
基于生物信息学分析,筛选唐氏综合征(DS)胎儿脑病变相关基因及信号通路,探究其在DS神经病变发生发展中的潜在作用机制。
回顾性研究。2021年12月从基因表达数据库下载数据集GSE59630,利用R软件筛选DS和正常胎儿脑组织之间的差异表达基因(DEGs),并对其进行基因本体(GO)、京都基因与基因组百科全书(KEGG)富集分析和基因集富集分析(GSEA)。利用基因相互作用检索工具在线数据库和Cytoscape软件构建蛋白互作(PPI)网络,确定核心模块及核心基因。采用实时定量聚合酶链反应在3对22~33周龄DS和正常胎儿脑组织中验证神经退行性变相关核心基因的表达变化。
从DS和正常胎儿脑组织中共筛选出225个DEGs,其中18个为上调基因,207个为下调基因。GO功能富集分析显示DEGs主要富集在神经发生、神经元凋亡、转录调控、线粒体能量代谢等过程,KEGG通路富集分析显示DEGs与多种神经退行性疾病有关,GSEA提示细胞凋亡、炎症反应在DS神经病变发生中发挥重要作用。根据PPI网络筛选出10个核心基因,主要与组蛋白乙酰化和转录调控相关。经组织验证,其中RAB8A、TBP、TAF6表达变化趋势与芯片数据相一致。
通过胎儿脑组织转录组学分析筛选出的核心基因及关键信号通路,有助于全面了解DS神经病变发生的分子机制,为探索DS神经发育异常和智力低下的临床诊断及治疗靶点提供了新的方向。
版权归中华医学会所有。
未经授权,不得转载、摘编本刊文章,不得使用本刊的版式设计。
除非特别声明,本刊刊出的所有文章不代表中华医学会和本刊编委会的观点。
唐氏综合征(Down syndrome,DS),又称21三体综合征,是由人类21号染色体在减数分裂时不分离引起的综合症候群,以智力低下和认知障碍为主要临床表现[1]。目前认为导致DS神经发育异常的主要原因有21号染色体基因表达剂量失衡、表观遗传调控异常、氧化应激和神经炎症等[2,3]。其中21号染色体基因表达剂量失衡和转录异常是导致DS神经生物学改变的根本原因,以往的研究虽证实了21号染色体的基因剂量效应,但是否存在普遍的次级转录效应,以及由此引发的神经发育异常的分子生物学机制仍不明确[4],因此,系统的转录组学分析有助于更全面地了解DS神经病变发生发展的分子机制。
近年来,随着DS患者平均预期寿命不断增加,提高DS患者的生活质量及延缓其神经退行性病变和认知障碍的进展尤为重要。目前针对DS认知障碍的各种药物疗法虽在动物模型上有效,但相应的不良反应却极大地限制了其在临床上的应用[5]。因此,通过生物信息学探索与DS神经发育相关的核心靶基因和信号通路,并在此基础上开发减缓DS神经病变进展及改善DS患者认知功能的药物靶点具有重要意义。本研究将脑组织转录谱和生物信息学分析相结合,探究DS神经病变发生发展过程中的关键基因和信号通路,以期为临床缓解或减轻DS患者神经退行性病变和认知障碍提供新的干预靶点。
回顾性研究。本研究所用DS及正常胎儿脑组织标本均来自就诊于北京大学人民医院的孕妇。病例组标本:孕妇经羊水穿刺染色体核型鉴定确诊胎儿为21号染色体三倍体核型,并行治疗性引产;对照组标本:孕妇在产前诊断中未发现畸形,羊水穿刺染色体核型鉴定确诊胎儿为正常核型,因非病理性原因引产。病例组与对照组所得胎儿脑组织标本在胎儿性别、胎龄及标本来源脑区相匹配(表1)。本研究通过北京大学人民医院医学伦理审查委员会批准(批准文号:2020PHB283-01),所有参与研究的孕妇均知情同意,并签署知情同意书。

胎儿脑组织样本信息
Information of fetal brain tissue
胎儿脑组织样本信息
Information of fetal brain tissue
| 样本 | 胎龄 | 性别 | 脑区 |
|---|---|---|---|
| 对照1 | 24周 | 女 | 额叶皮质 |
| 对照2 | 22周 | 女 | 额叶皮质 |
| 对照3 | 33周 | 女 | 额叶皮质 |
| DS 1 | 22周 | 女 | 额叶皮质 |
| DS 2 | 22周 | 女 | 额叶皮质 |
| DS 3 | 33周 | 女 | 额叶皮质 |
注:DS:唐氏综合征 DS:Down syndrome
2021年12月从基因表达数据库(gene expression omnibus,GEO)[6]下载GSE59630数据集。该数据集基于GPL5175平台,系统分析了从胎儿期到成年期DS和正常个体死后脑组织的基因表达谱。本研究重点关注胎儿期的基因表达变化(表2),胎儿期是神经系统发生发育的关键阶段,这一时期的神经发育异常直接导致出生后的大脑发育障碍和智力低下。

