
评价儿童血管周上皮样细胞瘤(PEComa)的CT、磁共振成像(MRI)和临床病理特征,以提高对该肿瘤的诊断水平。
回顾性分析2019年3月至2022年4月首都医科大学附属北京儿童医院经病理确诊的6例儿童PEComa的CT、MRI和临床病理特征。
患儿年龄1.7~11.9岁(平均7.6岁)。男女比例为1∶2。6例单发肿瘤发病部位分别见于肾脏(2例)、腹腔(2例)、盆腔(1例)和腹股沟(1例)。肿瘤边界清晰,呈类椭圆形(5例)或多结节样(1例),边缘见花边样或结节样改变(3例)。肿瘤长径4.8~15.9 cm(平均9.3 cm)。5例肿瘤表现出周围侵犯,2例存在淋巴结转移。2例患儿合并结节性硬化症。1例肿瘤为术后复发。CT平扫(6例)示肿瘤呈等/低密度,增强后呈不均匀渐进性强化。多数(5例)肿瘤见瘤内迂曲增粗血管影,少数(2例)见沙砾样钙化。肿瘤中心在MRI(3例)T1WI及T2WI上呈斑片样或结节样高信号,周边呈等肌肉信号,弥散加权成像(DWI)(b=800 s/mm2)上病灶周边部分弥散受限且增强后强化明显,中心部分呈等信号,增强后不强化或仅轻微强化。1例组织学分类为良性PEComa,5例为恶性PEComa。Melan-A和SMA的表达率分别为100.0%、83.3%。
儿童PEComa的CT、MRI和病理表现存在一些特异性,常表现为腹盆腔内边界清楚的类椭圆形肿块,伴结节样边缘,可见瘤内迂曲增粗血管,增强后以周边强化为主,可有局部侵犯和远处转移,病理上以恶性病变居多,免疫组织化学上呈黑色素-肌肉双源性表达。
版权归中华医学会所有。
未经授权,不得转载、摘编本刊文章,不得使用本刊的版式设计。
除非特别声明,本刊刊出的所有文章不代表中华医学会和本刊编委会的观点。
血管周上皮样细胞瘤(PEComa)是2002年世界卫生组织(WHO)肿瘤分类中出现的一个新分类。2013版WHO软组织与骨肿瘤分类中将其定义为"由血管周上皮样细胞(PEC)组成的间叶源性肿瘤",常表达黑色素和平滑肌标志物[1,2]。过去认为"PEComa家族肿瘤"包括肾血管平滑肌脂肪瘤(AML)、淋巴管平滑肌瘤病(LAM)、肺透明细胞糖瘤(CCST)和非特殊类型PEComa(PEComa-NOS)[1]。2022版WHO软组织肿瘤分类中不再推荐使用"CCST"这一诊断术语,并取消了"家族肿瘤"的名称,重新界定了PEComa仅包括AML、LAM和PEComa-NOS[1,3]。本研究是针对PEComa-NOS进行的总结归纳,AML和LAM并未包括在内。由于本病较罕见,发生于儿童者更少,本研究报道并总结了6例儿童PEComa的临床病理及影像学特征,以提高该病的诊断水平。
收集2019年3月至2022年4月首都医科大学附属北京儿童医院经病理证实的6例PEComa患儿的临床病理及影像学资料并进行回顾性研究。患儿均进行CT平扫及增强扫描,3例接受磁共振成像(MRI)平扫及增强检查。4例行肿瘤切除,2例行穿刺活检。本研究通过医院医学伦理委员会批准[批准文号:(2022)-E-200-R],并豁免知情同意。
CT检查采用GE Medical System Revolution 256排螺旋CT扫描仪,扫描参数包括:管电压100 kV,管电流250 mA,层厚3 mm,层间距3 mm,FOV 26 cm×26 cm~35 cm×35 cm,矩阵512×512,经手或肘静脉注入320 g/L碘克沙醇或350 g/L碘海醇行2~3期增强扫描(动脉期20~22 s,静脉期55~60 s,延迟期180 s),剂量为1.0~1.6 mL/kg,流速1.9~4.8 mL/s,原始数据在冠状面和矢状面上重建,层厚为3 mm,层间距为1 mm。
