
探讨肺炎支原体(MP)细支气管炎的临床特征,为临床防治提供参考。
回顾性研究。收集2019年1月至2020年1月在河北省儿童医院呼吸二科住院确诊为MP细支气管炎患儿的临床资料并进行分析,随访观察预后。
共纳入67例患儿。其中男39例,女28例;年龄5(1~14)岁。患儿均有咳嗽,其中63例(94.0%)发热,49例(77.8%)高热(≥39.0 ℃),总热程中位数为8(1~27) d;10例(14.9%)喘息;5例(7.5%)呼吸困难;3例(4.5%)低氧血症;58例(86.6%)肺部可闻及湿啰音;10例(14.9%)有喘鸣音。48例(71.6%)有家族过敏史或个人过敏史。外周血白细胞计数为(8.6±2.6)×109/L;C-反应蛋白中位数为9.1(0.5~55.6) mg/L,其中≥30 mg/L者7例(10.4%);乳酸脱氢酶中位数为278(181~590) U/L。胸部高分辨CT均表现为树芽征、小叶中心结节;双侧病变45例(67.2%),38例(56.7%)累及≥3个肺叶;22例(32.8%)并少量肺实变;19例(28.4%)并少量胸腔积液。35例(52.2%)患儿支气管镜下特点:71.4%(25/35例)表现为白色絮状、条索状分泌物;17.1%(6/35例)表现为黏液栓堵塞管腔;10.9%(4/35例)表现为结节样凸起合并肉芽组织增生。67例患儿均予阿奇霉素序贯治疗,42例(62.7%)患儿加用小剂量激素,首次应用时间为病程第(10.62±2.71)天,应用中位疗程为14(2~42) d。67例随访0.5年,其中61例(91.0%)患儿肺部几乎完全恢复,6例(9.0%)遗留闭塞性细支气管炎(BO)后遗症。
MP细支气管炎多发生于具有家族过敏史或个人过敏史的婴幼儿及学龄前期儿童,以发热、咳嗽为主要临床表现,严重者可出现呼吸困难、低氧血症;肺部体征以湿啰音为主,部分有喘鸣音。支气管镜下表现以白色絮状、条索状分泌物为主。经积极治疗,多数患儿预后良好,部分患儿可遗留BO后遗症。
版权归中华医学会所有。
未经授权,不得转载、摘编本刊文章,不得使用本刊的版式设计。
除非特别声明,本刊刊出的所有文章不代表中华医学会和本刊编委会的观点。
细支气管炎是婴幼儿中最常见的下呼吸道病变,主要累及终末细支气管和呼吸细支气管,并可能延伸至相邻的肺泡管及间隙,其主要类型为感染性细支气管炎、过敏性细支气管炎和吸入性细支气管炎等,其中感染性细支气管炎是最常见的细支气管炎[1,2]。感染性细支气管炎最常见的病原体为病毒,其中占前三位的是呼吸道合胞病毒、副流感病毒、腺病毒,但其他病毒和非典型病原体,如肺炎支原体(MP)、肺炎衣原体等也可能是致病原因。MP可引起各种肺部表现,包括上呼吸道感染、支气管炎、肺炎、胸腔积液和肺脓肿等,也可引起细支气管炎[3,4,5,6],部分可遗留闭塞性细支气管炎(BO)后遗症[7,8,9],从而影响患儿生活质量。呼吸道合胞病毒、副流感病毒等病毒引起的细支气管炎的流行病学、临床特征、治疗及预后已在不同的环境和人群中进行了较多的研究,目前我国关于MP感染引起的细支气管炎的报道较少,临床医师对该病尚缺乏足够的认识。因此,本研究总结67例MP细支气管炎患儿的临床相关资料,以期加强临床医师对该病的认识,提高诊治水平,减少后遗症的发生,改善患儿生活质量。
