
探讨儿童中央核肌病的临床表型、转归及基因型,以提高对该病的认识。
回顾性分析2008年10月至2018年12月北京大学第一医院儿科经临床和病理检查确诊的中央核肌病9例患儿的临床、病理和基因检测资料,随访8个月~8.6年[(4.4±3.1)年]。
1.临床表型:9例患儿中,男6例,女3例;起病年龄为出生1 d~10岁。8例以肢体无力或运动发育落后为主诉,1例因体检发现血清肌酸肌酶升高就诊。体格检查示患儿均存在骨骼肌无力,其中4例伴颜面肌受累。6例患儿接受随诊,其中4例运动功能无显著下降,2例改善;随诊患儿均无显著心脏受累;4例出现脊柱侧弯。5例接受肺功能检测,其中2例出现限制性通气障碍。2.基因型:接受检查的8例中4例诊断明确,其中2例DNM2基因新生变异c.1893+1G>A、c.1856C>T(已报道致病变异),1例RYR1基因复合杂合变异c.2044C>G和c.6823G>A, 1例TTN基因复合杂合变异c.2106_2107insAAGCTGTA、c.107377+1G>A(已报道致病变异)。
中央核肌病病程相对静止,易累及颜面肌,较少累及心肌。新发现中央核肌病相关基因变异位点4个。
版权归中华医学会所有。
未经授权,不得转载、摘编本刊文章,不得使用本刊的版式设计。
除非特别声明,本刊刊出的所有文章不代表中华医学会和本刊编委会的观点。
中央核肌病(CNM)是一组罕见的先天性肌病,以大量肌纤维的细胞核位于中央为病理特征[1,2]。该病临床罕见,目前尚无发病率的报道,既往报道多为有关该病临床和病理型的病例报道[2]。由于二代测序技术的发展,使得越来越多的CNM得以明确基因诊断。研究表明,多个基因变异与CNM的发生相关,包括MTM1[3,4]、DNM2[5,6]、BIN1[7]、RYR1[8]、CCDC78[9]、MTMR14[10]、TTN[11]、SPEG[12,13]等。本研究回顾性分析CNM的临床特征、转归及基因型,以深化临床医师对该病的认识。
收集2008年10月至2018年12月北京大学第一医院儿科经临床和病理检查确诊的9例CNM患儿的临床、病理和基因检测资料。本研究通过北京大学第一医院生物医学研究伦理委员会批准(批准文号:2018-265)。患儿均需符合先天性肌病的临床特征,包括:婴幼儿或儿童早期起病,广泛性骨骼肌无力、肌张力减低和肌容积缩小,伴或不伴长期肌肉无力继发的面容异常(张口、面容狭长、高腭弓)、脊柱侧凸等,病程相对静止,血清肌酸激酶(CK)正常或轻度升高,肌电图提示肌源性损害。同时,患儿肌肉活检病理均符合CNM的病理诊断,包括:大量具有中央核的肌纤维(≥30%),伴或不伴Ⅰ型肌纤维萎缩及占优势,无坏死和再生肌纤维,排除其他类型先天性肌病,如杆状体肌病、中央轴空病等,排除肌营养不良、炎症性肌病、线粒体病、脂肪或糖原累积性肌肉病等其他肌肉病理改变。
患儿均接受肌活检病理检查,活检部位:4例为左肱二头肌,3例为左腓肠肌,2例为右股四头肌。术前均获得患儿监护人的知情同意。在局部麻醉下行开放式肌肉活检术进行标本取材(0.5 cm×0.5 cm×1.0 cm),标本分为2份,1份制备冷冻切片,常规进行组织学和酶组织化学染色,包括HE染色、改良Gomori三色(MGT)染色、高碘酸Schiff反应(PAS)染色、油红"O"脂肪染色(ORO)、三磷酸腺苷酶(ATP酶)染色、还原型辅酶Ⅰ四氮唑蓝还原酶染色(NADH-TR)、非特异性磷酸酯酶染色(NSE)、琥珀酸脱氢酶(SDH)和细胞色素C氧化酶(COX)染色;1份制作透射电镜超薄切片,进行铅铀双染色和超微结构观察。
8例患儿接受遗传性肌病基因panel测序分析。对于未发现明确致病基因变异的患儿,采用基因靶向捕获二代测序技术进行家系外周血全外显子基因检测和基因拷贝数变异(copy number variation,CNV)检测。对可疑致病基因变异,采用Sanger测序技术进行验证。患儿均进行家系验证。对可疑的致病变异进行保守性分析,并通过PolyPhen-2(http://genetics.bwh/harvard/edu/pph2/)、Mutation Taster(http://www.mutationtaster.org/)、GERP++(http://mendel.Stanford.edu/SidowLab/downloads/gerp/index.html)进行基因变异致病性预测。结合临床,依据2013年美国医学遗传学与基因组学学会(ACMG)指南[14]进行基因变异致病性判断。
