
探讨神经导航辅助下穿刺抽吸治疗儿童脑脓肿(PBA)的疗效及预后因素。
回顾性分析郑州大学第一附属医院2013年1月至2019年1月经神经导航辅助下穿刺抽吸治疗的47例PBA患儿的临床资料。根据格拉斯哥预后评分结果评估手术疗效,将患儿分为预后良好组和预后不良组,对2组患儿的预后因素进行单因素分析和二分类Logistic回归模型多因素分析。
47例患儿中预后良好38例(80.9%),预后不良9例(19.1%)。单因素分析显示,脓肿体积>4 cm(χ2=5.650,P=0.017)、多发/多房型脓肿(χ2=3.258,P=0.027)、脓肿位于脑深部/功能(χ2=6.187,P=0.013)与PBA预后不良有关。多因素Logistic回归分析显示,脓肿体积>4 cm(OR=5.913,95%CI:2.241~25.917,P=0.023)、脓肿位于脑深部/功能(OR=10.519,95%CI:3.918~62.513,P<0.001)为PBA预后不良的独立危险因素。
神经导航辅助下穿刺抽吸治疗PBA安全、有效、创伤小,总体疗效满意。脓肿体积>4 cm、脓肿位于脑深部/功能区是预后不良的独立危险因素。
版权归中华医学会所有。
未经授权,不得转载、摘编本刊文章,不得使用本刊的版式设计。
除非特别声明,本刊刊出的所有文章不代表中华医学会和本刊编委会的观点。
儿童脑脓肿(pediatric brain abscess,PBA)是一种少见的小儿神经系统局限性颅内感染性疾病[1]。随着神经影像学的发展和有效抗生素的广泛应用,脑脓肿(brain abscess,BA)的诊断和治疗已取得巨大进步。外科手术是治疗PBA的重要手段,主要包括脓肿切除和脓肿穿刺抽吸[2,3]。本研究回顾性分析47例PBA患儿的临床资料,探讨其疗效及预后因素,为PBA患儿的治疗及预后评估提供依据。
选择2013年1月至2019年1月于郑州大学第一附属医院神经外科行神经导航辅助下穿刺抽吸治疗的PBA患儿共47例,均经磁共振成像(MRI)和病理学明确诊断。纳入标准:(1)脓肿位于幕上大脑半球;(2)单发脓肿体积≥2.5 cm或多房/多发脓肿(其中有体积≥2.5 cm的脓肿);(3)无明确手术禁忌,可耐受手术。患儿监护人均自愿接受治疗,并签署知情同意书,本研究通过医院医学伦理委员会批准(批准文号:2020-KY-156)。
术前行高场强3.0T MRI平扫及动态增强薄层扫描,主要序列包括T1、T2、液体衰减反转恢复序列(FLAIR)、弥散加权成像(DWI)、表观弥散系数(ADC)、T1增强。
手术当天将MRI数据输入神经导航计算机工作站,本中心所用导航系统为Medtronic神经导航系统(Stealth Stationi 7,美国)或Brain Lab神经外科导航系统(iPlan,德国)。术中进行3D重建和融合后,标记穿刺点位置及设计穿刺轨迹。以穿刺点为中心设计直切口或弧形切口,长度为4~5 cm。常规开颅,脑穿针沿导航系统设计的穿刺轨迹穿刺,穿刺成功后用注射器缓慢抽吸脓液。抽吸出大部分脓液后用2 g/L庆大霉素盐水反复冲洗脓腔直至基本清亮,术腔常规不用留置引流管进行术后引流。对于多发性或多房性BA的手术策略:体积≥2.5 cm的脓肿均需穿刺抽吸;若脓肿分布于双侧大脑半球则争取一期手术完成。术后常规应用抗生素6~8周。未明确病原体之前,抗感染治疗遵循"经验性用药"及"联合用药"原则:(1)标准方案:头孢曲松/头孢噻肟+甲硝唑;(2)怀疑葡萄球菌感染:头孢曲松/头孢噻肟+甲硝唑+万古霉素。病原体明确后,则根据抗生素药敏试验结果调整抗生素[4]。
随访时间均在1年以上,随访内容包括患儿临床表现、实验室检查、MRI等。术后每2~4周行头颅MRI平扫及动态增强扫描,随访3个月以上,直至脓肿完全吸收。脓肿完全吸收后,每1~2年复查1次MRI。
术后1年根据格拉斯哥预后评分(GOS)评估疗效[5,6]:恢复良好为5分(恢复正常生活,尽管有轻微残疾),中度残疾为4分(在日常生活、家庭与社会活动中尚能勉强独立),重度残疾为3分(日常生活不能独立,需他人照顾),植物状态为2分,死亡为1分。评分5分的患儿为预后良好组,≤4分为预后不良组。