GSE59630数据集胎儿脑组织样本信息
Information of fetal brain tissue in GSE59630 dataset
GSE59630数据集胎儿脑组织样本信息
Information of fetal brain tissue in GSE59630 dataset
| 样本 | 胎龄 | 性别 | 脑区 |
|---|---|---|---|
| 对照1 | 17周 | 女 | 额叶皮质 |
| 对照2 | 19周 | 女 | 额叶皮质 |
| 对照3 | 19周 | 女 | V1区皮质 |
| 对照4 | 22周 | 男 | V1区皮质 |
| DS 1 | 16周 | 女 | 额叶皮质 |
| DS 2 | 19周 | 女 | 额叶皮质 |
| DS 3 | 19周 | 女 | V1区皮质 |
| DS 4 | 22周 | 男 | V1区皮质 |
注:DS:唐氏综合征 DS:Down syndrome
利用Perl语言将表达矩阵文件中的探针转换为带有基因名称注释的基因表达数据。采用R软件中的Limma包筛选DS和正常胎儿脑组织的差异表达基因(DEGs),筛选标准为| log2(fold change) |>1和P<0.05[7]。
利用R软件对DEGs进行基因本体(Gene ontology,GO)功能富集分析和京都基因和基因组百科全书(Kyoto Encyclopedia of Genes and Genomes,KEGG)通路富集分析,其中GO分析包括生物过程(biological process,BP)、细胞组成(cellular component,CC)和分子功能(molecular function,MF)3部分,筛选标准为P<0.01[8,9]。
为避免遗漏可能在DS发病机制中发挥关键作用的生物学变化,采用基因集富集分析(gene set enrichment analysis,GSEA)进行进一步分析。标准化富集评分(normalized enrichment score,NES)的绝对值>1和P<0.05被认为具有统计学意义[10]。
PPI网络是利用基因相互作用检索工具(search tool for the retrieval of interacting genes,STRING)构建的,STRING是一个在线软件,用于探索蛋白质之间的功能相互作用[11]。中位置信度≥0.4,并隐藏网络中未连接的节点,获得原始PPI数据后,通过Cytoscape软件对PPI网络进行分析[12]。MCODE是Cytoscape软件的一个插件,用于从PPI网络中检测密集连接的区域。通过MCODE聚类分析识别出的关键模块可能在疾病的发病机制中发挥重要作用。
利用Cytoscape软件的cytoHubba插件筛选PPI网络的前10个核心基因,通过MCC算法计算核心基因在PPI网络中的排名[13]。通过GeneMANIA线上平台对核心基因进行功能分析。
采用实时定量PCR在3对22~33周龄DS和正常胎儿脑组织中验证神经退行性变相关核心基因的表达变化。使用RNeasy Mini试剂盒(QIAGEN)分离总RNA,通过Revert Aid First Strand cDNA Synthesis Kit (Thermo Scientific)合成cDNA,采用SYBR Green Real-Time PCR Master Mix (TOYOBO)进行实时定量PCR。实时定量PCR引物见表3,条件为:95 ℃ 循环1 min,95 ℃ 循环15 s,56 ℃ 循环15 s,72 ℃ 循环45 s。内参基因为GAPDH。

实时定量聚合酶链反应引物
Real time quantitative polymerase chain reaction primers
实时定量聚合酶链反应引物
Real time quantitative polymerase chain reaction primers
| 基因 | 正向引物(5′-3′) | 反向引物(5′-3′) |
|---|---|---|
| POLR2F | ATGTCAGACAACGAGGACAATTT | TTCGGCATTCTCCAAGTCATC |
| TBP | CCACTCACAGACTCTCACAAC | CTGCGGTACAATCCCAGAACT |
| RELA | ATGTGGAGATCATTGAGCAGC | CCTGGTCCTGTGTAGCCATT |
| TAF6 | TGACATTGACTACGCCTTGAAG | TCCTCATAGAAGTAAAGCTCCCG |
| RAB8A | CAACGGCCTACTACAGGGG | GGATGTTGTCGAAGGACTTCTC |
| GAPDH | GTGAAGCAGGCGTCGGAG | GCGTCAAAGGTGGAGGAGTG |
采用GraphPad Prism 8.4.0软件进行统计分析。2组间比较,当数据满足正态分布、方差齐时采用两独立样本t检验,方差不齐采用t′检验;若不满足正态性,采用非参数Mann-Whitney U检验。P<0.05为差异有统计学意义。
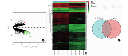
基于GSE59630数据集对DS和正常胎儿脑组织的DEGs进行筛选,共获得225个DEGs,其中上调基因18个,下调基因207个,利用火山图和热图(图1A、图1B)对其进行可视化处理。对上述DEGs和人类21号染色体基因取交集,结果显示,所得DEGs中有4个基因(SOD1、SLC5A3、PDXK和USF1)位于人类21号染色体上(图1C)。其中SOD1、SLC5A3、PDXK表达上调,与"基因剂量效应"相一致,USF1表达下调,这表明USF1及其他DEGs可能为21三体的"次级转录效应"。