6例患儿接受门诊或电话随访,3例失访。随访内容:肌肉受累情况及运动功能评估、心功能、肺功能及脊柱畸形评估。完善心电图和心脏彩超评估心脏功能。肺功能损害程度的评估:第1秒用力呼气容积(FEV1)≥预计值80%为正常;>预计值70%为轻度损害;60%~69%为中度损害;50%~59%为中重度损害;35%~49%为重度损害;<35%为极重度损害。采用脊柱X线片Cobb角评估脊柱侧弯程度:Cobb角10°~20°为轻度;>20°~40°为中度;>40°为重度。
9例CNM患儿中,男6例,女3例;起病年龄为出生1 d~10岁,其中≤1岁7例,>1~3岁1例,>3岁1例。确诊时病程2~12年。8例患儿以肢体无力或运动发育落后为主诉,1例因体检发现CK升高就诊。患儿均存在肌力下降,以近端肢体无力为主,其中四肢肌力Ⅳ级者7例,Ⅴ-级者2例。累及颜面肌者4例,表现为面部表情少、咀嚼固体食物乏力;其中同时累及呼吸肌者1例(例7),表现为说话气短,但夜间睡眠不需要辅助通气。患儿均接受多次CK检测,其中7例为正常,1例CK明显升高,达4 000 IU/L,1例CK轻度升高为203 IU/L(正常参考值为40~196 IU/L)。8例行肌电图检查,其中6例为肌源性损害,2例正常。1例行双下肢肌肉磁共振成像(MRI)检查提示双侧大腿肌肉脂肪浸润。患儿均无家族史。患儿临床资料见表1。

中央核肌病9例患儿的临床资料
Clinical data of 9 children with centronuclear myopathy
中央核肌病9例患儿的临床资料
Clinical data of 9 children with centronuclear myopathy
| 序号 | 性别 | 起病年龄 | 确诊年龄(岁) | 主诉 | 肌酶(IU/L) | 肌电图 | 病理型 | 基因 |
|---|---|---|---|---|---|---|---|---|
| 例1 | 女 | 1 d | 2.7 | 肢体无力 | 正常 | 肌源性 | 中央核肌病 | 未明 |
| 例2 | 女 | 1.6岁 | 5.0 | 肌酶升高 | 4 000 | 未查 | 中央核肌病 | TTN |
| 例3a | 男 | 1.0岁 | 4.0 | 肢体无力 | 正常 | 肌源性 | 中央核肌病 | 未明 |
| 例4 | 男 | 10.0岁 | 12.0 | 肢体无力 | 正常 | 正常 | 中央核肌病 | RYR1 |
| 例5 | 男 | 1 d | 13.0 | 肢体无力 | 正常 | 肌源性 | 中央核肌病 | 未查 |
| 例6 | 女 | 1.0岁 | 4.0 | 运动发育落后 | 正常 | 肌源性 | 中央核肌病 | 未明 |
| 例7ab | 男 | 0.2岁 | 5.0 | 运动发育落后 | 203 | 肌源性 | 中央核肌病 | 未明 |
| 例8a | 男 | 1 d | 6.0 | 肢体无力 | 正常 | 肌源性 | 中央核肌病 | DNM2 |
| 例9a | 男 | 1 d | 7.0 | 肢体无力 | 正常 | 正常 | 中央核肌病 | DNM2 |
注:a伴颜面肌无力;b伴呼吸肌无力 aWith facial weakness;bwith respiratory insufficiency
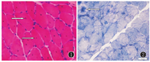
9例患儿肌肉病理均显示中央核肌纤维比例显著增多(≥30%,图1),其中3例见小圆形或小角状萎缩肌纤维散在分布。Ⅰ型肌纤维病理性占优势见于8例。部分肌纤维中央区域氧化酶活性明显增强或减弱见于5例(图2)。患儿均未见肌纤维坏死、再生和炎性细胞浸润。9例超微结构检查均见核内移,均未见线粒体形态或结构异常、糖原或脂肪滴堆积、及其他特异性病理改变,其中3例有局灶肌原纤维排列紊乱。


8例患儿接受基因检测,其中4例诊断明确(表2)。TTN基因c.2106_2107insAAGCTGTA(p.Ala703LysfsTer3)、RYR1基因c.2044C>G(p.Arg682Gly)、c.6823G>A(p.Gly2060Cys)及DNM2基因c.1893+1G>A(剪切位点)为文献未报道的突变位点。

中央核肌病患儿基因诊断信息
Genetic information of children with centronuclear myopathy
中央核肌病患儿基因诊断信息
Genetic information of children with centronuclear myopathy