采用SPSS V22.0软件对数据进行分析。非正态计量资料采用M(P25,P25)表示,非正态连续变量资料转变成计数资料后进行χ2检验。以单因素分析筛选出的关联因素为自变量,以不良预后为因变量,运用二分类Logistic回归模型进行多因素分析。P<0.05为差异有统计学意义。
47例患儿中,男31例(66.0%),女16例(34.0%)。年龄0.9~17.6岁,中位年龄8.6岁。主要临床表现为颅内压增高37例(78.7%),其次为发热21例(44.7%),局灶神经功能缺损症状(如失语、肢体活动障碍等)18例(38.3%),癫痫12例(25.5%)。GOS评分:15分37例(78.7%),12~14分7例(14.9%),≤11分3例(6.4%)。根据细菌入侵途径分类,隐源性BA(感染源不明确)22例(46.8%),血源性BA 13例(27.7%),邻近播散性BA 7例(14.9%),外伤性BA 5例(10.6%)。
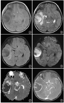
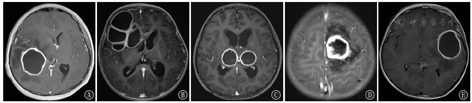
BA MRI典型表现为T1低信号,T2高信号,DWI高信号,ADC低信号,T1动态增强扫描呈环形强化,周围脑组织水肿明显(图1)。47例患儿中,单发型BA 24例(51.1%),多房型BA 9例(19.1%),多发型BA 14例(29.8%)(图2A,图2B,图2C)。根据增强MRI上脓肿壁厚度分类,薄壁组(壁厚<2 mm)28例(59.6%),厚壁组(壁厚≥2 mm)19例(40.4%)(图2D、图2E)。脓肿体积≤4 cm者27例(57.4%),>4 cm者20例(42.6%)。根据脓肿所在位置分类,位于脑深部/功能区(丘脑、基底核、中央区等)15例(31.9%),位于脑浅表部位/非功能区32例(68.1%)。


注:MRI:磁共振成像 MRI:magnetic resonance imaging


注:MRI:磁共振成像 MRI:magnetic resonance imaging
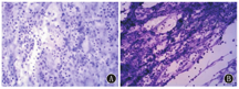
外周血白细胞计数(WBC)异常增高16例(34.0%),正常31例(66.0%)。脓液涂片多见大量中性粒细胞,伴少量淋巴细胞或吞噬细胞(图3)。脓液病原学检查:细菌阴性36例(76.6%);细菌阳性11例(23.4%),其中链球菌属4例,葡萄球菌属3例,变形杆菌属3例,厌氧菌属1例。


47例患儿中,39例(83.0%)接受1次手术治疗,联合术后应用4~8周抗生素,复查MRI示脓肿完全消失,临床症状较术前明显改善。7例(14.9%)治疗2~4周脓肿体积增大或未明显吸收,再次行穿刺抽吸或手术切除。1例(2.1%)术后出现脓肿破溃形成脑室积脓,治疗2周死亡。术后1年评估手术疗效,预后良好38例(80.9%),预后不良9例(19.1%)。
单因素分析结果显示,脓肿体积>4 cm(χ2=5.650,P=0.017)、多发/多房型脓肿(χ2=3.258,P=0.027)、脓肿位于脑深部/功能区(χ2=6.187,P=0.013)与PBA预后不良有关,见表1。

脑脓肿患儿预后单因素分析 (例)
Univariate analysis of prognosis in children with brain abscess (case)
脑脓肿患儿预后单因素分析 (例)
Univariate analysis of prognosis in children with brain abscess (case)
| 预后 | 例数 | 性别 | 年龄 | 脓肿体积 | 脓肿类型 | 脓肿壁类型 | ||||||
|---|---|---|---|---|---|---|---|---|---|---|---|---|
