
探讨急性播散性脑脊髓炎(ADEM)的临床表现及神经影像学异常恢复情况,以提高对ADEM的认识。
对苏州大学附属儿童医院神经内科收治的47例ADEM患儿随访1年,分析其临床表现、辅助检查(特别是神经影像学检查)、治疗方法及预后转归等资料,总结其临床及神经影像学异常的恢复情况。
47例患儿中,37例(78.72%)有前驱感染史,5例(10.64%)有疫苗接种史;患儿临床表现多样,包括躯体不适36例(76.60%),发热30例(63.83%),意识障碍30例(63.83%),癫痫发作28例(59.57%),头痛、头晕24例(51.06%),恶心、呕吐22例(46.81%),运动障碍15例(31.91%),颅神经损伤15例(31.91%),共济失调9例(19.14%),精神行为异常8例(17.02%)。头颅磁共振成像(MRI)显示病灶呈现多发、不对称的斑片状或大片状信号影,7例(14.89%)累及脊髓。所有病例采用甲泼尼龙[15~20 mg/(kg·d)]联合静脉丙种球蛋白(总量2 g/kg,分3~5 d用完)治疗,甲泼尼龙3 d后逐渐减量,最后改为泼尼松[1.0~2.0 mg/(kg·d) ]口服,总疗程2~3个月。随访47例ADEM患儿中,0.5个月时所有患儿MRI病灶较前缩小,其中4例(8.51%)病灶完全消失;1个月时13例(27.66%)病灶完全消失;3个月时23例(48.94%)病灶完全消失;6个月时32例(68.09%)病灶完全消失;1年时43例(91.49%)病灶完全消失,余4例(8.51%)有后遗病灶。
儿童ADEM的临床表现多样,大部分预后良好。68.09%的病例可在发病6个月影像学病灶完全消失,91.49%可在发病1年影像学病灶完全消失,仅少部分遗留长期病灶。
版权归中华医学会所有。
未经授权,不得转载、摘编本刊文章,不得使用本刊的版式设计。
除非特别声明,本刊刊出的所有文章不代表中华医学会和本刊编委会的观点。
急性播散性脑脊髓炎(acute disseminated encephalomyelitis,ADEM)是一种中枢神经系统炎性脱髓鞘疾病,好发于儿童和青壮年。ADEM诊断主要依靠临床表现和中枢神经系统辅助检查,尤其是神经影像学检查[1,2]。目前关于ADEM的病因、发病机制、临床表现、诊断及其治疗的文献较多见,但鲜见ADEM的神经影像学异常及其长期随访动态变化的研究,为此,本研究结合ADEM的临床特征,分析47例ADEM患儿的神经影像学特点及其动态变化,探讨ADEM临床表现及其神经影像学异常恢复情况,以提高对ADEM临床及影像学的认识。
选择2011年4月至2015年4月苏州大学附属儿童医院神经内科住院治疗的47例ADEM患儿。入组标准参考2012年国际儿童多发性硬化研究组(IPMSSG)提出的儿童ADEM诊断标准[3]。病例满足以下所有条件:(1)第1次多灶性中枢神经系统事件。(2)脑病症状(意识障碍或行为改变),且不能用发热解释。(3)起病3个月后无新的临床或磁共振成像(MRI)病灶出现。(4)急性期(3个月内)头颅MRI异常。(5)典型头颅MRI表现:①广泛性、边界欠清晰的、较大的(>1~2 cm)病灶,累及大脑白质为主;②T1加权像(T1WI)呈等、低混合信号,T2加权像(T2WI)及液体衰减反转恢复序列(FLAIR)成像呈高信号;③可伴深部灰质核团病灶。(6)排除病原体直接感染并发的脱髓鞘疾病、遗传代谢疾病、结缔组织病及肿瘤所致脑脊髓病;排除颅内感染性疾病;排除无颅内脱髓鞘病变的影像学证据,或单灶病变;排除多发性硬化、视神经脊髓炎等。病例发病时均有神经影像学异常。
详细记录患儿住院期间的临床资料,对所有患儿进行定期随访,分别在病程15 d、1个月、3个月、6个月、12个月门诊随访1次(若住院超过病程15 d,则在病程1个月、3个月、6个月、12个月各门诊随访1次),随访时均行头颅MRI和/或脊髓MRI检查。本研究经医院医学伦理委员会批准,并获得患儿监护人知情并签署同意书。
47例ADEM患儿中,男26例,女21例,男女比例为1.24∶1.00;年龄1~14岁,中位年龄6.0岁。其中37例(78.72%)感染后1~3周发病(上呼吸道感染30例,腹泻3例,麻疹2例,腮腺炎、支原体肺炎各1例);5例(10.64%)疫苗接种后1~2个月发病(狂犬病疫苗、流感疫苗各2例,脊髓灰质炎疫苗1例);5例(10.64%)无明显诱因。
47例患儿中,非特异性症状44例(93.62%),其中躯体不适36例(76.60%),发热30例(63.83%),头痛、头晕24例(51.06%),恶心、呕吐22例(46.81%)。脑病症状以意识障碍和精神行为异常为主,其中意识障碍30例(63.83%),精神行为异常8例(17.02%);癫痫发作28例(59.57%);运动障碍15例(31.91%);颅神经损伤15例(31.91%);小脑性共济失调9例(19.14%);锥体外系症状8例(17.02%),括约肌功能障碍4例(8.51%),肢体麻木、眩晕各1例(2.13%)。病理征阳性18例(38.30%),脑膜刺激征阳性18例(38.30%)。
