
探讨强制性脊柱炎(AS)并发肺大疱、气胸的胸部高分辨率CT(HRCT)特征,以提高临床对该症的诊治水平。
回顾性分析2008年7月—2015年7月福建省厦门市第三医院呼吸一科收住的8例AS并发肺大疱、气胸患者的临床资料,着重观察其胸部HRCT特征,同时对其误诊情况及治疗及预后情况进行分析。
胸部HRCT提示:8例均有双肺尖纤维化、双肺多发巨大型肺大疱,其中5例肺大疱破裂并发气胸;矢状位多平面3D重建显示,8例均有胸椎曲度变直、椎体增生呈竹节样改变。8例均合并肺部感染(合并感染时胸部HRCT显示两下肺斑片实变影),其中3例为重症感染;5例治愈,1例好转,2例死亡。
对于胸部HRCT表现为双肺巨大型肺大疱和/或气胸,同时又有中轴关节炎症等表现的中老年患者,要注意对AS的筛查。治疗主要是对症处理,单纯气胸经过胸腔闭式引流后多能治愈,预后主要取决于肺部感染及心肾等器官功能损害的严重程度。
版权归中华医学会所有。
未经授权,不得转载、摘编本刊文章,不得使用本刊的版式设计。
除非特别声明,本刊刊出的所有文章不代表中华医学会和本刊编委会的观点。
强制性脊柱炎(ankylosing spondylitis,AS)是一种以中轴关节炎症为主,可累及到全部骶髂关节,并发有肌腱端发炎的一种风湿病[1]。典型病例多就诊于风湿免疫科。临床有很少一部分病例以呼吸系统并发症为主要临床表现而就诊于呼吸内科。目前国内有关AS并发肺部病变的报道多为AS并发间质性肺疾病(interstitial lung disease, ILD)方面的内容,关于AS并发肺大疱、气胸的报道甚少,临床容易误诊、漏诊。笔者回顾性分析2008年7月—2015年7月福建省厦门市第三医院呼吸一科收住的8例AS并发肺大疱、气胸患者的临床资料,对其临床特点,尤其是胸部高分辨率CT(high-resolution CT, HRCT)的影像特点进行总结,旨在提高临床医生对该类疾病的认识,减少漏诊和误诊。
病例纳入标准:(1)根据1984年修订的纽约AS诊断标准[2]确诊为AS;(2)胸部HRCT提示有肺大疱和/或气胸。排除标准:(1)患者有慢性阻塞性肺疾病(chronic obseractive pulmonary disease, COPD)、陈旧性肺结核、类风湿性关节炎、干燥综合征等可以引起肺大疱、气胸的基础疾病;(2)其他如肺朗格罕细胞组织细胞增生症、肺淋巴管肌瘤病等少见病引起的肺大疱、气胸。
本组8例患者均为男性,年龄56~68岁,平均64岁。8例患者均有胸廓活动受限及下腰痛病史20~40年不等,均无吸烟史或其他不良习惯史。其中,误诊为COPD急性加重期(acute exacerbation of chronic obstractive pulmonary diseose, AECOPD)并发气胸者5例,陈旧性肺结核并发气胸者2例,类风湿性关节炎者1例。患者入院前均有受凉、咳嗽、咳痰史;入院时均有不同程度的气喘、呼吸困难,其中2例伴有下肢浮肿,1例合并声音嘶哑、进食呛咳。
8例患者人类白细胞抗原B27(human leucocyte antigen B27, HLA-B27)检测均为阳性,2例患者的儿子HLA-B27也呈阳性,但无明显临床症状。红细胞沉降率(erythrocyte sedimentation rate, ESR)及C反应蛋白(C reaction protein, CRP)均中等程度升高;血清碱性磷酸酶和肌酸磷酸激酶均有轻至中度升高;3例出现不同程度的贫血,2例出现肾功能不全,1例出现肾衰。8例患者均进行抗核抗体(antinuclearantibody, ANA)、抗可溶性抗原(extractable nucler antigen, ENA)抗体及免疫功能等筛查,其中ANA阴性7例、阳性1例(滴度轻度升高),免疫球蛋白A(immunoglobulin A, IgA)升高6例。血气分析均提示有低氧血症,3例并发CO2潴留。
