
探讨内源性一氧化氮(NO)对人脐静脉内皮细胞(HUVECs)超氧化物歧化酶1(SOD1)活性及内皮细胞凋亡的调节作用。
以HUVECs为研究对象,采用内皮型一氧化氮合酶(eNOS)短发夹RNA (shRNA)慢病毒转染对内皮细胞eNOS进行敲低,HUVECs分为4组:空载体组(scramble)、转染eNOS shRNA组(eNOS shRNA)、转染eNOS shRNA+硝普钠(SNP)组(eNOS shRNA+SNP)及转染eNOS shRNA+SNP+三(2-羧乙基)膦盐酸盐(TCEP)组(eNOS shRNA+SNP+TCEP)。采用Western blot法检测eNOS蛋白表达和SOD1二聚体/单体蛋白表达,采用酶联免疫吸附法检测SOD酶活性,采用NO荧光探针法检测内皮细胞NO水平,采用二氢乙锭(DHE)检测内皮细胞超氧化物阴离子水平,采用原位末端转移酶标记技术检测内皮细胞凋亡情况。
与空载体组相比,eNOS shRNA组中内源性NO水平(2.690±0.420比15.029±2.193,P<0.01)、eNOS蛋白表达(1.000±0.778比3.141±0.199,P<0.01)、SOD1二聚体/单体比例(4.6±1.0比7.6±2.0,P<0.05)和SOD活性[(0.432±0.254) Carmen′s unit/104 cell比(1.000±0.116) Carmen′s unit/104 cell,P<0.01]均显著降低,细胞内超氧阴离子水平(11.180±1.560比6.146±1.007,P<0.01)和HUVECs凋亡水平[75.0(55.0,100.0)%比0(0,0)%,P<0.01]均显著增加。与eNOS shRNA组相比,eNOS shRNA+SNP组中内源性NO含量(16.705±0.116比2.690±0.420,P<0.01)、SOD1二聚体/单体比例(7.3±2.0比4.6±1.0,P<0.05)和SOD活性[(0.737±0.060) Carmen′s unit/104 cell比(0.432±0.254) Carmen′s unit/104 cell,P<0.05]均显著增加,细胞内超氧阴离子水平(6.897±1.648比11.180±1.560,P<0.01)和HUVECs凋亡水平[0(0,0)%比75.0(55.0,100.0)%,P<0.01]均显著下降。与eNOS shRNA+SNP组相比,eNOS shRNA+SNP+TCEP组中SOD1二聚体/单体比例(4.4±0.9比7.3±2.0,P<0.05)和SOD活性[(0.214±0.084) Carmen′s unit/104 cell比(0.737±0.060) Carmen′s unit/104 cell,P<0.01]均显著降低,超氧阴离子水平(10.917±1.552比6.897±1.640,P<0.01)和HUVECs凋亡水平[63.6(55.0,90.0)%比0(0,0)%,P<0.01]均显著增加;但NO水平(16.112±0.926比16.705±0.116,P>0.05)无明显变化。
内源性NO通过上调SOD1二聚体/单体比例,增强SOD活性,抑制活性氧积累,从而有效对抗人脐静脉内皮细胞凋亡。
版权归中华医学会所有。
未经授权,不得转载、摘编本刊文章,不得使用本刊的版式设计。
除非特别声明,本刊刊出的所有文章不代表中华医学会和本刊编委会的观点。
血管内皮细胞是血管壁的主要组成细胞之一,内皮细胞凋亡可导致血管内皮损伤[1],是动脉粥样硬化、高血压、动脉瘤、缺血再灌注损伤和充血性心力衰竭等心血管疾病的重要病理生理基础[2,3,4,5,6]。内源性一氧化氮(nitricoxide,NO)在一氧化氮合酶催化下由内皮细胞释放,具有介导细胞存活和抗细胞凋亡的作用。但内源性NO抑制内皮细胞凋亡的分子机制尚未完全阐明。超氧化物歧化酶1(superoxide dismutase 1,SOD1)是细胞内主要的抗氧化酶,二聚体形式是其主要活性单位。本研究采用内皮型一氧化氮合酶(eNOS)短发夹RNA (shRNA)慢病毒转染对内皮细胞eNOS进行敲低,在血管内皮细胞中研究内源性NO对SOD1二聚体/单体比例及SOD活性的调节作用和机制,为血管内皮损伤相关心血管疾病的防治提供新思路。