47例患儿均行脑脊液(CSF)压力检查,其中35例(74.47%)正常,8例(17.02%)增高,4例(8.51%)降低。22例(46.81%)CSF常规、生化均正常。25例白细胞数(16~360)×106/L,细胞学检查以淋巴细胞或单核样细胞为主;17例CSF蛋白轻度升高(520~1 000 mg/L),8例CSF蛋白正常;CSF葡萄糖及氯化物均正常。25例异常CSF,2周后复查,均恢复正常。47例ADEM患儿脑电图检查中,6例正常,24例轻度异常,11例中度异常,6例重度异常;病变多位于额颞叶,出现弥散性慢波,11例伴尖波、棘波或其复合波阵发性发放;1个月随访时4例仍有痫样放电。
47例ADEM患儿中,34例(44.12%)于发病1~20 d行头颅CT检查,19例正常,15例异常表现为片状低密度影。
47例ADEM患儿头颅MRI检查显示异常病灶呈多发、不对称的斑片状或大片状信号影(图1)。33例进行了脊髓MRI检查,7例异常,病灶主要位于颈、胸髓内,表现为连续的或节段性长条形信号,T2WI呈高信号,T1WI呈低信号,信号多较均匀,脊髓无增粗,病灶分布见表1。在随访MRI过程中,15 d时所有患儿MRI显示病灶较前缩小,颅内多发病灶完全消失4例(8.51%);1个月时病灶完全消失13例(27.66%);3个月时病灶完全消失23例(48.94%);6个月时病灶完全消失32例(68.09%);1年时病灶完全消失43例(91.49%),余4例(8.51%)有后遗病灶,未发现新病灶出现。

The first cranial admission and the follow-up brain magnetic resonance imaging findings of children with ADEM

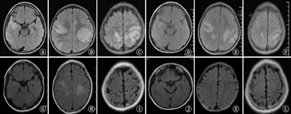
注:ADEM:急性播散性脑脊髓炎;FLAIR:液体衰减反转恢复序列成像;入院时轴位FLAIR示大脑半球右颞区(A),半卵圆区(B),双侧顶、枕区(C)高信号;发病15 d轴位FLAIR示右颞区(D),半卵圆区(E),双侧顶、枕区(F)病灶大小及范围缩小;发病6个月轴位FLAIR示右颞区(G),半卵圆区(H),双侧顶、枕区(I)病灶范围明显缩小;发病12个月轴位FLAIR示右颞区(J),半卵圆区(K),双侧顶、枕区(L)病灶完全消失
ADEM:acute disseminated encephalomyelitis;FLAIR:fluid attenuated inversion recovery imaging;high signals in the axial position FLAIR in the region of the cerebral hemisphere right temporal region (A),semi-oval region (B),bilateral top,and occipital area (C);the axial position FLAIR reexamination 15 days after onset showed that the size and extent of the lesions in the right temporal region (D),the semi-oval region (E),and bilateral parietal and occipital region (F) were reduced;the axial position FLAIR reexamination at 6 months after onset showed that the size of the lesions in the right temporal region (G),the semi-oval region (H),and bilateral parietal and occipital region (I) were obviously reduced; the axial position FLAIR reexamination at 12 months after onset showed that the lesions in the right temporal region (J),the semi-oval region (K),as well as bilateral parietal and occipital region (L) disappeared completely
The first cranial admission and the follow-up brain magnetic resonance imaging findings of children with ADEM

ADEM患儿47例的磁共振成像异常病变部位
The magnetic resonance imaging abnormal lesions in 47 children with ADEM
ADEM患儿47例的磁共振成像异常病变部位
The magnetic resonance imaging abnormal lesions in 47 children with ADEM
| 病变部位 | 例数(%) | 病变部位 | 例数(%) | ||
|---|---|---|---|---|---|
| 大脑半球皮质下白质 | 29(61.70) | 半卵圆中心 | 14(29.79) | ||