MRI检查采用Philips Healthcare 1.5T MR扫描仪及体部线圈进行。扫描序列及参数包括:层厚5 mm,层间距1.5 mm,FOV 360 mm×360 mm,矩阵286×286;FSE T1TR 10 ms,TE 2.4 ms;FSE T2脂肪抑制序列TR 2 000 ms,TE 75 ms。使用Gd-DTPA作为对比剂行FSE T1增强MRI,剂量为0.2 mg/kg,注射流速为1.5 mL/s,注射后3 min进行延迟扫描。
图像均由3位具有10年以上工作经验的放射科医师共同评估,评估内容包括:肿瘤位置、形态、大小、边界,MRI信号强度/CT密度、病变质地(均匀、不均匀或有无坏死、出血、钙化等)、强化特征以及周围组织受累情况。
对肿瘤组织进行HE染色和HMB45、Melan-A、S-100、SMA、TFE3、EMA等免疫组织化学染色。2例患儿行TFE3基因荧光原位杂交检测。
患儿年龄1.7~11.9岁,平均7.6岁。男女比例为1∶2。1例患儿因腹痛就诊发现腹部占位,1例表现为不明原因体质量进行性下降,1例症状为尿频、纳差,1例为腹股沟区肿物术后复发,另2例病灶均为体检发现。查体可于腹部(2例)、腹股沟区(1例)触及质硬肿物,活动度差。实验室检查发现5例患儿神经元特异性烯醇化酶(NSE)不同程度升高(42.7~148.8 μg/L,平均85.4 μg/L)。
6例病变均为单发,5例呈类椭圆形,3例边缘见花边样或结节样改变,1例病变呈多结节样,病灶边界尚清楚,增强后更能清晰描绘肿瘤边缘。
肿瘤长径4.8~15.9 cm(平均9.3 cm),且多以上下径为最大。5例表现出周围侵犯,2例存在转移。2例合并结节性硬化症(TSC),可见其他系统受累表现(表1)。

PEComa患儿6例的部位、大小及与周围关系
The location,size and relationship with the surroundings of PEComa in 6 children
PEComa患儿6例的部位、大小及与周围关系
The location,size and relationship with the surroundings of PEComa in 6 children
| 编号 | 发病部位 | 肿瘤长径(cm) | 与周围组织关系 | 转移 | 合并TSC | ||
|---|---|---|---|---|---|---|---|
| 上下 | 前后 | 左右 | |||||
| 例1 | 腹腔 | 11.7 | 9.2 | 11.6 | 压迫腹主动脉、下腔静脉及双侧髂血管 | 腹壁、右髂窝多枚结节 | |
| 例2 | 腹股沟 | 9.4 | 4.8 | 7.3 | 伸入盆腔,腹壁及盆腔肌群受累,包绕髂血管 | 腹股沟多发肿大淋巴结 | |
| 例3 | 肾脏 | 15.9 | 8.2 | 7.8 | 边缘稍模糊并周围少许积液(良性) | 无 | 有 |
| 例4 | 腹腔 | 15.8 | 11.1 | 9.1 | 侵犯包绕左肾,部分与大网膜黏连 | 无 | 有 |
| 例5 | 盆腔 | 9.1 | 7.2 | 10.2 | 与子宫、双侧附件分界不清 | 无 | |
| 例6 | 肾脏 | 7.3 | 5.7 | 5.7 | 上缘与肝脏关系密切 | 无 | |
注:PEComa:血管周上皮样细胞瘤;TSC:结节性硬化症 PEComa:perivascular epithelioid cell tumor;TSC:tuberous sclerosis
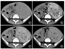
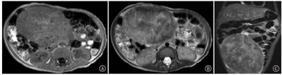