脐静脉内皮细胞(human umbilical vein endothelial cell,HUEVC)系(EA.hy926)购于中国医学科学院基础医学研究所,在含100 g/L胎牛血清、10 g/L青链霉素和10 g/L谷氨酰胺的DMEM/F12培养基(Gibco公司,美国)进行常规培养,以不添加胎牛血清的培养基作为同步化培养基。内皮细胞系在37 ℃、50 mL/L二氧化碳(CO2)细胞培养箱中培养。HUVECs分为空载体组(转染scramble对照病毒)、转染eNOS shRNA组、转染eNOS shRNA +硝普钠(SNP)组(转染eNOS shRNA病毒,100 μmol/L SNP处理1 h)、转染eNOS shRNA+SNP+三(2-羧乙基)膦盐酸盐(TCEP)组(转染eNOS shRNA病毒,100 μmol/L SNP和2 mmol/L TCEP,共处理1 h)。
将含eNOS shRNA和红色荧光蛋白(mCherry) cDNA的慢病毒[赛业(广州)生物科技有限公司]感染HUEVCs,获得eNOS敲低的内皮细胞。采用3.12×109 TU/L慢病毒对细胞进行转染12 h,更换新鲜完全培养基。72 h后,在荧光显微镜下观察到成功转染的细胞中显示mCherry的红色荧光。转染病毒72 h后,用嘌呤霉素(Puromycin,Puro,3 mg/L)对转染病毒的HUVECs筛选1周。根据相同的方案,采用scramble shRNA慢病毒转染HUVECs作为对照。
采用Western blot检测HUVECs中eNOS蛋白表达和SOD1二聚体与单体表达,计算二聚体/单体比例。eNOS抗体(碧云天生物科技有限公司,上海)按1∶1 000稀释,β-tubulin抗体(中杉金桥生物技术有限公司,北京)按1∶3 000稀释,SOD1抗体(Enzo Life Sciences公司,美国)按1∶1 000稀释,甘油醛-3-磷酸脱氢酶(GAPDH)抗体(康成生物工程有限公司,上海)按1∶3 000稀释,一抗与硝酸纤维素膜孵育过夜。二抗稀释比例:鼠二抗(β-tubulin和GAPDH)1∶5 000;兔二抗(SOD1和eNOS)1∶3 000。在FluorChem M MultiFluor系统(Proteinsimple,美国)上使用Prime Western Blotting Detection Reagents(Amersham公司,英国)对条带进行可视化。采用AlphaEaseFC (Alpha公司,美国)对条带进行光密度分析。
采用比色法测定内皮细胞中SOD活性。收集细胞至离心管中,加入试剂盒中配套蛋白提取液,采用总超氧化物歧化酶测定试剂盒(索莱宝科技有限公司,北京),按照说明书测定SOD活性。将黄嘌呤氧化偶联反应体系中抑制率为50%时的SOD酶活力定义为一个酶活力单位。
使用NO特异性荧光染料DAF-FM DA(碧云天生物科技有限公司,上海)测定细胞中NO水平。DAF-FM DA可穿过细胞膜,进入细胞质后被细胞内酯酶催化形成不能穿过细胞膜的DAF-FM。DAF-FM本身仅有很弱的荧光,但和NO反应后可产生强烈荧光。使用共聚焦激光扫描显微镜(Olympus,日本),选取495 nm激发波长,515 nm发射波长进行观察,与NO反应后的DAF-FA产生绿色荧光。
使用原位细胞凋亡检测试剂盒(Roche公司,瑞士)检测内皮细胞凋亡。用含4′,6-二脒基-2-苯基吲哚的抗荧光淬灭剂(中杉金桥生物技术有限公司,北京)对细胞核进行染色。使用共聚焦激光扫描显微镜(Olympus公司,日本),选取450~500 nm激发波长,515~565 nm发射波长进行观察,凋亡细胞的细胞核中观察到绿色荧光。
处理后的细胞于37 ℃在避光条件下用10 μmol/L超氧阴离子敏感染料二氢乙锭(DHE,碧云天生物科技有限公司,上海)染色30 min。使用共聚焦激光扫描显微镜(Olympus公司,日本),选取535 nm作为激发波长,610 nm作为发射波长进行观察。DHE被活细胞摄入后,在超氧化物阴离子作用下脱氢,产生溴化乙锭(ethidium)。溴化乙锭可与RNA或DNA结合产生红色荧光。当细胞内超氧化物阴离子水平较高时,产生的溴化乙锭较多,红色荧光就较强,反之则较弱。
采用SPSS 18.0软件进行数据分析,采用Shapiro-Wilk法检验数据分布,符合正态分布的数据采用
±s表示,组间比较采用独立样本t检验,正态分布数据间多组比较采用单因素方差分析,若方差齐,采用Bonferroni检验;若方差不齐,采用Dunnett T3检验;不符合正态分布的数据采用中位数(P25,P75)表示,组间比较采用Kruskal-Wallis H检验。P<0.05为差异有统计学意义。
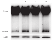
在转染eNOS敲低慢病毒的HUVECs中,与空载体组比较,eNOS shRNA组eNOS蛋白水平(1.000±0.778比3.141±0.199,P<0.01)、细胞NO水平(2.690±0.420比15.029±2.193,P<0.01)和SOD1二聚体/单体比例(4.6±1.0比7.6±2.0,P<0.05)均显著降低。在eNOS shRNA+SNP组中,补充NO供体SNP可升高eNOS敲低的细胞内NO水平(16.705±0.116比2.690±0.420,P<0.01)和SOD1二聚体/单体比例(7.3±2.0比4.6±1.0,P<0.05),见图1、图2、图3。


