
探讨滤泡辅助性T淋巴(Tfh)细胞在儿童嗜酸性粒细胞性胃肠炎(EG)发病中的作用及临床意义。
选取2018年10月至2020年1月在南京医科大学附属儿童医院消化科住院的EG患儿17例作为EG组,以同期结肠息肉患儿15例为对照组。采用流式细胞术检测2组患儿外周血中Tfh细胞及其功能性分子可诱导性共刺激分子(ICOS)、程序性细胞死亡蛋白1(PD-1)的表达。
EG组与对照组患儿外周血Tfh细胞频率的中位数(四分位间距)分别为7.3(2.6)%、2.8(1.4)%,2组比较差异有统计学意义(P<0.05)。EG组与对照组患儿Tfh细胞上ICOS、PD-1的表达水平的中位数(四分位间距)分别为1.5(1.3)%、1.8(3.2)%及0.1(0.2)%、0.7(0.6)%,2组比较差异均有统计学意义(均P<0.05)。EG组患儿外周血中Tfh细胞频率与ICOS、PD-1表达量及免疫球蛋白E(IgE)水平均呈正相关(r=0.746、0.893、0.587,均P<0.05)。
EG患儿外周血Tfh细胞增多,高表达ICOS、PD-1,处于增殖活化状态;EG患儿外周血Tfh细胞数量与IgE水平呈正相关性;Tfh细胞及其相关分子的异常表达在EG的发生机制中可能起促进作用。
版权归中华医学会所有。
未经授权,不得转载、摘编本刊文章,不得使用本刊的版式设计。
除非特别声明,本刊刊出的所有文章不代表中华医学会和本刊编委会的观点。
嗜酸性粒细胞性胃肠炎(EG)是以胃肠道组织中嗜酸性粒细胞(EOS)弥漫性或节段性浸润为特征的慢性炎症性疾病[1]。EG的发病机制与免疫球蛋白E(IgE)介导的速发型过敏反应及2型辅助型T淋巴(Th2)细胞参与的迟发型变态反应相关[2]。滤泡辅助性T淋巴细胞(Tfh细胞)是新型CD4+T淋巴细胞亚群,在促进B淋巴细胞增殖和分化为记忆B淋巴细胞、浆细胞中起重要作用。研究发现,Tfh细胞和B淋巴细胞的相互作用可调控过敏反应中的抗体类别转换,此外Tfh细胞产生的效应分子白细胞介素(IL)-4和IL-21均能增强Th2细胞的功能,招募组织中EOS聚集[3]。本研究分析儿童EG患儿外周血Tfh细胞的功能性分子,即可诱导共刺激分子(ICOS)及程序性细胞死亡蛋白1(PD-1)的表达及其与IgE水平的相关性,为临床研究提供一定参考。
纳入2018年10月至2020年1月在南京医科大学附属儿童医院消化科住院,有反复腹痛、呕吐、腹胀、腹泻、便血等临床表现的患儿,行消化道内镜检查,参考Talley等[4]的诊断标准,将诊断为EG的17例患儿作为EG组。其中男10例,女7例;年龄1岁6个月~15岁6个月[(7.32±3.74)岁]。将同期经结肠镜检查镜下及病理未见异常的15例结肠息肉患儿作为对照组。其中男10例,女5例;年龄2岁3个月~12岁5个月[(5.24±2.53)岁]。2组间性别及年龄比较差异均无统计学意义(均P>0.05),具有可比性。2组患儿入组前均无皮质类激素、免疫抑制剂及生物制剂使用史,均无感染、其他免疫性疾病及肿瘤等。本研究通过南京医科大学附属儿童医院医学伦理委员会批准(批准文号:201801143-1),患儿监护人均知情同意并签署知情同意书。