CT平扫上可见肿瘤呈不均匀等/低于肌肉密度,其中3例肿瘤于中心区域可观察到斑片样低密度区,2例低密度区呈小灶状或条片状散在分布,增强后不强化或仅呈轻度强化,CT值升高均<10 HU,病变周围部分可见动脉期明显强化,CT值升高约30~79 HU,静脉期呈持续强化,CT值继续升高8~36 HU,2例肾脏病变者加做了延迟期扫描,可见病变周围部分有强化减低表现,1例出现向心性强化(图1)。1例病变平扫密度较均匀,未观察到明显密度减低区,增强后病灶仍以周边强化为主,CT值升高约52 HU,中心区域轻度强化(CT值升高约17 HU)呈相对低密度区。5例肿瘤内可见迂曲增粗血管影,且多分布在肿瘤周边部分(图2)。2例病灶内可见点状及沙砾样钙化。


注:TSC:结节性硬化症 TSC:tuberous sclerosis


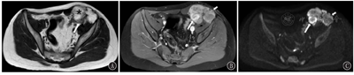
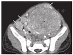
在MRI上,2例病灶周围呈T1WI及T2WI等信号,中心呈斑片样或结节样T1WI及T2WI高信号(图3),1例病变T1WI上呈周围等信号,中心高信号,T2WI上呈周围高信号,中心更高信号。弥散加权成像(DWI)(b=800 s/mm2)上病灶周边部分呈高信号且增强后强化明显,中心部分弥散不受限,增强后不强化或仅轻微强化(图4)。3例病变内均观察到迂曲流空血管影。1例腹壁及右髂窝多发结节灶(图5)、1例腹股沟区多发肿大淋巴结亦可见弥散受限及明显较均匀强化。






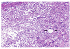
光镜下可见肿瘤细胞呈巢片样分布或束状排列,4例呈上皮样型细胞,富含透明或颗粒状的嗜酸性细胞质,胞核小,呈圆形并有小核仁,2例呈梭形细胞,含有嗜酸性细胞质,其中1例伴空泡变性。肿瘤内均含有丰富的血管,可观察到肿瘤细胞特征性地呈放射状围绕在血管周围(图6),血管管腔变形,伴不同程度透明及淀粉样变性。5例肿瘤细胞存在明显的核异型性和核分裂象、瘤内坏死以及浸润性边界,1例未表现出上述侵袭性行为。


免疫组织化学显示Melan-A和SMA在肿瘤细胞内表达率分别为100.0%、83.3%,HMB45呈较弥漫的阳性表达,此外TFE3、S-100及EMA也不同程度表达。2例TFE3(+)患儿行TFE3基因荧光原位杂交检测,其中1例显示染色体TFE3基因位点发生断裂、包含XP11.2在内的染色体异位,诊断为XP11/TFE3异位性PEComa(表2)。

PEComa患儿6例肿瘤免疫组织化学和基因检测结果
Immunohistochemical and gene detection results of 6 tumors in children with PEComa
PEComa患儿6例肿瘤免疫组织化学和基因检测结果
Immunohistochemical and gene detection results of 6 tumors in children with PEComa
| 编号 | 发病部位 | 黑色素细胞标志物 | 肌肉细胞标志物 | 上皮标志物 | Xp11/TFE3基因异位 | |||
|---|---|---|---|---|---|---|---|---|
| Melan-A | HMB45 | TFE3 | S-100 | SMA | EMA1 | |||
| 例1 | 腹腔 | + | + | + | - | - | 散在+ | + |
| 例2 | 腹股沟 | + | + | - | + | + | + | |
| 例3 | 肾脏 | + | + | + | - | + | - | - |
| 例4 | 腹腔 | + | + | 部分+ | - | + | - | |
| 例5 | 盆腔 | + | - | - | - | + | - | |
| 例6 | 肾脏 | + | + | + | + | + | + | |