所有患者因并发肺大炮、气胸,未行肺功能检查。3例肺部感染重、并发重度CO2潴留患者在气管插管后行床旁支气管镜检查,支气管肺泡灌洗液检测出真菌及绿脓杆菌。8例患者临床基线资料见表1,实验室检查结果见表2。

8例AS并发肺大疱、气胸患者基线资料(例)
8例AS并发肺大疱、气胸患者基线资料(例)
| 病例 | 性别 | 年龄(岁) | 病程(年) | 误诊诊断 | 发病诱因(受凉、咳嗽、咳痰史) | 主要临床表现 | ||
|---|---|---|---|---|---|---|---|---|
| 呼吸困难 | 下肢浮肿 | 声音嘶哑、进食呛咳 | ||||||
| 1 | 男 | 56 | 20 | RA | 有 | 有 | 无 | 无 |
| 2 | 男 | 66 | 28 | AECOPD | 有 | 有 | 无 | 无 |
| 3 | 男 | 62 | 25 | 陈旧性肺结核 | 有 | 有 | 无 | 无 |
| 4 | 男 | 60 | 30 | AECOPD | 有 | 有 | 无 | 无 |
| 5 | 男 | 65 | 20 | 陈旧性肺结核 | 有 | 有 | 无 | 无 |
| 6 | 男 | 64 | 35 | AECOPD | 有 | 有 | 无 | 无 |
| 7 | 男 | 68 | 36 | AECOPD | 有 | 有 | 有 | 无 |
| 8 | 男 | 64 | 40 | AECOPD | 有 | 有 | 有 | 有 |
注:AS:强制性脊柱炎;RA:类风湿性关节炎;AECOPD:慢性阻塞性肺疾病急性加重

8例AS并发肺大疱、气胸患者实验室检查结果
8例AS并发肺大疱、气胸患者实验室检查结果
| 病例 | HLA-B27 | ESR(mm/h) | CRPmg/L | 血气分析(mmHg) | ANA | 免疫球蛋白(g/L) | |||
|---|---|---|---|---|---|---|---|---|---|
| PO2 | PCO2 | IgM | IgA | IgG | |||||
| 1 | + | 36 | 26 | 70 | 38 | - | 1.86 | 4.62 | 15.88 |
| 2 | + | 32 | 30 | 68 | 42 | - | 1.26 | 3.87 | 14.63 |
| 3 | + | 40 | 35 | 65 | 40 | - | 1.78 | 4.21 | 13.26 |
| 4 | + | 48 | 28 | 63 | 48 | - | 1.56 | 3.28 | 12.81 |
| 5 | + | 25 | 30 | 66 | 40 | - | 1.65 | 4.48 | 11.65 |
| 6 | + | 55 | 80 | 64 | 85 | - | 2.10 | 5.52 | 15.78 |
| 7 | + | 58 | 128 | 45 | 88 | (+)80∶1 | 1.78 | 6.50 | 16.68 |
| 8 | + | 86 | 156 | 42 | 102 | - | 2.06 | 7.08 | 17.24 |
注:AS:强制性脊柱炎;HLA-B27:人类白细胞抗原B27;ESR:红细胞沉降率;CRP:C反应蛋白;PO2:氧分压;PCO2:二氧化碳分压;ANA:抗核抗体;IgM:免疫球蛋白M;IgA:免疫球蛋白A;IgG:免疫球蛋白G;1 mmHg=0.133 kPa
患者均行胸部HRCT及骶髂关节X线检查,由放射科1名高级职称医师完成读片。采用美国GE Speet VCT 64层螺旋CT,扫描参数:管电压120 kV,管电流250 mA,轴电位扫描层厚0.625 mm,层间距5 mm。采用横断位扫描,自肺尖至肺底,并行矢状位多平面3D重建,重建图像层厚1.25 mm。