收集2组患儿的临床病史和实验室结果。2组患儿均于早晨空腹采集外周静脉血1 mL,常温保存于EDTA抗凝管内。流式细胞分析:用红细胞裂解液处理得到外周血细胞。标本中依次加入荧光标记抗体:多甲藻叶绿素蛋白-抗-白细胞分化抗原4(Percp-anti-CD4)10 μL,异硫氰酸荧光素-抗-C-X-C趋化因子受体5(FITC-anti-CXCR5)5 μL,别藻青蛋白-抗-程序性死亡-1(APC-anti-PD-1)10 μL,藻红蛋白-抗-可诱导共刺激分子(PE-anti-ICOS)5 μL;涡旋混匀,标本置室温,避光孵育30 min。1 500 r/min离心5 min,离心半径8 cm,弃去上清液,充分洗涤,用流式细胞仪FACSAria (BD Biosciences,America )分析检查,得到外周血白细胞分化抗原4+-C-X-C趋化因子受体5+(CD4+CXCR5+) Tfh细胞的比例及ICOS与PD-1的表达水平。
使用SPSS 25.0统计软件进行数据分析。通过单样本Shapiro-Wilk测试,偏态分布资料以中位数(四分位间距)[M(IQR)]表示。2组外周血EOS分布及Tfh细胞、ICOS、PD-1的表达量比较采用Mann-Whitney检验;EG患儿血液中Tfh细胞与相关分子及临床指标间的比较采用Spearman相关性分析,P<0.05为差异有统计学意义。
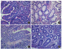
17例EG患儿中,16例(94.12%)为首次就诊,1例(5.88%)为复发患儿;其中腹痛14例(82.35%)、腹泻3例(17.65%)、呕吐3例(17.65%)、便血2例(11.76%);4例(23.53%)有过敏史。EG患儿内窥镜下表现主要为:黏膜充血水肿15例(88.24%)、黏膜粗糙4例(23.53%)、黏膜出血3例(17.65%)、滤泡样增生2例(11.76%)及糜烂1例(5.88%)。本研究所用样本取自该17例患儿受检黏膜中的28份黏膜组织,病理HE染色下可见EG组患儿肠黏膜固有层内EOS增多,EOS计数(42.79±3.50)个/每高倍镜视野(图1A、图1B)。对照组患儿肠黏膜组织镜下结构基本正常,仅散在炎症细胞及EOS浸润(图1C、图1D)。


注:EG:嗜酸性粒细胞性胃肠炎
EG:eosinophilic gastroenteritis
EG组患儿中15例(88.24%)血清IgE水平升高,对照组无升高,2组比较差异有统计学意义(P<0.05);EG组患儿外周血EOS为1.05(1.51)×109/L,对照组为0.23(0.18)×109/L,2组比较差异有统计学意义(P<0.05)。
EG组和对照组患儿外周血Tfh细胞频率分别为7.3(2.6)%、2.8(1.4)%,2组比较差异有统计学意义(P<0.000 1)(图2A)。EG组和对照组患儿Tfh细胞上ICOS的表达分别为1.5(1.3)%、0.1(0.2)%,2组比较差异有统计学意义(P<0.000 1)(图2B)。EG组和对照组患儿Tfh细胞上PD-1的表达分别为1.8(3.2)%、0.7(0.6)%,2组比较差异有统计学意义(P<0.017)(图2C)。


注:EG:嗜酸性粒细胞胃肠炎;ICOS:可诱导共刺激分子;PD-1:程序性细胞死亡蛋白1
EG:eosinophilic gastroenteritis;ICOS:inducible costimulatory molecule;PD-1:programmed death 1
EG组患儿外周血中Tfh细胞比例与ICOS、PD-1表达量均呈正相关(r=0.746、0.893,均P<0.05)(图3A、图3B);与外周血中IgE水平呈正相关(r=0.587,P<0.05)(图3C);与外周血EOS、白细胞计数均无相关性(均P>0.05)。


注:EG:嗜酸性粒细胞胃肠炎;ICOS:可诱导共刺激分子;PD-1:程序性细胞死亡蛋白1;CXCR5:C-X-C趋化因子受体5
