
总结神经元蜡样质脂褐质沉积症(NCL)的临床和脑电图特点。
回顾性分析北京大学第一医院儿科2000年2月至2015年8月确诊为NCL患儿的临床表型和脑电图检查结果。
30例患儿中,男18例,女12例;发病年龄9个月~7岁;首发症状为癫痫发作22例,智力运动发育落后或倒退7例,视力下降1例。临床表现包括进行性智力运动倒退29例,癫痫发作28例(其中17例有多种发作类型,肌阵挛发作23例,局灶性发作16例,不典型失神发作5例,强直阵挛发作3例,失张力发作1例,强直痉挛发作1例),视力下降19例,共济失调20例,锥体束征阳性13例。21例眼底检查,其中黄斑变性7例,视神经萎缩8例,视网膜色素变性2例,正常8例。30例头颅磁共振成像(MRI)检查均显示脑萎缩,其中大脑皮质及小脑弥散性萎缩14例,仅有小脑萎缩6例,脑萎缩伴侧脑室旁白质T2W高信号10例。脑电图(EEG)检查27例,背景均为弥散性慢波,睡眠期无顶尖波及睡眠纺锤波7例;局灶性痫样放电15例,广泛性痫样放电6例,兼广泛性和局灶性痫样放电6例,广泛性慢波阵发4例;闪光刺激诱发痫样放电3例;10例监测到临床发作,其中肌阵挛发作4例,不典型失神发作3例,局灶性发作3例,失张力发作1例,强直痉挛发作1例。外周血酶学检查13例,其中三肽基肽酶(TPP1)缺乏8例,棕榈酰蛋白硫酯酶(PPT1)缺乏1例。28例患儿进行了皮肤和/或肌肉电镜活检,皮肤和/或肌肉电镜检查见曲线体15例、嗜锇颗粒2例、指纹体2例、曲线体及直线体1例、指纹体及嗜锇颗粒1例。3例患儿行NCL相关基因检测,分别发现1例CLN6基因复合杂合突变及2例TPP1基因纯合突变。30例患儿依据发病年龄、酶学检查及皮肤和肌肉病理检查结果分为婴儿型5例、晚婴型20例及少年型5例。
儿童NCL的临床特点为多种类型的癫痫发作(肌阵挛发作最常见)、智力运动发育落后或倒退、视力下降、共济失调和锥体束征阳性;头颅MRI特点为脑萎缩,伴或不伴脑白质病变;脑电图背景为弥散性慢波,痫样放电可为局灶性和/或广泛性;特异性酶学或皮肤、肌肉病理检查或基因检测可明确诊断。
版权归中华医学会所有。
未经授权,不得转载、摘编本刊文章,不得使用本刊的版式设计。
除非特别声明,本刊刊出的所有文章不代表中华医学会和本刊编委会的观点。
神经元蜡样质脂褐质沉积症(neuronal ceroid lipofuscinosis,NCL)是一种少见的神经系统遗传病,多数在儿童期发病,符合常染色体隐性遗传。本病的主要病因为溶酶体蛋白酶的基因缺陷及结构蛋白的功能失调,导致神经细胞和/或皮肤上皮细胞、肌细胞和淋巴细胞内脂褐素沉积,确诊需特异性酶学检查或皮肤、肌肉活检病理检查。NCL的主要临床表现为进行性智力运动倒退、癫痫发作、视力下降。国内曾有学者对本病的神经影像学和病理特点进行描述[1,2,3],为提高临床医师对本病的认识,现总结本病的临床特点及确诊手段。
选择2000年2月至2015年8月在北京大学第一医院儿科神经门诊及病房就诊的NCL患儿30例。其中男18例,女12例;发病年龄为出生9个月~7岁,有本病家族史者5例。
对30例患儿的临床资料进行分析。辅助检查:30例均行头颅磁共振成像(MRI)检查。27例在北京大学第一医院行脑电图检查(25例视频脑电图、2例动态脑电图)。皮肤、肌肉活检22例,外周血淋巴细胞超微结构检查5例。棕榈酰蛋白硫酯酶(palmitoyl protein thioesterase 1,PPT1)和三肽基肽酶(tripeptidyl peptidase 1,TPP1)活性检查13例,眼底检查21例,视觉诱发电位检查14例,听觉诱发电位检查8例。诊断标准[4]见表1。

神经元蜡样质脂褐质沉积症的诊断标准
The diagnostic criteria of neuronal ceroid lipofuscinosis
神经元蜡样质脂褐质沉积症的诊断标准
The diagnostic criteria of neuronal ceroid lipofuscinosis
