
探讨新生早产儿和足月儿持续肺动脉高压(PPHN)发病的高危因素。
收集56例PPHN新生儿资料,分为早产儿组和足月儿组,回顾性分析2组原发疾病、母亲妊娠期并发症与PPHN的关系及其不同转归。3例死亡患儿行尸体解剖、肺部病理学检查。
PPHN患儿足月儿29例,早产儿27例。原发于肺部病变者31例(31/56例,55.36%),足月儿原发病首位及第2位分别为胎粪吸入综合征(MAS,9/29例,31.03%)和先天性心脏病(8/29例,27.59%),早产儿分别为新生儿呼吸窘迫综合征(RDS,16/27例,59.26%)和感染(8/27例,29.63%)。早产儿母亲患妊娠期疾病者占55.56%(15/27例),足月儿母亲妊娠期疾病者占27.59%(8/29例)。早产儿和足月儿2组母亲有妊娠期并发症者比较差异有统计学意义(χ2=4.519,P=0.034)。早产儿未愈率33.33%(9/27例),原发病均为RDS(100%,9/9例);足月儿未愈率27.59%(8/29例),其中原发病为MAS者占50%(4/8例)。2组未愈率比较差异无统计学意义(χ2=0.218,P=0.640)。3例死亡患儿肺部病理学检查发现,肺泡毛细血管发育不良1例,高血压性肺血管重塑1例,间质性肺炎改变1例。
早产儿在PPHN患儿中比例升高,RDS和感染为早产儿PPHN最常见原因。MAS是足月儿发生PPHN的首位原因。对严重PPHN的新生儿,原发性肺动脉高压需得到重视。
版权归中华医学会所有。
未经授权,不得转载、摘编本刊文章,不得使用本刊的版式设计。
除非特别声明,本刊刊出的所有文章不代表中华医学会和本刊编委会的观点。
新生儿持续肺动脉高压(PPHN)指新生儿出生后肺血管的阻力持续性升高,肺动脉压大于体循环压,由胎儿型循环向正常"成人"型循环的过渡出现障碍,血液在卵圆孔和/或动脉导管水平出现双向分流或右向左分流,低含氧量血液进入体循环导致持续低氧血症的病理生理过程,常伴心肌功能障碍和体循环阻力的下降,是多种疾病导致新生儿死亡的最终病理途径[1]。PPHN是新生儿重症监护室(NICU)较为常见和最为凶险的疾病之一,在足月儿及早产儿均有发病,发病率约为活产新生儿的2/1 000,病死率因医疗卫生水平不同而差别较大(4%~33%)[2]。PPHN分为原发性和继发性,新生儿期的大部分PPHN为继发性,引起缺氧的因素均可导致PPHN,常见的有胎粪吸入综合征(MAS)、围生期窒息、呼吸窘迫综合征(RDS)、肺炎、湿肺、先天性膈疝等。原发性PPHN病因为先天性的肺血管发育异常及肺发育不良,病情因发育异常的程度而不同,大多预后不良[1]。母亲孕期疾病在新生儿PPHN的发病中起重要作用,宫内缺氧、炎性反应、母体孕后期应用非甾体类抗炎药和抗抑郁药物等,可导致宫内肺血管张力和反应性增高、肺血管重塑、肺动脉压升高[3,4]。为研究影响新生儿PPHN发生和预后的高危因素,现回顾性分析在南方医科大学南方医院收治的56例PPHN患儿病例。
选择2010年1月至2016年12月在南方医科大学南方医院新生儿科住院、出生后24 h内发生PPHN的新生儿。PPHN诊断根据文献[5]:(1)临床有气促、发绀,普通头罩或面罩吸氧12 h不能改善发绀症状,血气分析提示低氧血症:动脉血氧分压[pa(O2)]<6.67 kPa,伴或不伴高碳酸血症:动脉血二氧化碳分压[pa(CO2)]>6.67 kPa;(2)超声心动图通过测量三尖瓣反流压差和/或动脉导管分流压差,估测肺动脉收缩压(PASP)≥ 5.3 kPa;(3)超声心动图显示经动脉导管和/或卵圆孔存在右向左分流。
2组PPHN的原发病;母亲妊娠期并发症;出院时情况转归,包括痊愈、好转、放弃、死亡,放弃和死亡统称未愈;部分死亡病例的病理结果。
死亡患儿监护人同意尸检者,取肺部标本,在HE染色基础上,采用链霉菌抗生物素蛋白-过氧化物酶连结法(SP法)行CD34、CD68、角蛋白(CK),甲状腺转录因子-1(TTF-1)免疫标记和六胺银特殊染色。尸体解剖及病理学检查由南方医科大学病理学教研室完成,且2名以上病理学教授诊断一致。
采用SPSS 19.0软件对数据进行统计学分析。计量资料用
±s表示,组间比较采用t检验,计数资料采用百分比(%)表示,组间率的比较采用χ2检验。P<0.05为差异有统计学意义。