注:eNOS:内皮型一氧化氮合酶;shRNA:短发夹RNA慢病毒
eNOS:endothelial nitric oxide synthase;shRNA:short hairpin RNA lentivirus


注:eNOS:内皮型一氧化氮合酶;shRNA:短发夹RNA慢病毒;SNP:硝普钠;TCEP:三(2-羧乙基)膦盐酸盐;绿色荧光代表细胞内一氧化氮
eNOS:endothelial nitric oxide synthase;shRNA:short hairpin RNA lentivirus;SNP:sodium nitroprusside;TCEP:tris(2-carboxyethyl)phosphine;the green fluorescence represents intracellular nitric oxide


注:SOD1:铜锌超氧化物歧化酶;Dimer:SOD1的二聚体形式;Monomer:SOD1的单体形式;GAPDH:甘油醛-3-磷酸脱氢酶;eNOS:内皮型一氧化氮合酶;shRNA:短发夹RNA慢病毒;SNP:硝普钠;TCEP:三(2-羧乙基)膦盐酸盐
SOD1:superoxide dismutase 1;Dimer:the dimer form of superoxide dismutase 1;Monomer:the monomer form of superoxide dismutase 1;GAPDH:glyceraldehyde-3-phosphate dehydrogenase;eNOS:endothelial nitric oxide synthase;shRNA:short hairpin RNA lentivirus;SNP:sodium nitroprusside;TCEP:tris(2-carboxyethyl)phosphine
采用TCEP对HUVECs进行处理。结果显示,与eNOS shRNA+SNP组相比,eNOS shRNA+SNP+TCEP组中NO水平(16.112±0.926比16.705±0.116,P>0.05)无显著差异,但eNOS shRNA+SNP+TCEP组中SOD1二聚体/单体比例(4.4±0.9比7.3±2.0,P<0.05)显著降低,见图2、图3。
在HUVECs中,与空载体组比较,eNOS shRNA组SOD活性[(0.432±0.254) Carmen′s unit/104 cell比(1.000±0.116) Carmen′s unit/104 cell,P<0.01]显著降低,细胞内超氧阴离子水平(11.180±1.560比6.146±1.007,P<0.01)显著升高。与eNOS shRNA组比较,在eNOS shRNA+SNP组中,补充NO供体SNP可增加SOD活性[(0.737±0.060) Carmen′s unit/104 cell比(0.432±0.254) Carmen′s unit/104 cell,P<0.05],并降低细胞内超氧阴离子水平(6.897±1.648比11.180±1.560,P<0.01)。与eNOS shRNA+SNP组相比,在eNOS shRNA+SNP+TCEP组中,SOD活性[(0.214±0.084) Carmen′s unit/104 cell比(0.737±0.060) Carmen′s unit/104 cell,P<0.01]显著降低,超氧阴离子水平显著升高(10.917±1.552比6.897±1.640,P<0.01),见图4。与空载体组相比,eNOS shRNA组中HUVECs凋亡水平[75.0(55.0,100.0)%比0(0,0)%,P<0.01]显著提高。与eNOS shRNA组相比,eNOS shRNA+SNP组内皮细胞凋亡水平显著降低[0(0,0)%比75.0(55.0,100.0)%,P<0.01]。但是与eNOS shRNA+SNP组相比,eNOS shRNA+SNP+TCEP组中内皮细胞凋亡水平显著升高[63.6(55.0,90.0)%比0(0,0)%,P<0.01],见图5。


注:DHE:二氢乙锭;eNOS:内皮型一氧化氮合酶;shRNA:短发夹RNA慢病毒;SNP:硝普钠;TCEP:三(2-羧乙基)膦盐酸盐;红色荧光代表细胞内超氧阴离子