| 男 | 女 | ≤3岁 | >3岁 | ≤4 cm | >4 cm | 单发型 | 多房型 | 多发型 | 薄壁 | 厚壁 | ||
| 良好 | 38 | 26 | 12 | 9 | 29 | 25 | 13 | 21 | 7 | 10 | 22 | 16 |
| 不良 | 9 | 5 | 4 | 3 | 6 | 2 | 7 | 3 | 2 | 4 | 6 | 3 |
| χ2值 | 0.536 | 0.356 | 5.650 | 3.258 | 0.232 | |||||||
| P值 | 0.464 | 0.551 | 0.017 | 0.027 | 0.630 | |||||||
| 预后 | 例数 | 是否位于脑深部/功能区 | 白细胞计数 | 病原学结果 | GOS评分(分) | 病因 | ||||||||
|---|---|---|---|---|---|---|---|---|---|---|---|---|---|---|
| 是 | 否 | 正常 | 异常 | 阳性 | 阴性 | 15 | 12~14 | ≤11 | 隐源性 | 血源性 | 播散性 | 外伤性 | ||
| 良好 | 38 | 9 | 29 | 25 | 13 | 7 | 31 | 31 | 5 | 2 | 18 | 11 | 5 | 4 |
| 不良 | 9 | 6 | 3 | 6 | 3 | 4 | 5 | 6 | 2 | 1 | 4 | 2 | 2 | 1 |
| χ2值 | 6.187 | 0.002 | 2.749 | 1.711 | 0.536 | |||||||||
| P值 | 0.013 | 0.960 | 0.097 | 0.484 | 0.911 | |||||||||
注:GOS:格拉斯哥预后评分 GOS:Glasgow Outcome Scale
将与预后不良关联的3个因素作为自变量,以预后不良为因变量,进行Logistic回归分析,结果显示脓肿体积>4 cm(OR=5.913,95%CI:2.241~25.917,P=0.023)、脓肿位于脑深部/功能区(OR=10.519,95%CI:3.918~62.513,P<0.001)均为预后不良的独立危险因素,见表2。

脑脓肿患儿预后多因素分析
Multivariate analysis of prognosis in children with brainabscess
脑脓肿患儿预后多因素分析
Multivariate analysis of prognosis in children with brainabscess
| 变量 | B | S.E. | Wals | P值 | OR值 | 95%CI |
|---|---|---|---|---|---|---|
| 脓肿体积>4 cm | 1.392 | 1.139 | 5.221 | 0.023 | 5.913 | 2.241~25.917 |
| 脓肿位于脑深部/功能区 | 2.143 | 1.227 | 19.374 | 0.000 | 10.519 | 3.918~62.513 |
| 脓肿类型 | 1.421 | 0.447 | ||||
| 多房型 | 0.385 | 0.433 | 0.319 | 0.537 | 1.718 | 0.412~4.257 |
| 多发型 | 0.552 | 0.629 | 0.817 | 0.241 | 2.117 | 0.791~5.724 |
BA是病原体(细菌、真菌等)侵入颅内造成的局灶性颅内感染,多见于成年人,儿童少见[1]。近20年,随着社会经济的发展和人民生活水平的不断提高,其发病率呈持续下降趋势,目前为(0.3~1.8)/10万[7]。由于BA少发生于儿童,专门针对PBA的流行病学研究较少,多为来自欧美国家的回顾性研究,PBA约占所有同期BA的25%。