| 患者序号 | 基因名称 | 遗传方式 | 变异位点 | 蛋白 | 家系验证 |
|---|---|---|---|---|---|
| 例2 | TTN | AR | c.2106_2107insAAGCTGTA | p.Ala703LysfsTer3 | 母源 |
| c.107377+1G>Aa | 剪切变异 | 父源 | |||
| 例4 | RYR1 | AR | c.2044C>G | p.Arg682Gly | 父源 |
| c.6823G>A | p.Gly2060Cys | 母源 | |||
| 例8 | DNM2 | AD | c.1893+1G>A | 剪切位点 | 新生 |
| 例9 | DNM2 | AD | c.1856C>Ta | p.Ser619Leu | 新生 |
注:AR:常染色体隐性遗传;AD:常染色体显性遗传;a表示文献已报道致病性变异位点 AR:autosomal recessive;AD:autosomal dominant;apreviously reported pathogenic variant
9例患儿中3例失访,6例随访8个月~8.6年[(4.4±3.1)年]。随访患儿的运动功能均无明显下降,2例较前好转(例4、例8)。1例(例3)随访过程中逐渐出现颜面肌受累;1例(例9)颜面肌受累程度较2年前加重。6例患儿中4例出现脊柱侧弯。5例接受呼吸功能检测的患儿中2例分别出现了轻度和重度通气功能障碍。5例接受心电图检查的患儿中有1例QT间期延长。4例接受超声心动图检查的患儿中1例存在三尖瓣微量返流。患儿的运动功能及颜面肌受累情况见表3,脊柱、肺功能及心脏功能评估见表4。

随访中央核肌病6例患儿肌肉受累及运动功能变化情况
Follow-up information of muscle involvement and motor function in 6 children with centronuclear myopathy
随访中央核肌病6例患儿肌肉受累及运动功能变化情况
Follow-up information of muscle involvement and motor function in 6 children with centronuclear myopathy
| 序号 | 确诊时肌肉受累及运动情况 | 确诊时年龄 | 末次随诊时肌肉受累情况及运动情况 | 末次随诊时年龄 | ||||||||
|---|---|---|---|---|---|---|---|---|---|---|---|---|
| 颜面肌 | 呼吸肌 | 咽喉肌 | 运动能力 | 肌力 | 颜面肌 | 呼吸肌 | 咽喉肌 | 运动能力 | 肌力 | |||
| 例2 | 无 | 无 | 无 | 能跑 | Ⅴ | 5岁 | 无 | 无 | 无 | 能跑 | Ⅴ- | 13岁 |
| 例3 | 无 | 无 | 无 | 可独走 | Ⅳ | 4岁 | 有 | 无 | 无 | 可独走 | Ⅲ+ | 10岁 |
| 例4 | 无 | 无 | 无 | 可独走 | Ⅳ | 12岁 | 无 | 无 | 无 | 能跑 | Ⅴ | 18岁 |
| 例7 | 有 | 有 | 无 | 可独走 | Ⅳ | 5岁 | 有 | 有 | 无 | 可独走 | Ⅲ | 6.6岁 |
| 例8 | 有 | 无 | 无 | 可独走 | Ⅳ | 6岁 | 有 | 无 | 无 | 能跑 | Ⅳ- | 6.8岁 |
| 例9 | 有 | 无 | 无 | 可独走 | Ⅳ | 7岁 | 加重 | 无 | 无 | 可独走 | Ⅳ- | 9.6岁 |

随访中央核肌病6例患儿脊柱畸形、肺功能评估及心电图、超声心动图检查
Evaluation of spinal deformity,pulmonary function,electrocardiogram and echocardiography in 6 children with centronuclear myopathy
随访中央核肌病6例患儿脊柱畸形、肺功能评估及心电图、超声心动图检查
Evaluation of spinal deformity,pulmonary function,electrocardiogram and echocardiography in 6 children with centronuclear myopathy
| 序号 | 性别 | 随诊年限(年) | 脊柱X线 | 心电图 | 超声心动图 | 肺功能 |
|---|---|---|---|---|---|---|
