
探讨4羟基丁酸尿症患儿的临床及实验室诊断及随访。
收集2012年6月至2017年7月天津市儿童医院就诊的9例4羟基丁酸尿症患儿资料,根据其临床特征,应用头颅磁共振成像(MRI)、尿气相色谱-质谱法(GC/MS)半定量检测及ALDH5A1基因突变检测多层面分析。
9例起病年龄均<1岁,均存在精神运动发育落后,4例癫痫发作,1例意识障碍,1例不自主运动。9例均行头颅MRI检查,4例头颅MRI示双侧对称性苍白球病变,其中1例伴中脑大脑脚对称性异常信号,1例头颅MRI示左颞叶皮质区软化灶,4例头颅MRI示脑室、脑外间隙增宽。9例尿GC/MS半定量检测示尿4羟基丁酸增高。9例行基因检测均为ALDH5A1基因突变,突变位点3例为c.1568C>T纯合突变,1例为c.839T>G纯合突变,余5例分别为c.691G>A,c.1568C>T;c.1383_2delA,c.1568C>T;c.527G>A,c.691G>A;c.904G>A,c.1022C>A;c.398_399delA、c.638G>T复合杂合突变。9例予对症治疗,其中4例伴癫痫患儿予抗癫痫药物治疗。9例随访,1例因癫痫持续状态死亡,1例癫痫已控制5年,2例抗癫痫治疗有效。8例精神运动发育落后有不同程度好转,1例不自主运动消失,2例复查尿GC/MS半定量检测仍示尿4羟基丁酸增高。
4羟基丁酸尿症多在1岁内起病,以精神运动发育落后为首发表现,可有癫痫。头颅MRI以对称性苍白球异常信号为主要特征。尿GC/MS示4羟基丁酸增高,为本病生化诊断依据,其在体内蓄积主要损害中枢神经系统。ALDH5A1为致病基因,其中c.1568C>T位点发生突变频率高,推测此位点可能为中国患儿的热点突变。有癫痫者可能死于癫痫持续状态,可作为评判疾病严重度的一个临床指标。无特效治疗,有癫痫者予抗癫痫药物治疗,丙戊酸可加重病情,应避免使用。
版权归中华医学会所有。
未经授权,不得转载、摘编本刊文章,不得使用本刊的版式设计。
除非特别声明,本刊刊出的所有文章不代表中华医学会和本刊编委会的观点。
4羟基丁酸尿症又称琥珀酸半醛脱氢酶(SSADH)缺陷病,属于有机酸代谢病,为常染色体隐性遗传,由ALDH5A1基因突变导致SSADH缺乏所致,临床表现以神经系统损害为主,为罕见病。本研究报道9例4羟基丁酸尿症患儿,以提高临床医师对该病的认识。
2012年6月至2017年7月天津市儿童医院就诊的9例4羟基丁酸尿症患儿。其中男5例,女4例;起病年龄2~7个月,平均年龄4个月;就诊年龄86 d~5岁,平均年龄3岁。4例因癫痫发作就诊、5例因发育落后就诊。3例母亲有不明原因流产史,1例母亲有死产史,余5例孕产史无异常。1例为试管婴儿。1例父母为近亲结婚。
对患儿临床特征、头颅磁共振成像(MRI)、尿气相色谱-质谱法(GC/MS)半定量检测及基因突变分析等临床资料进行回顾性分析并随访。本研究获得患儿监护人知情同意及医院医学伦理委员会批准(批准文号:2016021)。
头颅MRI采用美国GE公司1.5T Signa HDxt超导型MRI仪,常规扫描包括轴位T1Flair[重复时间(repetition time,TR)/回波时间(echo time,TE)=1 750/24 ms],T2Propeller(TR/TE=5 000/127 ms),T2Flair(TR/TE=8 500/155 ms),弥散加权成像(diffusion weighted imaging,DWI)(扩散敏感系数b值=1 000),层厚7 mm,层间隔1 mm,视野(field of view,FOV) 24 cm×24 cm。矢状位T1Flair(TR/TE=1 750/9 ms),层厚5 mm、层间隔1 mm,FOV 24 cm×24 cm。线圈采用大膝线圈。
GC/MS检测方法为半定量法,检测值为4羟基丁酸与内标比值,仪器为日本岛津公司产品(QP2010 Ultra)。