对DEGs进行GO功能富集分析,BP、MF、CC的富集结果见图2(P<0.01)。DEGs主要参与神经发生、神经元凋亡、氧化应激、转录调控、细胞周期等生物学过程,如轴突生成、运动神经元轴突导向、神经元凋亡过程、凋亡执行阶段的正向调控、超氧阴离子生成的正向调控、RNA聚合酶Ⅱ启动子的转录、细胞周期阻滞的调控等;DEGs显著富集于配体依赖的核受体转录辅激活因子活性、三磷酸鸟苷(GTP)酶活性、组蛋白去乙酰化酶结合、Tau蛋白激酶活性等分子功能;并与线粒体的呼吸链复合体、内膜系统等细胞成分有关。


对DEGs进行KEGG通路富集分析(图3),结果显示DEGs主要参与神经退行性疾病相关信号通路,如亨廷顿病、帕金森病、肌萎缩侧索硬化症、阿尔茨海默病(AD)等。


GSEA显示细胞凋亡、炎症反应在DS神经病理发生中发挥重要作用,包括细胞凋亡、白细胞介素6/非受体酪氨酸激酶/信号传导及转录因子3(IL6/JAK/STAT3)通路、鼠类肉瘤病毒癌基因(KRAS)通路、磷脂酰肌醇3激酶/丝氨酸-苏氨酸激酶/雷帕霉素(PI3K/Akt/mTOR)通路、肿瘤坏死因子α/核因子κB(TNFα/NFκB)通路和Wnt-β/连环蛋白(Wnt-β/catenin)通路等(图4)。


利用STRING获得DEGs的PPI数据,构建PPI网络(图5A),共包含84个节点和170个连接。使用Cytoscape软件的MCODE插件从PPI网络中筛选出高密度模块(图5B)。模块1 (RAB8A、PEBP1、CDK5、TUBA8、SSNA1) 主要参与调控细胞周期;模块2(SRPRA、RPP38、RPS29、KCND3)和模块3(CD2BP2、SRRM1、CPSF7、U2AF1L4)主要与mRNA剪切有关;模块4(COX8A、COX5B、E2F4)参与TP53介导的转录调控。


利用cytoHubba筛选出互作度最高的前10个核心基因,包括RELA、TBP、TAF6、POLR2F、RAB8A、SF385、CPSF7、SRRM1、U2AF1L4和CD2BP2,然后将这些基因进行PPI网络分析(图6A)。10个核心基因显示了复杂的PPI网络,其中预测率为20.11%,共表达率为17.12%,蛋白结构域共享率为0.14%,遗传互作率为16.17%,物理互作率为31.86%,通路互作率为14.59%(图6B)。功能分析显示这些基因参与组蛋白乙酰化和转录调控,可能为DS神经发育异常的潜在生物标志物或新的治疗靶点。


为进一步明确上述核心基因在DS神经病理发生过程中的作用,本研究选择与神经退行性变密切相关5个核心基因(POLR2F、TBP、TAF6、RELA和RAB8A),利用3对DS和正常胎儿脑组织标本进行实时定量PCR验证。经验证,TBP、TAF6和RAB8A的表达水平与基因表达谱数据相一致,其中RAB8A具有显著统计学意义(图7)。


