
探讨显微椎间盘镜髓核摘除术(MED)保留黄韧带与不保留黄韧带干预方式对腰椎间盘突出症患者临床预后及硬膜外纤维化的影响。
对2005年1月—2011年1月莆田学院附属医院微创脊柱外科住院治疗的206例符合纳入及排除标准的腰椎间盘突出症患者的临床资料进行回顾性研究。按手术方法分为2组,其中A组91例行切除黄韧带常规MED,B组115例行保留黄韧带MED。在术前1 d与术后4周分别采用视觉模拟评分法(VAS)、Oswestry功能障碍指数(ODI)、直腿抬高角度(SLR)评估患者的腰腿疼痛、功能恢复及神经松解程度,并在术后4周进行早期临床疗效评定。术后1年进行标准化调查问卷的填写以评价患者满意度,以CT扫描评定术后硬膜外纤维化程度。
A组和B组术前1 d VAS评分、ODI、SLR以及手术时间、术中出血量分别是(7.75±1.23)分和(7.84±1.27)分,71.8%±9.4%和72.3%±9.1%,25.1°±2.33°和24.6°±2.28°,(50.59±5.59)min和(51.03±6.18)min,(43.56±8.02)mL和(42.88±8.76)mL,差异均无统计学意义(t分别为0.512、0.386、0.893、0.529、0.574,P值均>0.05)。A、B组术中、术后并发症,差异均无统计学意义(χ2分别为0.042、0.042,P值均>0.05)。术后4周,A组和B组VAS、ODI、SLR分别是(3.13±1.24)分和(2.32±1.20)分,29.4%±6.7%和23.3%±7.6%,65.2°±4.84°和74.4°±4.92°,差异均有统计学意义(t分别为4.741、6.025、13.423,P值均<0.01)。A、B组患者术后4周的VAS、ODI、SLR均较术前有明显的改善,差异均有统计学意义(P值均<0.01)。术后4周,B组患者疗效等级优于A组,差异有统计学意义(Z=3.058,P<0.01)。术后1年,A组硬膜外纤维化程度CT评分等级明显差于B组,差异具有统计学意义(Z=5.435,P<0.01);且标准化问卷统计结果显示,A组手术治疗满意率为75.8%(69/91),B组为92.2%(106/115),差异有统计学意义(χ2=10.623,P<0.01)。
MED髓核摘除术无论保留黄韧带与否,与术前自身相比,临床症状均得到了极大改善。但是,保留黄韧带较不保留黄韧带的手术方式预后更好,硬膜外纤维化程度更低。
版权归中华医学会所有。
未经授权,不得转载、摘编本刊文章,不得使用本刊的版式设计。
除非特别声明,本刊刊出的所有文章不代表中华医学会和本刊编委会的观点。
后路显微椎间盘镜髓核摘除术(micro endoscopy discectomy, MED)作为治疗腰椎间盘突出症的微创技术,利用内窥光源,可以精细地完成椎板间隙开窗、侧隐窝减压、神经根松解、髓核摘除等操作[1],可将创伤控制在最小,患者术后可以进行早期功能锻炼,大大缩短康复时间。该技术由于切口微小,术中出血少,且对椎体后路结构破坏很小,从20世纪90年代末在我国推广以来,便得到了迅猛发展。黄韧带作为椎管与椎管外组织的天然屏障,可以防止术后椎管外瘢痕组织进入椎管,压迫神经根或使神经根与周围组织粘连,进而影响预后[2]。笔者在熟练掌握MED操作技巧下,分别采用保留黄韧带与切除黄韧带两种手术方式治疗腰椎间盘突出症,现对其疗效进行回顾性对照分析,旨在探讨保留黄韧带对临床预后及硬膜外纤维化的影响。
纳入标准:(1)腰痛伴严重神经根性症状持续至少6周,并保守治疗至少1个月症状改善不明显者;(2)直腿抬高试验阳性;(3)符合单间隙、单侧腰椎间盘突出症的诊断,且行CT或MRI检查证实病变间隙与临床症状和体征相符;(4)对随访问卷调查有配合意愿者。排除标准:(1)腰椎退变、不稳或存在黄韧带骨化症患者;(2)非首次进行胸腰椎手术患者;(3)估计手术通道不够长的肥胖患者;(4)影像学资料与临床表现不一致患者。
2005年1月—2011年1月入住莆田学院附属医院微创脊柱外科行椎间盘镜手术的腰椎间盘突出症患者共1 239例,其中206例符合标准纳入研究。206例中,男117例,女89例;年龄23~72岁,平均(44.2±8.5)岁;病程9周~3.5年,平均(8.1±5.2)个月。按手术方式分为切除黄韧带组(A组)和保留黄韧带组(B组)。2组患者的性别构成、年龄、病程及病变节段构成差异均无统计学意义(P值均>0.05)。见表1。

