
对武汉亚洲心脏病医院先天性心脏病中心2017年9月收治的1例由细丝蛋白A(FLNA)基因突变导致的肺动脉高压(PAH)患儿的临床资料进行回顾性分析。患儿,女,2岁,临床表现为面容特殊、生长发育落后、反复肺部感染、反复心力衰竭、先天性心脏病、PAH。基因检测:FLNA突变(exon34:c.5417-1G>A),为新发致病突变。FLNA突变导致的PAH报道较少,本研究新发1例因FLNAc.5417-1G>A复合杂合剪切突变所致的PAH,扩展了FLNA基因的突变谱,同时提示基因检测是排查PAH病因的重要手段之一。
版权归中华医学会所有。
未经授权,不得转载、摘编本刊文章,不得使用本刊的版式设计。
除非特别声明,本刊刊出的所有文章不代表中华医学会和本刊编委会的观点。
肺动脉高压(PAH)是由多种已知或未知原因引起的肺动脉压力异常升高的一种病理生理状态,最终引起右心衰竭。确诊后较难治愈,目前主要以控制病情为主,预后差。因此早期识别PAH患者,并明确病因尽早制定治疗方案尤为重要。而儿童PAH与成人有不同的病理生理特点,其病因更为复杂,更容易受遗传和发育等相关因素的影响。本研究对武汉亚洲心脏病医院2017年9月收治的1例由细丝蛋白A(FLNA)突变引起的PAH患儿的临床资料进行总结分析,以提高临床医师对儿童PAH的认识。
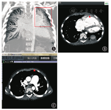
患儿,女,2岁,试管婴儿,第1胎,第2产,双胎之小,足月剖宫产分娩,同胞哥哥正常。患儿多发畸形(唇腭裂、脐疝、膈疝),面容可疑(眼距增宽、鼻梁低平),牙列不齐,生长发育明显落后。既往有反复"肺炎"病史。在8月龄时(2017年9月)因"房间隔缺损"来武汉亚洲心脏病医院就诊,入院后完善检查,心脏超声提示房间隔缺损(5 mm)、动脉导管未闭(2 mm)、PAH,第1次右心导管(表1)提示肺动脉压力处于临界状态、阻力明显升高,经过全面评估后认为患儿分流量不大,不是患者PAH的主要问题,暂无需手术治疗,需动态随访,可能是潜在PAH患者。随后,患儿分别于1岁、1岁10个月、1岁11个月时因"肺炎并心力衰竭"3次入院(表2),后3次入院时均有呼吸困难、端坐呼吸,心功能Ⅳ级,脑钠肽N末端前体(NT-proBNP)明显升高、脉搏血氧饱和度(SPO2)明显下降,经积极抗感染、维护心功能治疗后可下床活动。因患儿病情进展快、症状重,与先天性心脏缺损不相符,遂行心脏CT增强扫描进一步明确心脏畸形,心脏CT未发现新的心脏畸形,但提示左上肺发育不良(图1)、PAH征象明显(图2、图3),1岁11个月时复查右心导管(表1)提示PAH及阻力均明显升高。同时因患儿多发畸形、面容可疑、生长发育差、PAH病因不明,不排除遗传代谢性疾病可能,行全外显子(图4)和染色体畸变检查发现:FLNA突变(exon34:c.5417-1G>A),父母均未发生突变,为新发致病突变。该患儿于第4次住院期间,除常规抗感染及维护心功能治疗外,加用了小剂量肺血管扩张药物,强化了吸氧和患者家属教育工作,并告知最佳治疗方案为肺移植。患者末次出院时,NT-proBNP降至0.900 pg/L左右,SPO2上升至93%左右。出院后间断吸氧、继续服药,但因经济原因未考虑肺移植,于2.5岁时死亡。




注:FLNA:细丝蛋白A
FLNA:filamin A

由细丝蛋白A基因突变导致的肺动脉高压患儿右心导管血流动力学指标
The hemodynamic data of right heart catheterization of the patient with pulmonary hypertension caused by filamin A mutation
由细丝蛋白A基因突变导致的肺动脉高压患儿右心导管血流动力学指标
The hemodynamic data of right heart catheterization of the patient with pulmonary hypertension caused by filamin A mutation
| 时间 | MPAP(mmHg) | DAP(mmHg) | Qp/Qs | PVR(WU) | PVRi(WU·m2) | SVR(WU) | CO(L/min) | CI(L/min·m2) |
|---|---|---|---|---|---|---|---|---|
| 2017年9月 | 38/17/24 | 90/60/70 | 0.94 | 17 | 5 | 57 | 1.13 | 3.6 |
| 2018年12月 | 100/50/67 | 90/39/56 | 0.8 | 42 | 19 | 28 | 1.85 | 4.07 |
注:1 mmHg=0.133 kPa;WU:wood/m2;MPAP:平均肺动脉压;DAP:下降动脉压;Qp:肺循环血流量;Qs:体循环血流量;PVR:肺血管阻力;PVRi:肺血管阻力指数;SVR:全身血管阻力;SVRi:全身血管阻力指数;CO:心排出量;CI:心脏指数
1 mmHg=0.133 kPa;WU:wood/m2;MPAP: mean pulmonary artery pressure;DAP:decreased arterial pressure;Qp:pulmonary circulation blood flow;Qs:systemic blood flow;PVR:pulmonary vascular resistance;PVRi:pulmonary vascular resistance index;SVR:systemic vascular resistance;SVRi:systemic vascular resistance index;CO:cardiac output;CI:cardiac index