根据胎龄分为早产儿组和足月儿组。早产儿27例,男14例,女13例;阴道分娩15例,剖宫产12例。足月儿组29例,男15例,女14例;阴道分娩18例,剖宫产11例。2组性别构成、分娩方式、PPHN发病年龄比较,差异均无统计学意义(均P>0.05),见表1,治疗方法一致,均给予高频振荡通气、西地那非、前列地尔降低肺动脉压等治疗。

足月儿组与早产儿组持续肺动脉高压患儿一般情况比较
Comparison of baseline characteristics of patients with persistent pulmonary hypertension in preterm group and full-term group
足月儿组与早产儿组持续肺动脉高压患儿一般情况比较
Comparison of baseline characteristics of patients with persistent pulmonary hypertension in preterm group and full-term group
| 组别 | 例数 | 胎龄(周, ±s) | 出生体质量(g, ±s) | 男性比例[例(%)] | 剖宫产比例[例(%)] | 发病年龄(h, ±s) |
|---|---|---|---|---|---|---|
| 足月儿组 | 29 | 39.3±1.3 | 3 162.4±627.7 | 15(51.7) | 11(37.9) | 10.2±2.6 |
| 早产儿组 | 27 | 31.6±3.1 | 1 667.0±638.4 | 14(51.9) | 12(44.4) | 10.0±1.8 |
| χ2/t值 | 12.321 | 8.835 | 0.000 | 0.245 | 0.221 | |
| P值 | <0.05 | <0.05 | >0.05 | >0.05 | >0.05 |
2组原发于肺部病变者31例(31/56例,55.36%)。早产儿组原发病以RDS为主,其次为感染,其他包括新生儿窒息、吸入性肺炎、病因不明各1例;足月儿组原发病以MAS为主,其次为先天性心脏病,其他包括新生儿窒息、吸入性肺炎各2例,失血性休克及病因不明各1例。2组RDS 、MAS、先天性心脏病的比例比较,差异均有统计学意义(均P<0.05),见表2。

足月儿组和早产儿组持续肺动脉高压新生儿原发性疾病比较 [例(%)]
Comparison of primary diseases of patients with persistent pulmonary hypertension in preterm group and full-term group [n(%)]
足月儿组和早产儿组持续肺动脉高压新生儿原发性疾病比较 [例(%)]
Comparison of primary diseases of patients with persistent pulmonary hypertension in preterm group and full-term group [n(%)]
| 组别 | 例数 | RDS | 感染 | MAS | 先天性心脏病 | 其他 |
|---|---|---|---|---|---|---|
| 足月儿组 | 29 | 3(10.34) | 3(10.34) | 9(31.03) | 8(27.59) | 6(20.69) |
| 早产儿组 | 27 | 16(59.26) | 8(29.63) | 0(0) | 0(0) | 3(11.11) |
| χ2值 | 14.923 | 3.294 | 9.984 | 8.690 | 0.951 | |
| P值 | <0.05 | >0.05 | <0.05 | <0.05 | >0.05 |
注:RDS:呼吸窘迫综合征;MAS:胎粪吸入综合征 RDS: respiratory distress syndrome; MAS: meconium aspiration syndrome
早产儿组的母亲患妊娠期疾病者15例,占55.56%(15/27例),其中胎膜早破4例、子痫前期4例、胎盘早剥4例、妊娠期糖尿病2例、胎盘绒毛膜炎1例;29例足月组中,母亲妊娠期疾病者8例,占27.59%,其中胎膜早破2例、子痫前期2例、妊娠期糖尿病2例、胎盘绒毛膜炎1例、羊水过少1例。早产儿组母亲有妊娠期并发症者较足月儿组比例高,2组比较差异有统计学意义(χ2=4.519,P=0.034 )。