| 分型 | 起病年龄 | 临床症状 | 电镜下病理改变 | 酶活性 |
|---|---|---|---|---|
| INCL | 6~24个月 | 认知/运动功能下降,视力丧失,惊厥 | GROD | PPT1缺乏 |
| LNCL | 2~8岁 | 惊厥、认知/运动功能下降,视力丧失 | CV | TPP1缺乏 |
| JNCL | 4~10岁 | 视力丧失,认知/运动功能下降,惊厥 | FP |
注:INCL:婴儿型神经元蜡样质脂褐质沉积症;LNCL:晚婴型神经元蜡样质脂褐质沉积症;JNCL:少年型神经元蜡样质脂褐质沉积症;GROD:噬锇颗粒沉积;CV:曲线体;FP:指纹体;PPT1:棕榈酰蛋白硫酯酶;TPP1:三肽基肽酶 INCL:infantile neuronal ceroid lipofuscinosis;LNCL:late-infantile neuronal ceroid lipofuscinosis;JNCL:juvenile neuronal ceroid lipofuscinosis;GROD:granular lipopigment;CV:curvilinear bodies;FP:fingerprint profiles;PPT1:Palmitoyl protein thioesterase 1;TPP1:Tripeptidyl peptidase 1
在30例患儿中,首发症状为癫痫发作22例,智力运动发育落后2例,智力运动发育倒退5例,视力下降1例。
本组30例患儿中,有癫痫发作28例,具有多种发作类型17例,其中肌阵挛发作23例(7例仅有肌阵挛发作),局灶性发作16例(4例仅有局灶性发作),不典型失神发作5例,强直阵挛发作3例,失张力发作1例,强直痉挛发作1例;视力下降19例,其中失明5例;智力运动发育落后或倒退29例;共济失调20例;锥体束征阳性13例。
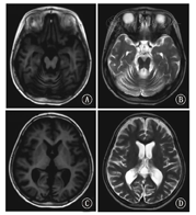
30例患儿均有脑萎缩,其中表现大脑皮质及小脑弥散性萎缩14例(图1),仅有小脑萎缩6例,弥散性脑萎缩伴侧脑室旁白质T2W高信号10例,2例伴双侧内囊后肢T2W高信号,1例伴大脑角T2W高信号。


注:NCL:神经元蜡样质脂褐质沉积症;MRI:头颅磁共振成像;T1WI(A、C)和T2WI(B、D)均可见弥散性脑萎缩 NCL:neuronal ceroid lipofuscinosis;MRI:magnetic resonance imaging;diffuse brain atrophy was observed on both T1WI (A,C) and T2WI (B,D)
本组30例中,其中27例在北京大学第一医院行脑电图检查,背景均表现为弥散性慢波,无枕区优势节律8例,无正常睡眠周期且顶尖波及睡眠纺锤波消失7例;发作间期表现为广泛性放电6例,局灶性放电15例,兼有广泛性和局灶性痫样放电6例,广泛性慢波阵发4例;10例监测到临床发作,其中肌阵挛发作4例(其中3例为肌阵挛持续状态),不典型失神发作3例,局灶性发作3例,失张力发作1例,强直痉挛发作1例;非快速眼动睡眠期(NREM期)出现癫痫性电持续状态(electrical status epilepticus during slow sleep,ESES)1例,闪光刺激诱发痫样放电3例(图2为1例晚婴型NCL患儿的EEG改变)。本组有2例尚未出现癫痫发作的患儿,EEG均显示有多灶性痫样放电。


注:NCL:神经元蜡样质脂褐质沉积症;EEG:脑电图;A:EEG显示背景弥散性慢波,无枕区优势节律;B:发作间期EEG显示广泛性2.5~3.0 Hz棘慢波阵发,右侧颞区显著;C:睡眠期EEG显示少量多灶性尖波发放 NCL:neuronal ceroid lipofuscinosis;EEG:electroencephalogram;A:EEG showed diffuse slow wave background,without predominant rhythm in the occipital region;B:interictal EEG showed generalized 2.5-3.0 Hz spike and slow wave burst,notable in the right temporal area;C:EEG showed a few multifocal spike waves during sleep
