
应用高场强MRI探讨胎儿脑干发育规律。
选取85例14~40孕周胎儿标本,均行3.0 T MR扫描,其中20例加行7.0 T MR扫描,并在扫描图像上应用eFilm软件测量脑干下述各径线的数值。①脑干前后径,采用4条径线表示。A线,大脑脚前缘中点与中脑水管中点间距离;B线,脑桥前缘中点与第四脑室底最短距离;C线,脑桥与延髓移行部的最短距离;D线,延髓与脊髓移行部的最短距离。②脑干长径,采用3条径线表示。E线,大脑脚长轴距离;F线,脑桥长轴距离;G线,延髓长轴距离。
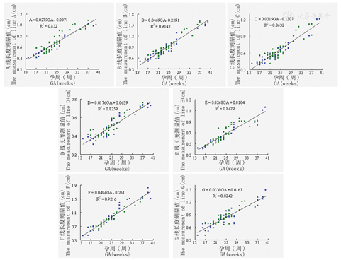
各径线测量值随胎龄增长呈线性增加,依据线的斜率可知脑干内部各结构以不同速度增长。F线增长最快,D线增长最慢。A线和E线几乎保持相同的增长速度,B线和F线也几乎保持同样的增长速度。
高场强MRI可以清晰显示胎儿脑干解剖结构,为临床评价正常胎儿脑干发育提供了形态学基础。
版权归中华医学会所有。
未经授权,不得转载、摘编本刊文章,不得使用本刊的版式设计。
除非特别声明,本刊刊出的所有文章不代表中华医学会和本刊编委会的观点。
胎儿脑发育是一个复杂的顺序发育过程,探索它在不同发育阶段的解剖学特征不仅能帮助了解此发育过程而且能提供检测发育异常的线索。关于胚胎脑发育的知识,长期以来缺乏系统完整的影像学资料,临床对宫内胚胎主要应用超声检查,对于超声检查不确定或怀疑存在病变的胚胎再进行MRI检查[1]。而上述两种检查方法受到所采集图像分辨率的影响,不能清晰显示胎脑及其内部结构及获得准确的胎脑发育生物学信息。胎脑发育过程中,其形态大小与内部结构都会发生复杂变化,其中脑干的外形发育变化可以作为胚胎脑发育的部分标志,对评价胚胎脑健康状况有重要意义。迄今,关于胎儿脑干的生物学测定研究较少,未见详细资料。
本研究选取了85例14~40孕周胎儿标本,行3.0 T MR扫描,其中20例14~20孕周胎儿标本行7.0 T MR扫描,应用eFilm软件获得了胎儿脑干的准确测量值,并分析它们随孕龄增长的变化,旨在应用高场强MRI探索胎儿脑干的发育规律,为临床正常胎儿脑干发育评估提供形态学基础。
14~40孕周胎儿标本共90例,根据妊娠记录辅以胎儿顶臀长、头围、足长测量判断其胎龄[2]。源于自然流产或因其他脑外病变所采取的药物引产。入选标准如下:①母体没有家族型遗传性疾病或染色体发育异常;②怀孕期间的超声检查与死后MR检查结果均证明其中枢神经系统发育正常;③尸检并神经病理学检查进一步确认没有中枢神经系统畸形。
胎儿标本的超声和MRI检查由临床经验10 a以上2位影像学工作者执行。判断标本大脑发育正常与否的标准如下:①大脑半球的大小与形态正常;②皮质脑沟与层状结构的发育状态无异常;③侧脑室与胼胝体的大小与形态正常。2位影像学工作者同时判断标本中枢神经系统发育是否正常,当对某一标本的判断结果存在不一致时,此标本即被排除。
85例标本符合上述标准,被纳入本研究,不同孕龄(gestational age,GA)标本分布数目见表1。胎儿标本浸于10%甲醛溶液中固定,分别用广口瓶单独储存,以免挤压变形。85例标本均行3.0T MR扫描,其中20例加行7.0T MR扫描,样本获得和扫描之间的时间间隔不超过2个月。此项研究获得山东大学医学院伦理学委员会批准。

不同孕龄胎儿例数分布(n=85)
Numbers of the fetuses in each gestational age(n=85)
不同孕龄胎儿例数分布(n=85)
Numbers of the fetuses in each gestational age(n=85)
| 孕龄(周)GA(weeks) | n | 孕龄(周) GA(weeks) | n | 孕龄(周) GA(weeks) | n |
|---|---|---|---|---|---|
| 14 | 1 | 16 | 2 | 17 | 5 |
| 18 | 3 | 19 | 4 | 20 | 6 |
| 21 | 7 | 22 | 8 | 23 | 7 |
| 24 | 10 | 25 | 6 | 26 | 5 |
| 27 | 3 | 28 | 4 | 30 | 2 |
| 31 | 1 | 32 | 1 | 34 | 1 |
