
版权归中华医学会所有。
未经授权,不得转载、摘编本刊文章,不得使用本刊的版式设计。
除非特别声明,本刊刊出的所有文章不代表中华医学会和本刊编委会的观点。
急性出血性白质脑炎(acute hemorrhagic leukoencephalitis,AHLE)是一种中枢神经系统的炎性脱髓鞘病。国外有较多病例报道,国内少有报道,尤其在儿科领域的报道更少。2016年11月山西省儿童医院神经内科收治1例AHLE患儿,现总结其临床、影像学特点及治疗等,并对相关文献进行复习,以期提高临床医师对该病的认识。
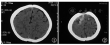
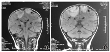
患儿,女,1岁,因"发热3 d,抽搐2次"入院。患儿3 d前出现发热,体温最高39.4 ℃,抽搐2次,抽搐时双眼上翻,四肢强直抖动,意识不清,口唇发绀,口吐白沫,第1次约1 h,第2次约15 min,抽后如常,伴轻咳,无喘息,无呕吐、腹泻,无皮疹,无鼻衄等。既往体健。2个月会抬头,4个月会翻身,7个月能坐,并萌牙,现能叫爸爸妈妈,可扶走。无药物及食物过敏史。按时接种疫苗。查体:体温37 ℃,神志清楚,反应可,球结膜无水肿,咽充血,呼吸24次/min,双肺呼吸音粗,未闻及干湿性啰音,心率110次/min,心音有力,律齐,未闻及杂音,腹软,肠鸣音正常,四肢肌力、肌张力正常,布氏征、克氏征、双侧巴氏征阴性。入院后患儿仍发热,体温波动于36.2~38.4 ℃,第3天患儿出现呕吐,呈喷射性,嗜睡,左上肢肌力下降,未抽搐。入院查血白细胞计数7.30×109/L,血红蛋白110 g/L,血小板计数254×109/L,C反应蛋白1.68 mg/L,异型淋巴细胞0.04。肝功能、心肌酶谱、血糖、血氨、血乳酸均正常。淋巴细胞亚群及免疫球蛋白检测正常。入院第8天脑脊液生化、常规、降钙素原正常。脑脊液涂片、墨汁染色阴性。脑脊液EB病毒、结核分枝杆菌、肺炎支原体、单纯疱疹病毒Ⅰ型均阴性。血培养及脑脊液培养阴性。脑脊液免疫性脑炎相关抗体(NMDA-R-A、CASPR2-Ab、AMPA1-R-Ab、AMPA2-R-Ab、LGI1-Ab、GABAB-R-Ab均阴性)、寡克隆区带检测阴性[脑脊液免疫球蛋白G 23.1 mg/L(正常范围10~40 mg/L)、血清免疫球蛋白G 5.54 g/L(正常范围7~17 g/L)、脑脊液IgG寡克隆区带阴性、血清IgG寡克隆区带阴性、脑脊液特异性IgG寡克隆区带阴性]。脑电图检查正常。入院前1 d头颅CT:平扫未见明显异常(图1)。入院第3天头颅CT示脑灰白质分界欠清,双侧额顶叶多发高密度影,伴周围水肿,双侧额顶叶缺血改变,左侧额顶叶脑沟增宽(图2)。入院第4天头颅磁共振成像(MRI)示双侧背侧丘脑形态信号异常,脱髓鞘改变,双侧大脑半球白质多发出血灶,并少许强化及周围水肿,考虑急性坏死性出血性白质脑炎可能,垂体强化欠均匀,Rathke囊残留?颅脑MRA扫描未见明显异常(图3)。入院第10天复查头颅MRI+脊髓MRI:颅内多发异常信号影,考虑出血性改变(亚急性中期),病变水肿范围较前增大,出血病变增多(图4),脊髓MRI未见异常。脑静脉核磁血管成像:窦汇形态异常,考虑先天变异。入院后诊断颅内多发病变性质待查:AHLE?惊厥持续状态,支气管炎。给予利巴韦林、头孢噻肟抗感染,止血,降颅压,地塞米松等治疗,患儿体温正常,无呕吐,无抽搐,无嗜睡,左上肢肌力逐渐恢复,临床症状缓解,生长发育同同龄健康儿童,但复查头颅MRI好转不明显,家长要求出院,院外随访2个月病情未进展,患儿无抽搐,可独走。


注:AHLE:急性出血性白质脑炎 AHLE:acute hemorrhagic leukoencephalitis


注:AHLE:急性出血性白质脑炎 AHLE:acute hemorrhagic leukoencephalitis