30例患儿中,13例行外周血酶学检查,其中PPT1缺乏1例,TPP1缺乏8例,4例酶学结果正常。
本组30例中,皮肤、肌肉活检或外周血淋巴细胞电镜检查23例。皮肤及肌肉电镜检查见嗜锇颗粒2例;皮肤、肌肉或外周血淋巴细胞电镜检查见曲线体15例,皮肤内曲线体及直线体1例;皮肤电镜检查见指纹体2例,皮肤及外周血淋巴细胞电镜检查见指纹体和嗜锇颗粒1例;皮肤肌肉活检正常2例。
1例患儿外周血酶学检查提示TPP1缺乏,随后进行TPP1基因Sanger测序发现TPP1基因c.177_180delAAGA(p.E59DfsX21)纯合突变,父母双方均为该位点杂合变异。另2例患儿采用靶向捕获癫痫基因包检测NCL相关基因,分别发现1例为TPP1基因c.515delG(p.G172DfsX11)纯合突变,父母双方均为该位点杂合变异;1例为CLN6基因c.184C>T(p.R62C)和c.41delG(p.G14AfsX19)复合杂合突变,父亲基因型为c.184C>T(p.R62C)和c.41G野生型,母亲基因型为c.41delG(p.G14AfsX19)和c.184C野生型(图3为1例TPP1基因纯合突变患儿家系的测序图)。


注:先证者为TPP1基因c.515delG(p.G172DfsX11)纯合突变,父母双方均为该位点杂合变异 The proband was with homozygous mutation c.515delG (p.G172DfsX11) in TPP1 gene,and both of the parents were he-terozygous in this locus
21例行眼底检查,黄斑变性7例,视神经萎缩8例,视网膜色素变性2例,正常8例。
视觉诱发电位检查13例,均有VEP潜伏期延长;听觉诱发电位检查8例,2例双耳通路外周段传导延迟,1例双耳听神经通路脑干上段损害,1例左耳听通路脑干上段轻度传导延迟,右耳听通路脑干上段及下段传导延迟,4例听觉诱发电位正常。
本组患儿依据发病年龄、特异性酶学检查及皮肤和肌肉病理检查结果进行临床分型。婴儿型5例,其中TPP1酶缺乏2例,皮肤、肌肉电镜检查见嗜锇颗粒2例,PPT1酶缺乏1例;晚婴型20例,包括皮肤、肌肉和/或外周血淋巴细胞电镜检查见曲线体13例,TPP1酶6例,皮肤内见曲线体及直线体1例;少年型5例,其中皮肤电镜检查见曲线体1例、指纹体2例,皮肤及外周血淋巴细胞内见指纹体和嗜锇颗粒1例。
NCL于1826年由Stenge首次报道。当患儿临床出现智力运动倒退、癫痫发作、进行性视力下降、头颅MRI提示弥散性脑萎缩时应考虑NCL的可能。根据发病年龄、酶学分析结果、外周血淋巴细胞或皮肤及肌肉超微结构检查进行分型,可将本病分为婴儿型(infantile NCL,INCL)、晚婴型(late-infantile NCL,LINCL)、少年型(juvenile NCL,JNCL)、成年型(adult NCL,ANCL)。在不同的国家或种族之间NCL各个亚型的发病率有很大的差异,在芬兰INCL较常见,意大利LNCL常见,而在德国以JNCL居多。北京大学第一医院神经内科袁云等[5]曾报道在我国明确诊断的患者中以JNCL居多,但本组病例中以LINCL居多,分析原因可能与到神经内科就诊的患者以青少年为主有关。
文献报道,INCL以智力运动发育落后为首发症状,LINCL的首发症状大多数为癫痫发作[5,6]。本组5例INCL中,4例以智力运动发育落后为首发症状;20例LINCL中,16例以癫痫发作为首发症状,该结果与文献报道一致。本组5例JNCL患者均以癫痫发作为首发症状,而后出现视力下降、智力运动倒退,这不同于既往报道的JNCL患者以视力下降为首发症状[7,8]。