| 36 | 2 | 37 | 4 | 39 | 2 |
| 40 | 1 |
美国产GE 3.0T MR机(General Electric, Milwaukee, USA)。头线圈,以经过胼胝体膝与压部下方的连线为轴位扫描基线,以平行于延髓长轴方向为冠状位扫描基线。扫描层厚为2 mm,常规扫描序列如下。T1加权:TR 2 580.0 ms,TE 23.4 ms,ET 10 ms,矩阵512×512,成像视野24 cm×24 cm,激励次数2;T2加权:TR 4 600.0 ms,TE 111.6 ms,ET 32 ms,矩阵512×512,成像视野24 cm×24 cm,激励次数1。3D图像选取SPGR序列扫描,头线圈,扫描基线同上。层厚1 mm。参数如下:TR 6.68 ms, TE 2.88 ms,TI 450 ms,反转角为25°,成像视野24 cm×24 cm,矩阵512×512,激励次数2。
7.0T MR机(BRUKER,Germany)。大鼠线圈。扫描层厚为0.5 mm,无层间隔。序列如下。T1加权:TR 384.4 ms,TE 15.8 ms,ET 1 ms,矩阵512×512,激励次数1。T2加权:TR 12 000.0 ms,TE 50.0 ms,ET 8 ms,矩阵256×256,激励次数4。扫描时间:1~2 h/例。
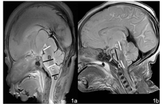
在3.0T与7.0T标本MRI上获取脑干生物学数据,应用eFilm软件进行测量,精确度为0.1 mm。所有数据由3位影像学工作者同时测量每个部位,测量2次,取平均值。具体测量项目及方法如下(图1):选取通过中脑导水管全长和第四脑室入小脑延髓池中孔全长平面作为正中矢状面,以此正中矢状面作为测量平面,在此平面上测量脑干各径线长度。脑干前后经,采用4条径线表示:A线,大脑脚前缘中点与中脑水管中点间距离;B线,脑桥前缘中点与第四脑室底最短距离;C线,脑桥与延髓移行部的最短距离;D线,延髓与脊髓移行部的最短距离。脑干长径采用3条径线表示:E线,大脑脚长轴距离;F线,脑桥长轴距离;G线,延髓长轴距离。在本研究中没考虑侧别与性别因素。


所有数据用SPSS 17.0软件进行统计分析,以回归分析获得脑干各径线与胎龄之间的相关关系。
脑干正中矢状面各径线的测量值随胎龄增长的变化见图2。脑干正中矢状面各径线测量值数据随着胎龄增长成线性增加。由于直线的斜率不同,可见脑干内部各结构是以不同的速度增长的。F线(斜率为0.0494)增长是最快,C线(斜率为0.0319)与G(斜率为0.0330)线增长速度居中,D线(斜率为0.0176)增长是最慢;A线(斜率为0.0279)和E线(斜率为0.0268)几乎保持同样速度增长;B线(斜率为0.0469)和F线也几乎保持同样速度增长。置信区间见表2。



不同孕龄(周)胎儿脑干各径线95%置信区间(cm)
95% confidence interval of each measurement of the brain stem at different GA(weeks,cm)
不同孕龄(周)胎儿脑干各径线95%置信区间(cm)
95% confidence interval of each measurement of the brain stem at different GA(weeks,cm)
| GA weeks | A线Line A | B线Line B | C线Line C | D线Line D | E线Line E | F线Line F | G线Line G |
|---|---|---|---|---|---|---|---|
| 14 | 0.24222/0.52362 | 0.24341/0.59168 | 0.16175/0.46926 | 0.21215/0.40760 | 0.24805/0.52311 | 0.26534/0.59659 | 0.29389/0.66311 |
| 15 | 0.27051/0.55105 | 0.29085/0.63805 | 0.19409/0.50066 | 0.23001/0.42486 | 0.27530/0.54949 | 0.31514/0.64538 | 0.32744/0.66311 |
