
通过分析发育不良隐睾患儿的病例资料,探讨如何把握睾丸切除术在小儿发育不良隐睾手术治疗中的应用。
收集安徽医科大学附属安徽省儿童医院泌尿外科2005年7月至2016年5月行外科手术治疗术中证实睾丸发育不良隐睾患儿207例,均为真性隐睾。年龄0.6~11.4岁[(4.7±1.2)岁]。其中左侧隐睾78例,右侧隐睾104例,双侧隐睾25例。所有病例术前均行超声检查,提示未见睾丸53例,提示睾丸萎缩或发育不良154例。所有病例均行外科手术治疗,其中单纯经腹股沟切口149例,腹股沟切口联合腹腔镜探查47例,单纯行腹腔镜手术11例。术中均与患儿家长沟通,睾丸轻、中度发育不良均保留睾丸167例;睾丸重度发育不良及睾丸萎缩40例,其中腹内单侧隐睾16例,腹外单侧隐睾22例均行睾丸切除术,2例腹外双侧睾丸重度发育不良患儿征求家长意见后行双侧睾丸下降固定术,所有切除标本术后均送病理检验。术后通过电话随访186例,失访21例,随访时间1~128个月[(53±8)个月],术后3~6个月均行超声睾丸检查,了解双侧睾丸发育情况及有无睾丸发育不良或睾丸萎缩。
所有患儿均顺利完成手术,术后顺利出院,切除睾丸组术中证实精索血管纤细、睾丸发育差或萎缩;保留睾丸组术后随访超声检查提示未见明显睾丸样结构6例,完全萎缩12例,部分萎缩48例,均未行再次手术探查切除,无萎缩93例,无隐睾术后癌变病例。切除睾丸组健侧睾丸均正常发育。
轻、中度睾丸发育不良可行保留睾丸手术,重度睾丸发育不良或睾丸萎缩征得家长同意后选择合理手术方式。
版权归中华医学会所有。
未经授权,不得转载、摘编本刊文章,不得使用本刊的版式设计。
除非特别声明,本刊刊出的所有文章不代表中华医学会和本刊编委会的观点。
隐睾是指睾丸在发育过程中未能按正常情况从腰部腹膜后下降到达阴囊底部[1]。根据隐睾位置常选用的手术方式有标准睾丸下降固定术、Fowler-Stephens睾丸固定术、腹腔镜睾丸固定术[2]及改良Bianchi术治疗低位隐睾等[3,4]。但对于发育不良隐睾的处理方式报道较少,本研究通过分析术中证实发育不良隐睾患儿的病历资料,探讨如何把握睾丸切除术在小儿发育不良隐睾手术治疗中的应用。
收集2005年7月至2016年5月安徽医科大学附属安徽省儿童医院泌尿外科行外科手术治疗术中证实睾丸发育不良隐睾患儿207例,均为真性隐睾。年龄0.6~11.4岁[(4.7±1.2)岁]。其中左侧隐睾78例,右侧隐睾104例,双侧隐睾25例。所有病例术前均行超声检查,提示未见睾丸53例,提示睾丸萎缩或发育不良154例。术前查体患侧均未触及明显睾丸样组织,腹股沟可触及条索状物182例,未触及者25例。排除标准:术前检查或术中证实(1)隐睾合并鞘膜积液或斜疝;(2)隐睾合并尿道下裂或两性畸形;(3)隐睾合并睾丸扭转或睾丸肿瘤需要切除睾丸者;(4)术中探查发现先天性睾丸缺如者。本研究均取得患儿监护人知情同意,并获医院医学伦理委员会批准。
病例均行外科手术治疗,其中单纯经腹股沟切口149例,腹股沟切口联合腹腔镜探查47例,单纯行腹腔镜手术11例。根据术中探查睾丸的发育不良情况分为轻度、中度和重度睾丸发育不良[5]及睾丸萎缩,术中均与患儿家长沟通,睾丸轻、中度发育不良均保留睾丸167例,其中包括腹外型双侧隐睾20例,腹内型单侧隐睾14例、双侧3例,其余130例均为腹外型单侧隐睾,均一期或分期行睾丸下降固定术。睾丸重度发育不良及睾丸萎缩40例,其中腹内单侧隐睾16例,腹外单侧隐睾22例均行发育不良或萎缩睾丸切除术,2例腹外双侧睾丸重度发育不良患儿征求家长意见后行双侧睾丸下降固定术,切除标本术后均送病理检查。
术后通过电话随访186例,失访21例,随访时间1~128个月[(53±8)个月],患儿术后3~6个月均行超声检查[6],了解双侧睾丸发育情况及有无睾丸发育不良或睾丸萎缩。
采用SPSS 11.0统计学软件进行分析。计数资料比较采用χ2检验,计量资料采用
±s表示,2组间比较采用独立样本t检验,P<0.05为差异有统计学意义。
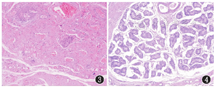
