
分析儿童与成人支原体肺炎的CT影像表现特点,指导临床对支原体肺炎的早期诊断。
回顾性分析36例经血清学证实的支原体肺炎患者的CT影像资料,根据支原体肺炎患者的年龄分为儿童组(20例)和成人组(16例),对其CT影像表现进行对比分析。
儿童组的病变部位主要位于右肺下叶11例(55%)、右肺中叶6例(30%)和左肺上叶5例(25%),成人组的病变部位主要位于右肺下叶8例(50%)、左肺下叶5例(31%)和右肺中叶4例(25%),两组间病变位于左肺舌叶、左肺下叶的发生率差异有统计学意义(P<0.05)。入院时,儿童组的CT影像表现以大片状实变影为主15例(75%),成人组CT影像表现以磨玻璃样变12例(75%)和小斑片状实变影8例(50%)为主,两组间CT影像表现差异有统计学意义(P<0.05)。
儿童与成人支原体肺炎的病变部位和CT影像表现具有一定的特征性,对支原体肺炎的早期诊断有重要的指导意义。
版权归中华医学会所有。
未经授权,不得转载、摘编本刊文章,不得使用本刊的版式设计。
除非特别声明,本刊刊出的所有文章不代表中华医学会和本刊编委会的观点。
支原体肺炎(mycoplasma pneumonia, MP)是由肺炎支原体引起的肺部炎症,虽然只有3%~10%的支原体感染发展成为支原体肺炎,但其却占各种原因引起肺炎的30%以上,常于秋季发病,以儿童和青年居多[1]。支原体肺炎的确诊有赖于特异性抗体的检测,由于其早期常呈阴性,CT影像学表现对早期诊断和治疗支原体肺炎具有重要的指导意义[2]。收集2010年1月至2011年12月就诊于我院急诊科、临床明确诊断为支原体肺炎的患者36例,分为儿童组和成人组,对其CT影像资料进行回顾性分析比较,探讨支原体肺炎的CT影像表现特点及其在病变早期诊断中的作用。
本组36例,男14例,女22例;年龄1~51岁,平均年龄19岁。按照患者年龄分为儿童组(≤14岁)20例和成人组(>14岁)16例。儿童组主要临床表现为:发热17例、刺激性干咳20例、少量黏液非脓性咳痰4例和呼吸困难2例。成人组主要临床表现为:发热16例、咽痛11例和干咳9例。患者均无鼻塞、流涕、打喷嚏、胸痛和咳血等症状,无其他内科合并症;体检所有患者两肺听诊均未闻及干湿性啰音。36例均经血清学检查,以间隔10~14 d采集2次标本的血清抗体滴度呈现4倍或4倍以上增高为支原体肺炎的诊断标准[3,4]。36例均确诊为支原体肺炎。
采用GE prospeed AL螺旋CT机,患者在平静呼吸状态下做常规胸部CT扫描,自胸廓上口扫描至肋膈隐窝下缘,层厚、间隔均为5 mm;对不能配合CT扫描的婴幼儿,给予口服10%水合氯醛0.5 ml/kg。所有患者在就诊后1 h内做CT影像检查。观察患者入院时CT影像中的肺窗和纵隔窗,集体阅片分析CT影像表现。
应用SPSS 13.0软件进行统计分析,计数资料组间比较采用卡方检验,以P<0.05为差异有统计学意义。
儿童组20例,CT影像中病变主要位于右肺中叶6例(30%)、右肺下叶11例(55%)和左肺上叶5例(25%);成人组16例,CT影像中病变主要位于右肺中叶4例(25%)、右肺下叶8例(50%)和左肺下叶5例(31%)。儿童组与成人组的病变部位在左肺舌叶、下叶的发生率差异有统计学意义(P<0.05)。见表1。

儿童组与成人组支原体肺炎的病变部位比较
The lesion comparison on the mycoplasma pneumonia between the children and adult group
儿童组与成人组支原体肺炎的病变部位比较
The lesion comparison on the mycoplasma pneumonia between the children and adult group
| 病变部位Lesion | 儿童组Children group(n=20) | 成人组Adult group(n=16) | χ2 | P |
|---|---|---|---|---|
| 右肺上叶Right superior lobar | 4(20%) | 3(19%) | 2.30 | 0.214 |
| 右肺中叶Right middle lobar | 6(30%) | 4(25%) | 2.18 | 0.177 |
| 右肺下叶Right inferior lobar | 11(55%) | 8(50%) | 1.42 | 0.395 |
| 左肺上叶Left superior lobar | 5(25%) | 3(19%) | 1.26 | 0.403 |
| 左肺舌叶Left lingular lobar | 2(10%) | 3(19%) | 4.55 | 0.031 |
| 左肺下叶Left inferior lobar | 3(15%) | 5(31%) | 5.89 | 0.021 |
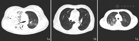
儿童组20例,CT影像表现以大片状实变影为主(图1a),磨玻璃样变和小斑片状实变影明显低于成人组;成人组16例,CT影像表现以磨玻璃样变(图1b)和小斑片状实变影(图1c)为主,大片状实变影、肺不张、淋巴结肿大、胸膜腔积液和支气管血管束增粗、支气管扩张则明显低于儿童组。儿童组与成人组支原体肺炎CT影像表现之间差异均有统计学意义(P<0.05)。见表2。