目前BA的治疗尚无统一标准方案,总体上讲,要遵循"早期发现、及时治疗"的原则[2]。外科治疗的目的主要是尽快解除脓肿的占位效应,缓解颅高压以及协助明确病原学诊断。BA的外科治疗手段包括开颅手术切除和脓肿穿刺抽吸,关于外科治疗方式的选择,学者观点不一[2]。有学者推荐开颅手术切除,认为手术切除较穿刺抽吸穿刺术后抗生素应用周期更短,住院时间更短,总体花费更少,而穿刺抽吸常导致脓液清除不完全,术后复发率较高,常需多次手术[8]。随着微侵袭神经外科技术的发展,如立体定向技术、神经导航技术及术中超声引导技术广泛应用于神经外科手术后,BA穿刺抽吸的疗效较前显著提升[9,10]。本研究中,83.0%的患儿行1次穿刺抽吸后未再复发,症状较术前改善明显,仅1例死亡,总体有效率满意。穿刺抽吸治疗PBA的疗效关键在于能否以更安全有效的技术手段术中准确定位脓肿清除脓液以及术后基于抗感染等综合治疗。神经导航技术又称为无框架立体定向导航技术,对于脓肿精确定位、最佳手术入路的选择及降低术后并发症等方面均有积极意义。由于神经导航技术近10年才广泛应用于临床,因此关于将其应用于BA治疗的研究较少。与成人BA相比,PBA临床特点上具有其特殊性,如多房性、多发性及巨大脓肿比例更高,预后更差,因此有必要将其作为一个独立群体进行研究[1,11]。回顾近5年来关于PBA治疗的文献,目前多数学者倾向于选择穿刺抽吸,穿刺抽吸占外科治疗的73.0%~93.3%[9,12,13,14,15]。国内外尚无专门针对神经导航辅助穿刺抽吸用于PBA的临床研究。本研究首次评估了神经导航辅助下穿刺抽吸应用于PBA治疗的疗效,认为其具有准确、安全、创伤小等优点。
有学者认为多房型和厚壁型PBA更推荐开颅手术切除,本课题组在引入神经导航系统前亦倾向于这种治疗策略。自引入神经导航后,上述2种类型PBA尝试穿刺抽吸。本研究9例多房型脓肿7例预后良好,19例厚壁型脓肿16例预后良好,总体效果满意。根据以往报道,对于脑深部(如丘脑、基底核区)和脑功能区BA,即使采取以手术为基础的综合治疗,预后仍差,死亡率高[16]。通过神经导航技术,可选择性避开传导束、功能区及血管,以最安全的路径穿刺进入脓肿腔中心,既可以最小化神经及血管损伤,又有利于最大程度抽吸脓液。多数情况下脓液难以一次完全抽吸干净,可用庆大霉素盐水反复冲洗脓腔,尽量减少脓液残留。冲洗过程中要注意动作轻柔,防止脓液播散进入蛛网膜下腔,造成感染弥散。冲洗液要遵循"进出平衡"原则,冲入脓肿腔的液体量要和抽出的液体量相当,避免脓腔过多的冲洗液造成颅内压增高。本课题组不推荐常规留置脓腔引流管,防止脓液沿引流管及手术通道逆行播散至蛛网膜下腔、硬脑膜下腔或颅骨。对于脓肿穿刺抽吸术后复发或者效果不佳的患者,可考虑多次反复抽吸。需要指出的是,虽然神经导航辅助下穿刺抽吸治疗PBA总体效果满意,但仍不能完全取代手术切除。手术切除仍适用于反复穿刺抽吸效果不佳、脓肿体积较大有脑疝先兆或已形成脑疝及外伤性BA脓腔有异物者。根据Brouwer等[2]关于BA的治疗推荐,穿刺抽吸术后需常规应用抗生素6~8周。本组病例细菌培养阳性者仅11例,多是基于经验性用药。细菌培养阳性率低可能与本组患儿隐源性BA、血源性BA所占比例较高以及部分患儿术前已应用抗生素有关。病原微生物基因组测序分析有助于病原学诊断,目前已在国内逐步开展,未来需基于多种手段提高病原学诊断率,给予精准化抗感染治疗[17]。
目前针对PBA患儿预后影响因素的研究较少,已报道的BA预后不良相关因素有就诊时低GOS评分、脓肿破入脑室、低龄及多发脑脓肿[8,18,19]。本研究单因素结果显示,脓肿体积>4 cm、多发或多房型脑脓肿、脑深部/功能区脑脓肿与不良预后相关。多因素Logistic回归分析显示,脓肿体积>4 cm、脓肿位于脑深部/功能区为预后不良的独立危险因素。需要指出的是,本组唯一1例死亡病例为脓肿破溃形成脑室积脓造成,但因样本太少无法进行统计学分析。因此,对于邻近脑室的脓肿需提高警惕,一旦脓液破入脑室将造成灾难性后果。
综上,神经导航辅助下穿刺抽吸治疗幕上PBA安全、有效、创伤小,总体疗效满意,可进行临床应用。脓肿体积>4 cm、脓肿位于脑深部/功能区是预后不良的独立危险因素。
所有作者均声明不存在利益冲突





