回顾性研究。收集2019年1月至2020年1月在河北省儿童医院呼吸二科住院的67例MP细支气管炎患儿,其中男39例,女28例,男女比例为1.4∶1.0;中位年龄5(1~14)岁,其中婴幼儿期(<3岁)17例(25.4%),学龄前期(3~7岁)39例(58.2%),学龄期(>7岁)11例(16.4%)。纳入标准:(1)符合细支气管炎诊断标准[4]:有咳嗽、发热等急性感染临床表现,胸部CT检查表现为单侧或双侧树芽征、小叶中心结节、细支气管壁增厚等细支气管炎表现;(2)MP感染诊断标准[10]:应用明胶颗粒凝集试验检测血清MP抗体(IgM和IgG的混合抗体)滴度,单次MP抗体滴度≥1∶160或对比恢复期和急性期MP抗体滴度呈4倍或4倍以上增高或减低;(3)排除合并细菌、病毒等其他感染患儿。本研究通过医院医学伦理委员会批准(批准文号:医研伦审第212号),患儿监护人均知情同意,并签署知情同意书。
所有患儿住院24 h内抽取空腹外周血2 mL检测实验室指标:(1)血常规+C-反应蛋白(CRP),必要时复查;(2)血清MP抗体检测,如为阴性,在病程10~14 d时复查;(3)血生化;(4)病原检测:痰呼吸道多重病原检测、痰及肺泡灌洗液培养、双部位血培养。
患儿均行胸部高分辨CT检查,观察病变类型及部位。
对有支气管镜检查适应证(并肺不张;肺实变尤其是实变内支气管充气征消失、树芽征等小气道病变;听诊呼吸音减低或消失、反复固定喘鸣音、常规治疗呼吸困难难以纠正等有明显气道阻塞表现;气道阻塞致单侧肺气肿、纵隔气肿;常规治疗疗效不佳,病情进展有气道阻塞征象)的患儿,家长均签署知情同意书,行支气管镜检查及肺泡灌洗,观察支气管镜下表现,并行灌洗液细菌培养。
收集并分析所有患儿的一般资料、实验室指标、胸部高分辨CT表现、合并症、治疗方案及疗效等情况,并随访预后。
以临床治愈(临床症状、体征消失)、未愈(症状、体征加重或无好转,监护人放弃治疗)、好转(症状、体征好转,但未完全消失)及死亡为临床评估患儿预后的标准。对所有患儿随访0.5年,了解后遗症情况。
应用SPSS 25.0软件进行统计学分析。肺部影像学及支气管镜下表现采用描述性分析;符合正态分布的计量资料以
±s表示;符合非正态分布的计量资料以中位数(范围)表示;计数资料以例(百分比或构成比)表示。
患儿均有咳嗽;63例(94.0%)发热,热峰为(39.4±0.65) ℃,49例(77.8%)高热(≥39.0 ℃),总热程中位数为8(1~27) d;10例(14.9%)喘息;4例(6.0%)气促;5例(7.5%)呼吸困难,其支气管镜下均表现为黏液栓形成;3例(4.5%)低氧血症。58例(86.6%)肺部可闻及湿啰音,湿啰音持续时间中位数为6(2~24) d,10例(14.9%)喘鸣音,15例(22.4%)呼吸音减低。患儿中位住院天数8(3~24) d。48例(71.6%)有家族过敏史或个人过敏史。
外周血常规:白细胞计数(WBC)为(8.6±2.6)×109/L,中性粒细胞比率为(61.6±11.6)%;嗜酸性粒细胞绝对值中位数[0.1(0~1.2)]×109/L,其中6例(9.0%)升高;嗜酸性粒细胞百分比中位数[1.4(0~11.8)]%。CRP中位数为9.1(0.5~55.6) mg/L,其中28例(41.8%)升高,≥30 mg/L者7例(10.4%)。乳酸脱氢酶(LDH)中位数为278(181~590) U/L。
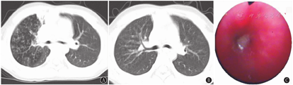
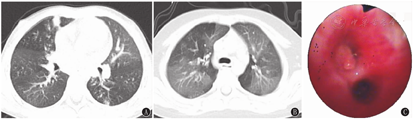
