
探讨高分辨率MRI对颈动脉粥样硬化斑块性质、形态评估的准确性,以及影响斑块稳定性的病理学因素。
对2013年2月—2015年2月聊城市人民医院103例颈动脉内膜剥脱术患者行前瞻性研究。术前均行颈动脉高分辨率MRI多序列扫描,术后对斑块切片行HE染色、油红O染色、Masson三染以及CD68免疫组织化学检测。根据病理结果,分为易损斑块组和稳定斑块组,并和MRI检测结果比较。
103例颈动脉粥样硬化斑块中共有易损斑块42例、稳定斑块61例。与稳定斑块组比较,易损斑块组胶原含量明显降低(10.37%±3.19% vs 17.02%±4.56%),而脂质含量则明显升高(19.14%±3.26% vs 13.99%±3.47%),CD68表达明显增加,差异均有统计学意义(t=8.169、7.585, P值均<0.01)。与稳定斑块组比较,易损斑块组平均管腔面积、最小管腔面积、平均管壁面积、最大管壁面积、平均管壁厚度、最大管壁厚度、平均标准化管壁指数、最大标准化管壁指数均明显升高或降低,差异均有统计学意义(t=5.099、7.513、4.068、2.535、3.182、3.503、10.868、6.233, P值均<0.05)。与病理检查比较,MRI检查颈动脉粥样硬化斑块中富含脂质的坏死核、斑块内出血、钙化检出率偏低,而纤维帽表面破裂检出率偏高,但差异均无统计学意义(P值均>0.05)。
颈动脉粥样硬化易损斑块与稳定斑块在病理形态学方面存在显著差异,将高分辨率MR多序列技术相结合,能更准确、更全面地测量其管壁结构、斑块成分以及体积,可用于斑块的风险评估。
版权归中华医学会所有。
未经授权,不得转载、摘编本刊文章,不得使用本刊的版式设计。
除非特别声明,本刊刊出的所有文章不代表中华医学会和本刊编委会的观点。
脑卒中严重危害着人类身体健康,其80%为缺血性脑卒中,且大约50%缺血性脑卒中患者合并同侧颈动脉颅外段狭窄[1,2]。针对颈动脉狭窄的治疗措施主要有药物治疗、颈动脉内膜切除术(carotiden darterectomy, CEA)、颈动脉支架置入术(carotid angioplasty stenting, CAS)等[3]。目前,无论是采用CEA还是CAS治疗颈动脉狭窄,手术主要参考指标还是基于颈动脉管腔狭窄程度[4]。而对于无症状的重度颈动脉狭窄患者,以及颈动脉中度狭窄的脑卒中患者,是否给予手术干预仍存在一定争议。如何选择适当的治疗措施,对临床医师来说仍是一个不小的挑战。本研究旨在通过对汉族人颈动脉粥样硬化斑块高分辨率MRI和病理的对照研究,为颈动脉狭窄的干预提供科学依据。
纳入标准:(1)确诊为缺血性脑血管病;(2)汉族;(3)年龄18~75岁;(4)内科治疗疗效不佳;(5)无症状性血管狭窄大于70%,有症状血管狭窄大于50%;(6)签署知情同意书。
排除标准:(1)术前1周内,有与病变颈内动脉(internal carotid artery, ICA)相关的急性脑梗死;(2)有严重出血倾向;(3)合并其他恶性疾病;(4)急性动脉夹层、动脉炎、肌纤维发育不良、放射治疗导致的血管病变;(5)颅内肿瘤、颅内动静脉畸形或颅内动脉瘤(除外动脉瘤直径≤5 mm,并位于不同的循环区域);(6)24 h内接受过溶栓治疗。
本研究为前瞻性研究,病例来源于2013年2月—2015年2月聊城市人民医院住院患者,全部为缺血性脑卒中患者,均符合1995年全国第四届脑血管病修订诊断标准[5],颈动脉内膜剥脱术适应证及血管狭窄测量方法参照北美症状性颈动脉内膜切除协作研究组的标准[6]。本研究共纳入103例患者,其中男54例,女49例;年龄50~77岁,平均(61.24±8.87)岁。短暂性脑缺血发作(transient ischemic attack, TIA)42例,脑梗死40例,无症状患者21例。血管狭窄程度为50%~100%,左侧ICA狭窄48例,右侧ICA狭窄55例。饮酒者65例,吸烟者47例。空腹血糖(6.85±2.13)mmol/L、甘油三酯(1.87±0.69)mmol/L、总胆固醇(6.19±1.57)mmol/L、收缩压(154.45±19.32)mmHg、舒张压(87.36±12.19)mmHg。本研究经医院伦理委员会批准(伦研批第35号),经受试者知情同意,并签署书面同意书。