27例早产儿中治愈及好转18例,未愈9例,未愈率33.33%;29例足月儿治愈及好转21例,未愈8例,未愈率27.59%。早产儿组预后较差,2组比较差异无统计学意义(χ2=0.218,P=0.640)。
早产儿组未愈者9例,原发病均为RDS(100.0%);足月儿未愈者8例中,4例原发病为MAS(50.0%),RDS 2例(25.0%),病因不明(12.5%)、先天性心脏病(12.5%)各1例。
病例1:女,6 h,因"呻吟、气促6 h,发绀5 h"自外院转入。患儿为第1胎,第1产,胎龄37周,顺产,羊水清,Apgar评分正常,体质量2.8 kg,出生后即出现呻吟、气促。其母孕期产检无异常。入院后患儿进行性呼吸困难、血氧饱和度下降,动脉血气分析:pH值7.32,氧分压[p(O2)]5.96 kPa,二氧化碳分压[p(CO2)]5.45 kPa,碱剩余(BE)-8.5 mmol/L;血常规、C反应蛋白(CRP)、降钙素原(PCT)未见异常。X线胸片:双肺纹理增多、增粗、模糊,心影较大。给予同步间歇指令通气(SIMV)模式机械通气,入院11 h出现PPHN,床边超声心动检查:肺动脉收缩压6.67 kPa,全心扩大,动脉导管未闭(管型),左心功能正常。给予高频振荡通气、升压、扩容,硫酸镁、前列腺素等扩张肺血管、米力农强心等治疗。患儿持续PPHN、反复低血压,多脏器功能损伤,于出生后第4天死亡。肺部大体标本病理基本正常,沉浮实验阴性。镜下显示:肺组织发育不良,肺泡单位缩小,结构不清,部分呈萎陷状态,肺泡间隔明显增宽,毛细血管密度低且位置异常,与肺泡上皮之间间距增宽,肺静脉血管扩张明显,间质内可见中小动脉管壁肌层明显增厚。CD34、CK免疫标记和六胺银染色都显示肺泡间隔宽,肺泡单位缩小,间隔内毛细血管密度低且与肺泡上皮间距增宽,中小动脉壁增厚。CD68、TTF-1无特殊表达。病理诊断:符合肺泡毛细血管发育不良(ACD)改变。
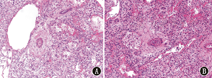
病例2:女,10 min,因"胎龄32周早产儿,出生后进行性呼吸困难10 min"入院。患儿为第1胎,第1产,因其母重度子痫前期在本院剖宫产,羊水清,脐带扭转40周,出生体质量1.07 kg。Apgar评分1 min 6分,予复苏囊正压通气等,5 min、10 min Apgar评分均为10分,随即出现皮肤发绀、进行性呼吸困难,听诊双肺呼吸音低。动脉血气分析:pH值7.09,p(O2) 4 kPa,p(CO2) 6.55 kPa,BE-14.6 mmol/L;血常规未见异常,血PCT>100 μg/L,血培养阴性。X线胸片:重度RDS。入院后给予肺表面活性物质气管内滴注、高频振荡通气、美罗培南抗感染等。于出生6 h血氧饱和度下降,导管前后血氧饱和度差值>15%,高氧高通气实验阳性,床边心脏超声见动脉导管水平右向左分流,左心功能正常,诊断PPHN,继续高频振荡通气,予前列地尔、硫酸镁、西地那非扩张肺小动脉等,PPHN不能缓解,于出生后36 h死亡。肺部大体病理基本正常,沉浮实验阴性。镜下可见肺小动脉平滑肌增生,外膜增厚,部分肺不张伴肺透明膜形成(图1A、图1B);CD34染色显示肺血管密度正常。病理诊断:原发性肺动脉高压(高血压性肺血管重塑)。

Lung histology of infant with pulmonary hypertensive vascular remodeling(HE staining,×100)

注:A:肺小动脉外膜增厚;B:肺小动脉平滑肌增生 A:adventitial thickening in pulmonary arterioles; B:smooth muscle cells hyperplasia in pulmonary arterioles
Lung histology of infant with pulmonary hypertensive vascular remodeling(HE staining,×100)