8例均经风湿免疫科会诊给予扶他林及柳氮磺吡啶治疗,同时予莫西沙星和/或哌拉西林他唑巴坦抗感染、多索茶碱平喘治疗。5例肺大疱破裂并发气胸者行胸腔闭式引流术,其中2例为复发性者行胸膜粘连术,3例因肺部感染严重并发Ⅱ型呼吸衰竭行气管插管呼吸机辅助呼吸。后3例中,1例经积极抗感染及抗真菌的治疗顺利拔管;1例因同时并发环杓软骨关节病变而给予气管切开,因气管插管无法拔除,反复肺部二重感染(BALF及痰多次检出烟曲霉菌、绿脓杆菌及金黄色葡萄球菌),先后给予"美罗培南、伏立康唑及利奈唑胺"等抗感染治疗;1例因并发严重的肺动脉高压[肺动脉楔压最高时达118 mmHg(1 mmHg=0.133 kPa)]、心力衰竭(心衰)、肾功能衰竭行连续肾脏替代治疗。
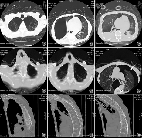
8例均表现为尖纤维化,肺尖部容积明显减少,双肺均可见巨大型肺大疱(图1),5例位于双肺中上肺野,3例双肺上、下肺野均有分布。其中5例出现肺大疱破裂并发气胸,右侧3例(图1),左侧2例。患者颈椎和胸椎生理曲度变直(图2);矢状位多平面3D重建胸部HRCT显示,椎体增生呈"竹节样"改变,小关节突明显增生,关节间隙变窄或融合消失(图3)。


患者中下肺野未合并感染时主要表现为网格影,小叶间隔增厚;合并感染时主要表现为双下肺的实变不张及支气管管腔内的粘液栓嵌顿。双侧胸膜均增厚,双侧胸腔少量积液,合并心衰、肾功能衰竭和/或低蛋白2例,此时胸腔积液量呈中等量。8例患者胸部HRCT表现及分布见表3。

8例AS患者胸部HRCT表现及分布
8例AS患者胸部HRCT表现及分布
| 病例 | 肺尖纤维化 | 下肺斑片影 | 胸腔积液(mL) | 肺大疱(巨大型) | 椎体呈竹节样增生 | 气胸 | ||
|---|---|---|---|---|---|---|---|---|
| 中上肺野 | 下肺野 | 左侧 | 右侧 | |||||
| 1 | 有 | 有 | 100 | 有 | 无 | 有 | 无 | 无 |
| 2 | 有 | 有 | 150 | 有 | 无 | 有 | 有 | 无 |
| 3 | 有 | 有 | 200 | 有 | 无 | 有 | 无 | 无 |
| 4 | 有 | 少量 | 100 | 无 | 有 | 无 | 无 | |
| 5 | 有 | 有 | 200 | 有 | 无 | 有 | 无 | 无 |
| 6 | 有 | 有 | 150 | 无 | 有 | 有 | 无 | 有 |
| 7 | 有 | 有 | 500 | 无 | 有 | 有 | 有 | 有 |
| 8 | 有 | 有 | 600 | 无 | 有 | 有 | 无 | 有 |
8例患者中,3例肺大疱未并发气胸者,肺部感染治愈,随访1~7年病情稳定;2例肺大疱破裂并发气胸者气胸治愈;1例并发Ⅱ型呼吸衰竭者顺利拔管出院,随访1年未见复发。死亡2例,其中1例因严重的肺部感染、Ⅱ型呼吸衰竭、环杓软骨关节病变者行气管切开,后反复肺部二重感染,最终并发脉动脉楔压死亡;另1例因并发严重的肺动脉高压、扩张性心脏病(室壁运动功能严重障碍)及心衰,最终并发肾功能衰竭经连续肾脏替代治疗无效而死亡。
AS是一种可累及全身多个系统的疾病,其中肺受累的发生率为1%~52%[3],也有文献报道为40%~80%[4,5,6,7]。其发生机制目前尚不明确。近期Fatmanur等[3]研究表明,AS肺损害可能与CDLA4和CD28的基因多态性有关。AS并发肺损害主要表现有胸廓硬变和肺上部囊性纤维化,而并发肺大疱、气胸的比例则低很多,国外文献报道为0.29%[8];国内这方面报道较少,且属于个案报道[9,10]。
