
回顾性分析青岛大学附属医院1例COQ2基因突变所致的原发性辅酶Q10缺乏症患儿的临床特征及基因突变特点,提高对该疾病的认识。收集患儿临床资料,基因测序明确患儿基因突变并进行分析。患儿,男,1岁8个月,以激素耐药型肾病综合征为临床表型,低蛋白血症难以纠正,水肿进行性加重。基因检测发现存在COQ2基因复合杂合突变,分别为COQ2基因c.854A>G突变(来自母亲)和c.912+1 del G突变(来自父亲);肾活检病理结果为局灶节段性肾小球硬化。诊断为COQ2基因突变导致的原发性辅酶Q10缺乏症。COQ2基因突变导致的原发性辅酶Q10缺乏症可仅表现为激素耐型肾病综合征,病理类型多为局灶节段性肾小球硬化,早期大剂量补充外源性辅酶Q10可能有良好的临床疗效。
版权归中华医学会所有。
未经授权,不得转载、摘编本刊文章,不得使用本刊的版式设计。
除非特别声明,本刊刊出的所有文章不代表中华医学会和本刊编委会的观点。
原发性辅酶Q10缺乏症是一系列罕见的常染色体隐性遗传病,系辅酶Q10(COQ10)生物合成过程中关键酶的编码基因发生突变导致。该系列疾病临床表现多样,可表现为神经系统、肌肉、肾脏等多种器官系统受累,也是引起儿童终末期肾病的原因之一。因部分患儿对大剂量补充外源性COQ10有良好的治疗反应,故早期确诊对改善患儿预后、提高患儿及家庭生活质量意义重大。COQ2基因是首个被发现与该病相关的基因突变[1],但目前相关病例国内报道较少。现通过回顾1例以肾病综合征起病的原发性COQ10缺乏症患儿的临床特征及相关文献的复习,提高对该疾病的认识。
患儿,男,1岁8个月,因眼睑及双下肢水肿27 d收入青岛大学附属医院儿童医学中心治疗。
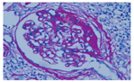
患儿曾于入院27 d前接种"百白破疫苗",之后出现双眼睑及双下肢水肿,呈进行性加重。就诊于当地医院,行尿常规示蛋白+++,潜血+++,尿红细胞计数不详;遂以"肾病综合征"收入当地医院治疗。当时查血清清蛋白21 g/L,总胆固醇12.12 mmol/L;补体C3 3.54 g/L,C4>2.16 g/L;肾功能示肌酐9.94 μmol/L,尿素氮10.10 mmol/L。乙型肝炎表面抗原阴性;抗核抗体、抗双链DNA抗体、红细胞沉降率均无异常;结核菌素试验阴性。腹部及泌尿系统超声见腹腔积液,部分系膜水肿、增厚;双肾实质回声增强。于当地医院接受足量糖皮质激素[泼尼松2 mg/(kg·d),每日2次]诱导缓解治疗2周,期间多次复查尿液分析,尿蛋白波动于+++~++++,潜血+~+++,红细胞计数1.11×108/L~1.86×108/L,尿蛋白无明显好转。患儿水肿逐渐加重,予静脉补充人血清蛋白多次,并予呋塞米利尿治疗,效果欠佳。治疗2周时复查尿液分析,尿蛋白仍为++++;血清清蛋白12.5 g/L;遂转来青岛大学附属医院。入院检查示:血压110/62 mmHg(1 mmHg=0.133 kPa),神志清,精神萎靡,易激惹。面色苍白;颜面部水肿明显。肺部查体未见异常。心率110次/min,心音略低钝。腹部膨隆,脐窝消失,移动性浊音阳性。双下肢重度凹陷性水肿。双侧阴囊明显水肿。查血常规示:白细胞计数10.96×109/L,中性粒细胞计数6.17×109/L,淋巴细胞计数4.01×109/L,血小板计数368×109/L,血红蛋白111 g/L,C反应蛋白0.43 g/L。血凝常规:抗凝血酶Ⅲ 30.00%,部分凝血活酶时间(APTT) 64.2 s,APTT比值2.18,纤维蛋白原1.58 g/L。血清蛋白11.5 g/L,血清总胆固醇8.16 mmol/L,血钠127 mmol/L,血氯109 mmol/L,血尿素10.2 mmol/L,血肌酐76.20 μmol/L。血清补体C3 0.3 g/L,补体C4<0.068 g/L。大便常规、肝炎全套大致正常。泌尿系统超声示双肾实质回声增高。结合患儿大量蛋白尿、低蛋白血症、高胆固醇血症、水肿病史,诊断为肾病综合征,遂继续予静脉应用甲泼尼龙[相当于泼尼松2 mg/(kg·d),每日2次]治疗(共10 d)。患儿入院时水肿明显、尿量少,考虑为有效循环血容量不足所致。遂予积极扩容、利尿、抗凝等治疗。但患儿低蛋白血症难以纠正,水肿进行性加重,尿量持续偏少,每日尿量仅200~300 mL,多次复查肾功能尿素氮波动于10.5~15.6 mmol/L,血清清蛋白波动于9.46~10.5 g/L。患儿留尿困难,未能定期复查尿液分析。待患儿足量糖皮质激素诱导满4周,其尿蛋白未转阴、低蛋白血症未能纠正,水肿进行性加重,考虑患儿为激素耐药型肾病综合征可能性大。遂留取血样外送基因检测,并予肾脏穿刺活检。穿刺组织病理示局灶节段性肾小球硬化(图1)。治疗上积极补充血清蛋白、利尿,并予糖皮质激素[甲泼尼龙14 mg/(kg·d)]冲击治疗1次。患儿尿量持续偏少,水肿仍无好转,进行性加重。后患儿突发呼吸困难、心率加快,经抢救无效死亡。