2组腰椎间盘突出症患者一般情况比较
2组腰椎间盘突出症患者一般情况比较
| 组别 | 例数 | 性别(例) | 年龄(岁, ±s) | 病程(月, ±s) | 节段(例) | |||
|---|---|---|---|---|---|---|---|---|
| 男 | 女 | L3/L4 | L4/L5 | L5/S1 | ||||
| A组 | 91 | 51 | 40 | 46.4±3.90 | 8.4±2.37 | 7 | 52 | 32 |
| B组 | 115 | 66 | 49 | 47.6±3.24 | 7.2±2.82 | 4 | 73 | 38 |
| 合计 | 206 | 117 | 89 | - | - | 11 | 125 | 70 |
| 统计值 | - | χ2=0.038 | t=-0.729 | t=1.031 | χ2=2.093 | |||
| P值 | - | >0.05 | >0.05 | >0.05 | >0.05 | |||
注:A组:切除黄韧带组;B组:保留黄韧带组
手术均在德国鲁道夫(Rudolf)椎间盘镜系统下完成,全套设备包括显示系统、镜头及光纤、手术通道及特殊手术器械等。A组:完成常规MED手术,术中对黄韧带实行完全切除。B组:与常规MED的不同之处在于对黄韧带的干预方式上的差异。显露好黄韧带后,从其外侧方着手,Kerrison咬骨钳酌情咬除部分上位椎的椎板下缘、关节突的内侧缘以及附着的黄韧带,小刮匙由椎板间隙的外下方向内上方剥离浅层黄韧带;如果黄韧带较厚,以致牵开、显露困难且难以判断神经根是否彻底减压,则咬除浅层黄韧带,保留深层黄韧带。依次游离深层黄韧带的近端、远端及外侧附着缘,使深层黄韧带呈上、下、外侧缘剥离的瓣状结构。摘除突出的椎间盘组织后,松开牵开器,黄韧带可完全覆盖椎板间隙或与周围组织间可留有1个1~2 mm的细小狭缝[3]。见图1、图2。4 ℃生理盐水冲洗伤口(硬膜囊破裂患者只用常温生理盐水冲洗),探查无活动性出血,拔出工作通道,留置橡皮引流卷1枚,缝合腰骶筋膜,关闭切口。


术后24 h拔除橡皮引流卷,常规换药。术后72 h内应用地塞米松防治神经根的炎症、水肿。术后当天行双侧直腿抬高功能练习,第2天即可腰围保护下地活动,第5天后腰背肌功能锻炼;出院后3个月内活动时腰围保护,1年内避免弯腰及重体力劳动。
记录术前1 d及术后4周时腰腿疼痛差异、功能恢复情况及神经松解程度,采用视觉模拟评分法(visual analogue scale, VAS)评定腰腿疼痛,Oswestry功能障碍指数(Oswestry disability index, ODI)评定功能恢复情况,直腿抬高角度(angle of straight leg raising, SLR)评定神经松解程度。并在术后4周采用Caspar改良的Ebeling分类法[2]进行早期临床疗效评定,分为优、良、可、差、失败,满意率为(优+良例数)/分组例数。术后1年门诊、电话或信件随访,制作标准化调查问卷[4],并在随访时完成问卷以评价患者满意度,问卷内容如下。题1,当前存在的疼痛与术前疼痛的比较:a无疼痛感;b有所改善,疼痛不影响日常生活;c有所改善,疼痛影响日常生活;d与术前相比无差别;e比术前疼痛。题2,目前工作情况:a与出现腰痛症状前一样能正常工作;b与出现腰痛症状前相比,工作量有所减少;c因为腰痛问题更换工作;d因为腰痛问题无法工作。题3,是否服用镇痛药物:a不服用;b偶尔服用非甾体类消炎药;c偶尔服用镇痛药;d每天都须服用镇痛药物。患者感到手术满意的标准为同时给出以下3个答案,题1:a或b;题2:a或b;题3:a或b。
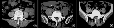
术后1年行CT扫描以评定术后硬膜外纤维化程度。纤维化程度评分方法:选取每位患者手术节段椎间盘硬膜外纤维化面积最大的CT片,并以椎管中点为中心作2条垂线,将椎管分为4个象限,每个象限内的硬膜外纤维化程度采用Ross等[5]发明的评分方法。0分:某一象限内无或仅有极少量纤维化;1分:某一象限存在纤维化组织,但面积<25%;2分:某一象限纤维化面积≥25%且<50%;3分:某一象限纤维化面积≥50%且<75%;4分:某一象限纤维化面积>75%。由1位主治医师在不知分组情况下进行评分,并由另1位副主任医师在不知分组情况下复核评分。如评分相同,则记录;如评分不同,则由第3位副主任级别进行评分,然后记录评分相同数据。见图3。