病例3:男,6 h,因"呻吟、发绀4 h"自外院转入。患儿为第3胎,第2产,胎龄36周,胎膜早破3 h,出生Apgar评分正常,体质量2.65 kg。出生后2 h开始无明显诱因出现呻吟、气促、发绀、进行性呼吸困难,听诊双肺闻及痰鸣音。带气管插管、复苏囊加压给氧入本院,予清理呼吸道、高频振荡通气后气促、发绀缓解。动脉血气分析:pH值7.28,p(O2) 8.16 kPa,p(CO2) 5.0 kPa,BE-8.6 mmol/L;血常规、PCT、CRP未见异常;致畸五项(TORCH)阴性、肠道病毒阴性;X线胸片:不除外轻度RDS。于出生9 h出现PPHN,床边心脏超声:右心增大,肺动脉收缩压5.6 kPa。予肺表面活性物质气管内滴注、高频振荡通气、前列地尔、西地那非扩张肺小动脉等,PPHN无缓解,于出生后20 h死亡。其母妊娠32周时曾不明原因腹泻,自愈。肺部大体病理基本正常,沉浮实验阴性。镜下可见部分肺不张伴肺透明膜形成,肺泡间隔明显增厚,伴大量淋巴细胞浸润。病理诊断:间质性肺炎。
PPHN多发生于足月儿和近足月儿,但随着早产儿出生率的增高,PPHN在早产儿中的发病数量增加,约有2%以上的早期RDS早产儿发生PPHN[6,7]。然而,目前对早产儿PPHN的研究报道仍较少。本研究中足月儿PPHN 29例,早产儿27例,早产儿PPHN占比例较徐孝华等[8]报道的28.1%明显增加,主要考虑从近年来住院患儿中早产儿数量逐年增多,另由于围生期保健开展和新生儿窒息复苏技术的普及,足月儿常见的窒息缺氧、MAS等疾病明显减少,导致足月儿入院减少。
在原发病的构成方面,与文献[9]报道一致,肺部病变仍是发生PPHN的最主要原因。杜岚岚等[10]报道45例包括早产儿、足月儿在内PPHN与非PPHN新生儿危险因素研究,肺湿、吸入性肺炎或MAS、RDS、窒息、新生儿脓毒症是新生儿PPHN发生的危险因素,但未针对早产儿进行相关分析[10]。本研究中,早产儿组与足月儿组相比,早产儿PPHN多继发于RDS,足月儿以MAS为主。RDS早产儿肺表面活性物质的分泌不足,加之肺血管与肺实质的发育不成熟,导致低氧、肺动脉痉挛[11]。肺部膨胀不全导致病变部位血管扭曲管腔狭窄,大量炎性因子的释放影响了血管内皮一氧化氮(NO)的释放,低氧血症及高碳酸血症造成肺血管平滑肌痉挛,均导致肺血管阻力明显增高[12]。本研究中,感染因素在早产儿PPHN组居于原发病的第2位(29.63%)。感染继发PPHN的主要机制是严重感染所导致的心肌功能障碍、肺微血管血栓、肺血管痉挛;而早产的发生多与宫内感染有关,且早产儿心肌功能较足月儿差,是继发PPHN的病理生理基础。
母亲妊娠期并发症对新生儿PPHN的影响越来越受重视,造成宫内应激和慢性缺氧的因素,包括绒毛膜炎、胎盘血管损伤、子痫前期、胎儿宫内生长发育受限等,都与该病的发生有关[4,5]。早产儿组母亲妊娠期并发症比例(55.56%)高于足月儿组(27.59%),胎膜早破、胎盘早剥、子痫前期是主要原因,2组比较差异有统计学意义。
预后方面,早产儿组未愈率33.3%,足月儿组未愈率27.58%,均高于发达国家的10%~20%。一方面与无NO吸入设备有关,另一方面,由于经济原因放弃者也占有一定比例。早产儿未愈率高于足月儿,但差异无统计学意义,与徐孝华等[8]的报道一致。早产儿未愈者的原发性疾病均为RDS。原发性PPHN虽然较少却并非罕见,有文献报道PPHN患儿中原发性PPHN占比高达27%,其中不乏漏诊、误诊病例[13]。本研究中3例死亡患儿病理学结果2例证实为原发性肺动脉高压,其中ACD 1例[14],高血压性肺血管重塑1例。ACD是导致原发性PPHN重要病因,肺动脉管壁增厚、肺泡间质增厚和肺毛细血管密度低是最突出的组织学特征[15]。胎儿期或围生期高血压性肺血管重塑病理学表现主要为肺小血管管壁平滑肌增生和外膜增厚,导致无法用肺实质疾病解释的原发性肺动脉压力增高[16],母体绒毛膜炎、胎盘血管损伤、胎儿宫内生长发育受限等均与该病的发生密切相关[17]。本研究中高血压性肺血管重塑的病例,其母亲即患有重度子痫前期。
综上,本研究显示,早产儿发生PPHN的比例增加,对于原发病为RDS、感染及母亲患有胎膜早破、胎盘早剥、子痫前期等并发症的早产儿,需高度警惕PPHN的发生。对于难以纠正的PPHN,原发性肺动脉高压应重点考虑。因病例数偏少,本研究有一定的局限性,以后将继续扩大样本,以期得到更加确切的结论。

±s)
±s)
±s)



















