,需要采用芯片比较基因组杂交或荧光原位杂交等多种分子生物学诊断方法才能确诊。由sSMC导致的染色体异常综合征较多,常见为Pallister-Killian综合征、等臂18p染色体综合征、猫眼综合征、Emanuel综合征。智力障碍人群中sSMC中发生率较高,临床缺乏特异性表现,随着分子细胞遗传学分析技术的提高,sSMC的识别率逐步提高。遗传咨询及产前诊断是减少sSMC发生的重要措施,分子生物学技术是明确sSMC的必要方法。现就sSMC相关18p染色体异常综合征的核型特点、发病机制、临床表现等进行综述。
版权归中华医学会所有。
未经授权,不得转载、摘编本刊文章,不得使用本刊的版式设计。
除非特别声明,本刊刊出的所有文章不代表中华医学会和本刊编委会的观点。
编外标记染色体(small supernumerary marker chromosome,sSMC)属于结构异常的染色体,可来源于人类46条染色体上的任一片段,往往缺乏特征性的条带特征,采用传统的核型分析技术通常无法识别,而需要联合使用分子生物学检测方法进行分析[1,2]。sSMC可引起多种染色体综合征,现就与18p相关的染色体异常综合征的核型特点、发病机制及临床表现等进行分析。
sSMC是指人类46条正常染色体以外结构异常的染色体,首次报道于1961年。因为sSMC太小,并且缺少明显的显带模式,所以无法通过传统的细胞遗传学显带技术进行识别,需要应用芯片比较基因组杂交(array-based comparative genomic hybridization,aCGH)、荧光原位杂交法(fluorescence in situ hybridization,FISH)等分子遗传学技术鉴定标记染色体的来源[1,2]。目前推测全球约存在300万sSMC携带者[3]。因为不同sSMC的来源、形状及基因含量各不相同,所以,目前共有约20种命名。其中微小SMC和环状SMC一般携带着丝粒,可导致部分三体综合征[4]。
sSMC的发生率在羊水细胞分析中为0.4‰~1.5‰,在活产婴儿中的发生率为0.14‰~0.72‰,在发育迟滞的患者中,sSMC的发生率可高达0.288%[1,5,6]。sSMC小于20号染色体,可来源于人类的任何一条染色体[7]。约70%来源于近端着丝的染色体,其中半数来源于15号染色体[7,8]。Starke等[9]报道1p、1q、2p、6p、6q、9p、12q的小近端三体异常患者可伴有临床症状与体征,2q、3p、3q、5q、7p、8p、17p、18p部分近端三体异常可能不伴有典型临床表现。临床表现的异质性可能与sSMC的大小、来源、嵌合度或单亲二倍体等有关[1]。sSMC 70%为新生,30%的sSMC是从父母之一遗传而来[4,7],由于新生异常导致的表型畸形的比率在逐渐上升,部分研究者预测sSMC可能是继21三体综合征之后第2常见的染色体异常[2]。如果sSMC是家族性的,其表型异常的风险较低,因为胎儿可能与父母携带者一样具有正常表型[5]。
已知4种sSMC导致的典型综合征:等臂12p染色体[i(12p)]导致的Pallister-Killian综合征,等臂18p染色体[i(18p)]综合征,第22号染色体22q11片段重复[i(22q)]导致的猫眼综合征,der(22) t (11;22)所致Emanuel综合征[4,5]。sSMC患者表现复杂,部分患者可表现类似Turner综合征的临床症状,在不育、发育迟缓、智力运动落后的患者中发生率是普通人群的45~60倍[10]。
sSMC携带者常为嵌合型,可能由于sSMC的核型异常导致,之后表现为嵌合样结构:47,XX,+min(9)(:p12→q12:)/47,XX,+min(9)(:p12→q12::q12→p12:)/47,XX,+r(9) (:p12→q12:)/47,XX,+r(9)(:p12→q12::p12→q12:)x2/46,XX[4,11]。
Fickelscher等[12]曾报道1例产前检查发现的嵌合型sSMC胎儿,人工流产后胎儿尸检发现sSMC在羊水细胞和心肌细胞的嵌合率分别为13%及62%,提示在不同细胞或组织中嵌合型的表达也各不相同。这也可以解释为什么至今仍无法准确总结sSMC嵌合型的临床特征。
UPD在sSMC中的发生率为5%~10%。除了传统的通过微卫星技术检测UPD外,单核苷酸多态性的比较基因组学(SNP-CGH)和甲基化聚合酶链反应(methylation-specific PCR,MS-PCR)也是检测UPD的方法之一[3,4,13]。
sSMC最常见的来源是15号染色体,但50%的sSMC (15)个体表型正常。起源于其他染色体的sSMC患者中8%可无明显临床表现[1]。当被确诊为sSMC异常后,预测表型异常的风险甚高,尤其是新发病例。因此,准确地识别sSMC类型、来源和组成对遗传咨询十分必要。