| 16 | 0.29881/0.57848 | 0.33829/0.68443 | 0.22644/0.53206 | 0.24788/0.44213 | 0.30250/0.57587 | 0.36495/0.69417 | 0.36100/0.72796 |
| 17 | 0.32703/0.60598 | 0.38564/0.73089 | 0.25870/0.56353 | 0.26570/0.45945 | 0.32965/0.60231 | 0.41467/0.74304 | 0.39446/0.76047 |
| 18 | 0.35521/0.63352 | 0.43294/0.77740 | 0.29092/0.59506 | 0.28348/0.47679 | 0.35677/0.62881 | 0.46434/0.74304 | 0.39446/0.76047 |
| 19 | 0.38334/0.66111 | 0.42394/0.77740 | 0.29092/0.59506 | 0.30124/0.49417 | 0.38383/0.65534 | 0.51396/0.84093 | 0.46121/0.82567 |
| 20 | 0.41143/0.68875 | 0.52737/0.87060 | 0.35521/0.65825 | 0.31896/0.51158 | 0.41086/0.68192 | 0.56352/0.88996 | 0.49449/0.85836 |
| 21 | 0.43947/0.71643 | 0.57450/0.91728 | 0.38728/0.68993 | 0.33665/0.52902 | 0.43783/0.70855 | 0.61302/0.93904 | 0.52771/0.89111 |
| 22 | 0.46747/0.74416 | 0.62158/0.96402 | 0.41929/0.72165 | 0.35431/0.54649 | 0.46477/0.73522 | 0.66248/0.98818 | 0.56088/0.92392 |
| 23 | 0.49542/0.77193 | 0.66859/1.01082 | 0.45126/0.75343 | 0.37194/0.56400 | 0.49165/0.76193 | 0.71188/1.03737 | 0.59398/0.95679 |
| 24 | 0.52332/0.79975 | 0.71555/1.05768 | 0.48318/0.78525 | 0.38953/0.58153 | 0.51850/0.78869 | 0.76122/1.08662 | 0.62702/0.98972 |
| 25 | 0.55118/0.82762 | 0.76245/1.10459 | 0.51504/0.81713 | 0.40710/0.59910 | 0.54529/0.81550 | 0.81051/1.13592 | 0.66000/1.02271 |
| 26 | 0.57899/0.85553 | 0.80929/1.15156 | 0.54686/0.84906 | 0.42463/0.61671 | 0.57204/0.84235 | 0.85974/1.18528 | 0.69292/1.05577 |
| 27 | 0.60675/0.88349 | 0.85608/1.19859 | 0.57862/0.88104 | 0.44212/0.63434 | 0.59875/0.86925 | 0.90892/1.23469 | 0.72578/1.08888 |
| 28 | 0.63447/0.91150 | 0.90280/1.24567 | 0.61033/0.91306 | 0.45959/0.65201 | 0.62541/0.89619 | 0.95805/1.28415 | 0.75857/1.12206 |