应用SPSS 19.0软件包对数据进行分析。患者年龄、病程、VAS评分、ODI、SLR计量资料服从近似正态分布采用
±s表示,2组间方差齐进行独立样本t检验,自身对照采用配对t检验。疗效和CT评分等级资料采用Wilcoxon秩和检验。构成及率的比较采用χ2检验。以P<0.05为差异有统计学意义。
2组患者手术时间、出血量比较,差异均无统计学意义(P值均>0.05),见表2。A组术中有2例硬膜破裂,术后有1例出现腰椎失稳;B组术中有1例硬膜破裂,术后有2例出现腰椎失稳;2组术中均无神经根损伤,术后均无切口感染,且术中、术后并发症差异均无统计学意义(χ2=0.042, P>0.05)。

2组患者手术时间、术中出血量及术前1 d、术后4周VAS评分、ODI、SLR比较(
±s)
2组患者手术时间、术中出血量及术前1 d、术后4周VAS评分、ODI、SLR比较(
±s)
| 组别 | 例数 | 手术时间(min, ±s) | 术中出血量(mL, ±s) | VAS评分(分) | ODI(%) | SLR(°) | |||
|---|---|---|---|---|---|---|---|---|---|
| 术前1 d | 术后4周 | 术前1 d | 术后4周 | 术前1 d | 术后4周 | ||||
| A组 | 91 | 50.59±5.59 | 43.56±8.02 | 7.75±1.23 | 3.13±1.24a | 71.8±9.4 | 29.4±6.7a | 25.1±2.33 | 65.2±4.84a |
| B组 | 115 | 51.03±6.18 | 42.88±8.76 | 7.84±1.27 | 2.32±1.20a | 72.3±9.1 | 23.3±7.6a | 24.6±2.28 | 74.4±4.92a |
| t值 | - | -0.529 | 0.574 | 0.512 | 4.741 | 0.386 | 6.025 | 0.893 | 13.423 |
| P值 | - | >0.05 | >0.05 | >0.05 | <0.01 | >0.05 | <0.01 | >0.05 | <0.01 |
注:A组:切除黄韧带组; B组:保留黄韧带组; VAS:视觉模拟评分法; ODI: Oswestry功能障碍指数; SLR:直腿抬高角度:配对t检验:与术前1 d比较aP<0.01
2组患者术前1 d VAS评分、ODI、SLR比较,差异均无统计学意义(P值均>0.05)。与术前自身对照比较,A、B组患者术后4周VAS评分、ODI均下降,SLR均升高,差异均有统计学意义(P值均<0.01);术后4周,A组的VAS评分、ODI均较B组高,而A组SLR较B组低,差异均有统计学意义(P值均<0.01)。见表2。
术后4周,A组满意率为84.62%(77/91),B组满意率为95.65%(110/115)。2组患者术后4周早期临床疗效比较,差异有统计学意义(P<0.01)。见表3。

2组患者术后4周早期临床疗效、术后1年椎管硬膜外纤维化程度CT评分比较(例)
2组患者术后4周早期临床疗效、术后1年椎管硬膜外纤维化程度CT评分比较(例)
| 组别 | 例数 | 早期临床疗效 | CT评分 | ||||||||
|---|---|---|---|---|---|---|---|---|---|---|---|
| 优 | 良 | 可 | 差 | 失败 | 0分 | 1分 | 2分 | 3分 | 4分 | ||
| A组 | 91 | 40 | 37 | 9 | 4 | 1 | 6 | 24 | 43 | 18 | 0 |
| B组 | 115 | 72 | 38 | 4 | 1 | 0 | 23 | 52 | 40 | 0 | 0 |
| Z值 | - | 3.058 | -5.435 | ||||||||
| P值 | - | <0.01 | <0.01 | ||||||||
术后1年,A组硬膜外纤维化程度CT评分均数为1.80,B组为1.15。A组与B组相比,差异具有统计学意义(P<0.01),见表3及图4,图5,图6。标准化问卷统计结果:A组手术治疗满意率为75.8%(69/91),B组患者手术治疗满意率为92.2%(106/115),差异有统计学意义(χ2=10.623, P<0.01)。