目前临床用于检测sSMC的方法主要包括整条染色体涂染FISH技术、基于玻璃针的染色体显微切割和反向染色体涂染、aCGH、着丝粒探针技术等[4,14]。在整条染色体涂染FISH技术中又包括多重FISH和光谱核型分析[14]。其他探针技术也可用于检测来源于常染色体的sSMC,如FISH显带技术、多色显带技术、亚着丝粒多色FISH技术[4]。检测方法较多,但各有利弊。如aCGH可检测sSMC中常染色体信息,但其无法检测嵌合型sSMC,需要联合sSMC显微切割技术进行分析;整条染色体涂染FISH技术只能检测sSMC的染色体来源,无法检测其来源的具体染色体区域等[4,15]。目前还没有一种技术可用于检测所有类型或来源的sSMC。
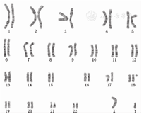
见图1。患者细胞核型中多出18号染色体短臂,核型为46,XX或XY,+18p[8]。


18p三体来源于不同的染色体异常分裂,如源于父母易位染色体的不平衡分离、复制、标记染色体或其他复杂的染色体结构异常[8]。由于累及的染色体片段不同,18p三体综合征患者的临床表型复杂。典型的常染色体复制一般可导致表型异常或不同程度的精神发育迟滞,但18p三体综合征患者可能并不表现明显的临床症状与体征[16]。因此,关于18p三体综合征报道较少。
18p三体综合征是部分18三体综合征的一种类型,因为获得的短臂区域包含核仁组织区,而该区域的功能基因较少,18p三体综合征的患者症状较轻,甚至表型正常,给临床诊断带来困难,需要依赖实验室检查获得诊断[16]。
自Jacobsen和Mikkelsen[17]于1968年报道第1例18p三体综合征之后,国内外仅报道了20例18p三体综合征患儿(表1),男、女各10例[5,18,19],其中5例为sSMC导致的18p三体综合征[6,8,20]。这20例18p三体综合征患儿以神经系统受累为主,16例(80.0%)精神运动障碍;10例颅面部畸形,占50.0%,如小头畸形、小嘴、低位耳、长人中、低鼻梁等;7例四肢畸形,占35.0%,如手指畸形、猿掌、马蹄足、摇摆椅足等;3例骨骼畸形,占15.0%,如髋关节脱位、肘外翻等。部分患者存在生殖器畸形、心脏病等。1例无临床症状,但所生双胎婴儿为18p四体综合征患者[21]。

文献报道的20例18p三体综合征患者的临床表现
The clinical manifestations of 20 patients with trisomy 18p syndrome reported world-wide
文献报道的20例18p三体综合征患者的临床表现
The clinical manifestations of 20 patients with trisomy 18p syndrome reported world-wide
| 临床表现 | 例数 | 百分比(%) | 临床表现 | 例数 | 百分比(%) | ||
|---|---|---|---|---|---|---|---|
| 神经系统 | 16 | 80.0 | 四肢畸形 | 7 | 35.0 | ||
| 精神运动障碍 | 16 | 80.0 | 拇指屈曲 | 1 | 5.0 | ||
| 癫痫/惊厥发作 | 3 | 15.0 | 手指畸形 | 2 | 10.0 | ||
| 肌张力异常 | 4 | 20.0 | 猿掌 | 1 | 5.0 | ||
| 先天性面神经麻痹 | 2 | 10.0 | 扁平足 | 1 | 5.0 | ||
| 颅面部异常 | 10 | 50.0 | 马蹄足 | 1 | 5.0 | ||
| 小头畸形 | 3 | 15.0 | 摇摆椅足 | 1 | 5.0 | ||
| 小嘴 | 1 | 5.0 | 骨骼畸形 | 3 | 15.0 | ||
| 内眦皱褶 | 3 | 15.0 | 内收腿 | 1 | 5.0 | ||
| 下颌内收 | 2 | 10.0 | 膝反张 | 1 | 5.0 | ||
| 窄腭 | 4 | 20.0 | 髋关节脱位 | 2 | 10.0 | ||
| 低位耳 | 2 | 10.0 | 肘外翻 | 1 | 5.0 | ||
| 长人中 | 1 | 5.0 | 其他 | ||||
| 低鼻梁 | 2 | 10.0 | 生殖器畸形 | 1 | 5.0 | ||
| 发际线偏低 | 3 | 15.0 | 器质性心脏病 | 1 | 5.0 | ||
| 宽眉距 | 3 | 15.0 | 乳头异常 | 2 | 10.0 | ||
| 颈部皮肤赘皮 | 2 | 10.0 | |||||
18p四体是罕见的染色体异常,也是等臂染色体异常中最常见的一种,其产生是由于出现1条编外等臂染色体,该染色体上存在2条相同的18p,因此18染色体上存在4条短臂染色体[22]。