由细丝蛋白A基因突变导致的肺动脉高压患儿的临床资料
The clinical data of the patient with pulmonary hypertension caused by filamin A mutation
由细丝蛋白A基因突变导致的肺动脉高压患儿的临床资料
The clinical data of the patient with pulmonary hypertension caused by filamin A mutation
| 指标 | 住院次数 | ||||
|---|---|---|---|---|---|
| 第1次 | 第2次 | 第3次 | 第4次 | ||
| 实验室数据 | |||||
| NT-proBNP(pg/L) | 0.963 | 12.513 | 12.584 | >35 | |
| sST2(μg/L) | 41.2 | 96.1 | 88.5 | 104.2 | |
| cTnI(μg/L) | 0.023 | 0.225 | 0.211 | 0.213 | |
| 心脏超声 | |||||
| LVd (cm) | 2.4 | 2.7 | 2.9 | 2.5 | |
| RVd(cm) | 2.4 | 3.1 | 3.6 | 3.5 | |
| PA(cm) | 1.5 | 2.0 | 1.9 | 2.4 | |
| AA(cm) | 1.2 | 1.4 | 1.5 | 1.6 | |
| PAP(mmHg) | 61 | 48 | 78 | 64 | |
| EF(%) | 60 | 56 | 56 | 60 | |
注:1 mmHg=0.133 kPa;NT-proBNP:脑钠肽N末端前体;sST2:可溶性生长刺激表达基因2蛋白;cTnI:肌钙蛋白I; LVd:左心室舒张期内径;RVd:右心室舒张期内径;PA:肺动脉;AA:主动脉;PAP:肺动脉压;EF:射血分数
NT-proBNP:N-terminal precursor of brain natriuretic peptide;sST2: soluble ST2;cTnI: troponin I;LVd:left ventricular diastolic diameter;RVd:right ventricular diastolic diameter;PA:pulmonary artery;AA:aorta;PAP:pulmonary artery pressure;EF:ejection fraction
本研究征得患儿监护人知情同意,并签署知情同意书,并通过医院医学伦理委员会批准(批准文号:2020-B006)。
PAH是一种进展性危及生命的疾病,尤其是儿童PAH进展快、预后差、病因复杂[1]。在2018年第6届尼斯世界PAH大会中强调儿童PAH需重点关注遗传性PAH(HPAH),文献亦报道越来越多的儿童PAH病例中发现了与遗传性PAH发病机制有关的基因突变[1],且研究显示儿童PAH往往与染色体畸变或各种遗传综合征相关[1],目前的PAH指南及文献均推荐为PAH患者提供专业的遗传咨询及基因检测[1]。因此对于合并多系统畸形、生长发育差、智力异常、面容特殊、有明确家族史、病因不明的儿童PAH,需考虑遗传因素参与的可能性。本研究报道的患儿遗传学提示FLNA致病突变(exon34:c.5417_1G>A)。值得注意的是,FLNA并不包括在目前世界肺高压大会公布的PAH相关基因,这就提示临床医师对于多系统、多器官受累的PAH患儿需高度警惕遗传综合征的可能,遗传学检测方面需选择全外显子检测而不是单纯行PAH相关基因检测以免漏诊。
FLNA是一种广泛表达的肌动蛋白结合蛋白,参与细胞骨架形成从而影响细胞功能,在细胞的生理生化活动中发挥重要作用[2,3]。FLNA突变与多种遗传性疾病有关,可导致多种畸形综合征[4,5,6]。根据美国医学遗传学与基因组学会(ACMG)指南[7],提示该突变为致病突变。与FLNA突变相关的表型复杂多样,如面容可疑、多发畸形(心血管、骨骼、脑、肠道、肺部等)、反复肺部感染、严重低氧、生长发育落后,但引起不同表型差异的机制目前尚不清楚。FLNA突变导致的PAH目前机制不明,可能与肺泡缺氧、肺部发育异常等相关[8]。
治疗方面FLNA突变引起的PAH强调吸氧和呼吸机的重要性,同时给予肺血管扩张剂,最终需考虑肺移植[9]。该患者同时合并有先天性心脏畸形,文献显示对于合并有FLNA突变的患者,矫治先天性心脏病并无法阻止或减缓PAH的进展[10],这也是本研究该患儿未行手术治疗的原因。
综上,儿童PAH病因复杂,临床医师在平时的临床工作中需认真分析和仔细鉴别,需重点关注HPAH,对于多系统、多器官受累的患者需高度警惕遗传学因素参与疾病可能。
所有作者均声明不存在利益冲突





