癫痫发作是NCL的常见症状,2001年国际抗癫痫联盟(ILAE)在修订的癫痫和癫痫综合征分组中,将其归为进行性肌阵挛癫痫的病因中。本组研究结果表明,本病可有多种癫痫发作类型,多数患儿可出现肌阵挛发作,但少数患儿可仅表现为局灶性发作。本组28例有癫痫发作的患儿中,17例具有多种发作类型,23例有肌阵挛发作,其余5例无肌阵挛发作的患儿中,4例仅出现局灶性发作,1例表现为强直阵挛发作和不典型失神发作。本组有1例LINCL患儿观察到强直痉挛发作,这在既往的国内外文献[6,9]报道并未提及。本组2例尚未出现癫痫发作的患儿,EEG显示有多灶性痫样放电,还需进一步随访是否出现癫痫发作。
NCL的EEG背景通常为弥散性慢波,发作间期痫样放电可表现为广泛性和/或局灶性。在Binelli等[10]报道中,发现INCL患儿EEG睡眠期无顶尖波及睡眠纺锤波,但本组除2例INCL外,尚有4例LINCL及1例JNCL患儿EEG睡眠期也无顶尖波及睡眠纺锤波,提示这种EEG改变可见于任何一种类型的NCL患儿。NCL患儿EEG特点为广泛性棘慢波、多棘慢波暴发,并可出现多灶性棘慢波发放[11,12,13]。本组患儿EEG结果符合上述特点。本组1例LINCL患儿观察到NREM期放电指数>80%,另1例INCL患儿发作间期有高度失律倾向,这在既往的国内外文献中未见报道。Binelli等[10]报道LINCL患儿闪光刺激时1~5 Hz低频刺激可诱发后头部同步的棘波发放,而本组病例观察到2例患者6~18 Hz闪光刺激时诱发双侧枕区及后头部不规则中高波幅2~3 Hz棘慢波、多棘慢波间断阵发,与之存在差异性。
NCL的头颅MRI特点包括弥散性脑萎缩、皮质变薄、大脑白质在T2W相可出现信号轻度增高、丘脑在T2W相低信号[14,15]。头颅MRI的改变随病程呈进行性加重,在病程晚期脑萎缩更加显著。文献报道,JNCL主要表现为疾病晚期的大脑和小脑萎缩,可能与病程较长、脑萎缩的进展比较缓慢有关;丘脑损害主要出现在INCL和LINCL[16]。
NCL的初筛可选择外周血淋巴细胞光镜检查,若发现有淋巴细胞空泡变性,应高度怀疑本病,进一步行淋巴细胞电镜检查或皮肤、肌肉病理检查[2]。对于4岁以前发病的患儿,可首选PPT1和TPP1酶活性检查,出现酶活性下降可明确诊断。上述酶学检查对患儿创伤小且成本相对较低,对于4岁前起病的患儿,可作为首选。如果上述酶活性正常或发病年龄在4岁以后者,明确诊断可行皮肤、肌肉病理检查[5]。皮肤肌肉病理检查属于有创检查,近年来由于二代测序基因检测技术在临床的广泛应用及成本的降低,对于临床高度疑诊NCL的患儿也可采用靶向捕获癫痫基因包检测NCL相关基因明确诊断。先证者基因检测明确诊断,对于父母再生育产前诊断具有重要的意义。神经遗传病或代谢病的常见特点是智力运动发育落后或倒退,不明原因的癫痫发作,当头颅MRI出现弥散性脑萎缩时,应考虑到NCL的可能,进一步行相关的酶学检查或皮肤、肌肉病理检查或基因检测明确诊断。NCL要注意与其他神经遗传病或代谢病鉴别,由于NCL常有肌阵挛发作,要特别注意与线粒体病中的肌阵挛癫痫伴破碎红纤维(myoclonic epilepsy associated with ragged red fiber,MERRF)和Lafora病鉴别,必要时行血尿代谢筛查除外其他遗传代谢病。
NCL预后不良,目前尚无特异性治疗手段,可给予对症治疗改善症状,如有癫痫发作,应给予抗癫痫药物治疗。许多新的治疗策略,如酶替代治疗、基因治疗、神经干细胞移植疗法等均有报道,这些治疗方法对NCL是否能阻断病情恶化或改善生活质量、延续生存时间,目前正处于临床试验阶段[17,18]。
儿童期发病的NCL均为常染色体隐性遗传,为阻止母亲再生育本病患儿,对于酶学检查或基因检测诊断明确的先证者,母亲再生育时应进行产前诊断,行羊水酶学检查和相关基因检查[19,20]。





