18p四体综合征在活产婴儿中的发生率约为1/140 000[22]。嵌合型18p四体综合征胎儿大多于产前诊断发现并终止妊娠,临床少见[23]。而目前已发现的18p四体综合征患儿中绝大多数为减数分裂时期新生突变所致[24]。迄今报道的家族性病例中主要为母系遗传,孕妇高龄是导致该病的危险因素之一[25]。该病产生的原因是卵母细胞减数分裂Ⅱ期的同源染色体不分离及着丝粒错误分裂,确切的发生机制尚待探讨[25]。
18p四体综合征患儿的临床表现见表2。18p四体综合征于1963年首次报道,18染色体短臂上包含约60个已知基因,因此18p四体综合征的临床表现复杂。与18三体综合征相比,本病患者一般不伴需要临床干预的严重先天性心肺功能缺陷[22]。

18p四体综合征患儿的常见临床表现(46例)
The clinical manifestations of patients with tetrasomy 18p syndrome(46 cases)
18p四体综合征患儿的常见临床表现(46例)
The clinical manifestations of patients with tetrasomy 18p syndrome(46 cases)
| 临床表现 | 发生频率(例) | 百分比(%) | 临床表现 | 发生频率(例) | 百分比(%) |
|---|---|---|---|---|---|
| 智力运动迟滞/发育落后 | 45/45 | 100.0 | 长人中 | 10/24 | 41.7 |
| 身材矮小 | 12/21 | 57.1 | 小嘴 | 22/28 | 78.6 |
| 小头畸形 | 34/46 | 74.0 | 小下颌 | 14/31 | 45.2 |
| 痉挛性瘫痪/肌张力增高 | 26/32 | 81.3 | 凸颚 | 6/20 | 30.0 |
| 低位耳/畸形耳 | 36/42 | 85.7 | 疝/隐睾 | 9/25 | 36.0 |
| 斜视 | 17/26 | 65.4 | 猿掌 | 13/25 | 52.0 |
| 睑裂上斜 | 7/18 | 38.9 | 脊柱侧凸 | 18/36 | 50.0 |
| 睑裂下斜 | 11/18 | 61.1 | 心肌病/心脏疾病 | 4/19 | 21.1 |
| 小肉鼻 | 26/43 | 60.5 | 肾脏畸形 | 7/32 | 21.9 |
| 高腭弓 | 27/43 | 62.8 | 癫痫 | 7/21 | 33.3 |
临床统计发现,18p四体综合征男、女均可发病,平均出生体质量为2 519 g;平均出生身长50.1 cm[23,24]。最常见的临床表现包括喂养困难、生长发育延迟、智力运动落后、小头畸形、斜视、肌张力异常、脊柱后凸/侧凸等,多伴头颅磁共振成像(MRI)异常[23,26]。表观异常包括长颅、低位耳、双耳畸形、内眦赘皮、短或宽睑裂、小鼻、高腭弓、小嘴、小颌畸形[23,27]。发育延迟及认知障碍也较为常见[22]。其他常见的临床表现包括癫痫、新生儿黄疸、复发性中耳炎、呼吸窘迫、听力丧失、屈光不正、弱视、虹膜萎缩、散光、便秘、胃食管反流、心脏畸形、扁平足、马蹄内翻足、肾脏畸形、疝气、脊髓脊膜膨出[22,23,25]。"痉挛"或"肌张力增高"以及对生长激素刺激试验不敏感的矮小也较常出现[23,26]。Swingle等[27]报道了1例41岁患者,其幼年时期被诊断为"F三体综合征",之后确诊为18p四体综合征,该患者逐渐出现精神发育迟滞,伴有攻击、破坏及自残行为。此外,一些患者也可出现焦虑症、烦躁、刻板行为及其他精神疾病,因此需要更多的行为管理及社交技巧训练,以改善生活质量[25,27,28]。
对这类染色体遗传病的诊断,传统的细胞遗传学检测仅仅是第一步,FISH法是目前确诊的快速、准确的方法[24]。因为不同的染色体起源、常染色质的含量、嵌合与否、父母的起源、基因组印记效应的潜力、常染色体隐性突变(单亲二体型病例)、性染色体的sSMC携带等均可导致该类染色体的表型复杂,所以,分子遗传学分析方法是确诊的有效手段[24]。对确诊为18p四体综合征的患儿家族应进行遗传咨询、父母染色体分析或FISH检查,定期进行视力、心脏、肾脏、骨骼、脊柱、神经系统、胃肠道、内分泌、发育评估[23]。
总之,sSMC是遗传咨询工作中的难点,其表型异常的风险很难评估,大范围的调查研究也未能获得确切的风险指数。产前诊断是预防sSMC再发的关键,快速准确地检测sSMC来源很重要。目前,国内外较多依赖丝粒特异性多色荧光原位杂交法(centromere-specific multicolor-FISH,cenM-FISH)、亚着丝粒特异性多色荧光原位杂交法(subcentromere-specific multicolor FISH,subcenM-FISH)、aCGH等技术检测sSMC[4,5,29]。智力障碍人群中sSMC发生率较高,缺乏特异性,即使在轻度智力运动落后的患儿也存在sSMC的可能性,需要临床医师提高警惕,提高诊断率,染色体核型分析、FISH及aCGH联合分析,协助遗传咨询与产前诊断,降低其发生率[30]。





