AHLE是一种中枢神经系统的炎性脱髓鞘病,是急性播散性脑脊髓炎(ADEM)的一种严重变异型,病情凶险,进展迅速,发病者往往在数日内死亡,但如能早期诊断和治疗,预后较好。该病常发生于病毒、细菌感染后,或疫苗注射后[1]。少数病例发生于应用药物或手术后[2]。本病的确切机制尚不明确。脑组织活检可见脑组织充血肿胀,灰白质交界不清,白质内有多发点状或环形出血。单侧或双侧不对称顶叶、额叶后部广泛出血、水肿、坏死,脑干及脊髓也可受累[3]。镜下所见:(1)出血性坏死,环状出血中央为小静脉,在血管壁周围出现纤维素渗出或坏死,具有坏死性血管炎表现,病灶多位于半卵圆区、脑干及小脑。血管周围可发现脱髓鞘,有的汇合成较大病灶。斑点状出血可融合成片,形成血肿。(2)静脉周围小胶质细胞灶,表现为静脉周围小胶质细胞增生及脱髓鞘改变。(3)血管周围炎性细胞浸润,毛细血管及微小动脉周围有大量白细胞、中性粒细胞、嗜酸性粒细胞浸润,血浆蛋白、红细胞、粒细胞分布于血管周围,环状出血可合并静脉血栓形成[4]。本病确诊需进行脑组织活检病理检查,少数重症病例经外科开颅探查,或尸检后确诊。本例患儿临床症状轻,脑组织活检实施困难。
AHLE多见于青壮年,也累及儿童。病前常有呼吸道感染史,常暴发起病,高热,很快出现头痛、颈强直等脑膜刺激征,抽搐、偏瘫及失语等。患者病情很快恶化,可有精神混乱、幻觉、意识障碍、昏迷。眼底检查往往正常,偶见视盘水肿及出血[4]。该病患者临床表现不特异,部分病例表现类似病毒性脑炎等。本患儿有呼吸道感染病史,发热抽搐,随后出现左上肢肌力下降,呕吐、嗜睡等表现,临床表现不典型,经治疗后临床症状迅速缓解,随访2个月患儿病情无明显进展。
脑脊液检查示颅内压升高,细胞数增加或正常,糖和氯化物正常。该患儿脑脊液检查未见异常。患者早期CT可正常,也可显示广泛的脑组织水肿及白质内低密度灶,可夹杂点状高密度影。MRI的T1加权像表现为广泛的脑组织水肿,单侧或双侧后额部、颞叶或顶叶白质的多发低密度灶,部分病灶可融合成片,从脑室周围延伸至皮质下白质及灰白质交界处,可有明显占位效应[2,3]。MRI的T2加权像和液体衰减反转恢复相对本病更敏感,可见双侧多灶性白质高信号,广泛高信号白质水肿内有多发的斑点状低信号,提示不同阶段的出血[5]。轻症患者脑组织活检实施困难时,可通过头颅影像学检查,做出早期诊断,做出积极治疗,对于改善患者预后有很大帮助。该患儿早期行头颅MRI及CT检查,经积极给予脱水降颅压、激素等治疗后,临床症状改善,复查头颅MRI未见明显改善,考虑可能与影像学检查滞后有关。
AHLE为中枢神经系统的炎性疾病。目前无统一的诊断标准,对于发病前有感染史及疫苗接种史,病情迅速恶化(高热、意识障碍、抽搐等),脑脊液细胞数明显升高、糖正常,头颅MRI可见大脑白质受累为主的多发病灶且伴片状出血的患者可临床诊断AHLE,必要时行脑组织活检。脑炎、ADEM、细菌性脑膜炎、脑脓肿、脑卒中、静脉窦血栓形成等均有类似表现,应注意鉴别,AHLE与ADEM鉴别有一定困难。ADEM患者头颅MRI检查缺乏出血和水肿。单纯疱疹病毒脑炎常累及颞叶、额叶,脑MRI可累及灰质与白质,病毒性脑炎血清学及脑脊液病原学特异性IgM抗体增高有助诊断,系统性红斑狼疮可引起神经系统脱髓鞘改变,免疫性血管炎为多系统受累。
早期使用足量糖皮质激素能减轻脑和脊髓充血和水肿,保护血脑屏障,抑制炎性脱髓鞘过程。可静脉应用大剂量甲泼尼龙,常用剂量20 mg/(kg·d),最大量1 g/d使用3~5 d,或地塞米松0.4~0.6 mg/(kg·d),2次/d,10~15 d,之后口服泼尼松1.5~2.0 mg/(kg·d)[2,3],逐渐减量且维持数周,经大剂量激素治疗,部分患者临床症状明显改善,复查MRI水肿及出血减轻。同时静脉应用免疫球蛋白400 mg/(kg·d),持续5 d,可出现更有效的临床改善。该患儿经地塞米松治疗后临床症状好转,但家长拒绝使用丙种球蛋白等治疗,复查头颅MRI未见进展,处于亚急性期。对严重脑水肿发生脑疝的病例可采取开颅减压等以挽救生命[4] 。血浆置换及免疫抑制剂治疗主要用于暴发型患者或糖皮质激素及丙种球蛋白无效者。而且应早期给予,用后改为泼尼松口服。有研究发现联合应用IL-1受体拮抗剂阿那白滞素可改善临床症状[4]。急性期予以脱水、降温、镇静、止惊。保持水电解质平衡,恢复期重视肢体功能训练及康复治疗。AHLE病情凶险,预后差,经积极治疗部分患者仍可恢复,早期诊断治疗尤其重要。





