67例患儿胸部高分辨CT均表现为树芽征、小叶中心结节。19例(28.4%)并少量胸腔积液;22例(32.8%)并少量肺实变或不张;单侧病变22例(32.8%),双侧45例(67.2%);累及单个肺叶6例(9.0%),累及2个肺叶23例(34.3%),累及≥3个肺叶38例(56.7%),其中累及3个肺叶20例(29.9%)、4个肺叶12例(17.9%)、5个肺叶6例(9.0%)(图1A和图2A)。




1例(1.5%)电解质紊乱,2例(3.0%)胃肠功能紊乱,7例(10.4%)心肌受损,9例(13.4%)肝功能异常,19例(28.4%)胸腔积液,无皮肤和神经系统损害。
35例(52.2%)患儿支气管镜下特点:71.4%(25/35例)表现为白色絮状、条索状分泌物(图1C);17.1%(6/35例)表现为黏液栓堵塞管腔(图2C),其中33.3%(2/6例)为塑型性分泌物,33.3%(2/6例)为塑型性分泌物合并远端通气不良,33.3%(2/6例)合并肉芽组织增生(图2C);10.9%(4/35例)表现为结节样凸起合并肉芽组织增生。
67例患儿均予静脉滴注阿奇霉素序贯治疗,10 mg/(kg·d),连用5~7 d,必要时间隔4 d再次予10 mg/(kg·d),连用3 d,在使用抗生素基础上,42例(62.7%)加用小剂量糖皮质激素[甲泼尼龙静脉滴注或口服2 mg/(kg·d)],首次应用时间为病程第(10.62±2.71)天,中位疗程为14(2~42) d。35例(52.2%)行支气管镜检查及治疗。2例(3.0%)出现呼吸困难予无创持续正压通气(CPAP)辅助通气治疗。喘息者加用雾化治疗,出现肝功能异常予保肝治疗,心肌受损予营养心肌治疗,胃肠功能紊乱予保护胃黏膜调节肠道菌群治疗,并注意纠正电解质紊乱。
MP不仅可引起上呼吸道感染、支气管炎、肺炎等,也可引起细支气管炎,部分可遗留BO后遗症。随着MP感染率升高,MP引起细支气管炎有增多趋势,逐渐引起儿科临床医师的关注。本研究总结MP细支气管炎67例患儿的临床特征,有助于及时认识本病,及时治疗,减少后遗症的发生。MP感染主要好发于学龄儿童和青少年,发病高峰年龄为5~14岁。但近年有文献报道关于MP细支气管炎的起病年龄呈低龄化趋势。Chen等[3]研究结果提示,MP细支气管炎主要发生在6个月~1岁的婴儿中。温潇慧等[4]总结的71例MP细支气管炎患儿起病中位年龄为6.6岁。本研究结果显示,MP细支气管炎患儿起病中位年龄为5(1~14)岁,其中婴幼儿期17例(25.4%),学龄前期39例(58.2%),学龄期11例(16.4%)。这表明,MP细支气管炎患儿发病年龄可能偏小,以婴幼儿和学龄前期儿童多见。
本研究结果显示,MP细支气管炎患儿均有咳嗽,大部分患儿伴发热,以高热为主,但总热程时间较短,总热程中位数为8(1~27) d,部分患儿病程中可有喘息、气促,严重者可表现为呼吸困难、低氧血症,甚至需无创CPAP辅助通气治疗。本研究中呼吸困难、低氧血症者均发生于双侧病变患儿,提示MP细支气管炎单侧病变者临床症状可能相对较轻,一般无呼吸困难和低氧血症。本研究支气管镜检查结果显示,4例表现为塑型性分泌物;5例发生呼吸困难者均表现为黏液栓形成,提示部分患儿可表现为塑型性支气管炎,呼吸困难的发生可能与黏液栓堵塞管腔有关。有研究显示,90.0%的MP细支气管炎患儿查体可闻及湿啰音,且湿啰音持续时间较长,中位数为7(2~24) d,部分可闻及喘鸣音,这与MP感染后致小气道炎症,伴腔内渗出物或肉芽组织形成有关[11]。本研究48例(71.6%)患儿有家族过敏史或个人过敏史,6例(9.0%)嗜酸性粒细胞升高。温潇慧等[4]报道71例患儿中57例存在过敏背景;Vasudevan等[12]报道了1例患有支气管哮喘(哮喘)的成人患MP细支气管炎。以上结果表明,宿主存在过敏相关因素,可能易导致MP细支气管炎的发生。