应用聚合酶链反应及DNA直接测序技术对9个4羟基丁酸尿症家系患儿及其父母ALDH5A1基因进行突变位点检测,同时检测100例健康对照组(来源于天津市儿童医院生物样本库,男女各50例,年龄3~12岁)的ALDH5A1基因以排除基因多态性。
9例均存在精神运动发育落后,3例发育商(DQ) 50~70,1例智商(IQ) 65。4例伴癫痫发作(全面强直发作、局灶发作、痉挛发作),其中1例呈癫痫持续状态,1例伴意识障碍,1例伴不自主运动。结果见表1。

4羟基丁酸尿症患儿9例的临床表现
Clinical manifestations of 9 children with 4-hydroxy butyrate aciduria
4羟基丁酸尿症患儿9例的临床表现
Clinical manifestations of 9 children with 4-hydroxy butyrate aciduria
| 例序 | 性别 | 发病年龄 | 就诊年龄 | 临床表现 | 母亲生育史 | 其他 |
|---|---|---|---|---|---|---|
| 1 | 男 | 5个月 | 6个月 | 癫痫发作、意识障碍、精神、运动发育落后 | 无 | 无 |
| 2 | 女 | 7个月 | 3岁 | 癫痫发作、精神、运动发育落后 | 无 | 无 |
| 3 | 女 | 3个月 | 8个月 | 精神、运动发育落后 | 母第1胎于孕3个月自然流产 | 无 |
| 4 | 男 | 3个月 | 5个月 | 精神、运动发育落后 | 无 | 无 |
| 5 | 男 | 2个月 | 86 d | 癫痫发作、精神、运动发育落后 | 母第1胎、第1产23 d因抽搐死亡;第2胎孕2个月自然流产 | 试管婴儿 |
| 6 | 男 | 3个月 | 4个月 | 不自主运动、精神、运动发育落后 | 无 | 无 |
| 7 | 女 | 5个月 | 12个月 | 精神、运动发育落后 | 母第2胎、第2产,死产 | 无 |
| 8 | 男 | 5个月 | 5岁 | 智力障碍 | 无 | 患儿父母为近亲结婚 |
| 9 | 女 | 3个月 | 8月 | 癫痫发作、精神、运动发育落后 | 母第1胎于孕1个月自然流产 | 无 |
3例代谢性酸中毒,4例乳酸轻度增高。余血生化检查大致正常。
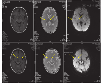
例1、2、3、4头颅MRI提示双侧苍白球对称性T2加权像(T2WI)及液体衰减反转恢复(FLAIR)序列高信号,例1伴中脑大脑脚对称性长T1、长T2及FLAIR序列高信号(图1)。例5、6、8、9头颅MRI提示脑室、脑外间隙增宽。例7头颅MRI提示左颞叶皮质区软化灶。


注:T1WI:T1加权像;T2WI:T2加权像;FLAIR:液体衰减反转恢复 T1WI:T1 weighing imaging;T2WI:T2 weighing imaging;FLAIR:fluid attented inversion recovery
9例尿4羟基丁酸均增高(图2)。


注:4HB:4-羟基丁酸;3DT:3脱氧己糖酸;2DT:2脱氧己糖酸;4,5DHHA:4,5二羟基己酸 4HB:4-hydroxybutyric acid;3DT:3 deoxyhexanoic acid;2DT:2 deoxyhexanoic acid;4,5DHHA:4,5 dihydroxyhexanoic acid

4羟基丁酸尿症9例患儿ALDH5A1基因测序结果
ALDH5A1 gene sequencing results in 9 children with 4-hydroxybutyric aciduria
4羟基丁酸尿症9例患儿ALDH5A1基因测序结果
ALDH5A1 gene sequencing results in 9 children with 4-hydroxybutyric aciduria
| 例序 | 核苷酸变化 | 氨基酸变化 | 外显子/内含子 | 变异类型 | 家系来源验证情况 | |