人类21号染色体三体相关神经发育异常使DS患者在不同阶段呈现出特征性神经病理改变。胎儿期是神经元开始成熟、表达关键功能蛋白及初步建立功能神经网络的关键时期,阐明这一时期神经发育过程中的生物学变化,对于理解DS神经病理发生发展过程的分子机制具有重要作用[14]。本研究通过生物信息学分析,确定了DS胎儿脑组织的一些DEGs及相关信号通路,初步验证和进一步分析发现这些基因和通路的改变可能与DS患者智力低下和认知障碍等表型密切相关。
本研究筛选了DS患儿和正常胎儿脑组织之间的DEGs,共获得225个基因,其中上调基因18个,下调基因207个。根据传统遗传学观点,21号染色体三体导致的基因剂量效应会使基因表达上调,特别是21号染色体上的基因[15]。然而,结果显示多数的DEGs表现为表达下调,这表明21号染色体基因的额外拷贝可能会引发其他基因的表达改变,或有其他机制参与DS的基因转录调控。近年来随着表观遗传学的快速发展,研究证实,许多表型的出现并不是由基因碱基序列的改变引起的,而是由各种生物修饰引起相关基因的结构及表达改变,进而导致一系列信号通路的重新编程和调控变化造成的[16]。DS胎儿脑组织中存在组蛋白乙酰化的异常降低,而组蛋白乙酰化在基因的表达调控中发挥重要作用,组蛋白乙酰化可通过疏松染色质结构暴露转录因子结合位点,促进基因的转录激活和表达[17]。因此,DS胎儿脑组织中的一些基因的表达下调可能与脑组织中的组蛋白乙酰化降低有关,组蛋白乙酰化异常参与包括DS在内的神经退行性变的神经病理的发生发展[18,19]。
GO功能富集分析提示,DEGs主要参与神经发生、神经元凋亡、氧化应激、线粒体能量代谢等过程,这与以往关于DS神经病理改变的研究相一致[2,3]。研究发现,在DS大脑皮质中,神经元密度明显降低,胶质细胞密度增加,这表明DS脑内神经发生异常,导致产生的神经元和神经胶质细胞数量改变[20]。线粒体对维持神经系统的发生发育过程至关重要,DS中存在显著线粒体功能异常,这也加剧了DS神经发育异常的发生和发展[21]。此外,GSEA也提示细胞凋亡和炎症反应在DS神经病理改变中发挥重要作用。
KEGG通路富集分析发现DEGs在多种神经退行性疾病中显著富集,提示DS患儿从胎儿期就存在促进神经退行性变的启动因素。其中DS与神经退行性疾病——AD存在相似的神经病理改变和致病机制[22]。DS是早发性AD最常见的病因,有相当比例的成年DS患者较早出现AD样认知功能障碍。在临床症状出现之前,DS脑内便存在AD的典型神经病理改变,如β淀粉样蛋白(Aβ)沉积,这与DS中位于21号染色体上的淀粉样前体蛋白基因过表达有关[23]。神经元密度降低、髓鞘形成延迟和突触可塑性异常等在DS患者向AD样病理改变进展过程中发挥重要作用[24]。基于共同的病理改变与发病机制,DS为研究如何预防和减缓神经退行性疾病的发生发展提供了理想的研究模型。
在PPI网络中,互作程度最高的基因被认为是核心基因,核心基因的识别对于DS患者神经发育异常的诊断和治疗至关重要。本研究筛选出10个核心基因,其中重点关注与神经退行性变相关的基因包括POLR2F、TBP、TAF6、RAB8A和RELA。实时定量PCR进行验证显示,其中TBP、TAF6和RAB8A的表达变化与芯片表达数据一致,这3个基因在DS胎儿大脑中表达均下调。虽然由于样本数量的限制,仅RAB8A具有统计学意义,但由于RAB8A基因是神经退行性变发生的重要标志,本研究结果印证了RAB8A在神经退行性变和认知障碍病理发生过程中的重要作用,下一步将扩大临床样本行进一步验证分析。
研究表明,RAB8A编码Rab GTP酶,负责囊泡的形成、移动和融合,作为细胞膜转运的关键调控因子,Rab GTP酶可调控神经细胞间的联系和神经递质释放[25]。研究证实,Rab稳态失调与AD和帕金森等的神经病理改变密切相关[26]。而TBP基因和TBP相关因子基因(TAF)是参与转录起始的调控因子,TBP基因突变在神经退行性疾病,包括帕金森和脊髓小脑共济失调中发挥重要作用[27]。此外,TAF还是P300/CBP相关因子(PCAF)组蛋白乙酰化酶复合体的重要组成部分,作为辅助激活因子介导基因的转录激活、促进基因的表达。TAF水平降低可能是DS胎儿脑内组蛋白乙酰化降低、基因表达下调的原因之一。TAF6突变与Alazami-Yuan综合征、Cornelia De Lange综合征密切相关,二者均为染色体遗传病,具有部分相似的临床表型,以智力障碍、身材矮小、特殊面容、腭裂等为显著特征,TAF6在智力发育障碍的发生发展中发挥重要作用[28,29]。因此,TBP、TAF6和RAB8A是DS发生过程中的重要分子机制,值得进一步验证和分析。
综上,本研究利用生物信息学方法,筛选出了一些DS胎儿脑病变相关的基因及关键信号通路,并进行了初步验证,这有助于进一步理解DS神经病理发生发展的分子生物学机制,也为DS神经发育异常和智力低下的临床诊断及治疗靶点提供了新的方向。
所有作者均声明不存在利益冲突





