本组103例患者均行CEA治疗,并获取颈动脉粥样硬化斑块组织标本。斑块损伤时的内膜微黄程度可以通过肉眼识别,通过剥离使斑块和非斑块区沿其边缘分离开,通过光镜辨别每个斑块和非斑块段之间的结构性差异。所有颈动脉粥样硬化斑块组织标本,均储存于-80 ℃冰箱。
对所有斑块组织进行HE染色、油红O染色、Masson三染和CD68免疫组织化学检查。HE染色苏木素和伊红均购于济南芯博生物科技有限公司。油红O染色试剂盒购于美国Sigma公司产品。Masson三染试剂盒购于美国Sigma公司产品。CD68(鼠抗人巨噬细胞单克隆抗体)购于Dako、北京中杉公司购得,Envision免疫试剂盒购于Dako公司。手术切除斑块标本后立即予生理盐水冲洗,并应用4%多聚甲醛或10%甲醛溶液浸泡24 h。(1)冰冻切片:-80 ℃速冻,冰冻切片机将处理好的组织进行切片,厚度不超过4 μm。(2)石蜡切片:依次进行脱水、透明、浸蜡、包埋(每段血管均为直立位包埋,每根动脉的3~4块组织包埋于同一蜡块中)。(3)HE染色:脱蜡、水化组织切片,水洗后苏木素浸染,1%盐酸乙醇溶液分化,1%氨水返蓝,伊红浸染,再行梯度酒精脱水,二甲苯透明后中性树胶封片。光镜下观察、分组。(4)油红O染色:将冰冻切片放入PBS冲洗,60%异丙醇漂洗;油红O染色,60%异丙醇洗去多余的染液,PBS冲洗;苏木素复染,1%盐酸酒精分化(一过);1%氨水返蓝,PBS冲洗,甘油封片,镜检。(5)Masson三染:脱蜡;PBS冲洗,Masson复合染色液,0.2%醋酸水溶液稍洗;5%磷钨酸、0.2%醋酸水溶液浸洗2次;苯胺蓝液染色液,0.2%醋酸水洗2次;最后无水乙醇脱水,二甲苯透明,中性树胶封固。(6)CD68免疫组织化学:石蜡切片依常规脱蜡水化过程,滴加正常山羊血清封闭液,室温;滴加I抗50 μL,4 ℃过夜或者室温静置1 h;滴加I抗40~50 μL,室温静置或在37 ℃温箱静置,Ⅱ抗中加入免疫组织化学CD68抗体;DAB显色5~10 min,在显微镜下掌握染色程度;苏木精复染,盐酸酒精分化。梯度酒精脱水、二甲苯透明、中性树胶封片、镜检。
使用专用图像分析软件,对斑块面积最大的颈动脉切片进行病理形态学测量、分析。每个切片均测量3次,取其平均值,保证所有测量均在同等条件下进行。胶原含量、脂质含量采用阳性染色面积占斑块面积的比值表示;CD68免疫组化采用对阳性反应区的积分光密度(integral optical density, IOD)、光密度进行测量,取其平均值。
使用Philips Achieva 3.0 T MR扫描仪,头颈部神经血管专用16通道相控阵表面线圈(Philips公司)。扫描参数:(1)颈段3D时间飞跃法MRA,层数180,层厚0.75 mm,TR 19.6 ms,TE 3.5 ms,采集体素0.75 mm×1.35 mm×0.75 mm,信号平均次数2。(2)双反转恢复序列快速自旋回波T1WI,层数3,层厚3 mm,层间隔0.3 mm,TR 1beat,TE 20 ms,翻转角90°,采集体素0.493 mm×0.493 mm×3 mm,信号采集次数1。(3)双反转恢复序列快速自旋回波T2WI,层数3,层厚3 mm,层间隔0.3 mm,TR 3beats,TE 40 ms,翻转角90°,采集体素0.493 mm×0.493 mm×3 mm,信号采集次数1。双反转恢复序列快速自旋回波T1WI、T2WI采用心电门控技术。
颈动脉图像分析及处理:由2位经过系统培训的副主任医师利用CASCADE图像分析软件对颈动脉MR图像进行分析,分析人员对所有病例临床资料等信息采取双盲法原则。图像分析主要是定性判断斑块内的成分,测量分析颈动脉形态学、斑块内成分。