|---|---|---|---|---|---|---|
| 父亲 | 母亲 | |||||
| 1 | c.691G>A、c.1568C>T复合杂合突变 | p.Glu231Lys、p.Ser523Phe | Exon4、Exon11 | 错义突变 | c.1568C>T杂合变异 | c.691G>A杂合变异 |
| 2 | c.527G>A、c.691G>A复合杂合突变 | p.Gly176Glu、p.Glu231Lys | Exon3、Exon4 | 错义突变 | c.691G>A杂合变异 | c.527G>A杂合变异 |
| 3 | c.1383_2delA、c.1568C>T复合杂合突变 | p.Ser523Phe | Intron9、Exon11 | 缺失突变 | c.1383-2delA杂合变异 | c.1568C>T杂合变异 |
| 4 | c.904G>A、c.1022C>A复合杂合突变 | p.Gly302Arg、p.Ala341Asp | Exon6、Exon7 | 错义突变 | c.904G>A杂合变异 | c.1022C>A杂合变异 |
| 5 | c.1568C>T纯合突变 | p.Ser523Phe | Exon11 | 错义突变 | 未发现变异 | c.1568C>T杂合变异 |
| 6 | c.1568C>T纯合突变 | p.Ser523Phe | Exon11 | 错义突变 | c.1568C>T杂合变异 | c.1568C>T杂合变异 |
| 7 | c.1568C>T纯合突变 | p.Ser523Phe | Exon11 | 错义突变 | c.1568C>T杂合变异 | c.1568C>T杂合变异 |
| 8 | c.839T>G纯合突变 | p.Val280Gly | Exon6 | 错义突变 | c.839T>G杂合变异 | c.839T>G杂合变异 |
| 9 | c.398_399delA、c.638G>T复合杂合突变 | p.Asn134Hyp、p.Arg213Leu | Exon2、Exon4 | 缺失突变 | c.638G>T杂合变异 | c.398_399delA杂合变异 |


6例检测脑电图,2例提示背景慢活动增多,2例发作间期见痫样放电,其中1例监测到1次癫痫性痉挛发作,2例正常。
9例予对症治疗及康复治疗,其中4例伴癫痫患儿予抗癫痫药物(AEDs)治疗,3例口服2种AEDs(托吡酯、左乙拉西坦)治疗,1例口服单药(托吡酯)治疗。
9例随访3个月~6年余,1例因癫痫持续状态死亡,1例癫痫无发作5年,复查脑电图痫样放电减少,2例抗癫痫治疗有效。8例精神运动发育落后有不同程度好转,无进行性发育倒退,其中2例学龄期儿童上特殊学校,能进行简单语言交流,注意力不集中,性格较为孤僻,运动协调能力差,余6例为学龄前儿童,同样存在语言落后、注意力不集中、运动协调能力差等问题,合并癫痫者认知障碍更为明显,1例伴不自主运动消失。2例复查尿GC/MS半定量检测仍示尿4羟基丁酸增高。
4羟基丁酸尿症为常染色体隐性遗传性疾病,是由SSADH缺乏所致,其致病基因ALDH5A1位于6p22[1]。SSADH参与γ-氨基丁酸(GABA)代谢过程,正常生理状态下,GABA在GABA转氨酶作用下,形成琥珀酸半醛,然后在SSADH作用下形成琥珀酸,参与三羧酸循环。当SSADH缺乏时,琥珀酸半醛则通过琥珀酸半醛还原酶生成4羟基丁酸(GHB),血、尿、脑脊液中GHB显著增多,过量的GHB对神经系统产生毒性作用。目前GHB神经毒性在人体中的确切机制仍不明确,但在最近的小鼠研究中,内源性GHB浓度升高的神经毒性作用已显示出显著增加氧化应激的各种参数,据推测,GHB神经毒性导致脂质过氧化副产物(硫代巴比妥酸反应性物质)的积累,并显著降低抗氧化反应性,从而加剧SSADH缺乏症患者的神经变性[2]。本病典型临床表现包括发育迟缓,肌张力减低,反射减弱。年长儿童通常存在认知障碍,其中表达性语言障碍非常突出。