患儿肾病基因筛查结果回示COQ2基因存在复合杂合突变,分别为c.854A>G(NM-001358921.1)和c.912+1del G(图2)。其中c.854A>G为错义突变,可引起第275位氨基酸由苏氨酸突变为丙氨酸。通过NCBI网站搜索,该位点氨基酸在多个物种中均高度保守(图3);经PolyPhen2软件预测,提示该突变为致病突变可能性大(图4)。另一突变c.912+1del G突变为剪切位点突变。经Ensembl在线预测软件(https://useast.ensembl.org/Homo_sapiens/Tools/VEP)预测,提示该突变为有害突变(图5)。该2个突变均为新发现突变,在专业版HGMD数据库中均无收录。








COQ10又名泛醌,是线粒体内膜呼吸链的重要组成成分。其在电子传递链中负责将电子由复合体Ⅰ或Ⅱ传递给复合体Ⅲ,从而维持线粒体内外的氢离子浓度梯度。此外,COQ10还具有抗氧化、调节钙离子稳态、改善线粒体功能及阻止细胞凋亡等功能。COQ10的生物合成是一个多种酶促反应参与的复杂过程,参与这一过程的重要合成酶的编码基因如发生缺陷,可导致COQ10合成下降、进而影响线粒体功能,并引起一系列临床表型,即原发性COQ10缺乏症。
原发性COQ10缺乏症属常染色体隐性遗传病,1989年首次被报道。目前已明确的致病基因有8种,分别为PDSS1、PDSS2、COQ2、COQ4、COQ6、ADCK3、ADCK4和COQ9[2]。其发病机制可能与突变带来的细胞能量代谢缺陷相关,但也可能与COQ10的其他生物功能相关。原发型COQ10缺陷病的临床表型主要有5种[3]:脑肌病、严重的婴儿多系统疾病、肾脏病变、小脑性共济失调、孤立性肌病。其中肾脏病变型可独立发生,也可伴有其他临床表型。已明确,COQ2、COQ6、COQ9、ADCK4、PDSS2等为肾脏病变型相关基因。
人类COQ2基因位于第4号染色体长期臂21区23带,含有7个外显子;其编码分子为对羟基苯甲酸聚戊烯转移酶,可催化聚异戊二烯转移至苯环,是COQ10生物合成过程中的限速酶。COQ2突变为原发性COQ10缺乏症的常见类型。COQ2相关性COQ10缺乏症发病年龄差异较大,其临床表现从孤立性的肾病综合征[4]、肾病综合征伴脑肌病[2],新生儿快速致死性多系统疾病[5]均有报道。其中肾病综合征是COQ2突变所致肾脏受累的主要表现,尤其是激素耐药型肾病综合征,多发病年龄早,病理类型多为局灶节段肾小球硬化[6]。Diomedi-Camassei等[7]认为当电子显微镜下观察到肾小球囊细胞和肾小球细胞中线粒体数目增加时,则应怀疑是由于COQ2基因突变引起的肾脏病变。本例患儿,为婴儿期起病,以激素耐药型肾病综合征为突出表现,存在顽固的水肿、难以纠正的低蛋白血症,肾脏病理为局灶节段性肾小球硬化,与上述文献报道中相符。该患儿目前无神经、肌肉、心血管等系统病变表现证据。但该患儿发病年龄小,且病情进展快、急剧恶化而去世,未能完成神经系统的影像学检查,不能排除该患儿已存在神经系统受累,但由于年龄小、累积损伤轻而暂无临床表现。既往有文章提出,对疑诊该病的患儿应进行皮肤成纤维细胞培训或肌肉活检,检测其COQ10含量是否下降,并以此作为确诊的标准[6]。但Starr等[8]研究发现,并非所有的COQ2突变的、以肾脏受累为主要临床表型的患者其白细胞COQ10水平均下降。提示COQ2突变所致肾脏受累,可能不单纯由于线粒体能量代谢受损,而与COQ2的其他作用相关。也正因为缺乏其他有效的检测手段,基因测序是确诊COQ2突变所致COQ10缺陷病的主要手段。在该例患儿,通过二代测序技术对患儿及其父母基因进行检测,提示在患儿的COQ2基因存在复合杂合突变:c.854 A>G(来自母亲)和c.912+1 del G(来自父亲),均为未经报道的新发突变。其中c.854 A>G突变为错义突变,可导致COQ2的编码蛋白第275位氨基酸由苏氨酸突变为丙氨酸。该位置氨基酸在不同物种间高度保守,提示其在生物体内有重要意义。该突变经PolyPhen2软件预测为可能致病;而c.912+1 del G突变为剪切位点突变,经Ensembl在线预测为有害,理论上也是致病突变。故该例患儿基因型与临床表型相符,可以确诊为COQ2突变所致的原发性COQ10缺乏病。
对确诊该病的患者,补充外源性COQ10通常有良好的临床疗效。具体用量目前尚无统一意见,文献中从5 mg/(kg·d)至50 mg/(kg·d)均有报道,多采用30 mg/(kg·d)进行补充。患儿尿蛋白多可在数月内减轻或恢复正常。但对已经造成的严重肾脏及中枢中枢神经系统损伤的患者,损伤多是不可逆转的[6]。
COQ2基因突变导致的原发性COQ10缺乏症相关报道较少,早期识别、早期诊断,对患者早期接受合适的治疗方式十分关键。对不明原因的激素耐药型肾病综合征,或肾脏病理为局灶节段肾小球硬化,并伴有脑肌病等肾外表现的患者,应高度怀疑此病,应尽早行基因检测,发现相关基因突变可明确诊断[9]。
所有作者均声明不存在利益冲突

