| 29 | 0.66211/0.93957 | 0.94944/1.29284 | 0.64197/0.94516 | 0.47701/0.66972 | 0.65200/0.92320 | 1.00709/1.33370 | 0.79128/1.15532 |
| 30 | 0.68976/0.96765 | 0.99609/1.34002 | 0.67361/0.97727 | 0.49442/0.68743 | 0.67859/0.95021 | 1.05614/1.38325 | 0.82399/1.18859 |
| 31 | 0.71734/0.99579 | 1.04265/1.38727 | 0.70517/1.00945 | 0.51179/0.70520 | 0.70512/0.97729 | 1.10510/1.43288 | 0.85660/1.22195 |
| 32 | 0.74488/1.02398 | 1.08915/1.43459 | 0.73668/1.04168 | 0.52913/0.72299 | 0.73160/1.00441 | 1.15401/1.48256 | 0.88916/1.25537 |
| 33 | 0.77234/1.05223 | 1.13556/1.48198 | 0.76812/1.07398 | 0.54642/0.74083 | 0.75801/1.03160 | 1.20284/1.53232 | 0.92162/1.28887 |
| 34 | 0.79981/1.08049 | 1.18198/1.52938 | 0.79956/1.10629 | 0.56372/0.75867 | 0.78443/1.05879 | 1.25167/1.58208 | 0.95409/1.32238 |
| 35 | 0.82718/1.10883 | 1.22829/1.57688 | 0.83090/1.13869 | 0.58094/0.77657 | 0.81076/1.08606 | 1.30039/1.63194 | 0.98644/1.35600 |
| 36 | 0.85456/1.13718 | 1.27460/1.62439 | 0.86224/1.17109 | 0.59817/0.79448 | 0.83709/1.11334 | 1.34912/1.68181 | 1.01880/1.38962 |
| 37 | 0.88188/1.16560 | 1.32082/1.67198 | 0.89351/1.20356 | 0.61536/0.81242 | 0.86335/1.14068 | 1.39777/1.73175 | 1.05106/1.42333 |
| 38 | 0.90912/1.19407 | 1.36697/1.71964 | 0.92471/1.23610 | 0.63250/0.83041 | 0.88955/1.16808 | 1.44634/1.78177 | 1.08324/1.45712 |
| 39 | 0.93637/1.22255 | 1.41312/1.76731 | 0.95591/1.26864 | 0.64964/0.84841 | 0.91575/1.19548 | 1.49491/1.83179 | 1.11542/1.49092 |
| 40 | 0.96356/1.25108 | 1.45919/1.81505 | 0.98704/1.30125 | 0.66673/0.86645 | 0.94189/1.22294 | 1.54341/1.88188 | 1.14752/1.52479 |
脑干的形态发育在组织学中已有描述。人胚胎脑干在妊娠第6~7周形成,从尾侧向头侧发育成熟,形成延髓、脑桥和中脑。延髓的功能出现先于脑桥,脑桥先于中脑[3],在出生后第7个月以前脑干发育仍未完成[4]。大约在妊娠第8周时,在延髓出现时间之后[3],脑桥出现,其功能在26周后逐渐发展[3]。中脑是胎脑分化最小的部分,在18周后四叠体发育迅速,33周后逐渐成熟[5]。