约50%的患者存在癫痫表现,最常见为强直阵挛发作,亦可出现失神发作、肌阵挛发作等多种发作形式,脑电图可有背景活动减慢及痫样放电。共济失调多为非进展性的,并且随着时间的推移趋于改善。可能存在锥体外系症状,包括肌张力障碍,肌阵挛和舞蹈手足徐动症。精神心理问题同样多见,其特点是儿童早期注意力不集中,青春期及以后会出现强迫症、孤独症样表现,常伴睡眠障碍。其中癫痫和精神疾患发生率随年龄增长有加重趋势[3]。头颅MRI示双侧苍白球T2高信号是本病特征性影像学改变,双侧皮质下白质、小脑齿状核和脑干也可累及[4]。本病特征性影像学表现可能与线粒体能量代谢障碍相关[5]。尿GHB增高是SSADH缺陷病的生化特征,为诊断重要依据。基因突变检测可进一步确诊。本组9例起病年龄均<1岁,均以精神运动发育落后为首发表现,4例伴癫痫发作,发作形式包括全身强直发作、局灶发作、痉挛发作,其中1例呈癫痫持续状态,1例伴意识障碍,1例伴不自主运动。9例均行头颅MRI检查,4例头颅MRI示双侧苍白球对称性长T2信号影,支持双侧对称性苍白球病变为本病的影像学特征,其中1例伴中脑大脑脚对称性异常信号,1例头颅MRI示左颞叶皮质区软化灶。9例尿GC/MS半定量检测示尿4羟基丁酸增高,支持4羟基丁酸尿症诊断。在此基础上,对9例患儿及其父母进行了ALDH5A1基因突变分析,结果发现不同位点均可出现突变,且采用限制性内切酶酶切分析法检测100例健康对照者未见上述突变,排除了多态性变异的可能,推测可能为致病突变,通过数据库检索,c.691G>A、c.1568C>T、c.527G>A、c.1383_2delA、c.904G>A、c.1022C>A为已知突变,c.839T>G、c.398_399delA、c.638G>T为新发突变,该突变最终使SSADH酶活性下降,其中5例存在位点c.1568C>T突变(3例纯合突变、2例复合杂合突变),推测此位点可能为中国患儿的热点突变。目前国外已报道了较多的ALDH5A1基因突变,包括错义突变、无义突变、碱基缺失和剪切错误,国内仅有少量报道[6,7]。本病属于有机酸尿症,与其他有机酸尿症相比,病情进展相对缓慢,表现为静止性脑病特点,血生化无特异性,代谢性酸中毒及乳酸升高并不突出,肝肾等脏器及血液系统损害亦不突出,主要以中枢神经系统损害为主,此点不同于其他有机酸尿症。其中2例复查尿4羟基丁酸倍率有所降低,未发现假阴性情况。本病目前缺乏特效药物治疗,以对症及支持治疗为主,如合并癫痫发作,可根据发作类型选择AEDs治疗,氨己烯酸作为GABA转氨酶抑制剂,可减少GHB产生,可对部分病例有效。也有研究表明,应用氨己烯酸导致GABA增加,会引起视网膜损伤,同时补充牛磺酸可减缓视网膜病变的恶化[8]。丙戊酸由于抑制SSADH酶活性、加重病情,禁忌使用。本组4例合并癫痫,经托吡酯、左乙拉西坦单药或联合用药抗癫痫治疗,1例发作终止,2例有效,1例因癫痫持续状态死亡。因氨己烯酸并未有明确适应证,且可能出现不可逆视野缺损,故未推荐使用。癫痫持续状态为本组患儿致死原因,因此可考虑作为评判疾病严重度的一个临床指标。最近的动物实验表明,多种代谢紊乱可能与氧化应激标记,哺乳动物雷帕霉素靶蛋白(mTOR)信号通路在内的自噬失调,以及半醛中间体的积累等病理生理学相关[9]。治疗前景包括mTOR抑制剂、抗氧化剂、NCS-382(一种推定的GHB受体拮抗剂)的潜在临床应用[2,10,11,12,13]。
综上,本病为有机酸代谢异常中的罕见病,以中枢神经系统损害为主要表现,常规实验室检查缺乏特异性,在临床工作中对不明原因精神运动发育落后、癫痫及头颅MRI提示双侧苍白球对称性异常信号的患儿应尽早进行尿GC/MS及基因检测,避免漏诊和误诊。本病无特效治疗,通过控制癫痫、康复及对症治疗,病情可有不同程度改善,但可能死于癫痫持续状态。避免使用丙戊酸,以免加重病情。在特效药物诞生前,产前诊断虽然可行,但仍有局限性。
所有作者均声明不存在利益冲突





