AS并发肺损害在胸部HRCT的表现因其病程的阶段不同也不一样。在AS病程的早期就可以引起肺尖纤维化,初以右上肺区多见,双肺出现小结节;随着病情的进展结节可发生融合成为较大的阴影;晚期可形成空洞和囊腔,肺实质的纤维化和胸膜病变。胸部HRCT较普通CT更加敏感,有助于发现AS患者肺部病变的范围、肺实质纤维化、肺容积改变、空洞形成、支气管扩张和胸膜增厚。尤其是对胸部HRCT的矢状位3D成像更能发现AS患者胸椎及脊柱的典型病变特征:胸椎生理曲度变直及椎体呈"竹节样"增生。
本研究中8例AS并发肺大疱、气胸均发生于AS病程的后期(均有AS病史20~40年),这与文献报道基本一致[9,10,11]。8例患者胸部HRCT均提示有双肺尖纤维化及双肺多发巨大型肺大疱,最大者可占据整个肺叶。因此,对于肺部影像学表现为肺大疱、气胸的患者需要警惕AS。临床上,COPD患者胸部HRCT也可变现为肺大疱、气胸,尤其是老年男性,很容易被误诊AECOPD并发气胸,这也是本文8例就有5例被误诊AECOPD并发气胸的主要原因。但仔细观察可发现COPD的胸部HRCT同时有肺气肿、桶状胸、肋间隙增宽的表现,而AS则是胸廓硬变,HRCT的矢状位成像就更易发现COPD患者的胸椎没有生理曲度变直及椎体呈竹节样增生的表现。
其次,AS肺部受累患者的胸部HRCT早期表现主要为肺尖纤维化、牵拉性支气管扩张,影像上很类似于陈旧性肺结核,也容易被误诊。本组就有2例患者因此被误诊为陈旧性肺结核并发气胸。事实上二者常常可以并存,如果肺上叶纤维化,继发空洞形成后常常容易合并分支杆菌感染。HO等[12]认为,结核分枝杆菌是AS肺尘纤维化最常见的病原体,故临床要常规筛查。本组8例患者均常规进行痰抗酸杆菌的筛查,均为阴性。
另外,该病还常被误诊为类风湿性关节炎或其他风湿免疫病,可以通过ANA、ENA、类风湿因子及抗环瓜氨酸多肽抗体等进行筛查,类风湿性关节炎基本都伴有小关节的疼痛、变形,而AS则没有,且AS与类风湿因子和抗体无任何相关性[1]。
AS并发肺大疱、气胸的发病机制尚不明确,可能原因如下:(1)由于胸廓活动受限和僵直,肺上叶通气减少,导致肺上部纤维化的形成;(2)随着AS病程的延长,这种纤维化越来越明显,肺泡过度代偿,融合形成肺大疱;(3)胸廓活动受限和胸脊柱的僵直对肺尖部肺实质的压迫增加,导致肺大疱的破裂、形成气胸;(4)患者气胸发作前多有呼吸道感染的诱因,咳嗽、咳痰本身就可引起胸腔压力的升高、肺大疱的破裂形成气胸。也有学者认为AS并发肺大疱、气胸是一种与关节表现平行的炎症过程[13]。但Masi等[14]认为,炎症不能完全解释其发病过程。Kanathur等[15]认为,AS本身是上肺纤维化的一个常见原因。
AS并发肺部损害是慢性进展性的,目前尚无有效的治疗方法来阻止疾病的进展,治疗主要是针对其合并的肺部感染[1]。故临床上对感染的评估、病原体的判断及选药尤为重要。本文有1例重症感染患者支气管肺泡灌洗液及痰多次检出烟曲霉菌、绿脓杆菌及金黄色葡萄球菌。对于此类患者要尽早进行深部病原学检查,尽早治疗,否则预后很差。
本研究结果表明,AS并发肺大疱、气胸并非罕见病,多见于AS病程后期的中老年男性,胸部HRCT对AS肺部并发症的筛查、评估和诊治有重要意义。目前AS尚无有效治疗方法,主要是对症处理。单纯肺大疱预后较好;肺大疱破裂并发气胸经胸腔闭式引流术后气胸多能治愈,该类患者总体预后取决于全身多器官的损害程度:当并发严重的肺部感染及心脏、肾脏损害时,预后极差。由于本研究样本量小,本组患者胸部HRCT特征及诊治过程不足以反映AS并发肺损害的全貌,未来将和风湿免疫科合作,扩大样本量,及早筛选出更多AS并肺损害的临床病例,给予干预,改善预后,提高患者生存质量。





