注:PEComa:血管周上皮样细胞瘤 PEComa: perivascular epithelioid cell tumor
大部分PEComa患者无特殊症状,恶心、消化不良、食欲减退和局部疼痛均有报道,无症状或体检偶然发现的病例也不少[4,5]。本组患儿中3例以疼痛、慢性消耗或局部压迫症状起病,1例患儿为外院"腹股沟区肿物"术后复发来诊,2例为体检发现。文献报道本病以围绝经期女性居多,多起源于子宫,也可发生于肝脏、胰腺、消化道、泌尿道、腹盆腔及腹膜后等部位[6,7,8]。本组病例绝大多数来源于腹盆腔及腹膜后(肾脏),虽无发生于子宫者,但仍以女性多见(男∶女=1∶2),可能为儿童发病的性别特点。
既往文献显示本病成人病例实验室检查无明显特异性指标[9,10],但本研究发现5例患儿NSE不同程度升高(为42.7~148.8 μg/L),分析可能原因:(1)本组患儿术前影像检查均误诊为神经母细胞瘤、横纹肌肉瘤等儿童常见肿瘤,而NSE作为神经母细胞瘤的特异性肿瘤标志物属于本组病例的常规筛查项目,而成人病例可能由于未检测NSE水平而漏掉该信息;(2)由于肿瘤细胞内弥漫表达HMB45、Melan-A、S-100等黑色素细胞标志物,这与黑色素瘤(NSE升高)的表现存在重合,因此推断儿童PEComa可能与黑色素瘤类似,具有一定的神经内分泌分化潜能,而成人病例该潜能可能退化,目前该推论仍需进一步研究证实。
通过本组病例总结发现,PEComa在CT或MRI上存在一些特征性表现。最常见表现为边界清楚的类椭圆形肿块,伴花边样或结节样边缘,增强后病变边界更清晰。肿瘤体积一般较大,平均长径为9.3 cm(4.8~15.9 cm),且以上下径为最大,考虑可能为肿瘤多位于腹盆腔内,不能早期触及发现,且腹盆腔内上下方向生长范围更宽松,1例腹股沟区病变体积最小,与其位置浅表易早期发现有关。
本组病例多为恶性,具有一些局部侵袭性和远处转移的表现。2例腹腔内病灶中1例虽肿瘤本身未见周围侵犯,但临近的腹壁及右侧髂窝内可见多枚结节样病变,术后病理证实为转移灶,而另1例则直接侵犯包绕左肾,局部与大网膜黏连。2例发生于肾脏者中1例合并TSC者为良性,肿瘤仅有少许边缘模糊和肾周积液,未见临近侵犯和远处转移,另1例恶性者,其病变上缘与肝脏关系密切,但未行肿瘤切除,未能明确是否有肝脏受侵。1例病变位于子宫后方,与子宫、附件融为一体,术中难以分离遂将子宫和附件一同切除。1例腹股沟区病变为术后复发,可见肿瘤沿精索走形并延伸入盆腔,广泛侵犯腹壁肌层及盆腔肌群,包绕血管,并可见淋巴结转移。
在增强CT图像中,PEComa常在动脉期表现出周边分布的明显强化,这表明PEComa是一种富血管性肿瘤,且供血微血管常围绕肿瘤周围存在,这一"周边强化"的影像学特征可能对PEComa的鉴别诊断很有价值[3,11]。由于病变内拥有多种不同的细胞成分,故多呈不均匀强化,5例肿瘤中心的低密度不强化区代表了瘤内的大面积坏死、液化部分,其中3例肿瘤切除后得到了病理证实。1例病变平扫密度较均匀,增强后仍以周边强化为主,中心区域轻度强化呈相对低密度区,可能与其平滑肌结构或其他少血管成分有关。对本组病例的CT动脉期图像进行最大密度投影(MIP)重建可清晰显示肿瘤内迂曲增粗的血管,可见5例PEComa的血管分布于病变边缘,呈包绕状,这与大多数肿瘤血管常延伸至病变内有所不同。静脉期多数PEComa在静脉期呈持续强化,延迟期病变周围部分出现强化减低,1例病变出现类似"血管瘤"的向心性强化,更说明了该病变血供丰富。