颈动脉粥样硬化斑块形态学测量:以颈动脉分叉处为中心扫描所得的颈动脉斑块图像进行分析,测量并计算平均血管总面积、平均管腔面积、最小管腔面积、平均管壁面积、最大管壁面积、平均管壁厚度、最大管壁厚度、平均标准化管壁指数、最大标准化管壁指数,以及颈动脉粥样硬化斑块中钙化、富含脂质的坏死核、斑块内出血、纤维帽表面破裂的发生情况。
应用SPSS 16.0统计软件进行数据处理,服从近似正态分布的计量资料采用
±s表示,计数资料以频数表示。计量资料采用两独立样本t检验,计数资料采用χ2或Fisher's确切概率法检验。以P<0.05为差异有统计学意义。
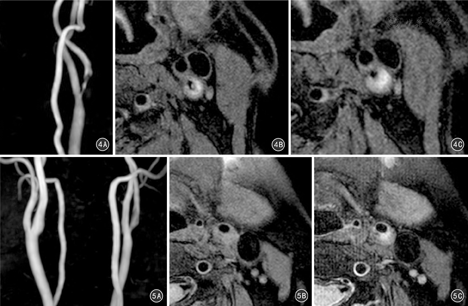
103例患者进行了CEA,获取103例颈动脉粥样硬化斑块。标本在体观察发现,斑块位于颈总动脉分叉部蔓延至颈内动脉者89例(86.4%),局限于颈总动脉或颈内动脉段者14例(13.6%);其中34例可见斑块表面粗糙、溃疡及附壁血栓(图1、2)。患者术后出现并发症4例,其中1例患者出现颈部血肿,经处理后未留后遗症;2例出现脑栓塞,经治疗后留有不同程度神经功能缺损症状,但生活可以自理;1例患者因颅内过度灌注而死亡。


光学显微镜下观察颈动脉粥样硬化改变主要表现:内膜中可见大量的炎性细胞聚集、泡沫细胞、脂质坏死核心、胆固醇结晶、玻璃样变、钙盐沉积以及斑块内出血等。病理切片中部分斑块表现为脂质坏死性核心,距离血管内膜的长度不一,多呈弥漫性,且沿血管长径分布,部分斑块表现为典型的纤维帽包裹脂质坏死核心。易损斑块表面粗糙、不光滑,纤维帽较薄,常伴有局部破溃、断裂、附壁血栓;稳定性斑块则表面完整、光滑,纤维帽较厚,多无明显的溃疡、血栓。
按AHA分型标准[7,8,9],结合病理结果,103例斑块中共有易损斑块42例(易损斑块组)、稳定斑块61例(稳定斑块组)。与稳定斑块组比较,易损斑块组胶原含量明显低,而脂质含量则明显高,差异均有统计学意义(P值均<0.01),见表1。

易损斑块组和稳定斑块组颈动脉粥样硬化斑块成分比较(%,
±s)
易损斑块组和稳定斑块组颈动脉粥样硬化斑块成分比较(%,
±s)
| 组别 | 例数 | 胶原含量 | 脂质含量 |
|---|---|---|---|
| 易损斑块组 | 42 | 10.37±3.19 | 19.14±3.26 |
| 稳定斑块组 | 61 | 17.02±4.56 | 13.99±3.47 |
| t值 | - | 8.169 | 7.585 |
| P值 | - | <0.01 | <0.01 |
CD68在稳定斑块、易损斑块都有强表达,尤以易损斑块为著,在斑块肩部和基底部均可见大量阳性聚集区,见图3。与稳定斑块组比较,易损斑块组CD68表达明显增加,IOD、光密度测量均显著升高,差异均有统计学意义(P值均<0.01),见表2。

易损斑块组和稳定斑块组CD68表达的比较(
±s)
易损斑块组和稳定斑块组CD68表达的比较(
±s)
| 组别 | 例数 | CD68表达 | |
|---|---|---|---|
| 积分光密度 | 光密度 | ||
| 易损斑块组 | 42 | 76 029.24±7 611.35 | 292.59±198.74 |
| 稳定斑块组 | 61 | 54 105.63±7 598.96 | 421.37±249.05 |
| t值 | - | 14.379 | 2.793 |
| P值 | - | <0.01 | <0.01 |
与稳定斑块组比较,易损斑块组平均血管总面积差异无统计学意义(P>0.05),但平均管腔面积、最小管腔面积、平均管壁面积、最大管壁面积、平均管壁厚度、最大管壁厚度平均标准化管壁指数、最大标准化管壁指数差异均有统计学意义(P<0.05或P<0.01),见表3。

易损斑块组和稳定斑块组颈动脉粥样硬化斑块MR检查形态学测量结果比较(mm2,
±s)
易损斑块组和稳定斑块组颈动脉粥样硬化斑块MR检查形态学测量结果比较(mm2,
±s)