脑干是人体的生命活动中枢所在,具有重要的研究意义。在围产期发育障碍、椎基底动脉供血不足、缺氧缺血性脑病、脑性瘫痪、橄榄小脑、脑桥萎缩等疾病,可不同程度引起脑干、小脑等的病变。在胎儿期脑干形态及结构发生很大变化,因此获得胎儿期脑干各结构径线测量值,并分析其随胎龄的变化规律,对了解脑干的发育过程和疾病诊断具有重要意义。然而大多数胎儿MR图像研究数据集中在幕上脑解剖和神经元移行模式上,很少把焦点放在后颅窝特别是脑干的正常解剖和发育变化规律上[6]。
现有的关于颅后窝的研究中,小脑蚓的长度、小脑左右径及小脑延髓池为研究的热点,而关于脑干的形态测量数据较少,这可能归因于本身源自脑干的疾病与畸形较少,或与超声及宫内MRI对显示脑干及其内部结构存在一定缺陷相关。1999年Nakayama等[7]应用1.5T MR对17~28周甲醛固定后的胎儿标本进行检查,采集了胎儿颅后窝结构的MR图像,目的是获得颅后窝结构的在MR上的形态变化规律。该研究观察到胎儿17~28周时脑桥的弯曲度及形态学变化,仅仅是通过观察脑桥外形获得其发育规律,没有获得中脑及延髓生物学测量数据。2004年Isabelle Claude等[8]应用1.5T MRI对宫内胎儿进行检查,以研究孕期小脑蚓部和脑干的相关生长特征,同样没有对脑干各径线进行测量。
本文主要关注的是正常胎儿在14~40孕周期间脑干线性生物学数据及其与胎龄之间的关系。从本研究结果看,胎儿颅脑正中矢状位MRI上脑干所有径线的测量值随胎龄均呈直线趋势增长,且增长速度不同。增长较快区域的可能为新皮质区或者纤维分散及灰质核团的集中地区;而位于旧皮质、内部灰质核团较少或者本身结构即较小的区域,其增长速度较慢。本研究结果可为临床评价胎儿脑发育情况提供形态学指导。
大量研究已经证明标本MRI对于研究胎儿解剖及疾病是有重要价值的[9],目前,宫内MRI已经有了极大发展,对于超声诊断不能确诊的胎儿,宫内活体MRI可提供非常有价值的信息,这主要是因为宫内活体MRI与超声相比能提供更高的分辨力和软组织对比的图像。但是,正确诊断宫内活体MRI,首先需要熟悉正常胎脑MRI解剖和发育。虽然胎儿的超声或者宫内活体MR图像对某一结构的显示均滞后于其相应胎龄的高场强标本MRI、组织学切片或者解剖的实体观察[1],但是正确理解后者对于前者的正确诊断是很有意义。
在整个孕期中,超声为胎脑检查的主要方法,它能提供实时图像,是安全、简便、无创、费用低的检查手段。然而超声检查有其局限性,尤其表现在对颅后窝的显示上,因为常常受到颅骨、孕晚期胎头入盆、母体肥胖、母体结构内气体、羊水过少、胎动、颅后窝内结构相对较小等因素的影响。因此,宫内活体MR检查对评价胎脑颅后窝的发育及解剖是非常有益的。但在现有的宫内活体MRI研究中,对于胎儿脑干正常线性生物学数据鲜有报道。现有的宫内活体MRI研究多来自20周后胎儿大脑的数据[10,11],且数据集中在端脑或小脑,而脑干往往是被忽略的结构。这可能是因为宫内胎儿MRI研究会受到扫描场强(不大于1.5T)与序列(快速成像序列)、层厚(3~5 mm)及时间、胎动、母体动脉波动与母体结构影响,无法在多层面清晰显示胚胎脑干发育变化,因而较难获得脑干的准确测量值。但是应用标本MRI研究可以有效地避免这些影响因素。在标本MRI上,通过提高场强、减低扫描层厚、延长扫描时间、增加采集次数等手段,可以获得高质量图像,获得细小准确的结构生物学数据。因此,在高场强、高清晰度、大样本、大孕龄跨度的标本MRI上探寻脑干形态学发育变化具有重要的临床意义。
本项研究也有一些限制。第一,现阶段3.0T与7.0T尚未用于临床胎儿诊断,因此本研究结果的实际应用受到限制。笔者认为,尽管本结果不能直接应用于临床,它可为宫内低场强的MR上评价胎儿脑干发育提供有帮助的信息。第二,在本研究中,扫描的胎儿标本已经过甲醛浸泡,这可能会对测量结果有影响。在实验过程中,笔者尽量缩短标本搜集与扫描之间的时间间隔。第三,标本总数较少,且在每个胎龄的分布也较少,统计学处理受到限制。第四,本研究结果是基于不同场强、不同品牌的两种MRI机,可能会对结果的连续性或准确性产生影响。
综上所述,高场强标本MRI可以清晰显示胎儿脑干解剖结构。脑干的大小与胎龄增长相一致,其内部各结构增长速度不同,以脑桥部增长速度最快。本研究结果为临床评价正常胎儿脑干发育提供了形态学基础。





