| 例2 | 女 | 8.6 | 腰椎轻度侧弯 | 正常 | 正常 | 正常 |
| 例3 | 男 | 6.4 | 胸椎轻度侧弯 | 正常 | 正常 | 轻度限制性通气功能障碍 |
| 例4 | 男 | 6.5 | 正常 | 正常 | 正常 | 正常 |
| 例7 | 男 | 1.6 | 胸椎重度左侧弯(Cobb角65°) | QT间期延长(6.33 s) | 三尖瓣微量返流 | 重度限制性通气功能障碍 |
| 例8 | 男 | 0.8 | 无侧弯,未查 | 正常 | 未查 | 未查 |
| 例9 | 男 | 2.6 | 腰椎轻度左侧弯 | 未查 | 未查 | 正常 |
CNM主要表现为婴幼儿期起病,病程相对静止或缓慢进展的广泛性肢体无力[15]。本组9例患儿中8例以肢体无力或运动发育落后为主诉就诊,发病年龄3岁以内较多(8例),且其中7例在婴儿期起病。患儿病程均相对静止,6例患儿接受随访(4.4±3.1)年,运动功能均无明显下降,有2例好转。既往文献报道,CNM与其他病理类型的先天性肌病临床不同的是,常伴眼外肌麻痹、双眼睑下垂、面肌无力等,部分可以累及呼吸肌,导致胸廓畸形、脊柱侧弯、限制性通气障碍等[8]。本组患儿均无眼外肌麻痹、眼睑下垂,但有4例伴颜面肌受累,其中1例在就诊时颜面肌受累不明显,随访过程中逐渐出现颜面肌无力症状,而不伴随骨骼肌无力的加重。颜面肌受累在本组患儿中的发生比例相对较高,与文献[16]报道CNM易伴随颜面肌受累相符。既往文献报道中无CNM累及心脏的报道。本组接受心电图和心脏彩超随访检查的患儿中,仅1例伴随QT间期延长和微量三尖瓣返流,余均正常。本研究结果表明,CNM患儿较少发生心肌受累,即使受累,程度也较轻微。
依据遗传方式的不同,CNM分为4种类型:(1)X-连锁隐性遗传型;(2)常染色体显性遗传型;(3)常染色体隐性遗传型;(4)致病基因不明确的散发型[2]。不同遗传方式的CNM临床表型轻重不等,其中MTM1基因变异所致的临床表型最重,多于胎儿期或新生儿期发病,常因呼吸衰竭或窒息死亡[3]。而DNM2基因变异所致的常染色体显性遗传CNM临床表型相对较轻[6]。常染色体隐性遗传CNM的临床表现严重程度介于前2种类型之间。散发型CNM的临床表现呈多样性[2]。本组患儿中未发现X-连锁隐性遗传病例,基因诊断明确的4例患儿的临床表型均相对较轻,2例DNM2基因变异患儿均于婴儿期起病,表现为运动发育里程碑落后,分别在6.8岁和9.6岁随访时,均能独立行走;1例TTN基因复合杂合变异的患儿也于婴幼儿期隐匿起病,13岁随访时仍能跑跳;1例RYR1基因复合杂合变异的患儿随访至18岁仍能跑跳。本组中4例基因型未明的患儿临床表型均相对较重,均于婴儿期起病,其中2例接受随访的患儿的肌力均较前下降,均伴随面肌受累、脊柱侧弯和限制性通气障碍(例3、例7),提示某些散发型CNM的临床表型可能更严重,致病基因有待进一步被发现。
CNM的诊断主要依据临床表现和特征性病理改变。其中,特征性病理改变是确诊的重要依据[2]。但CNM的特征性病理改变本身缺乏特异性,不仅可以出现在其他类型的先天性肌病,也可以出现在某些类型的肌营养不良,如Duchenne肌营养不良、强直性肌营养不良[17]。本组1例患儿(例2)CK升高,最高达4 000 IU/L。与文献报道CNM患者多数CK正常或仅轻度升高[2,6]不符。该患儿的致病基因为TTN复合杂合变异,而该基因最常见的临床表型为肌营养不良[18],该例患儿的CNM是否为肌营养不良早期表现?Ceyhan-Birsoy等[19]报道5例TTN基因复合杂合变异导致的CNM,其中1例CK为500~1 400 IU/L,作者也曾考虑是否为肌营养不良,但随访病程呈相对静止,且病理未发现肌营养不良征象,因此将其归为CNM。本组此例患儿与之相似,已经随访8.6年,已13岁,病程仍相对静止。因此,将其归为CNM,但不能完全排除其为肌营养不良的可能性。虽然肌肉病理是诊断CNM的关键,但缺乏特异性,有时仍需长时间随访患儿的临床发展以除外某些类型的肌营养不良。
综上,本研究丰富了CNM的基因型和临床表型,发现了4个CNM相关基因突变位点。多数CNM的临床表现与文献报道相符,DNM2、RYR1和TTN基因变异所致的CNM临床表型均可能相对较轻,而基因诊断未明的CNM患儿可能临床表型更严重。由于病例数有限,CNM临床表型及基因型又具有高度异质性,因此,CNM基因型与临床表型之间的关系尚需更大样本病例更长时间随访研究以进一步明确。
所有作者均声明不存在利益冲突





