| 组别 | 例数 | mean TVA | mean LA | min LA | mean WA | max WA | mean WT | max WT | meanNWI | maxNWI |
|---|---|---|---|---|---|---|---|---|---|---|
| 易损斑块组 | 42 | 64.97±15.68 | 34.51±9.27 | 9.89±5.17 | 31.03±9.35 | 54.28±16.04 | 1.32±0.38 | 4.01±1.51 | 0.48±0.07 | 0.69±0.13 |
| 稳定斑块组 | 61 | 66.36±16.02 | 45.89±12.24 | 18.43±5.98 | 24.97±5.76 | 46.48±14.85 | 1.09±0.33 | 2.97±1.46 | 0.34±0.06 | 0.52±0.14 |
| t值 | - | 0.437 | 5.099 | 7.513 | 4.068 | 2.535 | 3.182 | 3.503 | 10.868 | 6.233 |
| P值 | - | >0.05 | <0.01 | <0.01 | <0.01 | <0.05 | <0.01 | <0.01 | <0.01 | <0.01 |
注:mean TVA:易损斑块组平均血管总面积;mean LA:平均管腔面积;min LA:最小管腔面积;mean WA:平均管壁面积;max WA:最大管壁面积;mean WT:平均管壁厚度;max WT:最大管壁厚度;mean NWI:平均标准化管壁指数;max NWI:最大标准化管壁指数。
与病理检查比较,MRI检查颈动脉粥样硬化斑块中钙化、斑块内出血、富含脂质的坏死核检出率偏低,而纤维帽表面破裂的检出率偏高,但差异均无统计学意义(P值均>0.05),见表4及图4、图5。

颈动脉粥样硬化斑块病理检查和MRI结果比较[例(%)]
颈动脉粥样硬化斑块病理检查和MRI结果比较[例(%)]
| 组别 | 例数 | LRNC | IPH | FCR | CA |
|---|---|---|---|---|---|
| 病理组 | 103 | 39(37.9) | 28(27.2) | 37(35.9) | 48(46.6) |
| MRI组 | 103 | 36(35.0) | 20(19.4) | 45(43.7) | 36(34.9) |
| χ2值 | - | 0.189 | 0.896 | 1.297 | 2.895 |
| P值 | - | >0.05 | >0.05 | >0.05 | >0.05 |
注:LRNC:富含脂质的坏死核;IPH:斑块内出血;FCR:纤维帽表面破裂;CA:钙化


脑卒中已是我国城镇居民首要的死亡原因,其中缺血性脑卒中主要由动脉粥样硬化性颈动脉狭窄所致。加强颈动脉粥样硬化斑块的评估和识别,及时进行有效干预,已成为脑血管病防控的重要内容之一。近年来,高分辨率MR技术发展迅速,其在颈动脉斑块中的应用是目前影像学研究的热点。由于颈动脉粥样硬化是一种复杂的多因素疾病,与环境、饮食、遗传和表观遗传等因素密切相关[10,11,12],东西方人群颈动脉粥样硬化可能存在一定差异。小样本研究结果显示,与西方人群比较,中国人更易发生颈动脉颅内段狭窄,且颈动脉斑块钙化少而脂质多[13,14]。因此,急需了解中国人群颈动脉斑块的特点、影像学与病理学特征,以便制定适合国人的防治策略。
目前动脉粥样硬化斑块较公认的分型标准为AHA分型。该分型按病变发展过程分为Ⅷ型[7,8]。薄纤维帽及大脂质核心被公认为易损斑块的判定标准,但AHA分型中并没有明确提出定量标准。关于易损斑块与稳定斑块的判定尚不统一,比较认可的标准为将AHA分型中Ⅳ~Ⅴa型、Ⅵ型定义为软斑块,即易损斑块;Ⅲ型、Vb型、Vc型定义为硬斑块,即稳定斑块[9]。关于易损斑块与稳定斑块的区分并不是绝对的,因为斑块本身也在动态变化中,相互之间可以互相转换。本研究采用上述标准在103例颈动脉粥样硬化斑块中共发现易损斑块42例、稳定斑块61例。本研究结果显示,易损斑块与稳定斑块在病理形态学上有比较明显的差异。易损斑块表面粗糙、不光滑,纤维帽较薄,常伴有局部破溃、断裂、附壁血栓;稳定性斑块则表面完整、光滑,纤维帽较厚,多无明显的溃疡、血栓。同时,本研究表明与稳定斑块组比较,易损斑块组胶原含量明显低,而脂质含量则明显高,差异均有统计学意义(P值均<0.01)。此外,病理检查及MRI均可观察到易损斑块新生血管较稳定斑块密度明显增加,提示斑块易损性与斑块内新生血管可能具有一定相关性,但有待进一步证实。