在MRI平扫图像上,本组肿瘤多数呈现出"内高外低"的信号特点:即T1WI上多数表现为中心高信号、周围等信号,T2WI上病灶周围呈等/高信号,中心呈高/更高信号,这可能与肿瘤中心部位的出血、坏死有关。高b值DWI上可见病灶周边部分弥散受限且增强后强化明显,中心部分弥散不受限,增强后不强化或仅轻微强化,这种"弥散与强化相对应"的表现可能提示肿瘤的外周部分肿瘤细胞排列密集或具有恶性潜能。1例腹壁及右髂窝多发结节灶、1例腹股沟区多发肿大淋巴结亦可见弥散受限及明显较均匀强化,提示为恶性转移。3例病变内均观察到迂曲流空血管影,多以周围分布为主。
PEComa可伴发于TSC,也可单独发生[12]。本组中2例患儿合并TSC,可见皮肤、中枢神经系统、肝脏及心脏等其他系统TSC表现。当TSC患者发现肾脏或腹盆部占位,尤其不含明显脂肪成分或表现出侵袭性行为时,需考虑本病可能性大。
光镜下PEComa的肿瘤组织由变形的血管、上皮样或梭形平滑肌细胞构成,肿瘤细胞常呈巢片样或梁状分布。上皮样型细胞富含透明或颗粒状的嗜酸性细胞质,胞核较小,位于细胞中央,呈圆形并有小核仁。梭形细胞多为束状排列,含嗜酸性细胞质伴不同程度空泡变性。肿瘤内存在丰富的血管,肿瘤细胞常特征性地呈簇状或放射状排列在血管周围,导致管腔变形、扭曲,伴不同程度透明及淀粉样变性[1、13,14]。
在免疫组织化学上PEComa常呈黑色素-肌肉双源性表达,本组中仅1例患儿不满足黑色素-肌肉双源性表达这一标准,但行基因检测后发现其存在TFE3基因位点断裂和包含Xp11.2在内的染色体异位,故诊断为Xp11/TFE3异位性PEComa,该病属于少见类型的PEComa,其侵袭性和转移性较普通PEComa更强,预后更差[15,16],也许这点可以解释为何影像学上该病灶并未表现出周围侵犯,却已经出现腹壁和髂窝多发转移灶的原因。
本组病例术前影像几乎全部误诊为神经母细胞瘤、生殖细胞瘤、横纹肌肉瘤及肾母细胞瘤等,说明该病术前鉴别诊断确实难度较大。神经母细胞瘤和肾母细胞瘤为儿童最常见的腹膜后肿瘤,且神经母细胞瘤常沿脊柱旁交感神经链分布,常可见多发病灶,而PEComa可发生于腹盆腔内及肝脏等一些非腹膜后器官,且常为单发。肾母细胞瘤好发于5岁以下儿童,较大的肾母细胞瘤常密度不均,较PEComa更易出现坏死、出血或囊变,且常伴双肾多发病灶(肾母细胞瘤病)及肾静脉、下腔静脉瘤栓,远处转移以肺部多见,而PEComa罕见瘤栓,转移也以原发灶附近淋巴结多见。生殖细胞瘤最常见类型为畸胎瘤、卵黄囊瘤或内胚窦瘤,腹盆部病变最常起源于卵巢、睾丸等生殖器官,良性畸胎瘤常呈囊/实性或可见软组织、脂肪及钙化成分同时存在,与PEComa容易鉴别,恶性畸胎瘤常呈较均质的实性肿块,缺乏钙化和脂肪成分,侵犯周围组织,但较PEComa更易发生瘤内出血和肺转移,内胚窦瘤好发于骶尾部中线区,恶性程度较PEComa高,确诊时常已存在肺转移。横纹肌肉瘤可见于全身各部位,好发于膀胱、尿道及盆腔等处,男童多见,肿瘤呈软组织密度或稍低密度,较PEComa常形态不规则,境界不清,且中心部分常见囊变坏死区。
病理学上PEComa需要与黑色素瘤、平滑肌源性肿瘤相鉴别。黑色素瘤由黏附性差的上皮样或致密的梭形细胞组成,肿瘤细胞具有大而嗜酸性的核仁,核分裂象活跃,细胞质内色素沉积常见,除表达黑色素标志物外,常弥漫表达S-100蛋白和SOX10,罕见表达肌源性标志物。平滑肌瘤细胞质常呈致密的嗜酸性而非颗粒状,间质内可见弥漫分布的厚壁血管,而PEComa中厚壁血管多位于肿瘤周边部位,且平滑肌瘤无PEComa特征性的薄壁血窦样血管,少数平滑肌源性肿瘤可表达黑色素标记物,但通常较弱且局灶,且一般仅表达1种黑色素标志物。
综上,当儿童腹盆部较大的肿瘤表现出境界清楚的花边样边缘、动脉期"周边强化"、病变内迂曲增粗的血管呈包绕状分布、MRI上"内高外低"的信号特点时,需考虑PEComa的可能性,特别是当出现NSE水平升高,又不符合神经母细胞瘤常见的交感链分布特点时。肿瘤合并TSC并具有恶性侵袭性表现者,需首先考虑恶性PEComa可能。
所有作者均声明不存在利益冲突





