儿童组与成人组支原体肺炎的CT影像表现比较
The CT imaging feature comparison on the mycoplasma pneumonia between the children and adult group
儿童组与成人组支原体肺炎的CT影像表现比较
The CT imaging feature comparison on the mycoplasma pneumonia between the children and adult group
| CT影像表现CT imaging features | 儿童组Children group(n=20) | 成人组Adult group(n=16) | χ2 | P |
|---|---|---|---|---|
| 磨玻璃样变Ground-glass opacity | 3(15%) | 12(75%) | 6.13 | 0.012 |
| 小斑片状影Patchy air-space consolidation | 4(20%) | 8(50%) | 7.84 | 0.025 |
| 支气管血管束增粗Thickening of broncho-vascular bundle | 6(30%) | 0(0%) | 3.31 | 0.017 |
| 大片状实变影Large area of consolidation | 15(75%) | 7(44%) | 3. 60 | 0.034 |
| 淋巴结肿大Enlarged lymph nodes | 5(25%) | 2(13%) | 4.14 | 0.033 |
| 胸膜腔积液Pleural effusion | 2(10%) | 1(6%) | 4.26 | 0.038 |
| 肺不张Pulmonary atelectasis | 3(15%) | 1(6%) | 5.78 | 0.026 |
| 支气管扩张Bronchiectasis | 2(10%) | 0(0%) | 2.55 | 0.013 |


支原体是介于细菌与病毒之间,能够独立生活的最小微生物,主要通过呼吸道传播。支原体侵入肺组织细胞后,可黏附于呼吸道黏膜纤毛上皮并破坏之,引起肺间质的充血、水肿和炎性细胞浸润,病变再沿支气管、肺血管鞘周围发展并侵犯到肺泡间隔,引起肺间质的炎性改变,在此基础上进而引起肺泡病变,并随着病情的发展而产生一系列的肺炎并发症[5]。也有研究认为,支原体肺炎是支原体进入机体后,诱发了人体的体液免疫和细胞免疫,表现为急相蛋白升高[6]。在社区获得性肺炎中,支原体肺炎具有相当高的比例,并且有逐年增高的趋势。国内的报告显示,在社区获得性肺炎中,支原体肺炎占22%~36%,高于肺炎链球菌肺炎[7]。这与国外的报道相类似[8]。不同时间血清的支原体抗体滴度呈4倍增高是目前临床确诊支原体肺炎的主要依据。
关于支原体肺炎是否存在好发部位目前仍存在争议。本研究中儿童组和成人组病变好发部位均位于右肺下叶,两组间差异无统计学意义(P>0.05);但儿童组病变部位在左肺舌叶和左肺下叶的发生率与成人组比较差异有统计学意义(P<0.05),这与国内朱妍艳等[9]的报道相似。支原体肺炎病变部位的差异可能的原因是由于成人左肺舌叶支气管、下叶支气管管道相对于其他肺叶较狭长、弯曲、管径小,以及心脏的挤压的关系,易导致分泌物阻塞而引起肺炎;儿童的肺部结构发育尚未完善,左肺舌叶支气管、下叶支气管管道的狭长、弯曲程度不明显,故发生分泌物阻塞而引起肺炎较少。
人体感染支原体后,病原体常存在于支气管纤毛、呼吸道上皮细胞或侵入肺内,引起支气管、细支气管黏膜及周围间质充血、水肿,浸润肺实质引起浆液性炎症,CT影像表现为肺小叶或局部受累,形成小斑片状实变影[10]。在成人支原体肺炎中,CT影像表现为磨玻璃样变较常见。儿童由于器官发育尚不成熟,免疫能力差,出现的炎症表现较成人更为明显,主要表现为大片状实变影;当病变累及肺泡时,肺泡内出现少量浆液性或炎性渗出,可导致肺间质增厚、肺泡部分萎缩,严重者可发展为纤维素性渗出和透明膜形成[11]。病情重、病程长的儿童支原体肺炎患者,病变引起肺泡上皮剥落和气道内黏液栓形成时,可导致支气管堵塞而形成肺不张[12];若侵犯靠近肺野外带的细支气管、肺间质,使其充血、水肿和炎性细胞浸润、渗出,渗出液刺激胸膜,引起胸膜反应性渗出,导致胸膜腔积液[13];如出现小气道腔狭窄或阻塞,空气滞留在狭窄或阻塞的小气道远侧端,可导致支气管扩张[14]。因此,儿童支原体肺炎患者常伴有肺不张、肺门淋巴结肿大、胸膜腔积液和支气管扩张等肺炎并发症。本研究中,由于儿童与成人生理结构、功能是否发育成熟以及免疫反应能力的不同,导致两者支原体肺炎的CT影像表现存在差异,这些CT影像表现差异特点可为临床早期诊断儿童与成人支原体肺炎提供重要的参考依据。
支原体肺炎是呼吸道感染的常见疾病之一,患者的发热、咳嗽症状重,而体征表现轻,缺乏特异性[15]。本研究资料显示,所有病例的肺部体症与CT影像表现不同步,CT影像的改变均较肺部症状、体症的改变提前1~2周,充分显示了CT影像检查在本病治疗中的价值,二者在时间上的差异也使CT影像成为本病早期诊断的主要方法。但CT影像显示的磨玻璃样变、小斑片状或结节状实变影、大片状实变影等征象不具有特异性,磨玻璃样变和实变影要与病毒性肺炎相鉴别,小斑片状或结节状实变影要与浸润性肺结核、细菌性肺炎、肿瘤等相鉴别[16]。血清学检测是目前确诊支原体肺炎的主要手段,认为其与PCR检测病原的结果相当,由于第2份血清需要两周后采取,使支原体肺炎的早期确诊存在一定困难。因此观察CT影像变化特点,结合流行病学、临床表现、血常规检查,排除其他疾病,则临床预测性诊断的符合率将进一步提高。
综上所述,支原体肺炎患者因年龄不同,其病变部位和CT影像表现存在差异,具有一定的特征性。因此,CT影像检查对支原体肺炎的早期诊断具有重要的指导意义。





















