
探讨STAT3基因单核苷酸多态性(SNP)位点rs1053005和rs744166的多态性以及该基因的表达量与我国湖北地区儿童急性淋巴细胞白血病(ALL)危险度的相关性。
采用病例对照研究的方法,分别选取184例ALL及377例健康儿童(健康对照组)作为研究对象。利用限制性片段长度多态性方法检测SNP的多态性分布,利用实时荧光定量PCR方法检测STAT3基因的表达量;利用SPSS 16.0软件进行统计分析。
1.STAT3基因rs1053005位点的3种基因型GG、AG和AA频率在ALL组及健康对照组间差异有统计学意义(χ2=6.737,P=0.034);且等位基因A频率差异存在统计学意义(χ2=5.853,P=0.016),A等位基因为风险因子。而rs744166位点的3种基因型在2组之间的频率分布差异无统计学意义(χ2=1.866,P=0.393)。2.ALL患儿分为高危、中危和标危3组,分析发现rs1053005位点的3种基因型在不同的危险度分层之间的频率分布差异无统计学意义(χ2=0.335,P=0.987)。3.rs1053005位点AA基因型患儿STAT3基因的表达水平低于GG基因型的患儿,差异有统计学意义(t=4.758,P=0.009);并且ALL中,高危患儿该基因的表达量低于标危的ALL患儿,差异有统计学意义(t=5.284,P=0.007)。
STAT3基因SNP rs1053005位点基因的多态性与儿童ALL相关,并且该基因的表达水平可能与ALL患儿的危险度相关。
版权归中华医学会所有。
未经授权,不得转载、摘编本刊文章,不得使用本刊的版式设计。
除非特别声明,本刊刊出的所有文章不代表中华医学会和本刊编委会的观点。
STATs是一类存在细胞的胞质中,激活以后转入细胞核内,与相应DNA结合的蛋白质家族,具有信号转导和转录调控的双重功能[1]。该家族与肿瘤的发生发展有密切关系,其中STAT3被认为是一种癌基因。生理状态下,STAT3基因的激活短暂而迅速,但在一些癌变的细胞中,由于部分生长因子以及细胞因子的失调,导致STAT3基因激活并处于长时间异常表达状态,进而促使肿瘤细胞增殖并抑制其凋亡[2,3,4]。研究发现该基因与成人急性粒细胞白血病以及与慢性粒细胞白血病相关[5,6],且Yan等[7]研究发现敲除STAT3基因可以促进骨髓细胞增殖,且可能增加骨髓增生性肿瘤疾病的严重程度。本研究以儿童急性淋巴细胞白血病(ALL)为研究对象,探讨STAT3基因的多态性以及表达量与ALL危险度分层的相关性。
选取2011年6月至2014年6月在武汉市妇女儿童医疗保健中心血液内科住院的ALL患儿184例(ALL组)。纳入标准:符合中华医学会儿科学分会血液学组制定的《儿童急性淋巴细胞白血病诊疗建议(第三次修订草案)》[8]。184例ALL患儿中,男107例,女77例;年龄(5.64±3.49)岁(5个月~13岁)。同时纳入377例体检正常的儿童作为健康对照组。其中男213例,女164例;年龄(5.56±3.51)岁(6个月~13岁5个月)。2组性别、年龄比较差异均无统计学意义(P均>0.05)。本研究得到患儿家属知情同意,获武汉市妇女儿童医疗保健中心医学伦理委员会的批准。
184例ALL患儿中,65例融合基因检测阳性,总检出率为35.2%。其中TEL/AML1融合基因39例(21.2%);E2A/PBX1 10例(5.4%);BCR/ABL 12例(6.5%),MLL-AF9 2例(1.0%),MLL-PTD 1例(0.5%),MLL/AF4 1例(0.5%)。184例ALL组患儿通过免疫分型分为B淋巴细胞白血病(178例)和T淋巴细胞白血病(6例),其中153例患儿危险度分层明确,按照诊疗建议分为标危54例、中危57例、高危42例。
摘录住院病史,收集患儿临床资料,包括性别、年龄等一般资料以及分子检测的融合基因、临床危险度分层等资料。
取ALL患儿及健康对照儿童静脉血2 mL,利用酚氯仿抽提的方法提取基因组DNA,并测定浓度。以DNA为模版分别扩增含有单核苷酸多态性(SNP)位点的DNA片段。设计引物:F1:CTGGAGTACAAACCCTGAACC,R1:TCCTGTGGCATTTGGTATTCAG;F2:CCGGATTTGGCAACTCAAAAC,R2:TTATGTACTGAAGAGTGTTGCTGG。PCR总反应体系为25 μL,含10倍PCR反应缓冲液2.5 μL,10 mmol/L dNTP混合液1 μL,10 μmol/L引物各1 μL,Taq酶1U;反应条件:94 ℃ 3 min;94 ℃ 30 s,55 ℃ 30 s,72 ℃ 30 s,共34个循环。取5 μL扩增的产物分别利用限制性内切酶(美国NEB公司)AluI和DdeI进行酶切分析。
取ALL患儿做融合基因检测剩余的骨髓RNA标本,用TAKARA反转录试剂盒反转录成cDNA,利用SYBR Green荧光染料做相对定量。其中STAT3定量引物如下:上游引物CAGCTGGAACAGATGCTCACTG,下游引物:GCCTCCAATGCAGGCAATCTG;扩增内参基因β-actin引物:上游引物:CGACAGGATGCAGAAGGAGAT,下游引物:TCAAGAAAGGGTGTAACGCAACTA。
采用SPSS 16.0软件进行数据分析。频率计数法计算2组基因型和等位基因频率,利用Hardy-Weinberg遗传平衡定律检验。各组间基因型频率分布和等位基因频率分布以及计数资料的组间比较采用χ2检验;计量资料以
±s表示,组间差异符合正态分布采用t检验,不符合正态分布的数据采用非参数检验,P<0.05为差异有统计学意义。
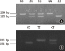
利用限制性片段长度多态性方法确定该SNP位点的基因型,经检验各组均符合Hardy-Weinberg遗传平衡定律。2个SNP位点的确定如图1所示;rs1053005位点的3种基因型在ALL组及健康对照组之间分布差异有统计学意义;且2组之间等位基因A的频率分布也存在统计学意义,A等位基因为风险因子,见表1。而rs744166位点的3种基因型在ALL组及健康对照组之间分布差异无统计学意义,见表2。