在颈动脉粥样硬化斑块的发生与发展过程中,炎症及炎性因子贯穿始终。单核细胞的浸润在早期起重要作用,在此过程中,其自身的表型及功能发生相应改变,逐渐向巨噬细胞转化。巨噬细胞最终转化为泡沫细胞,直至斑块形成。同时,巨噬细胞还通过分泌大量细胞因子,参与斑块形成的每一阶段[15,16]。CD68是一种相对分子质量为110 000的细胞浆蛋白,主要表达于巨噬细胞、破骨细胞、单核细胞、粒细胞及其前体、Kupffer细胞,是巨噬细胞最可靠的标记物[17]。本研究结果表明,在颈动脉粥样硬化斑块组织标本中发现了大量CD68表达,尤其在斑块肩部和基底部,提示斑块内存在巨噬细胞、T淋巴细胞的广泛浸润。同时,本研究显示,与稳定斑块组比较,易损斑块组CD68表达明显增加,IOD、光密度测量均显著升高,差异均有统计学意义(P值均<0.01),这与既往研究结果基本一致[18,19]。巨噬细胞对斑块破裂与血栓形成有很重要的影响,巨噬细胞能够使得纤维帽易于破裂,而且破裂后又容易在此部位凝血形成血栓[20]。本研究结果亦提示巨噬细胞的大量堆积可能是易损斑块形成的重要原因。
高分辨MR具有无辐射、分辨率高、多种序列检测等特点,可提供丰富的组织信息,尤其是配合高精度多通道线圈技术,对斑块形态及成分的分辨与显示已取得显著进步[21]。本研究采用Achieva 3.0 T MR扫描仪、16通道相控阵表面线圈,以及3D时间飞跃法MRA和双反转恢复序列快速自旋回波T1WI、T2WI等优选序列。研究结果显示,与稳定斑块组比较,易损斑块组平均血管总面积差异无统计学意义(P>0.05),表明两组之间血管总面积无显著差异,这可能是由于易损斑块对正性重构作用的影响相对较小所致。而与稳定斑块组比较,易损斑块组平均管腔面积、最小管腔面积、平均管壁面积、最大管壁面积、平均管壁厚度、最大管壁厚度、平均标准化管壁指数、最大标准化管壁指数差异均有统计学意义(P<0.05或P<0.01),提示易损斑块组动脉粥样斑块负荷更大、狭窄程度更高,同时斑块面积与厚度均较稳定斑块组显著增加,这可能是易损斑块更容易引起脑血管事件的重要原因。因此,笔者认为,可以通过MRI判断斑块的易损性,从而对患者进行风险分层,并及时进行干预,以减少卒中的发生。
同时,本研究结果显示与病理组比较,MRI组颈动脉粥样硬化斑块中富含脂质的坏死核、斑块内出血、钙化检出率偏低,而纤维帽表面破裂检出率偏高,但差异均无统计学意义(P值均>0.05)。以上结果提示,高分辨率MRI对颈动脉粥样硬化斑块成分能有较好识别,尤其对富含脂质的坏死核检出率接近病理结果,令人鼓舞,但这需要良好的设备基础和经验丰富的协作团队。笔者在实际操作中亦发现,目前MRI对颈动脉粥样硬化斑块检测需要耗时25~30 min左右,噪音较大,空间狭小,部分患者难以坚持,且稍有运动,图像因伪影就难以研判,给斑块的识别带来困难。因此,研发新的高分辨率MRI优选序列,进一步改善噪声率、空间分辨率、图像的信噪比以及采集速度,将是未来的发展方向。总之,本研究结果表明高分辨MRI多序列技术相结合,能够较为准确地定性、定量分析颈动脉斑块的负荷、成分特征,可用于斑块的风险评估,对缺血性脑卒中的病因诊断、治疗选择以及判断预后均具有非常重要的临床价值。
由于经费、时间等因素所限,本研究样本量相对较小,只有100余例,且为单中心研究,民族也仅限于汉族,免疫组织化学分析仅检测了CD68,尚不够全面,具有一定的局限性,尚有待于多中心、大样本研究进一步证实。





