术后粘连被认为是椎板/椎间盘切除术后几乎无法避免的后果,并且许多学者认为硬膜外纤维化的产生将会对术后的疗效产生不利的影响[7]。硬膜外纤维化会导致硬膜囊周围正常组织结构发生粘连,从而增加神经压迫的风险[8]。神经根及背侧神经节对于机械应力十分敏感,轻微的压迫便会导致相应临床症状如麻木、疼痛以及肌力减弱[9]。目前,许多方法被用于防止术后硬膜外纤维化发生,如采用脂肪移植、骨移植,或者使用硅胶、海绵、人工薄膜等材料,或注射甲泼尼龙,均无法达到确切的疗效[10]。所以笔者认为,保留椎管天然屏障——黄韧带,对于减少术后硬膜外纤维化程度是至关重要的。
黄韧带具有浅、深两层结构。浅层黄韧带较厚,充填椎板间隙;深层部分较薄,构成腹侧面。浅层黄韧带附着于上位椎板下缘、下位椎板上缘及邻近表面,深层黄韧带附着于上位椎板深面前侧及下位椎板上缘;双层黄韧带两侧均附着延伸至小关节突关节囊,犹如屋瓦状相互叠盖。黄韧带包含大量弹性纤维,极其坚韧,只有在脊柱极度伸展时松弛,该生物特性使得人体在脊柱后伸时,硬膜囊不会有压迫损伤的风险。而且黄韧带作为人体正常组织结构,覆盖硬脑膜、神经根、硬膜下脂肪,将上述结构与周围组织间隔开来,形成一道天然屏障。任前贵等[11]在MED术中描述黄韧带为黄白色、神经根呈青白微红色,可用于鉴别。笔者认为,保留黄韧带不仅能够减少术后粘连的产生,也可以帮助术者在再次手术中定位解剖结构,减少手术时间。本研究结果显示:MED术中保留黄韧带组无论在患者的临床预后,还是在CT硬膜外纤维化的评分上,结果都要好于切除黄韧带组。有研究结果显示,切除黄韧带后,硬膜外纤维化所引起的神经性症状并不会因为再次手术而有所改善,在有些病例中,再次手术治疗有可能加重患者病情[12]。早在2004年,笔者就采用兔子标本对保留或切除黄韧带MED的效果进行了试验研究,通过对大体标本、组织学观察,计算机图象分析的方法评价保留或切除黄韧带对硬膜外粘连的影响,实验结果显示:完全保留黄韧带,其空间屏障作用能有效防止后方瘢痕组织侵入椎管,明显减少瘢痕组织形成量,减轻后方纤维瘢痕组织侵入椎管所造成的纤维性粘连[13]。之后笔者采用兔子实验标本,不断熟练、改进、完善保留黄韧带手术方法,并广泛应用于临床。该术式学习周期不长,且无须外源性植入物,减少了感染的概率,不增加额外经济负担,优点众多、疗效确切[3,14,15,16]。
MED作为一项微创手术,除了可减少对患者生理的手术创伤外,同时还会减少对患者心理与精神造成的压力[17]。杨腾衡等[18]认为:保留黄韧带的操作不明显延长手术时间,术中出血也不明显,不需另外取材,减少了组织损伤,经济负担小。王步云等[19,20]也报道了保留黄韧带MED技术,疗效均较为满意。
MED术中,笔者建议采用吸引器对神经根进行短暂的牵开,取代神经拉钩的持续牵引,并且术中合理止血也是关键步骤。研究表明,从神经根周围采集到的术中血液样品可以发现成纤维细胞增生明显,会促进硬膜外纤维化形成[21]。使用棉球对血管进行短暂压迫以及利用生理盐水进行冲洗,一般可以达到理想的止血效果。
总而言之,保留黄韧带显微椎间盘镜下髓核摘除术后患者无论在临床预后以及影像学表现上,都显示出了让人满意的结果。

±s)
±s)
±s)
±s)



