注:A:rs1053005位点的3种基因型;B:rs744166位点的3种基因型 A:3 genotypes of rs1053005 in STAT3 gene;B:3 genotypes of rs744166 in STAT3 gene

健康对照组和ALL组儿童STAT3基因rs1053005位点基因型及等位基因频率分布[例(%)]
Genotype and allele frequencies of STAT3 gene rs1053005 between ALL group and control group[n(%)]
健康对照组和ALL组儿童STAT3基因rs1053005位点基因型及等位基因频率分布[例(%)]
Genotype and allele frequencies of STAT3 gene rs1053005 between ALL group and control group[n(%)]
| 组别 | 例数 | 基因型 | 等位基因 | ||
|---|---|---|---|---|---|
| AA | AG | GG | A | ||
| 健康对照组 | 377 | 161(42.7) | 173(45.9) | 43(11.4) | 495(65.6) |
| ALL组 | 184 | 94(51.1) | 80(43.5) | 10(5.4) | 268(72.8) |
| χ2值 | 6.737 | 5.853 | |||
| P值 | 0.034 | 0.016 | |||
注:ALL:急性淋巴细胞白血病 ALL:acute lymphoblastic leukemia

健康对照组和ALL组儿童STAT3基因rs744166位点基因型及等位基因频率分布[例(%)]
Genotype and allele frequencies of STAT3 gene rs744166 between ALL group and control group[n(%)]
健康对照组和ALL组儿童STAT3基因rs744166位点基因型及等位基因频率分布[例(%)]
Genotype and allele frequencies of STAT3 gene rs744166 between ALL group and control group[n(%)]
| 组别 | 例数 | 基因型 | 等位基因 | ||
|---|---|---|---|---|---|
| CC | CT | TT | C | ||
| 健康对照组 | 377 | 79(21.0) | 186(49.3) | 112(29.7) | 344(45.6) |
| ALL组 | 184 | 34(18.5) | 85(46.2) | 65(35.3) | 153(41.6) |
| χ2值 | 1.866 | 1.641 | |||
| P值 | 0.393 | 0.201 | |||
注:ALL:急性淋巴细胞白血病 ALL:acute lymphoblastic leukemia
ALL患者在发病初期多数具有WBC数量升高的特征,因在rs1053005位点的多态性与ALL的发病相关,本研究分析了3种基因型的患者初诊时WBC指标的差异:AA基因型94例,WBC计数为(26.4±57.3)×109/L,AG基因型80例,WBC计数为(19.8±43.7)×109/L;而GG基因型10例,WBC计数为(16.9±15.3)×109/L,3组比较差异无统计学意义(H=2.589,P=0.274)。
184例ALL患儿中,153例患儿危险度分层明确,其中标危54例,中危57例,高危42例,3组之间基因型分布差异无统计学意义(χ2=0.335,P=0.987),见表3;比较不同基因型之间STAT3基因的表达量发现GG基因型患儿STAT3基因表达量显著高于GA和AA基因型患儿,差异均有统计学意义(t=5.622,P=0.007;t=4.758,P=0.009)。标危ALL患儿STAT3基因表达量较高,高于中危ALL患儿,但差异无统计学意义(t=1.602,P=0.185);标危ALL患儿STAT3基因表达量显著高于高危患儿,差异有统计学意义(t=5.284,P=0.007),见图2。