EG:eosinophilic gastroenteritis;ICOS:inducible costimulatory molecule;PD-1:programmed death 1;CXCR5:C-X-C chemokine receptor 5
EG是一种以胃肠道EOS异常浸润为主要特征的变态反应性疾病,根据EOS浸润的部位和深度的不同可表现为恶心、呕吐、腹痛、腹泻、胃肠道出血等消化道症状[5]。本研究中纳入以腹痛、腹泻、呕吐、便血等非特异性症状为主的17例EG患儿,其中以腹痛为主要临床症状者最多,这与Walker等[6]的报道相符。在临床工作中对于具有消化道症状伴外周血EOS及外周血IgE升高的患者,需积极进行消化道内镜及病理检测,在排除其他儿童消化道疾病后,应考虑EG。
EG是IgE和非IgE介导的混合消化道食物过敏性疾病。过敏原可诱导Th2细胞增殖、活化及释放IL-4、IL-5、IL-13等细胞因子,促进EOS活化[7]。在炎症状态下,IL-5的趋化作用使EOS在胃肠道黏膜聚集,活化后脱颗粒,释放嗜酸细胞阳离子蛋白、嗜酸细胞过氧化物酶和主要碱性蛋白等损伤局部黏膜组织,引起腹痛、腹泻、呕吐、便血等临床症状[8,9]。Tfh细胞是新型CD4+T淋巴细胞亚群,其细胞表面表达的主要功能性分子为C-X-C趋化因子受体5(CXCR5)、PD-1、ICOS等,在特异性皮炎及变应性鼻炎患者中均观察到外周血中Tfh细胞比例升高[10,11]。近期研究发现,Tfh细胞可产生Th1或Th2的细胞因子,如γ干扰素和IL-4,对于诱导多种Th2型反应(包括对变应原)的IgE产生至关重要[12]。进一步阻断Tfh细胞分泌IL-4,IgE产生严重降低,这表明Tfh细胞分泌的IL-4可以促进IgE的产生,并诱导Th2型反应[13,14]。本研究观察到EG患儿外周血中Tfh细胞比例较对照组明显升高,且外周血CD4+CXCR5+T淋巴细胞表面主要功能性分子ICOS、PD-1的表达也明显升高。Tfh细胞表面分子ICOS的表达对于Tfh细胞的产生具有重要作用[15],上调特异性转录因子6(BCL-6)的表达,调节Tfh细胞的分化和功能[16]。PD-1是Tfh细胞的另一个重要的表面分子[17],对于Tfh细胞的活化具有重要作用。本研究结果显示,Tfh细胞在EG患者外周血中处于增殖活化状态,可能与EG的发病相关。
为进一步研究EG患儿中Tfh细胞与EG临床指标间的关系,本研究对外周血Tfh细胞比例与EOS、血清IgE以及白细胞计数水平分别进行相关性分析,结果显示,EG患儿外周血中Tfh细胞比例与IgE水平呈正相关。本研究结果与龚芳等[18]的研究发现哮喘患儿外周血中Tfh细胞频率和总IgE水平正相关一致。作者推测,Tfh细胞分泌IL-4诱导IgE产生相关。Tfh细胞来源的IL-4是体内IgE的主要驱动力,是Tfh细胞驱动诱导高亲和力过敏性IgE引起过敏反应[19]。Tfh细胞可在转录因子B细胞转录激活因子(BATF)的调控下分泌IL-4[20],结合本研究结果EG患者外周血Tfh细胞比例增高,且处于增殖活化状态,作者推测Tfh细胞可能在转录因子BATF的帮助下促进IL-4的分泌,驱动IgE介导的免疫参与EG发病机制,这点尚需要在以后的工作中进一步证实。
总之,EG患儿外周血中的Tfh细胞增多,高表达ICOS、PD-1,Tfh细胞处于增殖活化状态;EG患儿外周血Tfh细胞数与IgE水平呈正相关,Tfh细胞及其相关分子的异常表达在EG的发生机制中起促进作用。
所有作者均声明不存在利益冲突

























