
探讨空心螺钉内固定治疗青少年胫骨远端骨骺骨折的临床疗效。
2005年2月至2014年9月上海市儿童医院收治的胫骨远端骨骺骨折39例,男24例,女15例;年龄10.5~16.2岁,平均13.1岁;右踝29例,左踝10例。术前经X线片或CT检查确诊。全部病例均为闭合性骨折,经手法复位治疗失败(X线片或CT骨折间隙>2 mm)后行手术治疗。手术在"C"型臂X线机监视下进行,行踝关节轴向牵引,根据骨折类型内旋或外旋足,达到解剖复位后行经皮空心螺钉固定,如不能达到解剖复位则行切开复位空心螺钉固定。经皮空心螺钉固定30例,切开复位空心螺钉固定9例。术后行X线或CT检查,确定骨折解剖复位,骺板及关节面骨折间隙<2 mm。术后短腿石膏固定4~6周。以美国足踝外科协会(AOFAS)评估标准评价踝关节功能及愈合情况。
全部病例随访5~91个月,平均35个月。X线片检查所有病例均骨性愈合,未发现关节面不平整现象,无踝关节内外翻和短缩畸形。AOFAS评分系统评判结果为优27例,良10例,一般2例。患儿均能参加正常的体育活动。
CT多维重建是获得准确诊断,选择合理入路的前提;对于胫骨远端骨骺骨折手法复位失败者,采用空心螺钉固定方法手术操作简单,疗效满意。
版权归中华医学会所有。
未经授权,不得转载、摘编本刊文章,不得使用本刊的版式设计。
除非特别声明,本刊刊出的所有文章不代表中华医学会和本刊编委会的观点。
青少年胫骨远端骨骺骨折约占所有骨折的5%,发病率为全身骨骺损伤的第3位,仅次于手指和桡骨远端骨骺骨折[1]。高发年龄为8~15岁,男童约为女童的2倍。与成人踝关节骨折原因类似,青少年踝关节骨折发生在体育活动、旋转活动和方向突然变化的过程中。当然,不同的损伤机制会产生不同的骨折类型,包括Ⅰ~Ⅴ型的Salter-Harris骨骺损伤和特殊类型如青少年Tillaux骨折和Triplane骨折,其中Ⅱ型Salter-Harris骨骺骨折最为常见[2]。胫骨远端骨骺骨折易发生骨骺早闭而引起一系列的并发症诸,如肢体短缩、踝内外翻畸形等,或因关节内骨折未满意复位则可能出现退行性关节炎,从而导致踝关节功能障碍,因此远端骨骺解剖复位至关重要。临床上治疗方法很多,如单纯手法复位石膏固定、闭合复位内固定等。本研究采用经皮空心螺钉固定或切开复位空心钉固定的方法治疗胫骨远端骨骺骨折,通过美国足踝外科协会(AOFAS)踝与后足功能评分系统评价踝关节功能及愈合情况,探讨应用上述方法治疗青少年胫骨远端骨骺骨折的疗效。
2005年2月至2014年9月上海市儿童医院收治的胫骨远端骨骺骨折39例。其中男24例,女15例;年龄10.5~16.2岁,平均13.1岁;右踝29例,左踝10例。术前经X线片或CT检查确诊,明确分型(骨骺损伤Salter-Harris分型:Ⅰ型,骨骺分离;Ⅱ型,骨骺分离伴干骺端骨折;Ⅲ型,骨骺骨折;Ⅳ型,骨骺和干骺端骨折;Ⅴ型,骺板挤压性损伤;Triplane骨折:三平面骨折;Tillaux骨折:下胫腓前韧带在胫骨的起点处发生的撕脱骨折)。Salter-Harris Ⅱ型15例;Salter-Harris Ⅲ型14例,其中内踝骨折9例,Tillaux 5例;Salter-Harris Ⅳ型内踝骨折2例;Triplane骨折8例。全部病例均为闭合性骨折,经手法复位治疗失败(X线片或CT骨折间隙>2 mm)后行手术治疗。本研究获得上海市儿童医院医学伦理委员会批准,患儿监护人知情并同意。
全身麻醉或蛛网膜下腔阻滞麻醉满意后,患儿于仰卧位在"C"型臂X线机监视下先行踝关节轴向牵引,根据骨折类型内旋或外旋足,达到解剖复位后行经皮空心螺钉固定(3~4 mm半螺纹空心钉1~3枚)。本组病例经皮空心螺钉固定30例,9例不能达到解剖复位则行切开复位空心螺钉内固定。术中显露骨折断端后反复冲洗骨折间隙以清理碎屑,并清除嵌插于骨折间的骨膜。直视下复位,经C型臂X线机确认解剖复位后,用2枚以上的直径为3~4 mm半螺纹空心钉进行固定。
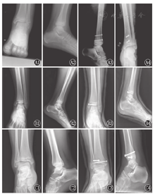
术后复查X线片或CT确定骺板和关节面达到解剖复位,短腿石膏固定4~6周。在石膏固定期间禁止患肢负重。4~6周摄片及临床检查均证实骨折坚强愈合后再让患儿开始进行功能锻炼(图1、图2)。