注:A:不同基因型患儿之间STAT3基因的表达量;B:不同危险度患儿STAT3基因的表达量 A:the expression level of different genotypes; B:the expression level of different risk degree

STAT3基因多态性与急性淋巴细胞白血病患儿危险度的相关性[例(%)]
Association between polymorphism of STAT3 gene and the risk degree of acute lymphoblastic leukemia[n(%)]
STAT3基因多态性与急性淋巴细胞白血病患儿危险度的相关性[例(%)]
Association between polymorphism of STAT3 gene and the risk degree of acute lymphoblastic leukemia[n(%)]
| 组别 | 例数 | 基因型 | ||
|---|---|---|---|---|
| AA | AG | GG | ||
| 标危组 | 54 | 27(50.0) | 23(42.6) | 4(7.4) |
| 中危组 | 57 | 29(50.8) | 25(43.8) | 3(5.4) |
| 高危组 | 42 | 20(47.6) | 19(45.2) | 3(7.2) |
| χ2值 | 0.321 | |||
| P值 | 0.988 | |||
STAT3广泛表达于不同的组织和细胞中,与细胞的恶性转化,肿瘤细胞的增殖及转移密切相关[9,10]。STAT3基因位于17q21.1区域,其DNA全长4.8 kb,由24个外显子组成,编码770个氨基酸组成的蛋白质。STAT3可被多种细胞因子、生长因子以及致癌因子激活,而活化的STAT3单体可通过Src同源结构域(SH2)与另外一个STAT3单体形成二聚体进入细胞核,从而调节靶基因转录[11]。
STAT3基因的多态性与一些疾病的易感性相关,Xiao等[12]研究发现STAT3基因多态性与自身免疫性甲状腺疾病相关;Jakkula等[13]利用全基因组关联分析发现该基因与多发硬化症相关;日本一研究小组发现该基因的多态性可作为转移性肾癌治疗药物的预测指标[14];德国一研究小组研究表明该基因的多态性影响STAT3基因的表达水平,并且表达量的变化影响慢性粒细胞白血病患者对干扰素治疗的反应[5]。国内一研究小组发现异常激活JAK/STAT信号通路会导致白血病细胞异常的生长、分化以及凋亡,并且JAK基因、STAT3基因以及STAT5基因的多态性影响JAK/STAT信号通路[15]。
本研究发现STAT3基因的一个SNP位点(rs1053005)的多态性与ALL的易感性相关,该位点位于STAT3基因的3'端非编码区,该SNP的多态性可能影响STAT3基因的表达水平,进而影响JAK/STAT信号通路;本研究定也证实:携带GG基因型的患儿骨髓STAT3基因的表达水平显著高于其他基因型的患儿,对下游信号通路的影响需要进一步证实。rs744166位点位于STAT3基因的内含子区域,与ALL的发病不具有相关性,说明该位点的多态性可能不影响STAT3基因的表达水平,进而对下游的细胞因子无影响。
对ALL组患儿进行危险度分层,分为高危组、中危组以及标危组,本研究表明3组之间SNP位点的基因型差异不存在统计学意义。但研究发现高危组患儿STAT3基因的表达量显著低于其他基因型的患儿,推测STAT3基因的低表达可能增加ALL的严重程度。Adamaki等[16]研究发现儿童ALL患者STAT3基因的表达量显著低于健康人,且Yan等[7]利用STAT3基因敲除的小鼠模型研究发现不表达或者低表达STAT3可增加骨髓增生性疾病的严重程度,本研究结果与之一致。
综上所述,本研究发现STAT3基因上的一个SNP(rs1053005)位点的多态性与我国中部地区儿童急性白血病的易感性相关,且该基因的表达量可能影响白血病的危险度分层;该结论对深入了解白血病的致病机制有一定帮助。本研究仍存在一定的局限:STAT3表达水平的定量仅做了mRNA水平,今后需检测蛋白水平及其磷酸化水平,进一步探讨该基因与儿童白血病的相关性。





