本研究实验室结果提示,MP细支气管炎患儿炎症反应相对较低。WBC、CRP和LDH是机体发生感染的相关炎症指标,一定程度上与疾病的临床严重程度有关。有研究显示,MP感染致节段性/大叶性肺炎的CRP水平高于支气管肺炎,持续发热>3 d的儿童的LDH水平和WBC高于持续发热≤3 d的儿童,CRP水平是儿童MP肺炎并发大叶性肺炎的危险因素之一[13,14]。郑雪香等[15]研究表明,血清LDH是儿童难治性MP肺炎发生的独立预测因素,与其发生的关联强度呈非线性剂量反应关系。因此WBC、CRP、血清LDH等炎症指标水平高低一定程度上可预示MP肺炎的型别。
胸部高分辨CT是诊断细支气管炎的主要依据,包括直接征象和间接征象两大类特征性影像。细支气管扩张征(细支气管壁增厚和管腔扩张所致)、树芽征和小叶中心结节为直接征象,马赛克征及气体滞留征为间接征象[16]。本研究67例患儿胸部高分辨CT均表现为树芽征、小叶中心结节,部分合并少量胸腔积液(28.4%),当病变累及肺泡及其周围组织时,可出现肺实变或不张(32.8%)。肺部以双侧弥漫性病变为主(双侧病变45例,≥3个肺叶者38例),也可呈单侧局灶病变或弥漫性病变(单侧病变22例,单个肺叶者6例)。
目前关于MP细支气管炎糖皮质激素的应用尚无统一标准,使用依据如下:(1)《儿童社区获得性肺炎诊疗规范(2019年版)》[17]中提到有哮喘或喘息,可考虑短期应用糖皮质激素,本研究中患儿71.6%有家族过敏史或个人过敏史,部分患儿出现喘息,严重者喘息较重,甚至出现呼吸困难、低氧血症。(2)有研究报道早期应用糖皮质激素一定程度可预防MP细支气管炎后BO的发生[18]。(3)一些病例报道提示,重症MP细支气管炎患者对糖皮质激素治疗反应良好,且应用糖皮质激素也可缓慢改善患儿的肺功能[19,20]。因此本研究中患儿均予阿奇霉素序贯抗感染治疗,部分患儿加用小剂量糖皮质激素抗炎治疗,剂量为甲泼尼龙[2 mg/(kg·d)],且应用时间较长,应用中位疗程为14(2~42) d。但关于应用依据多为病例报告,尚需大样本、多中心病例对照研究论证。本研究患儿中,35例行支气管镜检查及肺泡灌洗治疗,镜下25例(71.4%)表现为白色絮状、条索状分泌物,仅6例表现为黏液阻塞管腔(其中4例为塑型性分泌物)。而温潇慧等[4]对71例患儿均行电子支气管镜检查及灌洗治疗,其中6例见广泛黏稠分泌物,1例见黏液栓堵塞管腔需行细胞刷刷取治疗。这提示,MP细支气管炎患儿支气管镜下主要表现为白色絮状、条索状分泌物,对于多数MP细支气管炎患儿来说,支气管镜检查及肺泡灌洗治疗可能不是必须的,当分泌物较多堵塞管腔时,应及时行支气管镜检查清除黏液栓或塑型性分泌物。MP细支气管炎患儿经合理治疗,多数预后良好,仅6例患儿遗留BO后遗症。
综上,MP细支气管炎多发生于具有家族过敏史或个人过敏史的婴幼儿及学龄前期儿童,以发热、咳嗽为主要临床表现,部分患儿可有喘息、气促,严重者可出现呼吸困难、低氧血症,肺部体征以湿啰音为主,部分有喘鸣音。胸部高分辨肺CT以双侧弥漫性病变为主,支气管镜下以白色絮状、条索状分泌物为主要表现,经积极治疗,多数患儿预后良好,部分患儿可遗留BO后遗症。
所有作者均声明不存在利益冲突





