注:A:Salter-Harris Ⅱ型骨折(男,11岁);B:Salter-Harris Ⅲ型骨折(男,10岁);C:Triplane骨折(男,13岁);1~2:术前;3~4:术后6周
A:Ⅱ type Salter-Harris fracture (male,11 years old);B:Ⅲ type Salter-Harris fracture (male,10 years old);C:Triplane fracture (male,13 years old);1-2:preoperative;3-4:6 weeks after operation


注:A~C:术前;D~E:术后6周
A-C:preoperative;D-E:6 weeks after operation
踝关节功能采用AOFAS踝与后足功能评分系统[2],根据疼痛,功能和自主活动、支撑情况,最大步行距离,地面步行,异常步态,屈伸活动,内翻外翻活动,踝-后足稳定性,足部对线9个参数来进行评判。评分标准:优(90~100分),良(75~89分),一般(50~74分),差(<50分)。
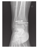
39例患者随访5~91个月,平均35个月。AOFAS评分系统评判结果为优27例,良10例,一般2例。患者踝关节稳定,抽屉及内外翻试验均阴性,无步态异常。患儿均能参加正常的体育活动。9例患者偶有运动后踝关节轻度疼痛。随访中患者均行X线复查。空心钉拔除后1年患儿均接受踝关节X线复查,无骨骺早闭病例(图3)。检查结果显示所有病例均骨性愈合,未发现关节面不平整现象,未发现双下肢不等长和踝关节畸形。39例患者伤口愈合良好,无伤口感染发生。全部病例中已有28例内固定物取出,其中1例术前发现空心钉折断,选用专用空心钻完整取出,未伤及骺板和关节面(图4)。


A:Salter-Harris Ⅱ型骨折;B:Salter-Harris Ⅲ型骨折;C:Triplane骨折;D:Tillaux骨折
A:Ⅱ type Salter-Harris fracture;B:Ⅲ type Salter-Harris fracture;C:Triplane fracture;D:Tillaux fracture


X线检查是运动系统损伤的常规检查,但临床上X线检查在诊断青少年踝关节损伤中多有局限性:(1)易漏诊误诊;(2)不能判断踝关节损伤程度;(3)对于需要手术的患儿手术方案选择和手术入路帮助不大。例如Triplane骨折,其骨折通过胫骨远端骨骺矢状面并且骨折线延入到轴位平面和冠状面,所以也称作三平面骨折,典型的三平面骨折实为Salter-Harris Ⅱ型骨折和幼年型Tillaux骨折的结合[3],但是在前后位和侧位X线上却常表现为Salter-Harris Ⅱ~Ⅳ型骺损伤,容易延误治疗造成踝关节功能受限和畸形发生。CT多维扫描有助于显示骨折线的延伸范围,较平片更清晰的显示骨折块的数量、骨折的类型和移位情况[4]。Cutler等[5]的研究认为CT检查能更好地判断螺钉进入点和固定方向,并且提出CT和平片一样均应作为胫骨远端骨骺损伤的术前常规检查,对于手术方案的制定起到很重要的作用。本研究是对于>10岁,外伤后踝关节明显肿胀的患儿(特别是不敢负重)常规进行CT多维扫描。
胫骨远端骺板Salter-Harris Ⅰ型和Ⅱ型骨折通常采用闭合复位和长腿管型石膏固定。年龄稍小的患儿在闭合复位后仍存在少于2 mm的移位,尤其是前后方向的移位是可以接受的,但是年长儿童的Salter-Harris Ⅰ型和Ⅱ型骨折合并内翻或外翻畸形则不能自行矫正。可接受的成角主要取决于患者的生长潜力,对于有2年以上生长潜力的患者,手法复位后骨折成角应为跖屈<15°,足外翻<10°,内翻为0°。对于生长潜力不足2年的患者上述角度均应<5°[6],如果手法复位不能解除这种畸形应尽量选择切开复位。多数Salter-Harris Ⅲ、Ⅳ型骨折以及Triplane骨折和Tillaux骨折需要切开复位和内固定。