| 额叶 | 14(29.79) | 脊髓 | 7(14.89) | ||
| 顶叶 | 12(25.53) | 颈髓 | 7(14.89) | ||
| 颞叶 | 10(21.28) | 胸髓 | 2(4.26) | ||
| 枕叶 | 9(19.15) | 脑干 | 6(12.77) | ||
| 丘脑 | 18(38.30) | 小脑 | 4(8.51) | ||
| 基底核 | 17(36.17) | 大脑脚 | 3(6.38) | ||
| 侧脑室周围 | 15(31.91) | ||||
注:ADEM:急性播散性脑脊髓炎
ADEM:acute disseminated ence-phalomyelitis
病例均在对症、支持治疗基础上,采用甲泼尼龙[15~20 mg/(kg·d)]联合静脉用丙种球蛋白(IVIG)(总量2 g/kg,分3~5 d用完)治疗,甲泼尼龙于治疗3 d后逐渐减量,最后改为泼尼松[1.0~2.0 mg/(kg·d)]口服,总疗程2~3个月。随访1年,住院期间临床治愈(临床症状和体征消失)16例(34.04%);痊愈时间<3个月27例(57.45%),3~6个月10例(21.28%),>6个月6例(12.77%)。4例(8.51%)留有后遗症,包括运动障碍2例,症状性癫痫1例,智力障碍1例。
ADEM是细胞免疫介导的中枢神经系统急性炎症性脱髓鞘疾病,本病患者多为中枢神经系统广泛受累。本组患儿临床表现包括非特异性症状44例(93.62%)、意识障碍30例(63.83%)、癫痫发作28例(59.57%)、运动障碍15例(31.91%)、颅神经损伤15例(31.91%)、共济失调9例(19.14%)、椎体外系症状8例(17.02%)、精神行为异常8例(17.02%)、脑膜刺激征18例(38.30%)、病理征阳性18例(38.30%),表现为多灶性神经功能损伤。ADEM临床表现的多样性取决于炎症脱髓鞘累及的部位和严重程度[4]。
头颅CT平扫检查有时很难发现颅内异常病灶,但病灶较大时,CT可呈较模糊的低密度病灶[5]。本组患儿34例行头颅CT检查,其中15例(44.12%)异常,提示CT不易显示病灶,其敏感性和特异性均较差。头颅MRI对ADEM患儿中枢神经系统软组织病变则有较高分辨率,在中枢神经系统的局灶病变和白质病变显示等方面显著优于头颅CT[6]。ADEM头颅MRI一般表现为T2WI和FLAIR多病灶、不对称、边界不清楚的高信号;T1WI通常不明显,如果病灶较大,可显示低信号[7,8,9]。典型病灶分布于白质和深部灰质(如丘脑和基底核)。本组47例患儿均行头颅MRI检查,发现颅内多发的、不对称的、边界不清的病灶,累及频率较高的部位有多个脑叶、丘脑、基底核、侧脑室旁、半卵圆中心、脑干、小脑。脊髓病灶主要位于颈、胸髓内,表现为连续的或节段性长条形信号,长度可达3~4个脊椎节段,信号多较均匀,脊髓无增粗,脊髓病变无特异性[10]。本组33例患儿进行脊髓MRI检查,病灶主要位于颈、胸髓内,表现为连续的或节段性长条形信号,脊髓无增粗,与文献基本一致[10]。
ADEM患儿临床表现的恢复往往早于神经影像学病灶的消退,70%的患者病灶可在数月内完全恢复,少部分可长期遗留病灶,但随访中很少发现有新病灶,若出现新的病灶强烈提示多发性硬化[7,11]。在随访本组47例患儿头颅MRI过程中,15 d时所有患儿头颅MRI病灶较前缩小,病灶完全消失4例(8.51%);1个月时病灶完全消失13例(27.66%);3个月时病灶完全消失23例(48.94%);6个月时病灶完全消失32例(68.09%);1年时病灶完全消失43例(91.94%),余4例(8.51%)有后遗病灶。本组33例同时进行了脊髓MRI检查,其中异常7例,发病6个月随访时脊髓MRI病灶已完全消失,说明ADEM患儿头颅/脊髓MRI病灶随时间推移,逐渐吸收,预后良好。MRI显示的病灶部位与临床症状、体征具有一致性,除对本病早期诊断有很大帮助外,还可以监测病灶是否反复或出现新的病灶,远期随访具有重要临床指导意义。
目前尚无ADEM的标准治疗方案,尚未见关于ADEM药物治疗的大样本多中心随机对照临床试验的报道。根据发病机制,ADEM的脱髓鞘病变与免疫机制有关,故采取免疫抑制和免疫调节治疗更有效。通常包括糖皮质激素联合IVIG治疗[2]。本研究病例均同时应用甲泼尼龙和IVIG治疗,效果较好。大部分儿童ADEM患者预后良好,50%~70%在数周到数月内完全康复,部分可有运动障碍、视力损害、认知障碍及精神行为问题等后遗症,少数可发生癫痫[1,7,12,13]。本组患儿随访1年,经上述治疗,住院期间临床治愈(临床症状、体征消失)16例(34.04%);痊愈时间<3个月27例(57.45%),3~6个月10例(21.28%),>6个月6例(12.77%)。大部分病灶可以在数月内完全恢复,少部分可长期遗留病灶。本研究随访时均行头颅MRI和/或脊髓MRI检查,未发现多发性硬化病例,预后良好。
ADEM是儿童期最常见的获得性白质脑病,临床表现多样,神经辅助检查在本病的诊断、鉴别诊断、评估预后及复发中意义重大。MRI是ADEM辅助检查中最有价值的检查手段,能显示病变范围,可为临床诊治提供重要信息。加强神经影像学认识,了解ADEM颅内病灶恢复时间,可以更好地指导临床判断预后。





