患儿均顺利完成手术,术后顺利出院,切除睾丸组织典型图片见图1、图2,切除睾丸组织均行病理检查(图3、图4)。




保留睾丸组患儿超声检查提示未见明显睾丸样结构6例,Ⅱ级萎缩(完全萎缩)12例,Ⅰ级萎缩(部分萎缩)48例,均未行再次手术探查切除,0级萎缩(无萎缩)93例。无隐睾术后癌变病例。保留睾丸组患儿无需再次住院行睾丸固定术或切除术。切除睾丸组健侧睾丸均正常发育。
小儿隐睾是小儿泌尿外科常见疾病之一,足月新生儿发病率为2%~5%,1岁时发病率约为1%[7]。目前治疗小儿隐睾主要采用外科手术治疗和激素治疗。外科手术的主要目的是使得睾丸能够正常发育,保护其生育能力,降低癌变的可能性。目前最常用的外科手术方法为睾丸无张力下降固定术,近些年由于外科微创技术的开展,家长对伤口美观的要求提高,临床上逐步开展腹腔镜微创睾丸下降固定术及阴囊正中单切口治疗低位隐睾[3]等技术,取得了良好效果。
术前依据超声等影像学检查明确睾丸位置及发育情况决定不同的手术方式:(1)如术前检查未见睾丸,术中腹腔镜沿精索血管及输精管探查发现末端呈盲端,提示睾丸先天性缺如,不需要特别处理,本研究未纳入此病例。(2)术中探查发现睾丸位于腹股沟、发育不良,较对侧睾丸明显变小,可触及实性睾丸部分行睾丸下降固定术。(3)一期Fowler-Stephens手术,适用于睾丸位于腹腔内,精索血管短者,切断精索血管及睾丸引带,保留大片腹膜包裹睾丸及输精管,注意保护输精管周围侧支血管,睾丸无张力下降固定至阴囊,本组中12例根据术中情况采用此术式,术后患儿恢复顺利。(4)分期Fowler-Stephens手术,由于精索血管较短,不适合一期行Fowler-Stephens手术,第一期仅行精索血管离断,6~12个月后再行二期手术将睾丸固定到阴囊内,这样有利于侧支循环的增强使隐睾有足够的血液供应,本研究中5例采用此术式,术后睾丸发育正常。(5)睾丸自体移植[8]:对于腹内高位隐睾,由于解剖的原因不适于行睾丸下降固定术或Fowler-Stephens术,可行睾丸自体移植术,手术主要是游离足够长的输精管及尽量长的精索血管,近心端离断精索血管后,将睾丸及精索血管从同侧髂前上棘旁的切口拖出腹腔,向内侧延长腹股沟切口,找到腹壁下动静脉,利用微血管吻合技术将精索动静脉分别与腹壁下动静脉吻合后,将睾丸固定到阴囊内,因其技术要求高、难度大,尚未开展。
考虑睾丸对于一个男性来说是非常重要的器官,术中尽可能地保留睾丸,一期或分期行睾丸无张力下降固定术,但对于严重发育不良或萎缩睾丸,是否需要行睾丸切除术,以往的文献报道中并未给出明确的手术指征。作者的经验是对于术中探查发现睾丸色苍白质地软或皮囊状、并未触及明确的睾丸实质、输精管及精索血管纤细、弥散,提示睾丸重度发育不良或睾丸萎缩、血供差;术前检查提示可疑恶变者、行睾丸固定术后睾丸萎缩、坏死的隐睾患儿需要行睾丸切除术,但对于双侧隐睾均存在以上情况时需要慎重选择,一般会与患儿家属术中沟通,充分尊重家属意见后选择睾丸切除术或者下降固定术。本研究中38例重度发育不良或萎缩睾丸行睾丸切除行术后病理提示仅可见血管成分,未见精原细胞成分或仅可见原始细胞,提示细胞分化障碍。2例双侧重度发育不良隐睾患儿术中与家属沟通后行双侧睾丸下降固定术,目前随访提示睾丸萎缩,继续随访中。对于患儿,一侧或双侧睾丸缺失都可能导致患儿或家长出现心理障碍,对患儿心理活动产生影响,还会对患儿的学习和社会生活产生不良效应,从而影响其身心健康,甚至造成社会问题,所以阴囊正常外观的保持及维持成年后正常的生育能力显得极为重要。因此,对于睾丸切除患儿,有学者建议行同种异体睾丸移植术或假体植入术,但由于同种异体移植技术难度较高和伦理学问题,目前尚未开展,而假体植入仅能恢复阴囊外观,代价较高,家长一般不能接受。
研究表明,隐睾恶变率是健康人睾丸恶变率的40倍,腹腔内隐睾的恶变率又是其他位置的4倍以上[9,10]。本研究中术后随访186例患儿未见睾丸组织或睾丸完全萎缩18例,可能与术前睾丸位置及睾丸发育情况有一定关系,考虑患儿家长可接受度等问题均未再次行切除术,术后随访未发现癌变病例,有待进一步随访观察。





