Spiegel等[7]对237例胫腓骨远端骨骺损伤的患者进行回顾性研究,将胫骨远端骨骺损伤依据Salter-Harris分型和骨折移位情况和发生并发症的概率分为低危组、高危组和不可预测组。移位<2 mm的Salter-Harris Ⅲ、Ⅳ型骨折属低危组,可保守治疗;移位>2 mm的Salter-Harris Ⅲ、Ⅳ型骨折属高危组,应切开复位以降低生长停滞的发生。但也有学者认为Salter-Harris Ⅲ、Ⅳ型骨折骨折均应达到解剖复位[8]。作者的原则是如果骨折移位2 mm以上者先手法复位石膏固定;复位失败(复位后骨折间隙仍>2 mm),行经皮空心螺钉固定;复位后骨折仍移位明显或有骨膜卡压者,行切开复位空心螺钉固定,在复位骨折端时清除卡压骨膜,这样可减少骨骺早闭的发生,有利于骨折的愈合。
内固定物的选择有很多,如克氏针、松质骨螺钉、空心螺钉、可吸收钉等。可吸收钉越来越受到小儿骨科医师的青睐,因为避免了二次取出手术,减少取钉带来的骨骺创伤和黏连,节约了金钱资源,但是其强度有限,对于年龄偏大(>10岁)或者体质量偏大的患儿要慎用。本研究选择空心钉作为内固定物首选,是因为其加压和固定作用更为牢靠,且在手术时间和术后并发症方面与可吸收钉无明显差异[9],但因其螺纹对骺板损伤大,对骨骺未闭合的患儿,绝对禁止螺钉穿过骺板。术中以克氏针作为导向,既可以调节又能起到加压作用,这样减少了解剖复位的困难并且有利于关节软骨的修复。对于Salter-Harris Ⅱ型骺损伤和部分三平面骨折的患儿,移位的干骺端多在后侧,根据空心钉治疗原理从后侧入路,空心钉加压作用更好,但手术难度大,创伤大;前侧入路手术难度小,特别是闭合复位成功后便于经皮内固定,创伤小,二期取钉方便。如何避免前入路加压不足的缺点,作者的经验是:(1)尽量选择短螺纹的空心钉。(2)选择略长的空心钉,当空心钉穿出后侧干骺端的骨皮质后,继续推进1、2个螺纹。另外需要注意对于骨骺骨折空心钉应尽量平行骺板,避免穿透骺板,因为穿透骺板后会对已经受损的骺板造成二次伤害,会导致骨骺早闭的发生,通常Tillaux骨折发生于骨骺接近于完全闭合之前,因此不必担心螺钉穿过骺板。
累及胫骨远端骺板及关节面的骨折易发生2类并发症:一是胫骨远端骺板早闭所引起的踝关节内、外翻畸形及肢体短缩;二是胫骨远端关节面受损所引起的踝关节退行性变及骨性关节炎。创伤性关节炎往往是继发于创伤后所造成的对于关节软骨破坏以及坏死,关节软骨下骨出现缺血性坏死、关节面不连续等,或术后残留的关节面塌陷、对位不良、植骨不充分,以及关节内骨折时固定时间过长也是引起的重要原因[10]。但根据国外学者的长期随访报道,青少年该类型骨折的并发症较少,踝关节功能恢复优良,预后较好[11]。石青等[12]报道的15例胫骨远端三平面骨折患儿切开复位空心钉内固定术后68个月随访资料,未发现小腿短缩、旋转及踝关节内、外翻等畸形。本组病例随访5~91个月,目前无一例因踝关节畸形及肢体短缩或踝关节退行性变及骨性关节炎需再治疗的病例。原因可能为:(1)受伤年龄接近胫骨远端骨骺闭合时间,即使损伤其产生短缩及成角畸形的潜力也较小,不会带来明显后果[13]。(2)对关节内骨折,如达到或接近解剖复位,移位<2 mm,则对踝关节功能影响不大。(3)Carothers和Cremhaw发现导致骺板永久性的损伤很大程度上是由于受伤时踝关节处于内收位所致。本研究16例受伤时踝关节处于内收位,所占比例少[8]。
本组1例患儿术后6个月复查时发现其中一枚空心螺钉断裂,对于断钉,临床发生率低,主要原因包括:(1)为避免伤及骺板和关节面,选择了较细的空心钉。(2)留置时间过长。(3)患儿自我保护差,术后参与剧烈运动。如何避免?本研究经验:(1)尽量选择粗的空心钉。过骨骺的空心钉,选择骨骺厚度2/3直径的空心钉为宜。术中导针定位非常重要,避免伤及骺板和关节面。(2)留置时间不能过长,本组患儿一般选择术后4~6个月取出内固定。(3)术后健康宣教,避免剧烈运动,加强自我保护。如果出现断钉,应及早发现,此时断钉的断端移位小,便于导针插入,再用空心钻完整取出;反之取钉困难,可考虑不取。





