DHE:dihydroethidium;eNOS:endothelial nitric oxide synthase;shRNA:short hairpin RNA lentivirus;SNP:Sodium Nitroprusside;TCEP:tris(2-carboxyethyl)phosphine;the red fluorescence represents intracellular superoxide anion


注:TUNEL:原位末端转移酶标记技术;NOS:内皮型一氧化氮合酶;shRNA:短发夹RNA慢病毒;SNP:硝普钠;TCEP:三(2-羧乙基)膦盐酸盐;蓝色荧光代表细胞核;绿色荧光代表TUNEL阳性信号
TUNEL:terminal deoxynucleotidyl transferase (TdT) dUTP nick-end labeling;eNOS:endothelial nitric oxide synthase;shRNA:short hairpin RNA lentivirus;SNP:sodium nitroprusside;TCEP:tris(2-carboxyethyl)phosphine;the blue fluorescence represents nuclei and the green fluorescence represents TUNEL apoptotic nuclei
本研究采用eNOS基因敲低抑制内源性NO产生,可降低SOD1二聚体/单体比例,导致SOD活性下降,氧化应激增强,最终促进内皮细胞凋亡。半胱氨酸依赖的SOD1二聚体/单体比例上调促使SOD激活是内源性NO抗内皮细胞凋亡的一种新的作用机制。
血管内皮细胞凋亡会严重影响内皮的完整性和内皮功能,导致内皮损伤,这与多种心血管疾病的发生发展密切相关[7]。NO作为血管内皮细胞分泌的血管活性气体信号分子,有舒张血管平滑肌等功能[8]。NO对细胞凋亡的调控作用因NO含量和细胞类型而异。本研究结果显示,eNOS敲低的HUVECs呈明显凋亡,补充NO供体SNP对HUVECs的凋亡具有显著抑制作用[9],以上结果显示,eNOS来源的NO具有抗内皮细胞凋亡的保护作用。
NO可通过一些潜在的信号通路参与细胞凋亡的调控,但由于信号通路的多样性,大大增加了NO作用的复杂性。研究表明,SOD活性下调可导致活性氧自由基清除不足并诱发氧化应激,持续的氧化应激通过激活凋亡信号级联通路导致细胞凋亡[10]。SOD1过表达可阻断iNOS介导的脊髓运动神经元凋亡[11]。此外,NO可上调血管平滑肌细胞中SOD1的表达,从而抑制内膜增生[12]。这提示,SOD1可能是NO信号的潜在作用靶点。SOD1的活性不仅与其蛋白表达有关,且受其翻译后修饰调控。SOD1二聚体/单体比例的降低使其更易发生错误折叠和聚集,降低SOD1活性,最终导致家族性肌萎缩侧索硬化症(fALS)[13]。NO可诱导特定位点半胱氨酸的翻译后修饰,从而调节靶蛋白的生物活性。但NO对SOD1翻译后修饰的研究较少。本研究发现,内源性NO通过提高半胱氨酸依赖的SOD1二聚体/单体比例,上调SOD活性;而抑制内皮细胞eNOS/NO通路会降低SOD1二聚体/单体比例和SOD活性,补充NO可使其恢复正常。
SOD1有4个半胱氨酸位点,除形成分子内二硫键的2个半胱氨酸外(Cys57和Cys146),在另外2种游离半胱氨酸(Cys6和Cys111)中,Cys6位于SOD1结构内部的β链上,具有较低反应性[14]。以往研究发现,通过利用Cys111位点的较强活性,尤其是SOD1单体上的Cys111残基在空间上紧密相邻,可使相邻SOD1单体上的2个相邻半胱氨酸残基间进行硫醇-二硫键交换,从而上调SOD1 G85R突变体的二聚体/单体比例,并提高SOD1活性[15]。此外,NO可通过作用于半胱氨酸硫醇基团,从而提高某些酶(如基质金属蛋白酶)二聚体/单体比例,升高酶活性[16,17]。因此推测,NO可能通过作用于SOD1半胱氨酸残基,从而提高SOD1二聚体/单体比例。为了证明这一假设,本研究使用TCEP,其能特异性还原半胱氨酸残基上的硫醇基团。结果显示,在HUVECs中,TCEP能阻断SNP对SOD1二聚体/单体比例的上调作用,表明内源性NO通过作用于半胱氨酸,进而提高SOD1二聚体/单体比例。此外,本研究还发现TCEP取消了SNP对SOD活性的促进作用和对超氧阴离子水平的抑制作用,并阻断SNP对内皮细胞凋亡的抑制作用。
综上,内源性NO通过提高半胱氨酸依赖的SOD1二聚体/单体比例,进而上调SOD活性,抑制活性氧积累及内皮细胞凋亡,发挥对内皮细胞的保护作用,提示将来可从NO出发,研发与NO相关的靶向药物抑制细胞凋亡,为内皮损伤性疾病的预防和治疗提供新策略。
所有作者均声明不存在利益冲突





















